视频胸腔镜引导下猫外伤性肋骨骨折复位和外部稳定。

IF 0.7 Q3 VETERINARY SCIENCES
Journal of Feline Medicine and Surgery Open Reports Pub Date : 2025-08-26 eCollection Date: 2025-07-01 DOI:10.1177/20551169251360620
Marie Japv Pantangco, Sorcha Costello, Rachel M Basa, Melanie Olive
{"title":"视频胸腔镜引导下猫外伤性肋骨骨折复位和外部稳定。","authors":"Marie Japv Pantangco, Sorcha Costello, Rachel M Basa, Melanie Olive","doi":"10.1177/20551169251360620","DOIUrl":null,"url":null,"abstract":"<p><strong>Case summary: </strong>An 11-year-old male neutered domestic longhair cat was presented to an emergency referral hospital after sustaining severe injuries isolated to the thorax after a dog attack. Initial stabilisation included oxygen supplementation, intravenous fluid therapy, point-of-care ultrasound (POCUS), serial blood gas analyses, thoracic and abdominal radiographs, opioid analgesics and broad-spectrum antibiotics. CT revealed multiple internally displaced rib fractures that punctured through the mediastinum and were in intimate proximity to the cranial vena cava and proximal aortic arch. Video-assisted thoracoscopic surgery (VATS) was performed using a 2.7 mm 0° short laparoscope to place a custom-made fibre glass splint via percutaneous suturing to accurately reduce the rib fracture fragments without further damage to the intrathoracic structures. The splint remained in place for 6 weeks. At the 8-week recheck, the cat had no evidence of cardiovascular or respiratory compromise and was able to resume normal activity. A long-term follow-up phone call was conducted at 14 months postoperatively. The owner reported that the patient has continued to do well without any complications.</p><p><strong>Relevance and novel information: </strong>To the authors' knowledge, this is the first report using VATS for the reduction of traumatic rib fractures in a cat. This case highlights the feasibility and success of this method and is a viable option in future clinical cases.</p>","PeriodicalId":36588,"journal":{"name":"Journal of Feline Medicine and Surgery Open Reports","volume":"11 2","pages":"20551169251360620"},"PeriodicalIF":0.7000,"publicationDate":"2025-08-26","publicationTypes":"Journal Article","fieldsOfStudy":null,"isOpenAccess":false,"openAccessPdf":"https://www.ncbi.nlm.nih.gov/pmc/articles/PMC12381480/pdf/","citationCount":"0","resultStr":"{\"title\":\"Video-assisted thoracoscopic-guided reduction and external stabilisation of traumatic rib fractures in a cat.\",\"authors\":\"Marie Japv Pantangco, Sorcha Costello, Rachel M Basa, Melanie Olive\",\"doi\":\"10.1177/20551169251360620\",\"DOIUrl\":null,\"url\":null,\"abstract\":\"<p><strong>Case summary: </strong>An 11-year-old male neutered domestic longhair cat was presented to an emergency referral hospital after sustaining severe injuries isolated to the thorax after a dog attack. Initial stabilisation included oxygen supplementation, intravenous fluid therapy, point-of-care ultrasound (POCUS), serial blood gas analyses, thoracic and abdominal radiographs, opioid analgesics and broad-spectrum antibiotics. CT revealed multiple internally displaced rib fractures that punctured through the mediastinum and were in intimate proximity to the cranial vena cava and proximal aortic arch. Video-assisted thoracoscopic surgery (VATS) was performed using a 2.7 mm 0° short laparoscope to place a custom-made fibre glass splint via percutaneous suturing to accurately reduce the rib fracture fragments without further damage to the intrathoracic structures. The splint remained in place for 6 weeks. At the 8-week recheck, the cat had no evidence of cardiovascular or respiratory compromise and was able to resume normal activity. A long-term follow-up phone call was conducted at 14 months postoperatively. The owner reported that the patient has continued to do well without any complications.</p><p><strong>Relevance and novel information: </strong>To the authors' knowledge, this is the first report using VATS for the reduction of traumatic rib fractures in a cat. This case highlights the feasibility and success of this method and is a viable option in future clinical cases.</p>\",\"PeriodicalId\":36588,\"journal\":{\"name\":\"Journal of Feline Medicine and Surgery Open Reports\",\"volume\":\"11 2\",\"pages\":\"20551169251360620\"},\"PeriodicalIF\":0.7000,\"publicationDate\":\"2025-08-26\",\"publicationTypes\":\"Journal Article\",\"fieldsOfStudy\":null,\"isOpenAccess\":false,\"openAccessPdf\":\"https://www.ncbi.nlm.nih.gov/pmc/articles/PMC12381480/pdf/\",\"citationCount\":\"0\",\"resultStr\":null,\"platform\":\"Semanticscholar\",\"paperid\":null,\"PeriodicalName\":\"Journal of Feline Medicine and Surgery Open Reports\",\"FirstCategoryId\":\"1085\",\"ListUrlMain\":\"https://doi.org/10.1177/20551169251360620\",\"RegionNum\":0,\"RegionCategory\":null,\"ArticlePicture\":[],\"TitleCN\":null,\"AbstractTextCN\":null,\"PMCID\":null,\"EPubDate\":\"2025/7/1 0:00:00\",\"PubModel\":\"eCollection\",\"JCR\":\"Q3\",\"JCRName\":\"VETERINARY SCIENCES\",\"Score\":null,\"Total\":0}","platform":"Semanticscholar","paperid":null,"PeriodicalName":"Journal of Feline Medicine and Surgery Open Reports","FirstCategoryId":"1085","ListUrlMain":"https://doi.org/10.1177/20551169251360620","RegionNum":0,"RegionCategory":null,"ArticlePicture":[],"TitleCN":null,"AbstractTextCN":null,"PMCID":null,"EPubDate":"2025/7/1 0:00:00","PubModel":"eCollection","JCR":"Q3","JCRName":"VETERINARY SCIENCES","Score":null,"Total":0}
引用次数: 0

摘要

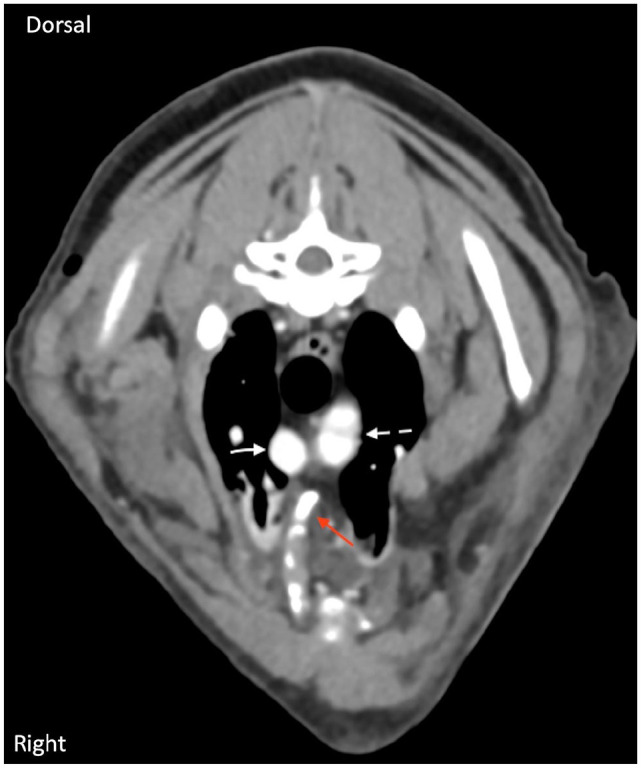
病例总结:一只11岁的雄性绝育家长毛猫在被狗袭击后胸部严重受伤,被送到紧急转诊医院。最初的稳定包括补充氧气、静脉输液、即时超声(POCUS)、连续血气分析、胸部和腹部x光片、阿片类镇痛药和广谱抗生素。CT显示多发内移位肋骨骨折,穿透纵隔,靠近颅腔静脉和主动脉弓近端。采用视频辅助胸腔镜手术(VATS),在2.7 mm 0°短腹腔镜下,经皮缝合放置特制玻璃纤维夹板,准确复位肋骨骨折碎片,避免进一步损伤胸内结构。夹板固定了6周。在第8周复查时,猫没有心血管或呼吸损伤的迹象,能够恢复正常活动。术后14个月进行长期随访电话随访。业主报告说,病人一直很好,没有任何并发症。相关性和新信息:据作者所知,这是第一个使用VATS治疗猫创伤性肋骨骨折的报道。本病例强调了该方法的可行性和成功,是未来临床病例的可行选择。
本文章由计算机程序翻译,如有差异,请以英文原文为准。

Video-assisted thoracoscopic-guided reduction and external stabilisation of traumatic rib fractures in a cat.

Video-assisted thoracoscopic-guided reduction and external stabilisation of traumatic rib fractures in a cat.

Video-assisted thoracoscopic-guided reduction and external stabilisation of traumatic rib fractures in a cat.

Video-assisted thoracoscopic-guided reduction and external stabilisation of traumatic rib fractures in a cat.

Case summary: An 11-year-old male neutered domestic longhair cat was presented to an emergency referral hospital after sustaining severe injuries isolated to the thorax after a dog attack. Initial stabilisation included oxygen supplementation, intravenous fluid therapy, point-of-care ultrasound (POCUS), serial blood gas analyses, thoracic and abdominal radiographs, opioid analgesics and broad-spectrum antibiotics. CT revealed multiple internally displaced rib fractures that punctured through the mediastinum and were in intimate proximity to the cranial vena cava and proximal aortic arch. Video-assisted thoracoscopic surgery (VATS) was performed using a 2.7 mm 0° short laparoscope to place a custom-made fibre glass splint via percutaneous suturing to accurately reduce the rib fracture fragments without further damage to the intrathoracic structures. The splint remained in place for 6 weeks. At the 8-week recheck, the cat had no evidence of cardiovascular or respiratory compromise and was able to resume normal activity. A long-term follow-up phone call was conducted at 14 months postoperatively. The owner reported that the patient has continued to do well without any complications.

Relevance and novel information: To the authors' knowledge, this is the first report using VATS for the reduction of traumatic rib fractures in a cat. This case highlights the feasibility and success of this method and is a viable option in future clinical cases.

求助全文
通过发布文献求助,成功后即可免费获取论文全文。 去求助
来源期刊
CiteScore
1.30
自引率
14.30%
发文量
57
审稿时长
15 weeks
×
引用
GB/T 7714-2015
复制
MLA
复制
APA
复制
导出至
BibTeX EndNote RefMan NoteFirst NoteExpress
×
提示
您的信息不完整,为了账户安全,请先补充。
现在去补充
×
提示
您因"违规操作"
具体请查看互助需知
我知道了
×
提示
确定
请完成安全验证×
copy
已复制链接
快去分享给好友吧!
我知道了
右上角分享
点击右上角分享
0
联系我们:info@booksci.cn Book学术提供免费学术资源搜索服务,方便国内外学者检索中英文文献。致力于提供最便捷和优质的服务体验。 Copyright © 2023 布克学术 All rights reserved.
京ICP备2023020795号-1
ghs 京公网安备 11010802042870号
Book学术文献互助
Book学术文献互助群
群 号:604180095
Book学术官方微信