光子计数CT与能量积分检测器和平板CT在附加锡滤片剂量降低的尸体腕部关节造影术中的比较。

IF 3.6 Q1 RADIOLOGY, NUCLEAR MEDICINE & MEDICAL IMAGING
Johannes de Boer, Nigar Salimova, Friederike Weidemann, Lea Behrendt, Thomas Werncke, Frank K Wacker, Lena Sonnow
{"title":"光子计数CT与能量积分检测器和平板CT在附加锡滤片剂量降低的尸体腕部关节造影术中的比较。","authors":"Johannes de Boer, Nigar Salimova, Friederike Weidemann, Lea Behrendt, Thomas Werncke, Frank K Wacker, Lena Sonnow","doi":"10.1186/s41747-025-00604-y","DOIUrl":null,"url":null,"abstract":"<p><strong>Background: </strong>This study aimed to evaluate the imaging performance and diagnostic value of a photon-counting detector (PCD) computed tomography (CT) compared to an energy-integrating detector (EID) and flat panel detector (FPD) for cadaveric wrist arthrographies.</p><p><strong>Methods: </strong>Following ethics committee approval, ten cadaveric wrists were injected with diluted iodinated contrast agent. CT arthrographies using PCD-, EID-, and FPD-CT were performed. Six dose protocols between 0.1 mGy (using a tin filter) and 6 mGy, ultrahigh-resolution-mode, and two reconstruction kernels were used for the PCD-CT and EID-CT. FPD-CT images were reconstructed using a \"normal\" and \"sharp\" kernel. Signal-to-noise ratios (SNR) and contrast-to-noise ratios (CNR) were calculated and analyzed using analysis of variance (ANOVA) and post hoc tests. Three blinded radiologists independently rated image quality concerning trabecular, cartilage, and intrinsic structures. Intraclass correlation coefficients (ICC) were calculated, followed by a Friedman and post hoc test.</p><p><strong>Results: </strong>At 1.5 mGy, 3 mGy, and 6 mGy with the Br89 kernel, the PCD-CT yielded up to 2.35 times higher SNR and up to 7 times higher CNR than dose-equivalent and higher dose EID-CT scans. Subjective ratings favored the PCD-CT over the EID-CT and occasionally the FPD-CT, with a combined ICC of 0.942. Applying sharper kernels, SNR did not differ significantly between the PCD-CT (1.5 mGy, 3 mGy, and 6 mGy) and the FPD-CT.</p><p><strong>Conclusion: </strong>Using sharp kernels, the PCD-CT provided superior image quality to the EID-CT and achieved comparable or better quality than the FPD at certain parameters. Thus, the PCD-CT could be considered a possible alternative in clinical routine for evaluating wrist injuries.</p><p><strong>Relevance statement: </strong>This study demonstrates the potential of the PCD-CT as a valuable tool in diagnosing wrist injuries. Its superior image quality compared to the EID-CT can increase confidence in diagnosing subtle bone pathologies and additionally yields the possibility of radiation exposure reduction.</p><p><strong>Key points: </strong>The technical advantages of the PCD-CT allow for dose reduction while generating high-quality images. PCD-CT showed superior image quality over EID-CT and was comparable to the FPD-CT. PDC-CT offers improved visualization of fine joint structures in wrist arthrography and should be considered in clinical routine.</p>","PeriodicalId":36926,"journal":{"name":"European Radiology Experimental","volume":"9 1","pages":"83"},"PeriodicalIF":3.6000,"publicationDate":"2025-08-29","publicationTypes":"Journal Article","fieldsOfStudy":null,"isOpenAccess":false,"openAccessPdf":"https://www.ncbi.nlm.nih.gov/pmc/articles/PMC12397008/pdf/","citationCount":"0","resultStr":"{\"title\":\"Photon-counting CT versus energy-integrating detector and flat-panel CT for cadaveric wrist arthrography with additional tin filter dose reduction.\",\"authors\":\"Johannes de Boer, Nigar Salimova, Friederike Weidemann, Lea Behrendt, Thomas Werncke, Frank K Wacker, Lena Sonnow\",\"doi\":\"10.1186/s41747-025-00604-y\",\"DOIUrl\":null,\"url\":null,\"abstract\":\"<p><strong>Background: </strong>This study aimed to evaluate the imaging performance and diagnostic value of a photon-counting detector (PCD) computed tomography (CT) compared to an energy-integrating detector (EID) and flat panel detector (FPD) for cadaveric wrist arthrographies.</p><p><strong>Methods: </strong>Following ethics committee approval, ten cadaveric wrists were injected with diluted iodinated contrast agent. CT arthrographies using PCD-, EID-, and FPD-CT were performed. Six dose protocols between 0.1 mGy (using a tin filter) and 6 mGy, ultrahigh-resolution-mode, and two reconstruction kernels were used for the PCD-CT and EID-CT. FPD-CT images were reconstructed using a \\\"normal\\\" and \\\"sharp\\\" kernel. Signal-to-noise ratios (SNR) and contrast-to-noise ratios (CNR) were calculated and analyzed using analysis of variance (ANOVA) and post hoc tests. Three blinded radiologists independently rated image quality concerning trabecular, cartilage, and intrinsic structures. Intraclass correlation coefficients (ICC) were calculated, followed by a Friedman and post hoc test.</p><p><strong>Results: </strong>At 1.5 mGy, 3 mGy, and 6 mGy with the Br89 kernel, the PCD-CT yielded up to 2.35 times higher SNR and up to 7 times higher CNR than dose-equivalent and higher dose EID-CT scans. Subjective ratings favored the PCD-CT over the EID-CT and occasionally the FPD-CT, with a combined ICC of 0.942. Applying sharper kernels, SNR did not differ significantly between the PCD-CT (1.5 mGy, 3 mGy, and 6 mGy) and the FPD-CT.</p><p><strong>Conclusion: </strong>Using sharp kernels, the PCD-CT provided superior image quality to the EID-CT and achieved comparable or better quality than the FPD at certain parameters. Thus, the PCD-CT could be considered a possible alternative in clinical routine for evaluating wrist injuries.</p><p><strong>Relevance statement: </strong>This study demonstrates the potential of the PCD-CT as a valuable tool in diagnosing wrist injuries. Its superior image quality compared to the EID-CT can increase confidence in diagnosing subtle bone pathologies and additionally yields the possibility of radiation exposure reduction.</p><p><strong>Key points: </strong>The technical advantages of the PCD-CT allow for dose reduction while generating high-quality images. PCD-CT showed superior image quality over EID-CT and was comparable to the FPD-CT. PDC-CT offers improved visualization of fine joint structures in wrist arthrography and should be considered in clinical routine.</p>\",\"PeriodicalId\":36926,\"journal\":{\"name\":\"European Radiology Experimental\",\"volume\":\"9 1\",\"pages\":\"83\"},\"PeriodicalIF\":3.6000,\"publicationDate\":\"2025-08-29\",\"publicationTypes\":\"Journal Article\",\"fieldsOfStudy\":null,\"isOpenAccess\":false,\"openAccessPdf\":\"https://www.ncbi.nlm.nih.gov/pmc/articles/PMC12397008/pdf/\",\"citationCount\":\"0\",\"resultStr\":null,\"platform\":\"Semanticscholar\",\"paperid\":null,\"PeriodicalName\":\"European Radiology Experimental\",\"FirstCategoryId\":\"1085\",\"ListUrlMain\":\"https://doi.org/10.1186/s41747-025-00604-y\",\"RegionNum\":0,\"RegionCategory\":null,\"ArticlePicture\":[],\"TitleCN\":null,\"AbstractTextCN\":null,\"PMCID\":null,\"EPubDate\":\"\",\"PubModel\":\"\",\"JCR\":\"Q1\",\"JCRName\":\"RADIOLOGY, NUCLEAR MEDICINE & MEDICAL IMAGING\",\"Score\":null,\"Total\":0}","platform":"Semanticscholar","paperid":null,"PeriodicalName":"European Radiology Experimental","FirstCategoryId":"1085","ListUrlMain":"https://doi.org/10.1186/s41747-025-00604-y","RegionNum":0,"RegionCategory":null,"ArticlePicture":[],"TitleCN":null,"AbstractTextCN":null,"PMCID":null,"EPubDate":"","PubModel":"","JCR":"Q1","JCRName":"RADIOLOGY, NUCLEAR MEDICINE & MEDICAL IMAGING","Score":null,"Total":0}
引用次数: 0

摘要

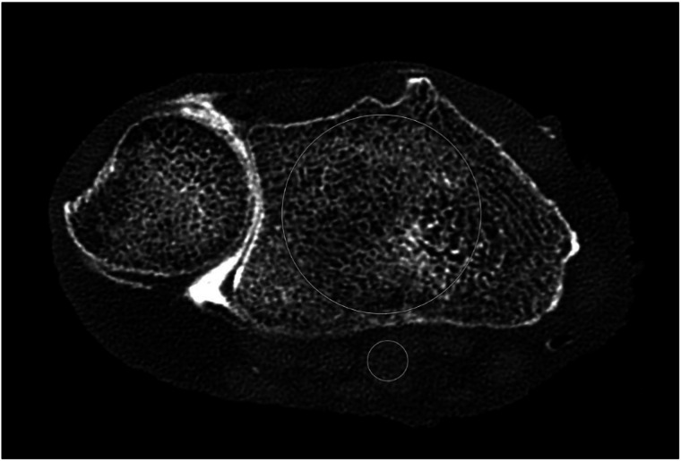
背景:本研究旨在评价光子计数检测器(PCD)计算机断层扫描(CT)与能量积分检测器(EID)和平板检测器(FPD)在尸体腕部关节造影术中的成像性能和诊断价值。方法:经伦理委员会批准,对10例尸体腕部注射稀释碘造影剂。采用PCD-, EID-和FPD-CT进行关节造影。pd - ct和EID-CT采用了0.1 mGy(使用锡过滤器)至6mgy之间的6种剂量方案、超高分辨率模式和2种重建核。使用“正常”和“锐利”核重建FPD-CT图像。采用方差分析(ANOVA)和事后检验计算和分析信噪比(SNR)和噪声对比比(CNR)。三名盲法放射科医生独立评估了小梁、软骨和内在结构的图像质量。计算类内相关系数(ICC),然后进行Friedman和事后检验。结果:在1.5 mGy, 3 mGy和6 mGy的Br89核下,PCD-CT的信噪比比剂量等效和高剂量的EID-CT扫描高2.35倍,信噪比高7倍。主观评分偏向于PCD-CT而不是EID-CT,偶尔也偏向于FPD-CT,其综合ICC为0.942。使用更锋利的核,PCD-CT (1.5 mGy, 3 mGy和6 mGy)和FPD-CT之间的信噪比没有显着差异。结论:利用清晰的核,PCD-CT提供了优于EID-CT的图像质量,并在某些参数下达到与FPD相当或更好的图像质量。因此,PCD-CT可以被认为是临床常规评估手腕损伤的一种可能的替代方法。相关声明:本研究证明了PCD-CT作为腕部损伤诊断有价值的工具的潜力。与EID-CT相比,其优越的图像质量可以增加诊断细微骨病变的信心,并且还可以减少辐射暴露。要点:PCD-CT的技术优势允许在产生高质量图像的同时减少剂量。PCD-CT显示优于EID-CT的图像质量,与FPD-CT相当。PDC-CT在腕部关节造影中提供了更好的精细关节结构的可视化,应在临床常规中考虑。
本文章由计算机程序翻译,如有差异,请以英文原文为准。

Photon-counting CT versus energy-integrating detector and flat-panel CT for cadaveric wrist arthrography with additional tin filter dose reduction.

Photon-counting CT versus energy-integrating detector and flat-panel CT for cadaveric wrist arthrography with additional tin filter dose reduction.

Photon-counting CT versus energy-integrating detector and flat-panel CT for cadaveric wrist arthrography with additional tin filter dose reduction.

Photon-counting CT versus energy-integrating detector and flat-panel CT for cadaveric wrist arthrography with additional tin filter dose reduction.

Background: This study aimed to evaluate the imaging performance and diagnostic value of a photon-counting detector (PCD) computed tomography (CT) compared to an energy-integrating detector (EID) and flat panel detector (FPD) for cadaveric wrist arthrographies.

Methods: Following ethics committee approval, ten cadaveric wrists were injected with diluted iodinated contrast agent. CT arthrographies using PCD-, EID-, and FPD-CT were performed. Six dose protocols between 0.1 mGy (using a tin filter) and 6 mGy, ultrahigh-resolution-mode, and two reconstruction kernels were used for the PCD-CT and EID-CT. FPD-CT images were reconstructed using a "normal" and "sharp" kernel. Signal-to-noise ratios (SNR) and contrast-to-noise ratios (CNR) were calculated and analyzed using analysis of variance (ANOVA) and post hoc tests. Three blinded radiologists independently rated image quality concerning trabecular, cartilage, and intrinsic structures. Intraclass correlation coefficients (ICC) were calculated, followed by a Friedman and post hoc test.

Results: At 1.5 mGy, 3 mGy, and 6 mGy with the Br89 kernel, the PCD-CT yielded up to 2.35 times higher SNR and up to 7 times higher CNR than dose-equivalent and higher dose EID-CT scans. Subjective ratings favored the PCD-CT over the EID-CT and occasionally the FPD-CT, with a combined ICC of 0.942. Applying sharper kernels, SNR did not differ significantly between the PCD-CT (1.5 mGy, 3 mGy, and 6 mGy) and the FPD-CT.

Conclusion: Using sharp kernels, the PCD-CT provided superior image quality to the EID-CT and achieved comparable or better quality than the FPD at certain parameters. Thus, the PCD-CT could be considered a possible alternative in clinical routine for evaluating wrist injuries.

Relevance statement: This study demonstrates the potential of the PCD-CT as a valuable tool in diagnosing wrist injuries. Its superior image quality compared to the EID-CT can increase confidence in diagnosing subtle bone pathologies and additionally yields the possibility of radiation exposure reduction.

Key points: The technical advantages of the PCD-CT allow for dose reduction while generating high-quality images. PCD-CT showed superior image quality over EID-CT and was comparable to the FPD-CT. PDC-CT offers improved visualization of fine joint structures in wrist arthrography and should be considered in clinical routine.

求助全文
通过发布文献求助,成功后即可免费获取论文全文。 去求助
来源期刊
European Radiology Experimental
European Radiology Experimental Medicine-Radiology, Nuclear Medicine and Imaging
CiteScore
6.70
自引率
2.60%
发文量
56
审稿时长
18 weeks
×
引用
GB/T 7714-2015
复制
MLA
复制
APA
复制
导出至
BibTeX EndNote RefMan NoteFirst NoteExpress
×
提示
您的信息不完整,为了账户安全,请先补充。
现在去补充
×
提示
您因"违规操作"
具体请查看互助需知
我知道了
×
提示
确定
请完成安全验证×
copy
已复制链接
快去分享给好友吧!
我知道了
右上角分享
点击右上角分享
0
联系我们:info@booksci.cn Book学术提供免费学术资源搜索服务,方便国内外学者检索中英文文献。致力于提供最便捷和优质的服务体验。 Copyright © 2023 布克学术 All rights reserved.
京ICP备2023020795号-1
ghs 京公网安备 11010802042870号
Book学术文献互助
Book学术文献互助群
群 号:604180095
Book学术官方微信