肾上腺病变的虚拟无对比图像:光子计数CT前瞻性研究。

IF 3.6 Q1 RADIOLOGY, NUCLEAR MEDICINE & MEDICAL IMAGING
Xin Bai, Lin Lu, Anli Tong, Jianhua Deng, Lili Xu, Xiaoxiao Zhang, Jiahui Zhang, Li Chen, Qianyu Peng, Erjia Guo, Yongfei Wu, Yun Wang, Kai Xu, Chao Zhang, Xi Zhao, Zhengyu Jin, Gumuyang Zhang, Hao Sun
{"title":"肾上腺病变的虚拟无对比图像:光子计数CT前瞻性研究。","authors":"Xin Bai, Lin Lu, Anli Tong, Jianhua Deng, Lili Xu, Xiaoxiao Zhang, Jiahui Zhang, Li Chen, Qianyu Peng, Erjia Guo, Yongfei Wu, Yun Wang, Kai Xu, Chao Zhang, Xi Zhao, Zhengyu Jin, Gumuyang Zhang, Hao Sun","doi":"10.1186/s41747-025-00621-x","DOIUrl":null,"url":null,"abstract":"<p><strong>Background: </strong>The value of virtual noncontrast (VNC) images from photon-counting computed tomography (PCCT) for evaluating adrenal lesions and diagnosing adrenal adenomas remains to be clarified.</p><p><strong>Materials and methods: </strong>Participants with adrenal masses who underwent unenhanced and portal venous phase PCCT were prospectively included. Portal-venous phase images were reconstructed using conventional VNC (VNC<sub>Conv</sub>) and PureCalcium VNC (VNC<sub>PC</sub>). We measured two-dimensional (2D) attenuation of adrenal masses at their largest slice on true noncontrast (TNC), VNC<sub>Conv</sub>, and VNC<sub>PC</sub> images. Three-dimensional (3D) attenuation and radiomic features of adrenal masses were semiautomatically extracted. These parameters were statistically compared, and diagnostic performance for adenomas was evaluated.</p><p><strong>Results: </strong>The study included 54 participants (27 females, mean age 45.3 years) with 68 adrenal lesions. Attenuation values on VNC were higher than those on TNC. TNC, VNC<sub>Conv</sub>, and VNC<sub>PC</sub> attenuation values did not differ between 2D and 3D measurements. The intraclass correlation coefficients of first-order, shape, and texture features between TNC and VNC were 0.671, 0.822, and 0.616, respectively. The sensitivity and specificity of the proposed thresholds (VNC<sub>Conv</sub> 25 HU, VNC<sub>PC</sub> 20 HU) were higher than those of the previously established threshold of 10 HU in diagnosing adenomas. There was no significant difference between VNC<sub>Conv</sub> and VNC<sub>PC</sub> in diagnosing adenomas (area under the receiver operating characteristic curve: 0.841 versus 0.838, p = 0.873).</p><p><strong>Conclusion: </strong>VNC algorithms from PCCT overestimated CT attenuation of adrenal lesions. Higher thresholds showed better diagnostic performance for discriminating adrenal adenomas from non-adenomas than the established 10 HU.</p><p><strong>Relevance statement: </strong>We investigated the application of VNC images from PCCT in adrenal disease. On VNC images, higher thresholds, superior to the accepted 10 HU, are needed for discriminating adenomas from non-adenomas, reducing the need for secondary examinations.</p><p><strong>Key points: </strong>This study investigated the value of VNC images from PCCT in adrenal lesions. VNC reconstruction overestimated the CT attenuation of adrenal lesions. Higher thresholds on VNC images were superior to the accepted 10 HU for differentiating adenomas from non-adenomas.</p>","PeriodicalId":36926,"journal":{"name":"European Radiology Experimental","volume":"9 1","pages":"82"},"PeriodicalIF":3.6000,"publicationDate":"2025-08-29","publicationTypes":"Journal Article","fieldsOfStudy":null,"isOpenAccess":false,"openAccessPdf":"https://www.ncbi.nlm.nih.gov/pmc/articles/PMC12396999/pdf/","citationCount":"0","resultStr":"{\"title\":\"Virtual noncontrast images of adrenal lesions: a photon-counting CT prospective study.\",\"authors\":\"Xin Bai, Lin Lu, Anli Tong, Jianhua Deng, Lili Xu, Xiaoxiao Zhang, Jiahui Zhang, Li Chen, Qianyu Peng, Erjia Guo, Yongfei Wu, Yun Wang, Kai Xu, Chao Zhang, Xi Zhao, Zhengyu Jin, Gumuyang Zhang, Hao Sun\",\"doi\":\"10.1186/s41747-025-00621-x\",\"DOIUrl\":null,\"url\":null,\"abstract\":\"<p><strong>Background: </strong>The value of virtual noncontrast (VNC) images from photon-counting computed tomography (PCCT) for evaluating adrenal lesions and diagnosing adrenal adenomas remains to be clarified.</p><p><strong>Materials and methods: </strong>Participants with adrenal masses who underwent unenhanced and portal venous phase PCCT were prospectively included. Portal-venous phase images were reconstructed using conventional VNC (VNC<sub>Conv</sub>) and PureCalcium VNC (VNC<sub>PC</sub>). We measured two-dimensional (2D) attenuation of adrenal masses at their largest slice on true noncontrast (TNC), VNC<sub>Conv</sub>, and VNC<sub>PC</sub> images. Three-dimensional (3D) attenuation and radiomic features of adrenal masses were semiautomatically extracted. These parameters were statistically compared, and diagnostic performance for adenomas was evaluated.</p><p><strong>Results: </strong>The study included 54 participants (27 females, mean age 45.3 years) with 68 adrenal lesions. Attenuation values on VNC were higher than those on TNC. TNC, VNC<sub>Conv</sub>, and VNC<sub>PC</sub> attenuation values did not differ between 2D and 3D measurements. The intraclass correlation coefficients of first-order, shape, and texture features between TNC and VNC were 0.671, 0.822, and 0.616, respectively. The sensitivity and specificity of the proposed thresholds (VNC<sub>Conv</sub> 25 HU, VNC<sub>PC</sub> 20 HU) were higher than those of the previously established threshold of 10 HU in diagnosing adenomas. There was no significant difference between VNC<sub>Conv</sub> and VNC<sub>PC</sub> in diagnosing adenomas (area under the receiver operating characteristic curve: 0.841 versus 0.838, p = 0.873).</p><p><strong>Conclusion: </strong>VNC algorithms from PCCT overestimated CT attenuation of adrenal lesions. Higher thresholds showed better diagnostic performance for discriminating adrenal adenomas from non-adenomas than the established 10 HU.</p><p><strong>Relevance statement: </strong>We investigated the application of VNC images from PCCT in adrenal disease. On VNC images, higher thresholds, superior to the accepted 10 HU, are needed for discriminating adenomas from non-adenomas, reducing the need for secondary examinations.</p><p><strong>Key points: </strong>This study investigated the value of VNC images from PCCT in adrenal lesions. VNC reconstruction overestimated the CT attenuation of adrenal lesions. Higher thresholds on VNC images were superior to the accepted 10 HU for differentiating adenomas from non-adenomas.</p>\",\"PeriodicalId\":36926,\"journal\":{\"name\":\"European Radiology Experimental\",\"volume\":\"9 1\",\"pages\":\"82\"},\"PeriodicalIF\":3.6000,\"publicationDate\":\"2025-08-29\",\"publicationTypes\":\"Journal Article\",\"fieldsOfStudy\":null,\"isOpenAccess\":false,\"openAccessPdf\":\"https://www.ncbi.nlm.nih.gov/pmc/articles/PMC12396999/pdf/\",\"citationCount\":\"0\",\"resultStr\":null,\"platform\":\"Semanticscholar\",\"paperid\":null,\"PeriodicalName\":\"European Radiology Experimental\",\"FirstCategoryId\":\"1085\",\"ListUrlMain\":\"https://doi.org/10.1186/s41747-025-00621-x\",\"RegionNum\":0,\"RegionCategory\":null,\"ArticlePicture\":[],\"TitleCN\":null,\"AbstractTextCN\":null,\"PMCID\":null,\"EPubDate\":\"\",\"PubModel\":\"\",\"JCR\":\"Q1\",\"JCRName\":\"RADIOLOGY, NUCLEAR MEDICINE & MEDICAL IMAGING\",\"Score\":null,\"Total\":0}","platform":"Semanticscholar","paperid":null,"PeriodicalName":"European Radiology Experimental","FirstCategoryId":"1085","ListUrlMain":"https://doi.org/10.1186/s41747-025-00621-x","RegionNum":0,"RegionCategory":null,"ArticlePicture":[],"TitleCN":null,"AbstractTextCN":null,"PMCID":null,"EPubDate":"","PubModel":"","JCR":"Q1","JCRName":"RADIOLOGY, NUCLEAR MEDICINE & MEDICAL IMAGING","Score":null,"Total":0}
引用次数: 0

摘要

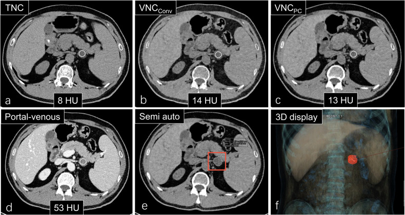
背景:光子计数计算机断层扫描(PCCT)的虚拟无对比(VNC)图像在评估肾上腺病变和诊断肾上腺腺瘤中的价值仍有待阐明。材料和方法:前瞻性纳入未增强期和门静脉期肾上腺肿块患者PCCT。采用常规VNC (VNCConv)和pureccalcium VNC (VNCPC)重建门静脉相图像。我们在真实无对比(TNC)、VNCConv和VNCPC图像上测量了肾上腺肿块最大切片的二维(2D)衰减。半自动提取肾上腺肿块的三维(3D)衰减和放射学特征。对这些参数进行统计比较,并对腺瘤的诊断性能进行评估。结果:该研究包括54名参与者(27名女性,平均年龄45.3岁),68例肾上腺病变。VNC上的衰减值高于TNC。TNC、VNCConv和VNCPC衰减值在二维和三维测量中没有差异。TNC和VNC的一阶特征、形状特征和纹理特征的类内相关系数分别为0.671、0.822和0.616。提出的阈值(VNCConv 25 HU, VNCPC 20 HU)在诊断腺瘤时的敏感性和特异性高于先前建立的阈值(10 HU)。VNCConv与VNCPC对腺瘤的诊断差异无统计学意义(受者工作特征曲线下面积:0.841 vs 0.838, p = 0.873)。结论:基于PCCT的VNC算法高估了肾上腺病变的CT衰减。较高的阈值在区分肾上腺腺瘤和非腺瘤方面比现有的10 HU具有更好的诊断效果。相关声明:我们研究了PCCT VNC图像在肾上腺疾病中的应用。在VNC图像上,需要更高的阈值,优于公认的10 HU,用于区分腺瘤和非腺瘤,减少二次检查的需要。本研究探讨了PCCT VNC图像在肾上腺病变中的价值。VNC重建高估了肾上腺病变的CT衰减。VNC图像的高阈值优于公认的10 HU用于区分腺瘤和非腺瘤。
本文章由计算机程序翻译,如有差异,请以英文原文为准。

Virtual noncontrast images of adrenal lesions: a photon-counting CT prospective study.

Virtual noncontrast images of adrenal lesions: a photon-counting CT prospective study.

Virtual noncontrast images of adrenal lesions: a photon-counting CT prospective study.

Virtual noncontrast images of adrenal lesions: a photon-counting CT prospective study.

Background: The value of virtual noncontrast (VNC) images from photon-counting computed tomography (PCCT) for evaluating adrenal lesions and diagnosing adrenal adenomas remains to be clarified.

Materials and methods: Participants with adrenal masses who underwent unenhanced and portal venous phase PCCT were prospectively included. Portal-venous phase images were reconstructed using conventional VNC (VNCConv) and PureCalcium VNC (VNCPC). We measured two-dimensional (2D) attenuation of adrenal masses at their largest slice on true noncontrast (TNC), VNCConv, and VNCPC images. Three-dimensional (3D) attenuation and radiomic features of adrenal masses were semiautomatically extracted. These parameters were statistically compared, and diagnostic performance for adenomas was evaluated.

Results: The study included 54 participants (27 females, mean age 45.3 years) with 68 adrenal lesions. Attenuation values on VNC were higher than those on TNC. TNC, VNCConv, and VNCPC attenuation values did not differ between 2D and 3D measurements. The intraclass correlation coefficients of first-order, shape, and texture features between TNC and VNC were 0.671, 0.822, and 0.616, respectively. The sensitivity and specificity of the proposed thresholds (VNCConv 25 HU, VNCPC 20 HU) were higher than those of the previously established threshold of 10 HU in diagnosing adenomas. There was no significant difference between VNCConv and VNCPC in diagnosing adenomas (area under the receiver operating characteristic curve: 0.841 versus 0.838, p = 0.873).

Conclusion: VNC algorithms from PCCT overestimated CT attenuation of adrenal lesions. Higher thresholds showed better diagnostic performance for discriminating adrenal adenomas from non-adenomas than the established 10 HU.

Relevance statement: We investigated the application of VNC images from PCCT in adrenal disease. On VNC images, higher thresholds, superior to the accepted 10 HU, are needed for discriminating adenomas from non-adenomas, reducing the need for secondary examinations.

Key points: This study investigated the value of VNC images from PCCT in adrenal lesions. VNC reconstruction overestimated the CT attenuation of adrenal lesions. Higher thresholds on VNC images were superior to the accepted 10 HU for differentiating adenomas from non-adenomas.

求助全文
通过发布文献求助,成功后即可免费获取论文全文。 去求助
来源期刊
European Radiology Experimental
European Radiology Experimental Medicine-Radiology, Nuclear Medicine and Imaging
CiteScore
6.70
自引率
2.60%
发文量
56
审稿时长
18 weeks
×
引用
GB/T 7714-2015
复制
MLA
复制
APA
复制
导出至
BibTeX EndNote RefMan NoteFirst NoteExpress
×
提示
您的信息不完整,为了账户安全,请先补充。
现在去补充
×
提示
您因"违规操作"
具体请查看互助需知
我知道了
×
提示
确定
请完成安全验证×
copy
已复制链接
快去分享给好友吧!
我知道了
右上角分享
点击右上角分享
0
联系我们:info@booksci.cn Book学术提供免费学术资源搜索服务,方便国内外学者检索中英文文献。致力于提供最便捷和优质的服务体验。 Copyright © 2023 布克学术 All rights reserved.
京ICP备2023020795号-1
ghs 京公网安备 11010802042870号
Book学术文献互助
Book学术文献互助群
群 号:604180095
Book学术官方微信