系统性红斑狼疮发作伴明显心包积液时心脏填塞的处理:1例报告。

IF 0.7 Q3 MEDICINE, GENERAL & INTERNAL
Adam D Walsh, Mitchell T Carroll
{"title":"系统性红斑狼疮发作伴明显心包积液时心脏填塞的处理:1例报告。","authors":"Adam D Walsh, Mitchell T Carroll","doi":"10.12659/AJCR.947859","DOIUrl":null,"url":null,"abstract":"<p><p>BACKGROUND Pericarditis is a frequently encountered complication of systemic lupus erythematosus (SLE). However, cardiac tamponade resulting from massive pericardial effusion is a rare sequela. Risk factors for cardiac tamponade in SLE include female sex, reduced serum complement, and positive anti-nucleosome antibody at diagnosis. Management options for cardiac tamponade, such as pericardiocentesis and pericardial window, are tailored to the individual, and clear guidelines for when to proceed with invasive intervention are lacking. CASE REPORT We present a case of cardiac tamponade associated with an SLE exacerbation in a 38-year-old woman, associated with fever, dyspnea, and pleuritic chest pain. A chest radiograph demonstrated a large left pleural effusion obscuring a widened mediastinum suspicious for pericardial effusion. After a trial of medical therapy, the patient developed new atrial fibrillation, hypotension, and tachycardia, and proceeded to pericardiocentesis following which 1.6 liters of pericardial fluid was drained over the following 24 hours. Disease control was achieved with high-dose pulsed corticosteroids and cyclophosphamide and there was no recurrence of the effusion. CONCLUSIONS This appears to be one of the largest volumes of pericardial drainage described in the literature in the setting of SLE. Cardiac tamponade can occur at any stage of the disease course in SLE. Large pleural effusions can mimic symptoms of pericardial effusion and make diagnosis challenging. Definitive management can be achieved using a combination of invasive and medical therapy. Risk factors for the development of cardiac tamponade should be identified early in the course of an SLE exacerbation to ensure prompt treatment and avoid further complications.</p>","PeriodicalId":39064,"journal":{"name":"American Journal of Case Reports","volume":"26 ","pages":"e947859"},"PeriodicalIF":0.7000,"publicationDate":"2025-08-23","publicationTypes":"Journal Article","fieldsOfStudy":null,"isOpenAccess":false,"openAccessPdf":"https://www.ncbi.nlm.nih.gov/pmc/articles/PMC12392845/pdf/","citationCount":"0","resultStr":"{\"title\":\"Management of Cardiac Tamponade During Systemic Lupus Erythematosus Flare with Significant Pericardial Effusion: A Case Report.\",\"authors\":\"Adam D Walsh, Mitchell T Carroll\",\"doi\":\"10.12659/AJCR.947859\",\"DOIUrl\":null,\"url\":null,\"abstract\":\"<p><p>BACKGROUND Pericarditis is a frequently encountered complication of systemic lupus erythematosus (SLE). However, cardiac tamponade resulting from massive pericardial effusion is a rare sequela. Risk factors for cardiac tamponade in SLE include female sex, reduced serum complement, and positive anti-nucleosome antibody at diagnosis. Management options for cardiac tamponade, such as pericardiocentesis and pericardial window, are tailored to the individual, and clear guidelines for when to proceed with invasive intervention are lacking. CASE REPORT We present a case of cardiac tamponade associated with an SLE exacerbation in a 38-year-old woman, associated with fever, dyspnea, and pleuritic chest pain. A chest radiograph demonstrated a large left pleural effusion obscuring a widened mediastinum suspicious for pericardial effusion. After a trial of medical therapy, the patient developed new atrial fibrillation, hypotension, and tachycardia, and proceeded to pericardiocentesis following which 1.6 liters of pericardial fluid was drained over the following 24 hours. Disease control was achieved with high-dose pulsed corticosteroids and cyclophosphamide and there was no recurrence of the effusion. CONCLUSIONS This appears to be one of the largest volumes of pericardial drainage described in the literature in the setting of SLE. Cardiac tamponade can occur at any stage of the disease course in SLE. Large pleural effusions can mimic symptoms of pericardial effusion and make diagnosis challenging. Definitive management can be achieved using a combination of invasive and medical therapy. Risk factors for the development of cardiac tamponade should be identified early in the course of an SLE exacerbation to ensure prompt treatment and avoid further complications.</p>\",\"PeriodicalId\":39064,\"journal\":{\"name\":\"American Journal of Case Reports\",\"volume\":\"26 \",\"pages\":\"e947859\"},\"PeriodicalIF\":0.7000,\"publicationDate\":\"2025-08-23\",\"publicationTypes\":\"Journal Article\",\"fieldsOfStudy\":null,\"isOpenAccess\":false,\"openAccessPdf\":\"https://www.ncbi.nlm.nih.gov/pmc/articles/PMC12392845/pdf/\",\"citationCount\":\"0\",\"resultStr\":null,\"platform\":\"Semanticscholar\",\"paperid\":null,\"PeriodicalName\":\"American Journal of Case Reports\",\"FirstCategoryId\":\"1085\",\"ListUrlMain\":\"https://doi.org/10.12659/AJCR.947859\",\"RegionNum\":0,\"RegionCategory\":null,\"ArticlePicture\":[],\"TitleCN\":null,\"AbstractTextCN\":null,\"PMCID\":null,\"EPubDate\":\"\",\"PubModel\":\"\",\"JCR\":\"Q3\",\"JCRName\":\"MEDICINE, GENERAL & INTERNAL\",\"Score\":null,\"Total\":0}","platform":"Semanticscholar","paperid":null,"PeriodicalName":"American Journal of Case Reports","FirstCategoryId":"1085","ListUrlMain":"https://doi.org/10.12659/AJCR.947859","RegionNum":0,"RegionCategory":null,"ArticlePicture":[],"TitleCN":null,"AbstractTextCN":null,"PMCID":null,"EPubDate":"","PubModel":"","JCR":"Q3","JCRName":"MEDICINE, GENERAL & INTERNAL","Score":null,"Total":0}
引用次数: 0

摘要

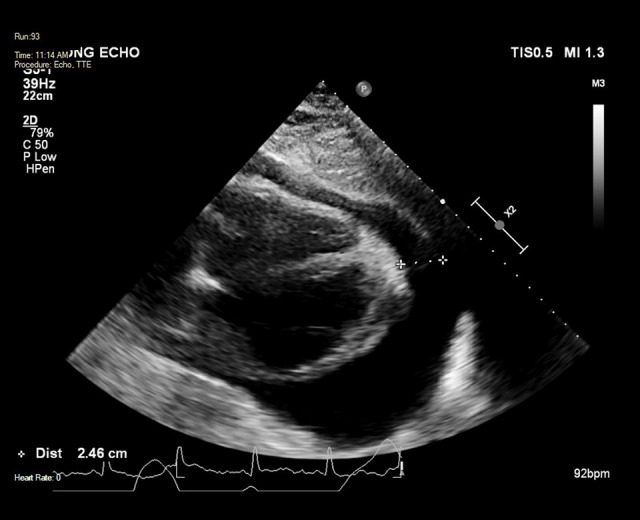
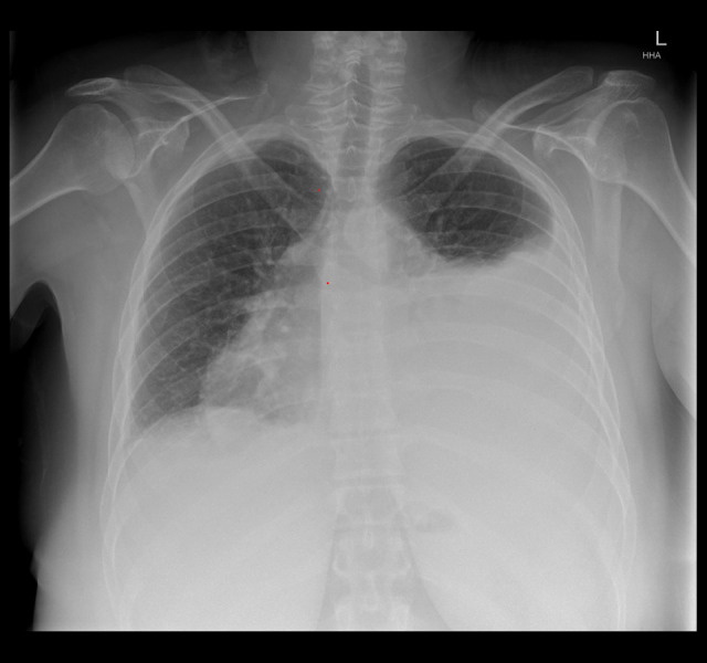
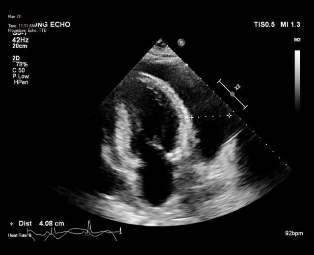
心包炎是系统性红斑狼疮(SLE)的常见并发症。然而,大量心包积液引起的心包填塞是一种罕见的后遗症。SLE患者发生心包填塞的危险因素包括女性、血清补体降低和诊断时抗核小体抗体阳性。心包填塞的治疗方案,如心包穿刺和心包开窗,都是针对个体量身定制的,并且缺乏关于何时进行侵入性干预的明确指南。病例报告:我们报告一例38岁女性SLE加重合并心包填塞,伴有发热、呼吸困难和胸膜炎性胸痛。胸片显示大量左侧胸腔积液掩盖了增宽的纵隔,怀疑为心包积液。在药物治疗试验后,患者出现了新的心房颤动、低血压和心动过速,并进行了心包穿刺,随后在接下来的24小时内抽出了1.6升心包液。采用高剂量脉冲皮质类固醇和环磷酰胺治疗,疾病得到控制,积液无复发。结论:这似乎是文献中描述的SLE患者心包引流量最大的一例。心包填塞可发生在SLE病程的任何阶段。大量胸腔积液可模仿心包积液的症状,使诊断具有挑战性。采用侵入性和药物治疗相结合的方法可以达到最终的治疗效果。心包填塞发生的危险因素应在SLE恶化的早期识别,以确保及时治疗并避免进一步的并发症。
本文章由计算机程序翻译,如有差异,请以英文原文为准。

Management of Cardiac Tamponade During Systemic Lupus Erythematosus Flare with Significant Pericardial Effusion: A Case Report.

Management of Cardiac Tamponade During Systemic Lupus Erythematosus Flare with Significant Pericardial Effusion: A Case Report.

Management of Cardiac Tamponade During Systemic Lupus Erythematosus Flare with Significant Pericardial Effusion: A Case Report.

Management of Cardiac Tamponade During Systemic Lupus Erythematosus Flare with Significant Pericardial Effusion: A Case Report.

BACKGROUND Pericarditis is a frequently encountered complication of systemic lupus erythematosus (SLE). However, cardiac tamponade resulting from massive pericardial effusion is a rare sequela. Risk factors for cardiac tamponade in SLE include female sex, reduced serum complement, and positive anti-nucleosome antibody at diagnosis. Management options for cardiac tamponade, such as pericardiocentesis and pericardial window, are tailored to the individual, and clear guidelines for when to proceed with invasive intervention are lacking. CASE REPORT We present a case of cardiac tamponade associated with an SLE exacerbation in a 38-year-old woman, associated with fever, dyspnea, and pleuritic chest pain. A chest radiograph demonstrated a large left pleural effusion obscuring a widened mediastinum suspicious for pericardial effusion. After a trial of medical therapy, the patient developed new atrial fibrillation, hypotension, and tachycardia, and proceeded to pericardiocentesis following which 1.6 liters of pericardial fluid was drained over the following 24 hours. Disease control was achieved with high-dose pulsed corticosteroids and cyclophosphamide and there was no recurrence of the effusion. CONCLUSIONS This appears to be one of the largest volumes of pericardial drainage described in the literature in the setting of SLE. Cardiac tamponade can occur at any stage of the disease course in SLE. Large pleural effusions can mimic symptoms of pericardial effusion and make diagnosis challenging. Definitive management can be achieved using a combination of invasive and medical therapy. Risk factors for the development of cardiac tamponade should be identified early in the course of an SLE exacerbation to ensure prompt treatment and avoid further complications.

求助全文
通过发布文献求助,成功后即可免费获取论文全文。 去求助
来源期刊
American Journal of Case Reports
American Journal of Case Reports Medicine-Medicine (all)
CiteScore
1.80
自引率
0.00%
发文量
599
期刊介绍: American Journal of Case Reports is an international, peer-reviewed scientific journal that publishes single and series case reports in all medical fields. American Journal of Case Reports is issued on a continuous basis as a primary electronic journal. Print copies of a single article or a set of articles can be ordered on demand.
×
引用
GB/T 7714-2015
复制
MLA
复制
APA
复制
导出至
BibTeX EndNote RefMan NoteFirst NoteExpress
×
提示
您的信息不完整,为了账户安全,请先补充。
现在去补充
×
提示
您因"违规操作"
具体请查看互助需知
我知道了
×
提示
确定
请完成安全验证×
copy
已复制链接
快去分享给好友吧!
我知道了
右上角分享
点击右上角分享
0
联系我们:info@booksci.cn Book学术提供免费学术资源搜索服务,方便国内外学者检索中英文文献。致力于提供最便捷和优质的服务体验。 Copyright © 2023 布克学术 All rights reserved.
京ICP备2023020795号-1
ghs 京公网安备 11010802042870号
Book学术文献互助
Book学术文献互助群
群 号:604180095
Book学术官方微信