胎儿宫颈畸胎瘤纵膈延伸的子宫外-产内治疗1例。

IF 0.7 Q3 MEDICINE, GENERAL & INTERNAL
Madison Crew, Caitlin R Eason, Courtney Breckenfelder, James Jaggers, Sarah A Gitomer, Regina M Reynolds, Michael V Zaretsky, S Christopher Derderian
{"title":"胎儿宫颈畸胎瘤纵膈延伸的子宫外-产内治疗1例。","authors":"Madison Crew, Caitlin R Eason, Courtney Breckenfelder, James Jaggers, Sarah A Gitomer, Regina M Reynolds, Michael V Zaretsky, S Christopher Derderian","doi":"10.12659/AJCR.949318","DOIUrl":null,"url":null,"abstract":"<p><p>BACKGROUND Ex-utero intrapartum treatment (EXIT)-to-airway is a complex perinatal procedure performed in the case of potential postnatal airway obstruction. It requires an experienced multidisciplinary team and meticulous surgical planning based on fetal imaging. This report describes the use of EXIT-to-airway for a large cervical teratoma with extension into the mediastinum. CASE REPORT At 35 weeks' gestation, a 29-year-old woman presented to our fetal care center with significant polyhydramnios. The fetus was subsequently diagnosed with a large cervical mass extending into the mediastinum. An EXIT-to-airway procedure was performed at 36 weeks' gestation. The neonate remained intubated while postnatal imaging was obtained. At day of life 3, resection of the teratoma was performed via a combined cervical and mediastinal approach. Pathology confirmed a mature teratoma. The neonate's hospital course was complicated by aspiration with feeding, requiring a gastrostomy tube, and she was discharged on day of life 40. CONCLUSIONS While cervical teratoma is a well-established indication for the EXIT procedure, this case is notable for its late third-trimester diagnosis and the rare extension of the mass into the mediastinum, which necessitated a dual surgical approach. It highlights the importance of maintaining a broad differential diagnosis in the setting of recurrent third-trimester polyhydramnios and demonstrates the critical role of multidisciplinary planning in optimizing outcomes when airway compromise is anticipated. This case contributes to the growing body of evidence supporting the expanded utility of EXIT-to-airway for complex cervicomediastinal masses.</p>","PeriodicalId":39064,"journal":{"name":"American Journal of Case Reports","volume":"26 ","pages":"e949318"},"PeriodicalIF":0.7000,"publicationDate":"2025-09-02","publicationTypes":"Journal Article","fieldsOfStudy":null,"isOpenAccess":false,"openAccessPdf":"https://www.ncbi.nlm.nih.gov/pmc/articles/PMC12413765/pdf/","citationCount":"0","resultStr":"{\"title\":\"Ex-Utero Intrapartum Treatment for a Fetal Cervical Teratoma with Mediastinal Extension: A Case Report.\",\"authors\":\"Madison Crew, Caitlin R Eason, Courtney Breckenfelder, James Jaggers, Sarah A Gitomer, Regina M Reynolds, Michael V Zaretsky, S Christopher Derderian\",\"doi\":\"10.12659/AJCR.949318\",\"DOIUrl\":null,\"url\":null,\"abstract\":\"<p><p>BACKGROUND Ex-utero intrapartum treatment (EXIT)-to-airway is a complex perinatal procedure performed in the case of potential postnatal airway obstruction. It requires an experienced multidisciplinary team and meticulous surgical planning based on fetal imaging. This report describes the use of EXIT-to-airway for a large cervical teratoma with extension into the mediastinum. CASE REPORT At 35 weeks' gestation, a 29-year-old woman presented to our fetal care center with significant polyhydramnios. The fetus was subsequently diagnosed with a large cervical mass extending into the mediastinum. An EXIT-to-airway procedure was performed at 36 weeks' gestation. The neonate remained intubated while postnatal imaging was obtained. At day of life 3, resection of the teratoma was performed via a combined cervical and mediastinal approach. Pathology confirmed a mature teratoma. The neonate's hospital course was complicated by aspiration with feeding, requiring a gastrostomy tube, and she was discharged on day of life 40. CONCLUSIONS While cervical teratoma is a well-established indication for the EXIT procedure, this case is notable for its late third-trimester diagnosis and the rare extension of the mass into the mediastinum, which necessitated a dual surgical approach. It highlights the importance of maintaining a broad differential diagnosis in the setting of recurrent third-trimester polyhydramnios and demonstrates the critical role of multidisciplinary planning in optimizing outcomes when airway compromise is anticipated. This case contributes to the growing body of evidence supporting the expanded utility of EXIT-to-airway for complex cervicomediastinal masses.</p>\",\"PeriodicalId\":39064,\"journal\":{\"name\":\"American Journal of Case Reports\",\"volume\":\"26 \",\"pages\":\"e949318\"},\"PeriodicalIF\":0.7000,\"publicationDate\":\"2025-09-02\",\"publicationTypes\":\"Journal Article\",\"fieldsOfStudy\":null,\"isOpenAccess\":false,\"openAccessPdf\":\"https://www.ncbi.nlm.nih.gov/pmc/articles/PMC12413765/pdf/\",\"citationCount\":\"0\",\"resultStr\":null,\"platform\":\"Semanticscholar\",\"paperid\":null,\"PeriodicalName\":\"American Journal of Case Reports\",\"FirstCategoryId\":\"1085\",\"ListUrlMain\":\"https://doi.org/10.12659/AJCR.949318\",\"RegionNum\":0,\"RegionCategory\":null,\"ArticlePicture\":[],\"TitleCN\":null,\"AbstractTextCN\":null,\"PMCID\":null,\"EPubDate\":\"\",\"PubModel\":\"\",\"JCR\":\"Q3\",\"JCRName\":\"MEDICINE, GENERAL & INTERNAL\",\"Score\":null,\"Total\":0}","platform":"Semanticscholar","paperid":null,"PeriodicalName":"American Journal of Case Reports","FirstCategoryId":"1085","ListUrlMain":"https://doi.org/10.12659/AJCR.949318","RegionNum":0,"RegionCategory":null,"ArticlePicture":[],"TitleCN":null,"AbstractTextCN":null,"PMCID":null,"EPubDate":"","PubModel":"","JCR":"Q3","JCRName":"MEDICINE, GENERAL & INTERNAL","Score":null,"Total":0}
引用次数: 0

摘要

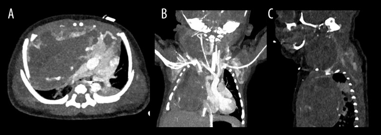
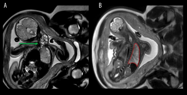
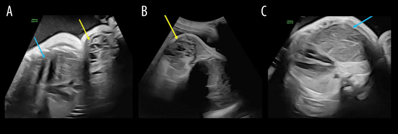
背景:在潜在的产后气道阻塞的情况下,宫内气管治疗(EXIT)是一项复杂的围产期手术。它需要一个经验丰富的多学科团队和基于胎儿成像的细致的手术计划。本报告描述了使用出口到气道的大宫颈畸胎瘤延伸到纵隔。病例报告:在妊娠35周时,一名29岁的女性因羊水过多来到我们的胎儿护理中心。胎儿随后被诊断为一个大的宫颈肿块延伸到纵隔。妊娠36周时进行出口至气道手术。在获得产后成像时,新生儿仍插管。在出生第3天,通过宫颈和纵隔联合入路切除畸胎瘤。病理证实为成熟畸胎瘤。新生儿的住院过程因吸入和喂养而变得复杂,需要胃造口管,她在出生第40天出院。结论:虽然宫颈畸胎瘤是EXIT手术的一个明确的适应症,但该病例因其妊娠晚期晚期的诊断和罕见的肿块延伸到纵隔,需要双重手术入路。它强调了在反复发生的晚期羊水过多的情况下维持广泛的鉴别诊断的重要性,并证明了多学科计划在预期气道损害时优化结果的关键作用。本病例提供了越来越多的证据,支持在复杂的颈纵隔肿块中扩大出口到气道的应用。
本文章由计算机程序翻译,如有差异,请以英文原文为准。

Ex-Utero Intrapartum Treatment for a Fetal Cervical Teratoma with Mediastinal Extension: A Case Report.

Ex-Utero Intrapartum Treatment for a Fetal Cervical Teratoma with Mediastinal Extension: A Case Report.

Ex-Utero Intrapartum Treatment for a Fetal Cervical Teratoma with Mediastinal Extension: A Case Report.

Ex-Utero Intrapartum Treatment for a Fetal Cervical Teratoma with Mediastinal Extension: A Case Report.

BACKGROUND Ex-utero intrapartum treatment (EXIT)-to-airway is a complex perinatal procedure performed in the case of potential postnatal airway obstruction. It requires an experienced multidisciplinary team and meticulous surgical planning based on fetal imaging. This report describes the use of EXIT-to-airway for a large cervical teratoma with extension into the mediastinum. CASE REPORT At 35 weeks' gestation, a 29-year-old woman presented to our fetal care center with significant polyhydramnios. The fetus was subsequently diagnosed with a large cervical mass extending into the mediastinum. An EXIT-to-airway procedure was performed at 36 weeks' gestation. The neonate remained intubated while postnatal imaging was obtained. At day of life 3, resection of the teratoma was performed via a combined cervical and mediastinal approach. Pathology confirmed a mature teratoma. The neonate's hospital course was complicated by aspiration with feeding, requiring a gastrostomy tube, and she was discharged on day of life 40. CONCLUSIONS While cervical teratoma is a well-established indication for the EXIT procedure, this case is notable for its late third-trimester diagnosis and the rare extension of the mass into the mediastinum, which necessitated a dual surgical approach. It highlights the importance of maintaining a broad differential diagnosis in the setting of recurrent third-trimester polyhydramnios and demonstrates the critical role of multidisciplinary planning in optimizing outcomes when airway compromise is anticipated. This case contributes to the growing body of evidence supporting the expanded utility of EXIT-to-airway for complex cervicomediastinal masses.

求助全文
通过发布文献求助,成功后即可免费获取论文全文。 去求助
来源期刊
American Journal of Case Reports
American Journal of Case Reports Medicine-Medicine (all)
CiteScore
1.80
自引率
0.00%
发文量
599
期刊介绍: American Journal of Case Reports is an international, peer-reviewed scientific journal that publishes single and series case reports in all medical fields. American Journal of Case Reports is issued on a continuous basis as a primary electronic journal. Print copies of a single article or a set of articles can be ordered on demand.
×
引用
GB/T 7714-2015
复制
MLA
复制
APA
复制
导出至
BibTeX EndNote RefMan NoteFirst NoteExpress
×
提示
您的信息不完整,为了账户安全,请先补充。
现在去补充
×
提示
您因"违规操作"
具体请查看互助需知
我知道了
×
提示
确定
请完成安全验证×
copy
已复制链接
快去分享给好友吧!
我知道了
右上角分享
点击右上角分享
0
联系我们:info@booksci.cn Book学术提供免费学术资源搜索服务,方便国内外学者检索中英文文献。致力于提供最便捷和优质的服务体验。 Copyright © 2023 布克学术 All rights reserved.
京ICP备2023020795号-1
ghs 京公网安备 11010802042870号
Book学术文献互助
Book学术文献互助群
群 号:604180095
Book学术官方微信