水泥地板与深糠地板生猪肉质和纤维特性比较。

IF 1.7 3区 农林科学 Q2 VETERINARY SCIENCES
Min Yuan, Zhihao Cui, Yanan Sun, Jing Li, Li Xiaoxaio, Xiaohua Hong, Peishi Yan
{"title":"水泥地板与深糠地板生猪肉质和纤维特性比较。","authors":"Min Yuan, Zhihao Cui, Yanan Sun, Jing Li, Li Xiaoxaio, Xiaohua Hong, Peishi Yan","doi":"10.1002/vms3.70590","DOIUrl":null,"url":null,"abstract":"<p><p>The quality of pork has become an increasing concern for consumers, yet the impacts of floor types on meat quality remain insufficiently understood. This study aimed to compare the meat quality and muscle fibre characteristics of pigs raised on cement floors (CF) and deep litter floors (DF). Two large-scale pig farms were selected for the study: one with DF and one with CF. When pigs reached a body weight of 110 kg, six animals from each group were euthanized, and samples of the longissimus dorsi, psoas major muscle, and quadriceps femoris muscle were collected for analysis. The results showed that the meat of pigs raised on DF had significantly higher redness (p < 0.05) and drip loss (p < 0.0001) compared to those raised on CF. The concentration of glucose-6-phosphate (p < 0.05), lactic acid (p < 0.01), and glycolytic potential (p < 0.01) was significantly lower in DF pigs, while the concentration of glycogen (p < 0.01) was notably higher. Additionally, the cross-sectional area of longissimus dorsi was significantly higher in DF pigs (p < 0.001). Expression levels of MyHC-IIa (p < 0.05), MyHC-IIx (p < 0.05), and MyHC-1β (p < 0.05) were higher in DF pigs, while MyHC-IIb expression was significantly greater in CF pigs. These results suggest that raising pigs on DF enhances meat quality attributes such as redness, drip loss, and inosine acid and guanosine monophosphate content by modulating metabolic processes, enzyme activity, muscle fibre types, and MyHC gene expression. This study provides valuable insights into optimizing pig production systems for improved meat quality in China.</p>","PeriodicalId":23543,"journal":{"name":"Veterinary Medicine and Science","volume":"11 5","pages":"e70590"},"PeriodicalIF":1.7000,"publicationDate":"2025-09-01","publicationTypes":"Journal Article","fieldsOfStudy":null,"isOpenAccess":false,"openAccessPdf":"https://www.ncbi.nlm.nih.gov/pmc/articles/PMC12397947/pdf/","citationCount":"0","resultStr":"{\"title\":\"Comparison of Meat Quality and fibre Characteristics in Pigs Breeding in Cement Floor and Deep Litter Floor.\",\"authors\":\"Min Yuan, Zhihao Cui, Yanan Sun, Jing Li, Li Xiaoxaio, Xiaohua Hong, Peishi Yan\",\"doi\":\"10.1002/vms3.70590\",\"DOIUrl\":null,\"url\":null,\"abstract\":\"<p><p>The quality of pork has become an increasing concern for consumers, yet the impacts of floor types on meat quality remain insufficiently understood. This study aimed to compare the meat quality and muscle fibre characteristics of pigs raised on cement floors (CF) and deep litter floors (DF). Two large-scale pig farms were selected for the study: one with DF and one with CF. When pigs reached a body weight of 110 kg, six animals from each group were euthanized, and samples of the longissimus dorsi, psoas major muscle, and quadriceps femoris muscle were collected for analysis. The results showed that the meat of pigs raised on DF had significantly higher redness (p < 0.05) and drip loss (p < 0.0001) compared to those raised on CF. The concentration of glucose-6-phosphate (p < 0.05), lactic acid (p < 0.01), and glycolytic potential (p < 0.01) was significantly lower in DF pigs, while the concentration of glycogen (p < 0.01) was notably higher. Additionally, the cross-sectional area of longissimus dorsi was significantly higher in DF pigs (p < 0.001). Expression levels of MyHC-IIa (p < 0.05), MyHC-IIx (p < 0.05), and MyHC-1β (p < 0.05) were higher in DF pigs, while MyHC-IIb expression was significantly greater in CF pigs. These results suggest that raising pigs on DF enhances meat quality attributes such as redness, drip loss, and inosine acid and guanosine monophosphate content by modulating metabolic processes, enzyme activity, muscle fibre types, and MyHC gene expression. This study provides valuable insights into optimizing pig production systems for improved meat quality in China.</p>\",\"PeriodicalId\":23543,\"journal\":{\"name\":\"Veterinary Medicine and Science\",\"volume\":\"11 5\",\"pages\":\"e70590\"},\"PeriodicalIF\":1.7000,\"publicationDate\":\"2025-09-01\",\"publicationTypes\":\"Journal Article\",\"fieldsOfStudy\":null,\"isOpenAccess\":false,\"openAccessPdf\":\"https://www.ncbi.nlm.nih.gov/pmc/articles/PMC12397947/pdf/\",\"citationCount\":\"0\",\"resultStr\":null,\"platform\":\"Semanticscholar\",\"paperid\":null,\"PeriodicalName\":\"Veterinary Medicine and Science\",\"FirstCategoryId\":\"97\",\"ListUrlMain\":\"https://doi.org/10.1002/vms3.70590\",\"RegionNum\":3,\"RegionCategory\":\"农林科学\",\"ArticlePicture\":[],\"TitleCN\":null,\"AbstractTextCN\":null,\"PMCID\":null,\"EPubDate\":\"\",\"PubModel\":\"\",\"JCR\":\"Q2\",\"JCRName\":\"VETERINARY SCIENCES\",\"Score\":null,\"Total\":0}","platform":"Semanticscholar","paperid":null,"PeriodicalName":"Veterinary Medicine and Science","FirstCategoryId":"97","ListUrlMain":"https://doi.org/10.1002/vms3.70590","RegionNum":3,"RegionCategory":"农林科学","ArticlePicture":[],"TitleCN":null,"AbstractTextCN":null,"PMCID":null,"EPubDate":"","PubModel":"","JCR":"Q2","JCRName":"VETERINARY SCIENCES","Score":null,"Total":0}
引用次数: 0

摘要

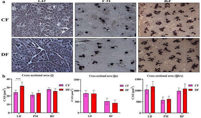
猪肉的质量已经成为消费者越来越关注的问题,然而地板类型对肉质量的影响仍然没有得到充分的了解。本试验旨在比较水泥地板(CF)和深糠地板(DF)饲养猪的肉品质和肌纤维特性。选择两个大型猪场进行研究,一个是DF猪场,一个是CF猪场。当猪体重达到110 kg时,每组6头猪实施安乐死,并收集背最长肌、腰肌大肌和股四头肌样本进行分析。结果表明:DF饲养的猪肉红度(p < 0.05)和滴漏损失(p < 0.0001)显著高于CF饲养的猪,DF猪的葡萄糖-6-磷酸(p < 0.05)、乳酸(p < 0.01)和糖酵解电位(p < 0.01)浓度显著低于CF饲养的猪,糖原浓度(p < 0.01)显著高于CF饲养的猪。此外,DF猪背最长肌的横截面积显著增加(p < 0.001)。MyHC-IIa (p < 0.05)、MyHC-IIx (p < 0.05)和MyHC-1β (p < 0.05)在DF猪中表达水平较高,而MyHC-IIb在CF猪中表达水平显著高于CF猪。上述结果表明,饲粮添加DF可通过调节代谢过程、酶活性、肌纤维类型和MyHC基因表达,提高肉质性状,如发红、滴水损失、肌苷酸和鸟苷单磷酸含量。本研究为优化生猪生产系统以提高中国肉质提供了有价值的见解。
本文章由计算机程序翻译,如有差异,请以英文原文为准。

Comparison of Meat Quality and fibre Characteristics in Pigs Breeding in Cement Floor and Deep Litter Floor.

Comparison of Meat Quality and fibre Characteristics in Pigs Breeding in Cement Floor and Deep Litter Floor.

Comparison of Meat Quality and fibre Characteristics in Pigs Breeding in Cement Floor and Deep Litter Floor.

Comparison of Meat Quality and fibre Characteristics in Pigs Breeding in Cement Floor and Deep Litter Floor.

The quality of pork has become an increasing concern for consumers, yet the impacts of floor types on meat quality remain insufficiently understood. This study aimed to compare the meat quality and muscle fibre characteristics of pigs raised on cement floors (CF) and deep litter floors (DF). Two large-scale pig farms were selected for the study: one with DF and one with CF. When pigs reached a body weight of 110 kg, six animals from each group were euthanized, and samples of the longissimus dorsi, psoas major muscle, and quadriceps femoris muscle were collected for analysis. The results showed that the meat of pigs raised on DF had significantly higher redness (p < 0.05) and drip loss (p < 0.0001) compared to those raised on CF. The concentration of glucose-6-phosphate (p < 0.05), lactic acid (p < 0.01), and glycolytic potential (p < 0.01) was significantly lower in DF pigs, while the concentration of glycogen (p < 0.01) was notably higher. Additionally, the cross-sectional area of longissimus dorsi was significantly higher in DF pigs (p < 0.001). Expression levels of MyHC-IIa (p < 0.05), MyHC-IIx (p < 0.05), and MyHC-1β (p < 0.05) were higher in DF pigs, while MyHC-IIb expression was significantly greater in CF pigs. These results suggest that raising pigs on DF enhances meat quality attributes such as redness, drip loss, and inosine acid and guanosine monophosphate content by modulating metabolic processes, enzyme activity, muscle fibre types, and MyHC gene expression. This study provides valuable insights into optimizing pig production systems for improved meat quality in China.

求助全文
通过发布文献求助,成功后即可免费获取论文全文。 去求助
来源期刊
Veterinary Medicine and Science
Veterinary Medicine and Science Veterinary-General Veterinary
CiteScore
3.00
自引率
0.00%
发文量
296
期刊介绍: Veterinary Medicine and Science is the peer-reviewed journal for rapid dissemination of research in all areas of veterinary medicine and science. The journal aims to serve the research community by providing a vehicle for authors wishing to publish interesting and high quality work in both fundamental and clinical veterinary medicine and science. Veterinary Medicine and Science publishes original research articles, systematic reviews, meta-analyses, and research methods papers, along with invited editorials and commentaries. Original research papers must report well-conducted research with conclusions supported by the data presented in the paper. We aim to be a truly global forum for high-quality research in veterinary medicine and science, and believe that the best research should be published and made widely accessible as quickly as possible. Veterinary Medicine and Science publishes papers submitted directly to the journal and those referred from a select group of prestigious journals published by Wiley-Blackwell. Veterinary Medicine and Science is a Wiley Open Access journal, one of a new series of peer-reviewed titles publishing quality research with speed and efficiency. For further information visit the Wiley Open Access website.
×
引用
GB/T 7714-2015
复制
MLA
复制
APA
复制
导出至
BibTeX EndNote RefMan NoteFirst NoteExpress
×
提示
您的信息不完整,为了账户安全,请先补充。
现在去补充
×
提示
您因"违规操作"
具体请查看互助需知
我知道了
×
提示
确定
请完成安全验证×
copy
已复制链接
快去分享给好友吧!
我知道了
右上角分享
点击右上角分享
0
联系我们:info@booksci.cn Book学术提供免费学术资源搜索服务,方便国内外学者检索中英文文献。致力于提供最便捷和优质的服务体验。 Copyright © 2023 布克学术 All rights reserved.
京ICP备2023020795号-1
ghs 京公网安备 11010802042870号
Book学术文献互助
Book学术文献互助群
群 号:604180095
Book学术官方微信
小红书