罕见的波斯猫全身性隐球菌淋巴结病病例。

IF 1.7 3区 农林科学 Q2 VETERINARY SCIENCES
Chang-Hyeon Choi, Keon Kim, Chang-Yun Je, Kwang-Jun Lee, Woong-Bin Ro, Chang-Min Lee
{"title":"罕见的波斯猫全身性隐球菌淋巴结病病例。","authors":"Chang-Hyeon Choi, Keon Kim, Chang-Yun Je, Kwang-Jun Lee, Woong-Bin Ro, Chang-Min Lee","doi":"10.1002/vms3.70564","DOIUrl":null,"url":null,"abstract":"<p><strong>Background: </strong>Cryptococcosis is the most common systemic fungal infection in cats, typically presenting with respiratory or neurological signs. However, cases without these hallmark symptoms are rare and often misdiagnosed. This case is noteworthy for its atypical presentation, where a cat developed systemic cryptococcosis without the typical respiratory or neurological involvement, making it particularly challenging to diagnose. In addition, the overlap of clinical signs with other diseases like lymphoma underscores the importance of considering cryptococcosis in differential diagnoses.</p><p><strong>Case presentation: </strong>A 7-year-old castrated male Persian cat was referred due to generalized cutaneous nodules, including a prominent 4-5 cm nodule on the neck, and generalized lymphadenopathy. Neurological examination revealed an absent menace response in the left eye, raising suspicion of vision loss. Blood tests indicated hyperglobulinemia and the presence of medium-to-large lymphoid cells in the peripheral blood. Diagnostic imaging showed systemic lymphadenopathy, retinal detachment and minimal ascites. Fine needle aspiration of the lymph nodes revealed yeast-like organisms, and culture confirmed Cryptococcus neoformans. Initially treated with itraconazole, the therapy was switched to fluconazole due to better CNS penetration. The lymph node enlargement improved within one week, but further follow-up was limited due to owner constraints.</p><p><strong>Conclusions: </strong>This case emphasizes the diagnostic challenges posed by atypical presentations of feline cryptococcosis, particularly in the absence of respiratory and neurological symptoms. It highlights the importance of considering systemic fungal infections in the differential diagnosis of lymphadenopathy. The overlap with diseases like lymphoma further underscores the need for comprehensive diagnostic workups, including cytology and culture, to ensure accurate diagnosis and effective treatment.</p>","PeriodicalId":23543,"journal":{"name":"Veterinary Medicine and Science","volume":"11 5","pages":"e70564"},"PeriodicalIF":1.7000,"publicationDate":"2025-09-01","publicationTypes":"Journal Article","fieldsOfStudy":null,"isOpenAccess":false,"openAccessPdf":"https://www.ncbi.nlm.nih.gov/pmc/articles/PMC12402813/pdf/","citationCount":"0","resultStr":"{\"title\":\"Rare Case of Systemic Cryptococcal Lymphadenopathy in a Persian Cat.\",\"authors\":\"Chang-Hyeon Choi, Keon Kim, Chang-Yun Je, Kwang-Jun Lee, Woong-Bin Ro, Chang-Min Lee\",\"doi\":\"10.1002/vms3.70564\",\"DOIUrl\":null,\"url\":null,\"abstract\":\"<p><strong>Background: </strong>Cryptococcosis is the most common systemic fungal infection in cats, typically presenting with respiratory or neurological signs. However, cases without these hallmark symptoms are rare and often misdiagnosed. This case is noteworthy for its atypical presentation, where a cat developed systemic cryptococcosis without the typical respiratory or neurological involvement, making it particularly challenging to diagnose. In addition, the overlap of clinical signs with other diseases like lymphoma underscores the importance of considering cryptococcosis in differential diagnoses.</p><p><strong>Case presentation: </strong>A 7-year-old castrated male Persian cat was referred due to generalized cutaneous nodules, including a prominent 4-5 cm nodule on the neck, and generalized lymphadenopathy. Neurological examination revealed an absent menace response in the left eye, raising suspicion of vision loss. Blood tests indicated hyperglobulinemia and the presence of medium-to-large lymphoid cells in the peripheral blood. Diagnostic imaging showed systemic lymphadenopathy, retinal detachment and minimal ascites. Fine needle aspiration of the lymph nodes revealed yeast-like organisms, and culture confirmed Cryptococcus neoformans. Initially treated with itraconazole, the therapy was switched to fluconazole due to better CNS penetration. The lymph node enlargement improved within one week, but further follow-up was limited due to owner constraints.</p><p><strong>Conclusions: </strong>This case emphasizes the diagnostic challenges posed by atypical presentations of feline cryptococcosis, particularly in the absence of respiratory and neurological symptoms. It highlights the importance of considering systemic fungal infections in the differential diagnosis of lymphadenopathy. The overlap with diseases like lymphoma further underscores the need for comprehensive diagnostic workups, including cytology and culture, to ensure accurate diagnosis and effective treatment.</p>\",\"PeriodicalId\":23543,\"journal\":{\"name\":\"Veterinary Medicine and Science\",\"volume\":\"11 5\",\"pages\":\"e70564\"},\"PeriodicalIF\":1.7000,\"publicationDate\":\"2025-09-01\",\"publicationTypes\":\"Journal Article\",\"fieldsOfStudy\":null,\"isOpenAccess\":false,\"openAccessPdf\":\"https://www.ncbi.nlm.nih.gov/pmc/articles/PMC12402813/pdf/\",\"citationCount\":\"0\",\"resultStr\":null,\"platform\":\"Semanticscholar\",\"paperid\":null,\"PeriodicalName\":\"Veterinary Medicine and Science\",\"FirstCategoryId\":\"97\",\"ListUrlMain\":\"https://doi.org/10.1002/vms3.70564\",\"RegionNum\":3,\"RegionCategory\":\"农林科学\",\"ArticlePicture\":[],\"TitleCN\":null,\"AbstractTextCN\":null,\"PMCID\":null,\"EPubDate\":\"\",\"PubModel\":\"\",\"JCR\":\"Q2\",\"JCRName\":\"VETERINARY SCIENCES\",\"Score\":null,\"Total\":0}","platform":"Semanticscholar","paperid":null,"PeriodicalName":"Veterinary Medicine and Science","FirstCategoryId":"97","ListUrlMain":"https://doi.org/10.1002/vms3.70564","RegionNum":3,"RegionCategory":"农林科学","ArticlePicture":[],"TitleCN":null,"AbstractTextCN":null,"PMCID":null,"EPubDate":"","PubModel":"","JCR":"Q2","JCRName":"VETERINARY SCIENCES","Score":null,"Total":0}
引用次数: 0

摘要

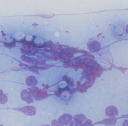
背景:隐球菌病是猫最常见的全身性真菌感染,通常表现为呼吸或神经症状。然而,没有这些标志性症状的病例很少,而且经常被误诊。该病例的非典型表现值得注意,猫出现了系统性隐球菌病,没有典型的呼吸或神经系统受累,这使得诊断特别具有挑战性。此外,临床症状与其他疾病如淋巴瘤的重叠强调了在鉴别诊断中考虑隐球菌病的重要性。病例介绍:一只7岁的雄性波斯猫因广泛性皮肤结节,包括颈部一个突出的4-5厘米结节和广泛性淋巴结病而被转诊。神经学检查显示左眼无威胁反应,怀疑视力丧失。血液检查显示高球蛋白血症和外周血中大型淋巴样细胞的存在。诊断影像显示全身性淋巴结病变、视网膜脱离及轻微腹水。淋巴结细针穿刺显示酵母样生物,培养证实为新型隐球菌。最初用伊曲康唑治疗,由于更好的中枢神经穿透性,改用氟康唑治疗。淋巴结肿大在一周内得到改善,但由于所有者的限制,进一步的随访受到限制。结论:该病例强调了猫隐球菌病的非典型表现所带来的诊断挑战,特别是在没有呼吸道和神经症状的情况下。它强调了在淋巴结病的鉴别诊断中考虑全身真菌感染的重要性。与淋巴瘤等疾病的重叠进一步强调需要进行全面的诊断检查,包括细胞学和培养,以确保准确诊断和有效治疗。
本文章由计算机程序翻译,如有差异,请以英文原文为准。

Rare Case of Systemic Cryptococcal Lymphadenopathy in a Persian Cat.

Rare Case of Systemic Cryptococcal Lymphadenopathy in a Persian Cat.

Rare Case of Systemic Cryptococcal Lymphadenopathy in a Persian Cat.

Rare Case of Systemic Cryptococcal Lymphadenopathy in a Persian Cat.

Background: Cryptococcosis is the most common systemic fungal infection in cats, typically presenting with respiratory or neurological signs. However, cases without these hallmark symptoms are rare and often misdiagnosed. This case is noteworthy for its atypical presentation, where a cat developed systemic cryptococcosis without the typical respiratory or neurological involvement, making it particularly challenging to diagnose. In addition, the overlap of clinical signs with other diseases like lymphoma underscores the importance of considering cryptococcosis in differential diagnoses.

Case presentation: A 7-year-old castrated male Persian cat was referred due to generalized cutaneous nodules, including a prominent 4-5 cm nodule on the neck, and generalized lymphadenopathy. Neurological examination revealed an absent menace response in the left eye, raising suspicion of vision loss. Blood tests indicated hyperglobulinemia and the presence of medium-to-large lymphoid cells in the peripheral blood. Diagnostic imaging showed systemic lymphadenopathy, retinal detachment and minimal ascites. Fine needle aspiration of the lymph nodes revealed yeast-like organisms, and culture confirmed Cryptococcus neoformans. Initially treated with itraconazole, the therapy was switched to fluconazole due to better CNS penetration. The lymph node enlargement improved within one week, but further follow-up was limited due to owner constraints.

Conclusions: This case emphasizes the diagnostic challenges posed by atypical presentations of feline cryptococcosis, particularly in the absence of respiratory and neurological symptoms. It highlights the importance of considering systemic fungal infections in the differential diagnosis of lymphadenopathy. The overlap with diseases like lymphoma further underscores the need for comprehensive diagnostic workups, including cytology and culture, to ensure accurate diagnosis and effective treatment.

求助全文
通过发布文献求助,成功后即可免费获取论文全文。 去求助
来源期刊
Veterinary Medicine and Science
Veterinary Medicine and Science Veterinary-General Veterinary
CiteScore
3.00
自引率
0.00%
发文量
296
期刊介绍: Veterinary Medicine and Science is the peer-reviewed journal for rapid dissemination of research in all areas of veterinary medicine and science. The journal aims to serve the research community by providing a vehicle for authors wishing to publish interesting and high quality work in both fundamental and clinical veterinary medicine and science. Veterinary Medicine and Science publishes original research articles, systematic reviews, meta-analyses, and research methods papers, along with invited editorials and commentaries. Original research papers must report well-conducted research with conclusions supported by the data presented in the paper. We aim to be a truly global forum for high-quality research in veterinary medicine and science, and believe that the best research should be published and made widely accessible as quickly as possible. Veterinary Medicine and Science publishes papers submitted directly to the journal and those referred from a select group of prestigious journals published by Wiley-Blackwell. Veterinary Medicine and Science is a Wiley Open Access journal, one of a new series of peer-reviewed titles publishing quality research with speed and efficiency. For further information visit the Wiley Open Access website.
×
引用
GB/T 7714-2015
复制
MLA
复制
APA
复制
导出至
BibTeX EndNote RefMan NoteFirst NoteExpress
×
提示
您的信息不完整,为了账户安全,请先补充。
现在去补充
×
提示
您因"违规操作"
具体请查看互助需知
我知道了
×
提示
确定
请完成安全验证×
copy
已复制链接
快去分享给好友吧!
我知道了
右上角分享
点击右上角分享
0
联系我们:info@booksci.cn Book学术提供免费学术资源搜索服务,方便国内外学者检索中英文文献。致力于提供最便捷和优质的服务体验。 Copyright © 2023 布克学术 All rights reserved.
京ICP备2023020795号-1
ghs 京公网安备 11010802042870号
Book学术文献互助
Book学术文献互助群
群 号:604180095
Book学术官方微信