苦艾精油对大鼠假妊娠模型的影响。

IF 1.7 3区 农林科学 Q2 VETERINARY SCIENCES
Mürşide Ayşe Demirel, İpek Süntar, Ali Osman Çeribaşı, Kevser Taban, Gökhan Zengin
{"title":"苦艾精油对大鼠假妊娠模型的影响。","authors":"Mürşide Ayşe Demirel, İpek Süntar, Ali Osman Çeribaşı, Kevser Taban, Gökhan Zengin","doi":"10.1002/vms3.70582","DOIUrl":null,"url":null,"abstract":"<p><p>Pseudopregnancy is a luteal phase syndrome characterized by symptoms of late pregnancy and/or early postpartum periods. This phenomenon is observed in various species, including rats, rabbits and dogs, and arises due to hormonal alterations. Due to the significant side effects of current treatment regimens, there is a growing need for the development of alternative therapeutic strategies. In this context, various plants and natural compounds have been investigated for their potential to modulate hormonal balance, offering a promising avenue for the treatment of pseudopregnancy. Artemisia absinthium L., a medicinal plant traditionally utilized as an emmenagogue and abortifacient, is known for its regulatory effect on the dopaminergic system. The study aimed to assess whether A. absinthium treatment could restore oestrous cyclicity in pseudopregnant rats. Pseudopregnancy was induced through the administration of a pregnant mare's serum gonadotropin and human chorionic gonadotropin in female rats. The essential oil of A. absinthium was administered orally at doses of 12.5, 25 and 50 mg/kg once daily for 10 days, with bromocriptine as a reference treatment. The results indicated that the 25 mg/kg dose of A. absinthium essential oil exhibited beneficial effects in the pseudopregnancy model. Gas chromatography analysis revealed that the major components of the essential oil included cis-chrysanthenyl acetate (17.8%), sabinyl acetate (11.6%), terpinen-4-ol (6.2%), caryophyllene oxide (5.5%) and (E)-nuciferol (5.5%). These findings suggest that A. absinthium essential oil may present a promising therapeutic option for the management of pseudopregnancy.</p>","PeriodicalId":23543,"journal":{"name":"Veterinary Medicine and Science","volume":"11 5","pages":"e70582"},"PeriodicalIF":1.7000,"publicationDate":"2025-09-01","publicationTypes":"Journal Article","fieldsOfStudy":null,"isOpenAccess":false,"openAccessPdf":"https://www.ncbi.nlm.nih.gov/pmc/articles/PMC12372613/pdf/","citationCount":"0","resultStr":"{\"title\":\"Exploring the Effects of Artemisia absinthium L. Essential Oil on Pseudopregnancy Model in Rats.\",\"authors\":\"Mürşide Ayşe Demirel, İpek Süntar, Ali Osman Çeribaşı, Kevser Taban, Gökhan Zengin\",\"doi\":\"10.1002/vms3.70582\",\"DOIUrl\":null,\"url\":null,\"abstract\":\"<p><p>Pseudopregnancy is a luteal phase syndrome characterized by symptoms of late pregnancy and/or early postpartum periods. This phenomenon is observed in various species, including rats, rabbits and dogs, and arises due to hormonal alterations. Due to the significant side effects of current treatment regimens, there is a growing need for the development of alternative therapeutic strategies. In this context, various plants and natural compounds have been investigated for their potential to modulate hormonal balance, offering a promising avenue for the treatment of pseudopregnancy. Artemisia absinthium L., a medicinal plant traditionally utilized as an emmenagogue and abortifacient, is known for its regulatory effect on the dopaminergic system. The study aimed to assess whether A. absinthium treatment could restore oestrous cyclicity in pseudopregnant rats. Pseudopregnancy was induced through the administration of a pregnant mare's serum gonadotropin and human chorionic gonadotropin in female rats. The essential oil of A. absinthium was administered orally at doses of 12.5, 25 and 50 mg/kg once daily for 10 days, with bromocriptine as a reference treatment. The results indicated that the 25 mg/kg dose of A. absinthium essential oil exhibited beneficial effects in the pseudopregnancy model. Gas chromatography analysis revealed that the major components of the essential oil included cis-chrysanthenyl acetate (17.8%), sabinyl acetate (11.6%), terpinen-4-ol (6.2%), caryophyllene oxide (5.5%) and (E)-nuciferol (5.5%). These findings suggest that A. absinthium essential oil may present a promising therapeutic option for the management of pseudopregnancy.</p>\",\"PeriodicalId\":23543,\"journal\":{\"name\":\"Veterinary Medicine and Science\",\"volume\":\"11 5\",\"pages\":\"e70582\"},\"PeriodicalIF\":1.7000,\"publicationDate\":\"2025-09-01\",\"publicationTypes\":\"Journal Article\",\"fieldsOfStudy\":null,\"isOpenAccess\":false,\"openAccessPdf\":\"https://www.ncbi.nlm.nih.gov/pmc/articles/PMC12372613/pdf/\",\"citationCount\":\"0\",\"resultStr\":null,\"platform\":\"Semanticscholar\",\"paperid\":null,\"PeriodicalName\":\"Veterinary Medicine and Science\",\"FirstCategoryId\":\"97\",\"ListUrlMain\":\"https://doi.org/10.1002/vms3.70582\",\"RegionNum\":3,\"RegionCategory\":\"农林科学\",\"ArticlePicture\":[],\"TitleCN\":null,\"AbstractTextCN\":null,\"PMCID\":null,\"EPubDate\":\"\",\"PubModel\":\"\",\"JCR\":\"Q2\",\"JCRName\":\"VETERINARY SCIENCES\",\"Score\":null,\"Total\":0}","platform":"Semanticscholar","paperid":null,"PeriodicalName":"Veterinary Medicine and Science","FirstCategoryId":"97","ListUrlMain":"https://doi.org/10.1002/vms3.70582","RegionNum":3,"RegionCategory":"农林科学","ArticlePicture":[],"TitleCN":null,"AbstractTextCN":null,"PMCID":null,"EPubDate":"","PubModel":"","JCR":"Q2","JCRName":"VETERINARY SCIENCES","Score":null,"Total":0}
引用次数: 0

摘要

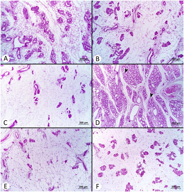
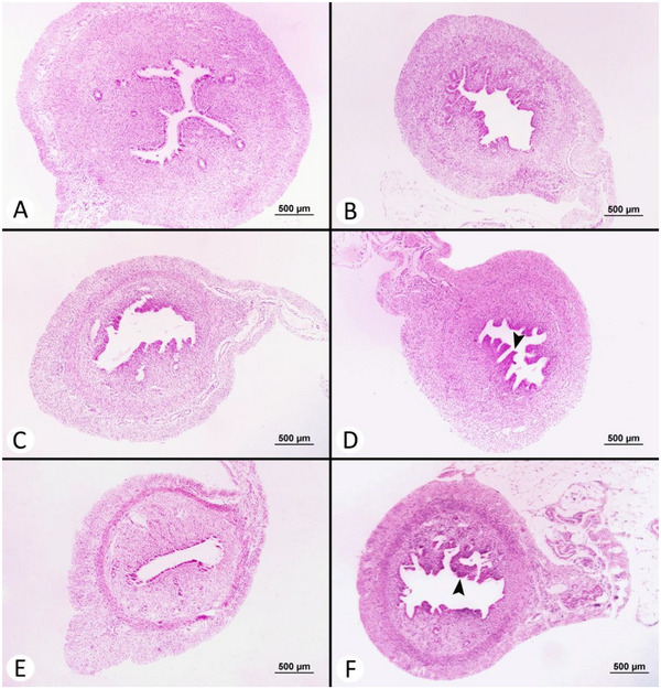
假妊娠是一种以妊娠晚期和/或产后早期症状为特征的黄体期综合征。这种现象在许多物种中都可以观察到,包括老鼠、兔子和狗,它是由于荷尔蒙的改变而产生的。由于目前的治疗方案有显著的副作用,因此越来越需要开发替代治疗策略。在这种情况下,各种植物和天然化合物已经研究了它们调节激素平衡的潜力,为治疗假妊娠提供了一个有希望的途径。艾草(Artemisia absinthium L.)是一种药用植物,传统上被用作催乳剂和流产剂,因其对多巴胺能系统的调节作用而闻名。本研究旨在评估苦艾草是否能恢复假妊娠大鼠的发情周期。通过给药妊娠母马血清促性腺激素和人绒毛膜促性腺激素诱导雌性大鼠假妊娠。以溴隐亭为对照药,以12.5、25和50 mg/kg剂量口服苦艾精油,每日1次,连用10天。结果表明,25 mg/kg剂量的苦艾精油对大鼠假孕模型有一定的促进作用。气相色谱分析表明,挥发油的主要成分为顺式乙酸菊酯(17.8%)、乙酸松木酯(11.6%)、松油烯-4-醇(6.2%)、氧化石竹烯(5.5%)和(E)-灯叶醇(5.5%)。这些发现表明苦艾精油可能为假妊娠的管理提供了一个有希望的治疗选择。
本文章由计算机程序翻译,如有差异,请以英文原文为准。

Exploring the Effects of Artemisia absinthium L. Essential Oil on Pseudopregnancy Model in Rats.

Exploring the Effects of Artemisia absinthium L. Essential Oil on Pseudopregnancy Model in Rats.

Exploring the Effects of Artemisia absinthium L. Essential Oil on Pseudopregnancy Model in Rats.

Exploring the Effects of Artemisia absinthium L. Essential Oil on Pseudopregnancy Model in Rats.

Pseudopregnancy is a luteal phase syndrome characterized by symptoms of late pregnancy and/or early postpartum periods. This phenomenon is observed in various species, including rats, rabbits and dogs, and arises due to hormonal alterations. Due to the significant side effects of current treatment regimens, there is a growing need for the development of alternative therapeutic strategies. In this context, various plants and natural compounds have been investigated for their potential to modulate hormonal balance, offering a promising avenue for the treatment of pseudopregnancy. Artemisia absinthium L., a medicinal plant traditionally utilized as an emmenagogue and abortifacient, is known for its regulatory effect on the dopaminergic system. The study aimed to assess whether A. absinthium treatment could restore oestrous cyclicity in pseudopregnant rats. Pseudopregnancy was induced through the administration of a pregnant mare's serum gonadotropin and human chorionic gonadotropin in female rats. The essential oil of A. absinthium was administered orally at doses of 12.5, 25 and 50 mg/kg once daily for 10 days, with bromocriptine as a reference treatment. The results indicated that the 25 mg/kg dose of A. absinthium essential oil exhibited beneficial effects in the pseudopregnancy model. Gas chromatography analysis revealed that the major components of the essential oil included cis-chrysanthenyl acetate (17.8%), sabinyl acetate (11.6%), terpinen-4-ol (6.2%), caryophyllene oxide (5.5%) and (E)-nuciferol (5.5%). These findings suggest that A. absinthium essential oil may present a promising therapeutic option for the management of pseudopregnancy.

求助全文
通过发布文献求助,成功后即可免费获取论文全文。 去求助
来源期刊
Veterinary Medicine and Science
Veterinary Medicine and Science Veterinary-General Veterinary
CiteScore
3.00
自引率
0.00%
发文量
296
期刊介绍: Veterinary Medicine and Science is the peer-reviewed journal for rapid dissemination of research in all areas of veterinary medicine and science. The journal aims to serve the research community by providing a vehicle for authors wishing to publish interesting and high quality work in both fundamental and clinical veterinary medicine and science. Veterinary Medicine and Science publishes original research articles, systematic reviews, meta-analyses, and research methods papers, along with invited editorials and commentaries. Original research papers must report well-conducted research with conclusions supported by the data presented in the paper. We aim to be a truly global forum for high-quality research in veterinary medicine and science, and believe that the best research should be published and made widely accessible as quickly as possible. Veterinary Medicine and Science publishes papers submitted directly to the journal and those referred from a select group of prestigious journals published by Wiley-Blackwell. Veterinary Medicine and Science is a Wiley Open Access journal, one of a new series of peer-reviewed titles publishing quality research with speed and efficiency. For further information visit the Wiley Open Access website.
×
引用
GB/T 7714-2015
复制
MLA
复制
APA
复制
导出至
BibTeX EndNote RefMan NoteFirst NoteExpress
×
提示
您的信息不完整,为了账户安全,请先补充。
现在去补充
×
提示
您因"违规操作"
具体请查看互助需知
我知道了
×
提示
确定
请完成安全验证×
copy
已复制链接
快去分享给好友吧!
我知道了
右上角分享
点击右上角分享
0
联系我们:info@booksci.cn Book学术提供免费学术资源搜索服务,方便国内外学者检索中英文文献。致力于提供最便捷和优质的服务体验。 Copyright © 2023 布克学术 All rights reserved.
京ICP备2023020795号-1
ghs 京公网安备 11010802042870号
Book学术文献互助
Book学术文献互助群
群 号:604180095
Book学术官方微信