胸腺瘤治疗13年后发生纯红细胞发育不全1例并文献复习。

IF 2.3 3区 医学 Q3 ONCOLOGY
Kento Kono, Kazuhisa Nakashima, Yukari Tsubata, Tsutomu Takahashi, Keita Kawakado, Takashi Yanagawa, Makoto Nagasaki, Tamio Okimoto, Takeshi Isobe
{"title":"胸腺瘤治疗13年后发生纯红细胞发育不全1例并文献复习。","authors":"Kento Kono, Kazuhisa Nakashima, Yukari Tsubata, Tsutomu Takahashi, Keita Kawakado, Takashi Yanagawa, Makoto Nagasaki, Tamio Okimoto, Takeshi Isobe","doi":"10.1111/1759-7714.70157","DOIUrl":null,"url":null,"abstract":"<p><p>A 47-year-old woman was diagnosed with invasive thymoma 13 years ago. She had undergone repeated surgeries, as well as chemotherapy and radiation therapy. Chemotherapy was discontinued after the patient developed normocytic anemia, which was unresponsive to repeated blood transfusions. Bone marrow biopsy results revealed pure red cell aplasia (PRCA). Cyclosporine treatment led to improvement in PRCA; however, the patient died 3 years later from an invasive pneumococcal infection. The onset of thymoma-associated PRCA remains unpredictable, and a significant delay may occur between the diagnosis of the two conditions.</p>","PeriodicalId":23338,"journal":{"name":"Thoracic Cancer","volume":"16 17","pages":"e70157"},"PeriodicalIF":2.3000,"publicationDate":"2025-09-01","publicationTypes":"Journal Article","fieldsOfStudy":null,"isOpenAccess":false,"openAccessPdf":"https://www.ncbi.nlm.nih.gov/pmc/articles/PMC12395460/pdf/","citationCount":"0","resultStr":"{\"title\":\"Pure Red Cell Aplasia That Developed 13 Years After Thymoma Treatment: A Case Report and Literature Review.\",\"authors\":\"Kento Kono, Kazuhisa Nakashima, Yukari Tsubata, Tsutomu Takahashi, Keita Kawakado, Takashi Yanagawa, Makoto Nagasaki, Tamio Okimoto, Takeshi Isobe\",\"doi\":\"10.1111/1759-7714.70157\",\"DOIUrl\":null,\"url\":null,\"abstract\":\"<p><p>A 47-year-old woman was diagnosed with invasive thymoma 13 years ago. She had undergone repeated surgeries, as well as chemotherapy and radiation therapy. Chemotherapy was discontinued after the patient developed normocytic anemia, which was unresponsive to repeated blood transfusions. Bone marrow biopsy results revealed pure red cell aplasia (PRCA). Cyclosporine treatment led to improvement in PRCA; however, the patient died 3 years later from an invasive pneumococcal infection. The onset of thymoma-associated PRCA remains unpredictable, and a significant delay may occur between the diagnosis of the two conditions.</p>\",\"PeriodicalId\":23338,\"journal\":{\"name\":\"Thoracic Cancer\",\"volume\":\"16 17\",\"pages\":\"e70157\"},\"PeriodicalIF\":2.3000,\"publicationDate\":\"2025-09-01\",\"publicationTypes\":\"Journal Article\",\"fieldsOfStudy\":null,\"isOpenAccess\":false,\"openAccessPdf\":\"https://www.ncbi.nlm.nih.gov/pmc/articles/PMC12395460/pdf/\",\"citationCount\":\"0\",\"resultStr\":null,\"platform\":\"Semanticscholar\",\"paperid\":null,\"PeriodicalName\":\"Thoracic Cancer\",\"FirstCategoryId\":\"3\",\"ListUrlMain\":\"https://doi.org/10.1111/1759-7714.70157\",\"RegionNum\":3,\"RegionCategory\":\"医学\",\"ArticlePicture\":[],\"TitleCN\":null,\"AbstractTextCN\":null,\"PMCID\":null,\"EPubDate\":\"\",\"PubModel\":\"\",\"JCR\":\"Q3\",\"JCRName\":\"ONCOLOGY\",\"Score\":null,\"Total\":0}","platform":"Semanticscholar","paperid":null,"PeriodicalName":"Thoracic Cancer","FirstCategoryId":"3","ListUrlMain":"https://doi.org/10.1111/1759-7714.70157","RegionNum":3,"RegionCategory":"医学","ArticlePicture":[],"TitleCN":null,"AbstractTextCN":null,"PMCID":null,"EPubDate":"","PubModel":"","JCR":"Q3","JCRName":"ONCOLOGY","Score":null,"Total":0}
引用次数: 0

摘要

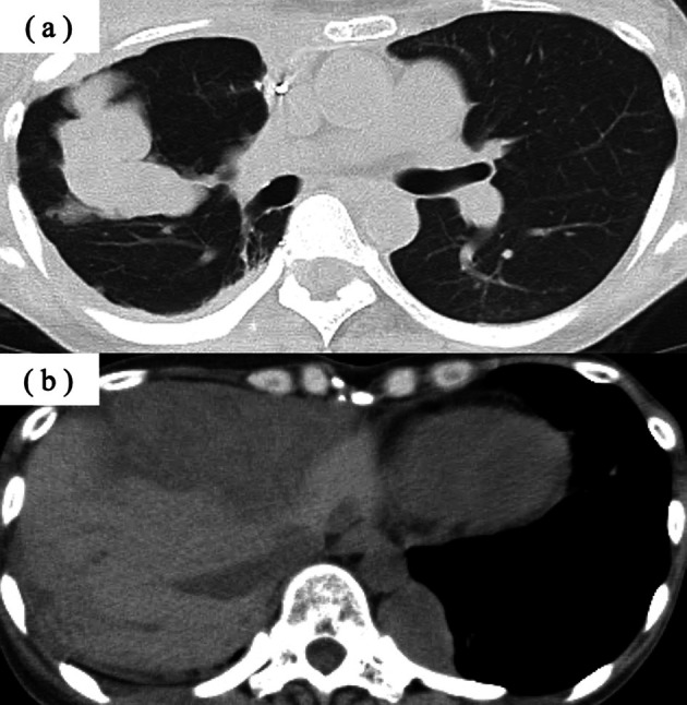
一位47岁的女性在13年前被诊断出患有侵袭性胸腺瘤。她经历了多次手术,以及化疗和放疗。患者出现正红细胞性贫血后,对反复输血无反应,化疗停止。骨髓活检结果显示纯红细胞发育不全(PRCA)。环孢素治疗可改善PRCA;然而,患者3年后死于侵袭性肺炎球菌感染。胸腺瘤相关的PRCA的发病仍然是不可预测的,两种情况的诊断之间可能会出现明显的延迟。
本文章由计算机程序翻译,如有差异,请以英文原文为准。

Pure Red Cell Aplasia That Developed 13 Years After Thymoma Treatment: A Case Report and Literature Review.

Pure Red Cell Aplasia That Developed 13 Years After Thymoma Treatment: A Case Report and Literature Review.

Pure Red Cell Aplasia That Developed 13 Years After Thymoma Treatment: A Case Report and Literature Review.

Pure Red Cell Aplasia That Developed 13 Years After Thymoma Treatment: A Case Report and Literature Review.

A 47-year-old woman was diagnosed with invasive thymoma 13 years ago. She had undergone repeated surgeries, as well as chemotherapy and radiation therapy. Chemotherapy was discontinued after the patient developed normocytic anemia, which was unresponsive to repeated blood transfusions. Bone marrow biopsy results revealed pure red cell aplasia (PRCA). Cyclosporine treatment led to improvement in PRCA; however, the patient died 3 years later from an invasive pneumococcal infection. The onset of thymoma-associated PRCA remains unpredictable, and a significant delay may occur between the diagnosis of the two conditions.

求助全文
通过发布文献求助,成功后即可免费获取论文全文。 去求助
来源期刊
Thoracic Cancer
Thoracic Cancer ONCOLOGY-RESPIRATORY SYSTEM
CiteScore
5.20
自引率
3.40%
发文量
439
审稿时长
2 months
期刊介绍: Thoracic Cancer aims to facilitate international collaboration and exchange of comprehensive and cutting-edge information on basic, translational, and applied clinical research in lung cancer, esophageal cancer, mediastinal cancer, breast cancer and other thoracic malignancies. Prevention, treatment and research relevant to Asia-Pacific is a focus area, but submissions from all regions are welcomed. The editors encourage contributions relevant to prevention, general thoracic surgery, medical oncology, radiology, radiation medicine, pathology, basic cancer research, as well as epidemiological and translational studies in thoracic cancer. Thoracic Cancer is the official publication of the Chinese Society of Lung Cancer, International Chinese Society of Thoracic Surgery and is endorsed by the Korean Association for the Study of Lung Cancer and the Hong Kong Cancer Therapy Society. The Journal publishes a range of article types including: Editorials, Invited Reviews, Mini Reviews, Original Articles, Clinical Guidelines, Technological Notes, Imaging in thoracic cancer, Meeting Reports, Case Reports, Letters to the Editor, Commentaries, and Brief Reports.
×
引用
GB/T 7714-2015
复制
MLA
复制
APA
复制
导出至
BibTeX EndNote RefMan NoteFirst NoteExpress
×
提示
您的信息不完整,为了账户安全,请先补充。
现在去补充
×
提示
您因"违规操作"
具体请查看互助需知
我知道了
×
提示
确定
请完成安全验证×
copy
已复制链接
快去分享给好友吧!
我知道了
右上角分享
点击右上角分享
0
联系我们:info@booksci.cn Book学术提供免费学术资源搜索服务,方便国内外学者检索中英文文献。致力于提供最便捷和优质的服务体验。 Copyright © 2023 布克学术 All rights reserved.
京ICP备2023020795号-1
ghs 京公网安备 11010802042870号
Book学术文献互助
Book学术文献互助群
群 号:604180095
Book学术官方微信