Descemet膜内皮角膜移植术治疗虹膜角膜内皮综合征伴罕见角膜扩张。

IF 2.3 Q2 OPHTHALMOLOGY
Therapeutic Advances in Ophthalmology Pub Date : 2025-08-18 eCollection Date: 2025-01-01 DOI:10.1177/25158414251343968
Mohammad Saleki, Preston Lee, Caroline Thaung, Zahra Ashena
{"title":"Descemet膜内皮角膜移植术治疗虹膜角膜内皮综合征伴罕见角膜扩张。","authors":"Mohammad Saleki, Preston Lee, Caroline Thaung, Zahra Ashena","doi":"10.1177/25158414251343968","DOIUrl":null,"url":null,"abstract":"<p><p>We report the first case of concurrent iridocorneal endothelial (ICE) syndrome and keratoconus, treated successfully with Descemet's membrane endothelial keratoplasty (DMEK). A 60-year-old male presented with gradual visual deterioration in his left eye over 4 years. Best corrected visual acuity was 1.1 LogMar, with corneal stromal oedema. Hypertonic saline and systemic acyclovir provided no improvement. Further examination revealed peripheral anterior synechiae and possible ICE syndrome. Combined cataract surgery and adapted DMEK were performed, using right eye data for intraocular lens calculation. Postoperative histopathology confirmed ICE syndrome. Two months postoperatively, vision improved to 0.54 LogMar, with normal intraocular pressure and optical coherence tomography. Ten months later, unaided visual acuity reached 0.4 LogMar, with no significant changes observed in regular follow-ups. The patient remains satisfied with his vision. This case highlights the rare association of keratoconus with Chandler Syndrome and the first report of such a case where DMEK was used as management. The diagnosis of ICE syndrome complicates treatment, however, despite the challenges, DMEK demonstrated promising results for ICE-related corneal oedema in a patient with concurrent keratoconus, offering improved visual acuity and no complications.</p>","PeriodicalId":23054,"journal":{"name":"Therapeutic Advances in Ophthalmology","volume":"17 ","pages":"25158414251343968"},"PeriodicalIF":2.3000,"publicationDate":"2025-08-18","publicationTypes":"Journal Article","fieldsOfStudy":null,"isOpenAccess":false,"openAccessPdf":"https://www.ncbi.nlm.nih.gov/pmc/articles/PMC12361739/pdf/","citationCount":"0","resultStr":"{\"title\":\"Descemet's membrane endothelial keratoplasty in an eye with iridocorneal endothelial syndrome and rare association of corneal ectasia.\",\"authors\":\"Mohammad Saleki, Preston Lee, Caroline Thaung, Zahra Ashena\",\"doi\":\"10.1177/25158414251343968\",\"DOIUrl\":null,\"url\":null,\"abstract\":\"<p><p>We report the first case of concurrent iridocorneal endothelial (ICE) syndrome and keratoconus, treated successfully with Descemet's membrane endothelial keratoplasty (DMEK). A 60-year-old male presented with gradual visual deterioration in his left eye over 4 years. Best corrected visual acuity was 1.1 LogMar, with corneal stromal oedema. Hypertonic saline and systemic acyclovir provided no improvement. Further examination revealed peripheral anterior synechiae and possible ICE syndrome. Combined cataract surgery and adapted DMEK were performed, using right eye data for intraocular lens calculation. Postoperative histopathology confirmed ICE syndrome. Two months postoperatively, vision improved to 0.54 LogMar, with normal intraocular pressure and optical coherence tomography. Ten months later, unaided visual acuity reached 0.4 LogMar, with no significant changes observed in regular follow-ups. The patient remains satisfied with his vision. This case highlights the rare association of keratoconus with Chandler Syndrome and the first report of such a case where DMEK was used as management. The diagnosis of ICE syndrome complicates treatment, however, despite the challenges, DMEK demonstrated promising results for ICE-related corneal oedema in a patient with concurrent keratoconus, offering improved visual acuity and no complications.</p>\",\"PeriodicalId\":23054,\"journal\":{\"name\":\"Therapeutic Advances in Ophthalmology\",\"volume\":\"17 \",\"pages\":\"25158414251343968\"},\"PeriodicalIF\":2.3000,\"publicationDate\":\"2025-08-18\",\"publicationTypes\":\"Journal Article\",\"fieldsOfStudy\":null,\"isOpenAccess\":false,\"openAccessPdf\":\"https://www.ncbi.nlm.nih.gov/pmc/articles/PMC12361739/pdf/\",\"citationCount\":\"0\",\"resultStr\":null,\"platform\":\"Semanticscholar\",\"paperid\":null,\"PeriodicalName\":\"Therapeutic Advances in Ophthalmology\",\"FirstCategoryId\":\"1085\",\"ListUrlMain\":\"https://doi.org/10.1177/25158414251343968\",\"RegionNum\":0,\"RegionCategory\":null,\"ArticlePicture\":[],\"TitleCN\":null,\"AbstractTextCN\":null,\"PMCID\":null,\"EPubDate\":\"2025/1/1 0:00:00\",\"PubModel\":\"eCollection\",\"JCR\":\"Q2\",\"JCRName\":\"OPHTHALMOLOGY\",\"Score\":null,\"Total\":0}","platform":"Semanticscholar","paperid":null,"PeriodicalName":"Therapeutic Advances in Ophthalmology","FirstCategoryId":"1085","ListUrlMain":"https://doi.org/10.1177/25158414251343968","RegionNum":0,"RegionCategory":null,"ArticlePicture":[],"TitleCN":null,"AbstractTextCN":null,"PMCID":null,"EPubDate":"2025/1/1 0:00:00","PubModel":"eCollection","JCR":"Q2","JCRName":"OPHTHALMOLOGY","Score":null,"Total":0}
引用次数: 0

摘要

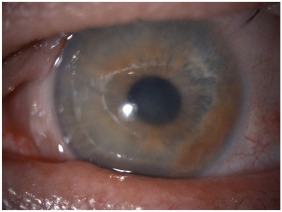
我们报告第一例虹膜角膜内皮(ICE)综合征并发圆锥角膜,成功治疗Descemet的膜内皮角膜移植术(DMEK)。60岁男性,左眼视力逐渐恶化4年。最佳矫正视力1.1 LogMar,角膜间质水肿。高渗盐水和全身阿昔洛韦没有改善。进一步检查发现周围前粘连和可能的ICE综合征。采用右眼数据计算人工晶状体,联合白内障手术和适应性DMEK。术后组织病理学证实为ICE综合征。术后2个月视力改善至0.54 LogMar,眼压正常,光学相干断层扫描正常。10个月后,裸眼视力达到0.4 LogMar,定期随访无明显变化。病人对自己的视力仍然很满意。本病例强调了圆锥角膜与钱德勒综合征的罕见关联,并首次报道了使用DMEK作为治疗的此类病例。ICE综合征的诊断使治疗复杂化,然而,尽管存在挑战,DMEK对并发圆锥角膜患者的ICE相关性角膜水肿显示出有希望的结果,提供改善的视力和无并发症。
本文章由计算机程序翻译,如有差异,请以英文原文为准。

Descemet's membrane endothelial keratoplasty in an eye with iridocorneal endothelial syndrome and rare association of corneal ectasia.

Descemet's membrane endothelial keratoplasty in an eye with iridocorneal endothelial syndrome and rare association of corneal ectasia.

Descemet's membrane endothelial keratoplasty in an eye with iridocorneal endothelial syndrome and rare association of corneal ectasia.

Descemet's membrane endothelial keratoplasty in an eye with iridocorneal endothelial syndrome and rare association of corneal ectasia.

We report the first case of concurrent iridocorneal endothelial (ICE) syndrome and keratoconus, treated successfully with Descemet's membrane endothelial keratoplasty (DMEK). A 60-year-old male presented with gradual visual deterioration in his left eye over 4 years. Best corrected visual acuity was 1.1 LogMar, with corneal stromal oedema. Hypertonic saline and systemic acyclovir provided no improvement. Further examination revealed peripheral anterior synechiae and possible ICE syndrome. Combined cataract surgery and adapted DMEK were performed, using right eye data for intraocular lens calculation. Postoperative histopathology confirmed ICE syndrome. Two months postoperatively, vision improved to 0.54 LogMar, with normal intraocular pressure and optical coherence tomography. Ten months later, unaided visual acuity reached 0.4 LogMar, with no significant changes observed in regular follow-ups. The patient remains satisfied with his vision. This case highlights the rare association of keratoconus with Chandler Syndrome and the first report of such a case where DMEK was used as management. The diagnosis of ICE syndrome complicates treatment, however, despite the challenges, DMEK demonstrated promising results for ICE-related corneal oedema in a patient with concurrent keratoconus, offering improved visual acuity and no complications.

求助全文
通过发布文献求助,成功后即可免费获取论文全文。 去求助
来源期刊
CiteScore
4.50
自引率
0.00%
发文量
44
审稿时长
12 weeks
×
引用
GB/T 7714-2015
复制
MLA
复制
APA
复制
导出至
BibTeX EndNote RefMan NoteFirst NoteExpress
×
提示
您的信息不完整,为了账户安全,请先补充。
现在去补充
×
提示
您因"违规操作"
具体请查看互助需知
我知道了
×
提示
确定
请完成安全验证×
copy
已复制链接
快去分享给好友吧!
我知道了
右上角分享
点击右上角分享
0
联系我们:info@booksci.cn Book学术提供免费学术资源搜索服务,方便国内外学者检索中英文文献。致力于提供最便捷和优质的服务体验。 Copyright © 2023 布克学术 All rights reserved.
京ICP备2023020795号-1
ghs 京公网安备 11010802042870号
Book学术文献互助
Book学术文献互助群
群 号:604180095
Book学术官方微信