黄斑叶黄素类胡萝卜素两波长自动荧光成像的先进分析工具:ALSTAR2基线。

IF 2.6 3区 医学 Q2 OPHTHALMOLOGY
Andreas Berlin, Lukas Goerdt, Mark E Clark, Liyan Gao, Thomas A Swain, Gerald McGwin, Cynthia Owsley, Kenneth R Sloan, Christine A Curcio
{"title":"黄斑叶黄素类胡萝卜素两波长自动荧光成像的先进分析工具:ALSTAR2基线。","authors":"Andreas Berlin, Lukas Goerdt, Mark E Clark, Liyan Gao, Thomas A Swain, Gerald McGwin, Cynthia Owsley, Kenneth R Sloan, Christine A Curcio","doi":"10.1167/tvst.14.8.32","DOIUrl":null,"url":null,"abstract":"<p><strong>Purpose: </strong>To allow exploration of xanthophyll carotenoids in vision and age-related macular degeneration progression using two-wavelength autofluorescence imaging for macular pigment optical density (MPOD), we developed tools for automatically centering and classifying the MPOD distribution pattern.</p><p><strong>Methods: </strong>A subset of the ALSTAR2 baseline cohort (NCT04112667) and 44 eyes of adults aged 20 to 30 years with healthy maculas were imaged with optical coherence tomography and two-wavelength autofluorescence (MPOD module, Heidelberg Engineering). Images underwent a quality review. Two custom FIJI plugins centered the MPOD distribution by five algorithms (FOVEA, HILLCLIMB, CENTROID, MAX, CONTOUR). Others automatically classified spatial distributions into four patterns from Obana et al: Peak, Ring, Mixed, and Dip.</p><p><strong>Results: </strong>Of 651 qualifying aged eyes and 44 young eyes, the HILLCLIMB and CONTOUR methods best agreed with a manually determined foveal center. Regarding spatial distribution pattern, 445 aged eyes (68.4%) showed peaks, 118 (18.1%) rings, 41 (6.3%) mixed, and 47 (7.2%) dips. In young eyes, 40 (90%) showed peaks, 1 (2.3%) rings, 3 (6.8%) mixed, and none showed dips. Notably, peaks were significantly (P < 0.001) more prominent in men (74.1%) than women (65.0%) and pseudophakic (72.7%) than phakic (62.9%) eyes.</p><p><strong>Conclusions: </strong>Automatic tools for MPOD centration are reliable and robust. Future studies will use the HILLCLIMB and CONTOUR algorithms.</p><p><strong>Translational relevance: </strong>Automated MPOD pattern assignment suggests that the spatial distribution of MPOD varies with gender, lens status, and possibly age. Our analytic software can be applied to large samples for studies of xanthophyll carotenoid impact on vision and age-related macular degeneration progression.</p>","PeriodicalId":23322,"journal":{"name":"Translational Vision Science & Technology","volume":"14 8","pages":"32"},"PeriodicalIF":2.6000,"publicationDate":"2025-08-01","publicationTypes":"Journal Article","fieldsOfStudy":null,"isOpenAccess":false,"openAccessPdf":"https://www.ncbi.nlm.nih.gov/pmc/articles/PMC12393178/pdf/","citationCount":"0","resultStr":"{\"title\":\"Advanced Analysis Tools for Two Wavelength Autofluorescence Imaging of Macular Xanthophyll Carotenoids: ALSTAR2 Baseline.\",\"authors\":\"Andreas Berlin, Lukas Goerdt, Mark E Clark, Liyan Gao, Thomas A Swain, Gerald McGwin, Cynthia Owsley, Kenneth R Sloan, Christine A Curcio\",\"doi\":\"10.1167/tvst.14.8.32\",\"DOIUrl\":null,\"url\":null,\"abstract\":\"<p><strong>Purpose: </strong>To allow exploration of xanthophyll carotenoids in vision and age-related macular degeneration progression using two-wavelength autofluorescence imaging for macular pigment optical density (MPOD), we developed tools for automatically centering and classifying the MPOD distribution pattern.</p><p><strong>Methods: </strong>A subset of the ALSTAR2 baseline cohort (NCT04112667) and 44 eyes of adults aged 20 to 30 years with healthy maculas were imaged with optical coherence tomography and two-wavelength autofluorescence (MPOD module, Heidelberg Engineering). Images underwent a quality review. Two custom FIJI plugins centered the MPOD distribution by five algorithms (FOVEA, HILLCLIMB, CENTROID, MAX, CONTOUR). Others automatically classified spatial distributions into four patterns from Obana et al: Peak, Ring, Mixed, and Dip.</p><p><strong>Results: </strong>Of 651 qualifying aged eyes and 44 young eyes, the HILLCLIMB and CONTOUR methods best agreed with a manually determined foveal center. Regarding spatial distribution pattern, 445 aged eyes (68.4%) showed peaks, 118 (18.1%) rings, 41 (6.3%) mixed, and 47 (7.2%) dips. In young eyes, 40 (90%) showed peaks, 1 (2.3%) rings, 3 (6.8%) mixed, and none showed dips. Notably, peaks were significantly (P < 0.001) more prominent in men (74.1%) than women (65.0%) and pseudophakic (72.7%) than phakic (62.9%) eyes.</p><p><strong>Conclusions: </strong>Automatic tools for MPOD centration are reliable and robust. Future studies will use the HILLCLIMB and CONTOUR algorithms.</p><p><strong>Translational relevance: </strong>Automated MPOD pattern assignment suggests that the spatial distribution of MPOD varies with gender, lens status, and possibly age. Our analytic software can be applied to large samples for studies of xanthophyll carotenoid impact on vision and age-related macular degeneration progression.</p>\",\"PeriodicalId\":23322,\"journal\":{\"name\":\"Translational Vision Science & Technology\",\"volume\":\"14 8\",\"pages\":\"32\"},\"PeriodicalIF\":2.6000,\"publicationDate\":\"2025-08-01\",\"publicationTypes\":\"Journal Article\",\"fieldsOfStudy\":null,\"isOpenAccess\":false,\"openAccessPdf\":\"https://www.ncbi.nlm.nih.gov/pmc/articles/PMC12393178/pdf/\",\"citationCount\":\"0\",\"resultStr\":null,\"platform\":\"Semanticscholar\",\"paperid\":null,\"PeriodicalName\":\"Translational Vision Science & Technology\",\"FirstCategoryId\":\"3\",\"ListUrlMain\":\"https://doi.org/10.1167/tvst.14.8.32\",\"RegionNum\":3,\"RegionCategory\":\"医学\",\"ArticlePicture\":[],\"TitleCN\":null,\"AbstractTextCN\":null,\"PMCID\":null,\"EPubDate\":\"\",\"PubModel\":\"\",\"JCR\":\"Q2\",\"JCRName\":\"OPHTHALMOLOGY\",\"Score\":null,\"Total\":0}","platform":"Semanticscholar","paperid":null,"PeriodicalName":"Translational Vision Science & Technology","FirstCategoryId":"3","ListUrlMain":"https://doi.org/10.1167/tvst.14.8.32","RegionNum":3,"RegionCategory":"医学","ArticlePicture":[],"TitleCN":null,"AbstractTextCN":null,"PMCID":null,"EPubDate":"","PubModel":"","JCR":"Q2","JCRName":"OPHTHALMOLOGY","Score":null,"Total":0}
引用次数: 0

摘要

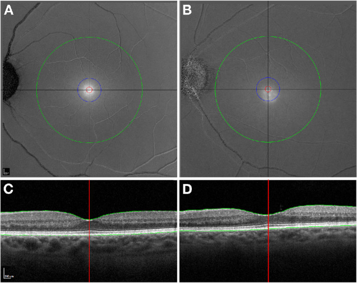
目的:利用黄斑色素光密度(MPOD)的双波长自荧光成像技术,研究黄叶素类胡萝卜素在视力和年龄相关性黄斑变性进展中的作用,开发了MPOD分布模式自动定心和分类的工具。方法:采用光学相干断层扫描和双波长自身荧光(MPOD模块,海德堡工程公司)对ALSTAR2基线队列(NCT04112667)的一个子集和44只20至30岁的健康黄斑成年人进行成像。图像进行了质量审查。两个自定义的斐济插件通过五种算法(FOVEA, HILLCLIMB, CENTROID, MAX, CONTOUR)集中了MPOD分布。还有一些人将空间分布自动划分为奥巴纳等人提出的四种模式:峰值、环状、混合和倾斜。结果:在651只符合条件的老年眼睛和44只年轻眼睛中,HILLCLIMB和CONTOUR方法最符合人工确定的中央凹中心。在空间分布格局上,有445只(68.4%)为峰型,118只(18.1%)为环型,41只(6.3%)为混合型,47只(7.2%)为低谷型。幼眼峰40例(90%),环1例(2.3%),混合型3例(6.8%),无下降。结论:全自动MPOD浓度测定方法可靠、可靠。未来的研究将使用HILLCLIMB和CONTOUR算法。翻译相关性:自动MPOD模式分配提示MPOD的空间分布随性别、晶状体状态和可能的年龄而变化。我们的分析软件可以应用于大样本研究黄叶素类胡萝卜素对视力和年龄相关的黄斑变性进展的影响。
本文章由计算机程序翻译,如有差异,请以英文原文为准。

Advanced Analysis Tools for Two Wavelength Autofluorescence Imaging of Macular Xanthophyll Carotenoids: ALSTAR2 Baseline.

Advanced Analysis Tools for Two Wavelength Autofluorescence Imaging of Macular Xanthophyll Carotenoids: ALSTAR2 Baseline.

Advanced Analysis Tools for Two Wavelength Autofluorescence Imaging of Macular Xanthophyll Carotenoids: ALSTAR2 Baseline.

Advanced Analysis Tools for Two Wavelength Autofluorescence Imaging of Macular Xanthophyll Carotenoids: ALSTAR2 Baseline.

Purpose: To allow exploration of xanthophyll carotenoids in vision and age-related macular degeneration progression using two-wavelength autofluorescence imaging for macular pigment optical density (MPOD), we developed tools for automatically centering and classifying the MPOD distribution pattern.

Methods: A subset of the ALSTAR2 baseline cohort (NCT04112667) and 44 eyes of adults aged 20 to 30 years with healthy maculas were imaged with optical coherence tomography and two-wavelength autofluorescence (MPOD module, Heidelberg Engineering). Images underwent a quality review. Two custom FIJI plugins centered the MPOD distribution by five algorithms (FOVEA, HILLCLIMB, CENTROID, MAX, CONTOUR). Others automatically classified spatial distributions into four patterns from Obana et al: Peak, Ring, Mixed, and Dip.

Results: Of 651 qualifying aged eyes and 44 young eyes, the HILLCLIMB and CONTOUR methods best agreed with a manually determined foveal center. Regarding spatial distribution pattern, 445 aged eyes (68.4%) showed peaks, 118 (18.1%) rings, 41 (6.3%) mixed, and 47 (7.2%) dips. In young eyes, 40 (90%) showed peaks, 1 (2.3%) rings, 3 (6.8%) mixed, and none showed dips. Notably, peaks were significantly (P < 0.001) more prominent in men (74.1%) than women (65.0%) and pseudophakic (72.7%) than phakic (62.9%) eyes.

Conclusions: Automatic tools for MPOD centration are reliable and robust. Future studies will use the HILLCLIMB and CONTOUR algorithms.

Translational relevance: Automated MPOD pattern assignment suggests that the spatial distribution of MPOD varies with gender, lens status, and possibly age. Our analytic software can be applied to large samples for studies of xanthophyll carotenoid impact on vision and age-related macular degeneration progression.

求助全文
通过发布文献求助,成功后即可免费获取论文全文。 去求助
来源期刊
Translational Vision Science & Technology
Translational Vision Science & Technology Engineering-Biomedical Engineering
CiteScore
5.70
自引率
3.30%
发文量
346
审稿时长
25 weeks
期刊介绍: Translational Vision Science & Technology (TVST), an official journal of the Association for Research in Vision and Ophthalmology (ARVO), an international organization whose purpose is to advance research worldwide into understanding the visual system and preventing, treating and curing its disorders, is an online, open access, peer-reviewed journal emphasizing multidisciplinary research that bridges the gap between basic research and clinical care. A highly qualified and diverse group of Associate Editors and Editorial Board Members is led by Editor-in-Chief Marco Zarbin, MD, PhD, FARVO. The journal covers a broad spectrum of work, including but not limited to: Applications of stem cell technology for regenerative medicine, Development of new animal models of human diseases, Tissue bioengineering, Chemical engineering to improve virus-based gene delivery, Nanotechnology for drug delivery, Design and synthesis of artificial extracellular matrices, Development of a true microsurgical operating environment, Refining data analysis algorithms to improve in vivo imaging technology, Results of Phase 1 clinical trials, Reverse translational ("bedside to bench") research. TVST seeks manuscripts from scientists and clinicians with diverse backgrounds ranging from basic chemistry to ophthalmic surgery that will advance or change the way we understand and/or treat vision-threatening diseases. TVST encourages the use of color, multimedia, hyperlinks, program code and other digital enhancements.
×
引用
GB/T 7714-2015
复制
MLA
复制
APA
复制
导出至
BibTeX EndNote RefMan NoteFirst NoteExpress
×
提示
您的信息不完整,为了账户安全,请先补充。
现在去补充
×
提示
您因"违规操作"
具体请查看互助需知
我知道了
×
提示
确定
请完成安全验证×
copy
已复制链接
快去分享给好友吧!
我知道了
右上角分享
点击右上角分享
0
联系我们:info@booksci.cn Book学术提供免费学术资源搜索服务,方便国内外学者检索中英文文献。致力于提供最便捷和优质的服务体验。 Copyright © 2023 布克学术 All rights reserved.
京ICP备2023020795号-1
ghs 京公网安备 11010802042870号
Book学术文献互助
Book学术文献互助群
群 号:604180095
Book学术官方微信