胃神经内分泌癌术后14年播散性复发1例。

IF 0.7 Q4 SURGERY
Surgical Case Reports Pub Date : 2025-01-01 Epub Date: 2025-08-19 DOI:10.70352/scrj.cr.25-0285
Takara Kinjo, Keishi Okubo, Masahiro Hamanoue, Miki Murakami, Takao Ohtsuka, Sonshin Takao
{"title":"胃神经内分泌癌术后14年播散性复发1例。","authors":"Takara Kinjo, Keishi Okubo, Masahiro Hamanoue, Miki Murakami, Takao Ohtsuka, Sonshin Takao","doi":"10.70352/scrj.cr.25-0285","DOIUrl":null,"url":null,"abstract":"<p><strong>Introduction: </strong>Gastric neuroendocrine carcinoma (NEC) is a rare disease among gastric cancers, accounting for only 0.1%-0.6% of all cases. This disease is known to have a poor prognosis and a higher risk of recurrence compared to conventional gastric adenocarcinoma.</p><p><strong>Case presentation: </strong>At the age of 44, a 60-year-old female underwent a laparoscopic-assisted proximal gastrectomy for gastric cancer at a previous hospital. Neuroendocrine carcinoma was diagnosed following a postoperative pathological examination based on histological findings and immunostaining results. The patient was followed up without any recurrences. After 14 years, a follow-up contrast-enhanced CT revealed a 9-mm mass on the greater curvature side of the gastric antrum, which was suspected to be lymph node swelling at the previous hospital. After 8 months, she came to our hospital with abdominal discomfort and distention. The CT scan revealed a 55-mm mass, indicating an increase in the previously mentioned mass. At our hospital, the patient underwent open tumor resection. The pathological findings revealed a recurrence of gastric NEC. The patient has been recurrence-free for 6 months following surgery.</p><p><strong>Conclusions: </strong>We present a case of gastric NEC with disseminated recurrence. To our knowledge, this is the first report of a disseminated case in which a recurrent lesion caused by omental dissemination grew in size and infiltrated a portion of the gastric serosa approximately 14 years after the initial surgery.</p>","PeriodicalId":22096,"journal":{"name":"Surgical Case Reports","volume":"11 1","pages":""},"PeriodicalIF":0.7000,"publicationDate":"2025-01-01","publicationTypes":"Journal Article","fieldsOfStudy":null,"isOpenAccess":false,"openAccessPdf":"https://www.ncbi.nlm.nih.gov/pmc/articles/PMC12370320/pdf/","citationCount":"0","resultStr":"{\"title\":\"A Case of Gastric Neuroendocrine Carcinoma with Disseminated Recurrence 14 Years after Initial Surgery.\",\"authors\":\"Takara Kinjo, Keishi Okubo, Masahiro Hamanoue, Miki Murakami, Takao Ohtsuka, Sonshin Takao\",\"doi\":\"10.70352/scrj.cr.25-0285\",\"DOIUrl\":null,\"url\":null,\"abstract\":\"<p><strong>Introduction: </strong>Gastric neuroendocrine carcinoma (NEC) is a rare disease among gastric cancers, accounting for only 0.1%-0.6% of all cases. This disease is known to have a poor prognosis and a higher risk of recurrence compared to conventional gastric adenocarcinoma.</p><p><strong>Case presentation: </strong>At the age of 44, a 60-year-old female underwent a laparoscopic-assisted proximal gastrectomy for gastric cancer at a previous hospital. Neuroendocrine carcinoma was diagnosed following a postoperative pathological examination based on histological findings and immunostaining results. The patient was followed up without any recurrences. After 14 years, a follow-up contrast-enhanced CT revealed a 9-mm mass on the greater curvature side of the gastric antrum, which was suspected to be lymph node swelling at the previous hospital. After 8 months, she came to our hospital with abdominal discomfort and distention. The CT scan revealed a 55-mm mass, indicating an increase in the previously mentioned mass. At our hospital, the patient underwent open tumor resection. The pathological findings revealed a recurrence of gastric NEC. The patient has been recurrence-free for 6 months following surgery.</p><p><strong>Conclusions: </strong>We present a case of gastric NEC with disseminated recurrence. To our knowledge, this is the first report of a disseminated case in which a recurrent lesion caused by omental dissemination grew in size and infiltrated a portion of the gastric serosa approximately 14 years after the initial surgery.</p>\",\"PeriodicalId\":22096,\"journal\":{\"name\":\"Surgical Case Reports\",\"volume\":\"11 1\",\"pages\":\"\"},\"PeriodicalIF\":0.7000,\"publicationDate\":\"2025-01-01\",\"publicationTypes\":\"Journal Article\",\"fieldsOfStudy\":null,\"isOpenAccess\":false,\"openAccessPdf\":\"https://www.ncbi.nlm.nih.gov/pmc/articles/PMC12370320/pdf/\",\"citationCount\":\"0\",\"resultStr\":null,\"platform\":\"Semanticscholar\",\"paperid\":null,\"PeriodicalName\":\"Surgical Case Reports\",\"FirstCategoryId\":\"1085\",\"ListUrlMain\":\"https://doi.org/10.70352/scrj.cr.25-0285\",\"RegionNum\":0,\"RegionCategory\":null,\"ArticlePicture\":[],\"TitleCN\":null,\"AbstractTextCN\":null,\"PMCID\":null,\"EPubDate\":\"2025/8/19 0:00:00\",\"PubModel\":\"Epub\",\"JCR\":\"Q4\",\"JCRName\":\"SURGERY\",\"Score\":null,\"Total\":0}","platform":"Semanticscholar","paperid":null,"PeriodicalName":"Surgical Case Reports","FirstCategoryId":"1085","ListUrlMain":"https://doi.org/10.70352/scrj.cr.25-0285","RegionNum":0,"RegionCategory":null,"ArticlePicture":[],"TitleCN":null,"AbstractTextCN":null,"PMCID":null,"EPubDate":"2025/8/19 0:00:00","PubModel":"Epub","JCR":"Q4","JCRName":"SURGERY","Score":null,"Total":0}
引用次数: 0

摘要

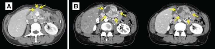
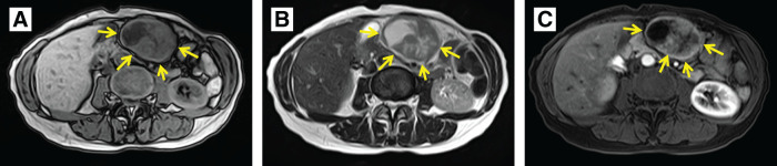
胃神经内分泌癌(Gastric neuroendocrine carcinoma, NEC)是胃癌中一种罕见的疾病,仅占全部病例的0.1%-0.6%。与常规胃腺癌相比,本病预后差,复发风险高。病例介绍:44岁,60岁女性,因胃癌在既往医院行腹腔镜辅助近端胃切除术。术后病理检查根据组织学和免疫染色结果诊断为神经内分泌癌。患者随访无复发。14年后,随访的增强CT显示胃窦大弯曲侧有一个9毫米的肿块,怀疑是以前医院的淋巴结肿大。8个月后,她以腹部不适和腹胀来我院就诊。CT扫描显示一个55毫米的肿块,表明先前提到的肿块增加。在我院,患者接受了开放性肿瘤切除术。病理结果显示胃NEC复发。患者术后6个月无复发。结论:我们报告了一例胃NEC弥漫性复发病例。据我们所知,这是第一例播散性病例的报道,在初次手术后大约14年,由大网膜播散引起的复发性病变变大并浸润胃浆膜的一部分。
本文章由计算机程序翻译,如有差异,请以英文原文为准。

A Case of Gastric Neuroendocrine Carcinoma with Disseminated Recurrence 14 Years after Initial Surgery.

A Case of Gastric Neuroendocrine Carcinoma with Disseminated Recurrence 14 Years after Initial Surgery.

A Case of Gastric Neuroendocrine Carcinoma with Disseminated Recurrence 14 Years after Initial Surgery.

A Case of Gastric Neuroendocrine Carcinoma with Disseminated Recurrence 14 Years after Initial Surgery.

Introduction: Gastric neuroendocrine carcinoma (NEC) is a rare disease among gastric cancers, accounting for only 0.1%-0.6% of all cases. This disease is known to have a poor prognosis and a higher risk of recurrence compared to conventional gastric adenocarcinoma.

Case presentation: At the age of 44, a 60-year-old female underwent a laparoscopic-assisted proximal gastrectomy for gastric cancer at a previous hospital. Neuroendocrine carcinoma was diagnosed following a postoperative pathological examination based on histological findings and immunostaining results. The patient was followed up without any recurrences. After 14 years, a follow-up contrast-enhanced CT revealed a 9-mm mass on the greater curvature side of the gastric antrum, which was suspected to be lymph node swelling at the previous hospital. After 8 months, she came to our hospital with abdominal discomfort and distention. The CT scan revealed a 55-mm mass, indicating an increase in the previously mentioned mass. At our hospital, the patient underwent open tumor resection. The pathological findings revealed a recurrence of gastric NEC. The patient has been recurrence-free for 6 months following surgery.

Conclusions: We present a case of gastric NEC with disseminated recurrence. To our knowledge, this is the first report of a disseminated case in which a recurrent lesion caused by omental dissemination grew in size and infiltrated a portion of the gastric serosa approximately 14 years after the initial surgery.

求助全文
通过发布文献求助,成功后即可免费获取论文全文。 去求助
来源期刊
自引率
0.00%
发文量
218
审稿时长
13 weeks
×
引用
GB/T 7714-2015
复制
MLA
复制
APA
复制
导出至
BibTeX EndNote RefMan NoteFirst NoteExpress
×
提示
您的信息不完整,为了账户安全,请先补充。
现在去补充
×
提示
您因"违规操作"
具体请查看互助需知
我知道了
×
提示
确定
请完成安全验证×
copy
已复制链接
快去分享给好友吧!
我知道了
右上角分享
点击右上角分享
0
联系我们:info@booksci.cn Book学术提供免费学术资源搜索服务,方便国内外学者检索中英文文献。致力于提供最便捷和优质的服务体验。 Copyright © 2023 布克学术 All rights reserved.
京ICP备2023020795号-1
ghs 京公网安备 11010802042870号
Book学术文献互助
Book学术文献互助群
群 号:604180095
Book学术官方微信