关节炎的全身MRI。

IF 2.2 3区 医学 Q2 ORTHOPEDICS
Skeletal Radiology Pub Date : 2025-11-01 Epub Date: 2025-08-29 DOI:10.1007/s00256-025-04998-z
Fabio Zecca, Denise Dejua, Winston J Rennie, Luca Saba
{"title":"关节炎的全身MRI。","authors":"Fabio Zecca, Denise Dejua, Winston J Rennie, Luca Saba","doi":"10.1007/s00256-025-04998-z","DOIUrl":null,"url":null,"abstract":"<p><p>Whole-body MRI (wbMRI) is an advanced scan modality which provides high-contrast resolution images of the entire body for screening, diagnosis, staging, and surveillance purposes. Thanks to recent technological advancements, wbMRI has gained increasing attention as a valuable tool for diagnosing and monitoring systemic arthritides by virtue of its comprehensive coverage. This technology is particularly beneficial for inflammatory conditions like rheumatoid arthritis, seronegative spondyloarthropathy, juvenile idiopathic arthritis, and chronic aseptic osteitis, all characterized by multifocal involvement of both skeletal and extra-skeletal sites. Unlike conventional MRI targeting symptomatic areas, wbMRI enables concurrent early detection also of subclinical disease foci, providing a more accurate assessment of the total disease burden. Compared to plain radiography, conventional ultrasound, and targeted MRI, wbMRI offers better sensitivity and reproducibility, particularly for intraosseous findings and axial involvement. In addition, wbMRI can be tailored to specific clinical needs through customizable scan protocols, and the lack of ionizing radiation makes it ideal for monitoring autoimmune diseases also in sensitive cohorts. Although wbMRI holds great potential for improving diagnostic accuracy and patient outcomes in inflammatory arthritis, further research is needed to validate standard scan protocols, to confirm their cost-effectiveness, and to integrate them into routine clinical practice. The present article aims to overview the current wbMRI technology and discuss it in the context of inflammatory arthritis. A general wbMRI protocol for non-oncologic musculoskeletal application is also provided.</p>","PeriodicalId":21783,"journal":{"name":"Skeletal Radiology","volume":" ","pages":"2517-2539"},"PeriodicalIF":2.2000,"publicationDate":"2025-11-01","publicationTypes":"Journal Article","fieldsOfStudy":null,"isOpenAccess":false,"openAccessPdf":"https://www.ncbi.nlm.nih.gov/pmc/articles/PMC12460550/pdf/","citationCount":"0","resultStr":"{\"title\":\"Whole-body MRI in arthritis.\",\"authors\":\"Fabio Zecca, Denise Dejua, Winston J Rennie, Luca Saba\",\"doi\":\"10.1007/s00256-025-04998-z\",\"DOIUrl\":null,\"url\":null,\"abstract\":\"<p><p>Whole-body MRI (wbMRI) is an advanced scan modality which provides high-contrast resolution images of the entire body for screening, diagnosis, staging, and surveillance purposes. Thanks to recent technological advancements, wbMRI has gained increasing attention as a valuable tool for diagnosing and monitoring systemic arthritides by virtue of its comprehensive coverage. This technology is particularly beneficial for inflammatory conditions like rheumatoid arthritis, seronegative spondyloarthropathy, juvenile idiopathic arthritis, and chronic aseptic osteitis, all characterized by multifocal involvement of both skeletal and extra-skeletal sites. Unlike conventional MRI targeting symptomatic areas, wbMRI enables concurrent early detection also of subclinical disease foci, providing a more accurate assessment of the total disease burden. Compared to plain radiography, conventional ultrasound, and targeted MRI, wbMRI offers better sensitivity and reproducibility, particularly for intraosseous findings and axial involvement. In addition, wbMRI can be tailored to specific clinical needs through customizable scan protocols, and the lack of ionizing radiation makes it ideal for monitoring autoimmune diseases also in sensitive cohorts. Although wbMRI holds great potential for improving diagnostic accuracy and patient outcomes in inflammatory arthritis, further research is needed to validate standard scan protocols, to confirm their cost-effectiveness, and to integrate them into routine clinical practice. The present article aims to overview the current wbMRI technology and discuss it in the context of inflammatory arthritis. A general wbMRI protocol for non-oncologic musculoskeletal application is also provided.</p>\",\"PeriodicalId\":21783,\"journal\":{\"name\":\"Skeletal Radiology\",\"volume\":\" \",\"pages\":\"2517-2539\"},\"PeriodicalIF\":2.2000,\"publicationDate\":\"2025-11-01\",\"publicationTypes\":\"Journal Article\",\"fieldsOfStudy\":null,\"isOpenAccess\":false,\"openAccessPdf\":\"https://www.ncbi.nlm.nih.gov/pmc/articles/PMC12460550/pdf/\",\"citationCount\":\"0\",\"resultStr\":null,\"platform\":\"Semanticscholar\",\"paperid\":null,\"PeriodicalName\":\"Skeletal Radiology\",\"FirstCategoryId\":\"3\",\"ListUrlMain\":\"https://doi.org/10.1007/s00256-025-04998-z\",\"RegionNum\":3,\"RegionCategory\":\"医学\",\"ArticlePicture\":[],\"TitleCN\":null,\"AbstractTextCN\":null,\"PMCID\":null,\"EPubDate\":\"2025/8/29 0:00:00\",\"PubModel\":\"Epub\",\"JCR\":\"Q2\",\"JCRName\":\"ORTHOPEDICS\",\"Score\":null,\"Total\":0}","platform":"Semanticscholar","paperid":null,"PeriodicalName":"Skeletal Radiology","FirstCategoryId":"3","ListUrlMain":"https://doi.org/10.1007/s00256-025-04998-z","RegionNum":3,"RegionCategory":"医学","ArticlePicture":[],"TitleCN":null,"AbstractTextCN":null,"PMCID":null,"EPubDate":"2025/8/29 0:00:00","PubModel":"Epub","JCR":"Q2","JCRName":"ORTHOPEDICS","Score":null,"Total":0}
引用次数: 0

摘要

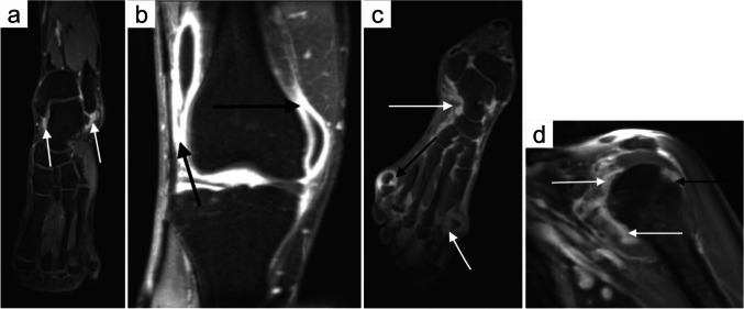
全身MRI (wbMRI)是一种先进的扫描方式,可提供全身的高对比度分辨率图像,用于筛查、诊断、分期和监测目的。由于最近的技术进步,wbMRI作为一种诊断和监测全身性关节炎的有价值的工具,由于其广泛的覆盖范围而受到越来越多的关注。这项技术特别适用于炎性疾病,如类风湿关节炎、血清阴性脊椎病、青少年特发性关节炎和慢性无菌性骨炎,这些疾病的特点是骨骼和骨骼外部位多灶受累。与针对症状区域的传统MRI不同,wbMRI能够同时早期发现亚临床疾病病灶,从而更准确地评估总疾病负担。与x线平片、常规超声和靶向MRI相比,wbMRI具有更好的灵敏度和可重复性,特别是在骨内发现和轴向受累方面。此外,通过可定制的扫描方案,wbMRI可以根据特定的临床需求进行定制,并且缺乏电离辐射使其成为监测自身免疫性疾病的理想选择,也适用于敏感人群。虽然wbMRI在提高炎性关节炎的诊断准确性和患者预后方面具有很大的潜力,但需要进一步的研究来验证标准扫描方案,确认其成本效益,并将其纳入常规临床实践。本文旨在概述目前的wbMRI技术,并在炎症性关节炎的背景下讨论它。还提供了非肿瘤学肌肉骨骼应用的一般wbMRI方案。
本文章由计算机程序翻译,如有差异,请以英文原文为准。

Whole-body MRI in arthritis.

Whole-body MRI in arthritis.

Whole-body MRI in arthritis.

Whole-body MRI in arthritis.

Whole-body MRI (wbMRI) is an advanced scan modality which provides high-contrast resolution images of the entire body for screening, diagnosis, staging, and surveillance purposes. Thanks to recent technological advancements, wbMRI has gained increasing attention as a valuable tool for diagnosing and monitoring systemic arthritides by virtue of its comprehensive coverage. This technology is particularly beneficial for inflammatory conditions like rheumatoid arthritis, seronegative spondyloarthropathy, juvenile idiopathic arthritis, and chronic aseptic osteitis, all characterized by multifocal involvement of both skeletal and extra-skeletal sites. Unlike conventional MRI targeting symptomatic areas, wbMRI enables concurrent early detection also of subclinical disease foci, providing a more accurate assessment of the total disease burden. Compared to plain radiography, conventional ultrasound, and targeted MRI, wbMRI offers better sensitivity and reproducibility, particularly for intraosseous findings and axial involvement. In addition, wbMRI can be tailored to specific clinical needs through customizable scan protocols, and the lack of ionizing radiation makes it ideal for monitoring autoimmune diseases also in sensitive cohorts. Although wbMRI holds great potential for improving diagnostic accuracy and patient outcomes in inflammatory arthritis, further research is needed to validate standard scan protocols, to confirm their cost-effectiveness, and to integrate them into routine clinical practice. The present article aims to overview the current wbMRI technology and discuss it in the context of inflammatory arthritis. A general wbMRI protocol for non-oncologic musculoskeletal application is also provided.

求助全文
通过发布文献求助,成功后即可免费获取论文全文。 去求助
来源期刊
Skeletal Radiology
Skeletal Radiology 医学-核医学
CiteScore
4.40
自引率
9.50%
发文量
253
审稿时长
3-8 weeks
期刊介绍: Skeletal Radiology provides a forum for the dissemination of current knowledge and information dealing with disorders of the musculoskeletal system including the spine. While emphasizing the radiological aspects of the many varied skeletal abnormalities, the journal also adopts an interdisciplinary approach, reflecting the membership of the International Skeletal Society. Thus, the anatomical, pathological, physiological, clinical, metabolic and epidemiological aspects of the many entities affecting the skeleton receive appropriate consideration. This is the Journal of the International Skeletal Society and the Official Journal of the Society of Skeletal Radiology and the Australasian Musculoskelelal Imaging Group.
×
引用
GB/T 7714-2015
复制
MLA
复制
APA
复制
导出至
BibTeX EndNote RefMan NoteFirst NoteExpress
×
提示
您的信息不完整,为了账户安全,请先补充。
现在去补充
×
提示
您因"违规操作"
具体请查看互助需知
我知道了
×
提示
确定
请完成安全验证×
copy
已复制链接
快去分享给好友吧!
我知道了
右上角分享
点击右上角分享
0
联系我们:info@booksci.cn Book学术提供免费学术资源搜索服务,方便国内外学者检索中英文文献。致力于提供最便捷和优质的服务体验。 Copyright © 2023 布克学术 All rights reserved.
京ICP备2023020795号-1
ghs 京公网安备 11010802042870号
Book学术文献互助
Book学术文献互助群
群 号:604180095
Book学术官方微信