一种简单可靠的区分大麻XX和XY性别基因型的pcr方法

IF 3.8 3区 生物学 Q1 PLANT SCIENCES
Planta Pub Date : 2025-08-22 DOI:10.1007/s00425-025-04804-z
Ainhoa Riera-Begue, Matteo Toscani, Afsheen Malik, Caroline A Dowling, Susanne Schilling, Rainer Melzer
{"title":"一种简单可靠的区分大麻XX和XY性别基因型的pcr方法","authors":"Ainhoa Riera-Begue, Matteo Toscani, Afsheen Malik, Caroline A Dowling, Susanne Schilling, Rainer Melzer","doi":"10.1007/s00425-025-04804-z","DOIUrl":null,"url":null,"abstract":"<p><p>Cannabis sativa is a mainly dioecious plant, which means that female and male flowers develop on separate individuals, which is controlled by an XY sex determination system: females have two X chromosomes and male plants carry an X and a Y chromosome. C. sativa is a crop that has a wide variety of applications, some of which depend on the sex of the plant. Females are, for example, used for the cannabinoid production, as cannabinoids are produced in the female inflorescence. However, while adult C. sativa individuals present high sexual dimorphism, it is not possible to phenotypically distinguish male and female plants before flowering. Here we present the identification of a highly conserved sex marker, CsPDS5, and the development of a robust, reliable and affordable PCR-based method to determine the sex genotype. In contrast to other sex genotyping methods, our approach relies on a gene polymorphic between the X and Y chromosomes and therefore requires only a single PCR with one pair of primers. The method was tested in 14 hemp-type cultivars and 6 crosses, with different tissues and developmental stages, on more than 500 samples, with 100% accuracy. Our assay allows early sex identification and hemp selection, which is useful for both research and industrial purposes. Finally, the pipeline presented here to identify genes polymorphic between the X and Y chromosomes can serve to discover new sex markers, not only in C. sativa but also in other dioecious plants and other organisms with 2 sexes.</p>","PeriodicalId":20177,"journal":{"name":"Planta","volume":"262 4","pages":"87"},"PeriodicalIF":3.8000,"publicationDate":"2025-08-22","publicationTypes":"Journal Article","fieldsOfStudy":null,"isOpenAccess":false,"openAccessPdf":"https://www.ncbi.nlm.nih.gov/pmc/articles/PMC12373676/pdf/","citationCount":"0","resultStr":"{\"title\":\"A simple and reliable PCR-based method to differentiate between XX and XY sex genotypes in Cannabis sativa.\",\"authors\":\"Ainhoa Riera-Begue, Matteo Toscani, Afsheen Malik, Caroline A Dowling, Susanne Schilling, Rainer Melzer\",\"doi\":\"10.1007/s00425-025-04804-z\",\"DOIUrl\":null,\"url\":null,\"abstract\":\"<p><p>Cannabis sativa is a mainly dioecious plant, which means that female and male flowers develop on separate individuals, which is controlled by an XY sex determination system: females have two X chromosomes and male plants carry an X and a Y chromosome. C. sativa is a crop that has a wide variety of applications, some of which depend on the sex of the plant. Females are, for example, used for the cannabinoid production, as cannabinoids are produced in the female inflorescence. However, while adult C. sativa individuals present high sexual dimorphism, it is not possible to phenotypically distinguish male and female plants before flowering. Here we present the identification of a highly conserved sex marker, CsPDS5, and the development of a robust, reliable and affordable PCR-based method to determine the sex genotype. In contrast to other sex genotyping methods, our approach relies on a gene polymorphic between the X and Y chromosomes and therefore requires only a single PCR with one pair of primers. The method was tested in 14 hemp-type cultivars and 6 crosses, with different tissues and developmental stages, on more than 500 samples, with 100% accuracy. Our assay allows early sex identification and hemp selection, which is useful for both research and industrial purposes. Finally, the pipeline presented here to identify genes polymorphic between the X and Y chromosomes can serve to discover new sex markers, not only in C. sativa but also in other dioecious plants and other organisms with 2 sexes.</p>\",\"PeriodicalId\":20177,\"journal\":{\"name\":\"Planta\",\"volume\":\"262 4\",\"pages\":\"87\"},\"PeriodicalIF\":3.8000,\"publicationDate\":\"2025-08-22\",\"publicationTypes\":\"Journal Article\",\"fieldsOfStudy\":null,\"isOpenAccess\":false,\"openAccessPdf\":\"https://www.ncbi.nlm.nih.gov/pmc/articles/PMC12373676/pdf/\",\"citationCount\":\"0\",\"resultStr\":null,\"platform\":\"Semanticscholar\",\"paperid\":null,\"PeriodicalName\":\"Planta\",\"FirstCategoryId\":\"99\",\"ListUrlMain\":\"https://doi.org/10.1007/s00425-025-04804-z\",\"RegionNum\":3,\"RegionCategory\":\"生物学\",\"ArticlePicture\":[],\"TitleCN\":null,\"AbstractTextCN\":null,\"PMCID\":null,\"EPubDate\":\"\",\"PubModel\":\"\",\"JCR\":\"Q1\",\"JCRName\":\"PLANT SCIENCES\",\"Score\":null,\"Total\":0}","platform":"Semanticscholar","paperid":null,"PeriodicalName":"Planta","FirstCategoryId":"99","ListUrlMain":"https://doi.org/10.1007/s00425-025-04804-z","RegionNum":3,"RegionCategory":"生物学","ArticlePicture":[],"TitleCN":null,"AbstractTextCN":null,"PMCID":null,"EPubDate":"","PubModel":"","JCR":"Q1","JCRName":"PLANT SCIENCES","Score":null,"Total":0}
引用次数: 0

摘要

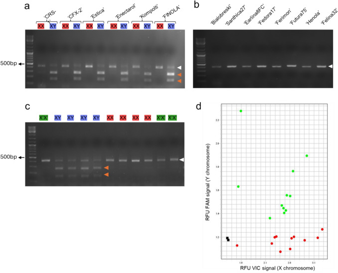
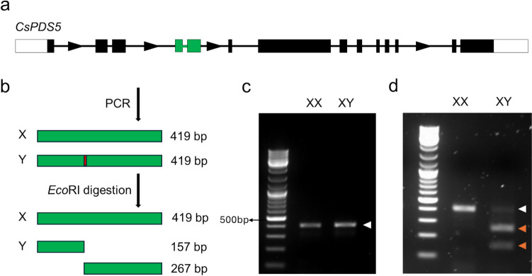
大麻是一种主要的雌雄异株植物,这意味着雌花和雄花在不同的个体上发育,这是由XY性别决定系统控制的:雌性有两条X染色体,雄性植物携带一条X和一条Y染色体。苜蓿是一种用途广泛的作物,其中一些用途取决于植物的性别。例如,雌性被用于生产大麻素,因为大麻素是在雌性花序中生产的。然而,尽管成年大麻个体表现出高度的两性二态性,但在开花前不可能从表型上区分雌雄植株。在这里,我们提出了一个高度保守的性别标记CsPDS5的鉴定,并开发了一个强大的,可靠的和负担得起的基于pcr的方法来确定性别基因型。与其他性别基因分型方法相比,我们的方法依赖于X和Y染色体之间的基因多态性,因此只需要用一对引物进行单次PCR。该方法在14个大麻型品种和6个不同组织和发育阶段的杂交组合中进行了500多个样品的试验,准确率为100%。我们的分析允许早期性别鉴定和大麻选择,这对研究和工业目的都很有用。最后,本文提出的鉴定X染色体和Y染色体之间多态性基因的途径,不仅可以在苜蓿中发现新的性别标记,还可以在其他雌雄异株植物和其他两性生物中发现新的性别标记。
本文章由计算机程序翻译,如有差异,请以英文原文为准。

A simple and reliable PCR-based method to differentiate between XX and XY sex genotypes in Cannabis sativa.

A simple and reliable PCR-based method to differentiate between XX and XY sex genotypes in Cannabis sativa.

A simple and reliable PCR-based method to differentiate between XX and XY sex genotypes in Cannabis sativa.

A simple and reliable PCR-based method to differentiate between XX and XY sex genotypes in Cannabis sativa.

Cannabis sativa is a mainly dioecious plant, which means that female and male flowers develop on separate individuals, which is controlled by an XY sex determination system: females have two X chromosomes and male plants carry an X and a Y chromosome. C. sativa is a crop that has a wide variety of applications, some of which depend on the sex of the plant. Females are, for example, used for the cannabinoid production, as cannabinoids are produced in the female inflorescence. However, while adult C. sativa individuals present high sexual dimorphism, it is not possible to phenotypically distinguish male and female plants before flowering. Here we present the identification of a highly conserved sex marker, CsPDS5, and the development of a robust, reliable and affordable PCR-based method to determine the sex genotype. In contrast to other sex genotyping methods, our approach relies on a gene polymorphic between the X and Y chromosomes and therefore requires only a single PCR with one pair of primers. The method was tested in 14 hemp-type cultivars and 6 crosses, with different tissues and developmental stages, on more than 500 samples, with 100% accuracy. Our assay allows early sex identification and hemp selection, which is useful for both research and industrial purposes. Finally, the pipeline presented here to identify genes polymorphic between the X and Y chromosomes can serve to discover new sex markers, not only in C. sativa but also in other dioecious plants and other organisms with 2 sexes.

求助全文
通过发布文献求助,成功后即可免费获取论文全文。 去求助
来源期刊
Planta
Planta 生物-植物科学
CiteScore
7.20
自引率
2.30%
发文量
217
审稿时长
2.3 months
期刊介绍: Planta publishes timely and substantial articles on all aspects of plant biology. We welcome original research papers on any plant species. Areas of interest include biochemistry, bioenergy, biotechnology, cell biology, development, ecological and environmental physiology, growth, metabolism, morphogenesis, molecular biology, new methods, physiology, plant-microbe interactions, structural biology, and systems biology.
×
引用
GB/T 7714-2015
复制
MLA
复制
APA
复制
导出至
BibTeX EndNote RefMan NoteFirst NoteExpress
×
提示
您的信息不完整,为了账户安全,请先补充。
现在去补充
×
提示
您因"违规操作"
具体请查看互助需知
我知道了
×
提示
确定
请完成安全验证×
copy
已复制链接
快去分享给好友吧!
我知道了
右上角分享
点击右上角分享
0
联系我们:info@booksci.cn Book学术提供免费学术资源搜索服务,方便国内外学者检索中英文文献。致力于提供最便捷和优质的服务体验。 Copyright © 2023 布克学术 All rights reserved.
京ICP备2023020795号-1
ghs 京公网安备 11010802042870号
Book学术文献互助
Book学术文献互助群
群 号:604180095
Book学术官方微信