褪黑素在治疗严重疥疮的实验模型中的恢复潜力。

IF 2 3区 医学 Q2 PARASITOLOGY
Mahmoud S Sharaf, Ahmad A Othman, Dareen M Ali, Abdallah M Hafez, Asmaa R Ellakany
{"title":"褪黑素在治疗严重疥疮的实验模型中的恢复潜力。","authors":"Mahmoud S Sharaf, Ahmad A Othman, Dareen M Ali, Abdallah M Hafez, Asmaa R Ellakany","doi":"10.1007/s00436-025-08544-7","DOIUrl":null,"url":null,"abstract":"<p><p>A key limitation of current synthetic treatments of scabies is their focus on eliminating the mites rather than addressing the body's immune response or tissue healing, potentially fostering drug resistance and prolonging recovery. Melatonin, with its anti-inflammatory, antioxidant, and antimicrobial properties, presents a potential solution. Consequently, this research seeks to assess the value of melatonin supplementation as complementary therapy in Sarcoptes scabiei mite infestation. The study included 25 male crossbreed rabbits, divided into five groups of five rabbits each: group I (a negative control); group II (a positive control); group III (infected and treated with melatonin); group IV (infected and treated with ivermectin); and group V (infected and treated with melatonin and ivermectin). Clinical and parasitological assessments were conducted from day 0 till day 28 post-treatment. Serum and tissue samples were collected at the end of day 28 post-treatment for subsequent histopathological, biochemical, and immunological analyses. Our research indicated that combining melatonin with ivermectin (group V) significantly accelerated clinical improvement compared to using ivermectin alone (group IV). Melatonin also lessened the side effects of ivermectin seen in group IV and effectively alleviated itching in group V. Skin analysis of group V revealed nearly full healing and the absence of mites, unlike group IV, which still showed inflammation and dead mites. Supporting these findings, blood tests in group V demonstrated a significant improvement in biochemical and immunological markers compared to group IV. Infestation with Sarcoptes mites disrupts the balance between oxidants and antioxidants and triggers systemic inflammation. Supplementing melatonin can help restore this balance and reduce inflammation, thereby accelerating cure in affected rabbits. Therefore, melatonin is suggested as an adjunct therapy with ivermectin, particularly in severe scabies cases, and future research should explore optimal dosages and treatment regimens.</p>","PeriodicalId":19968,"journal":{"name":"Parasitology Research","volume":"124 9","pages":"97"},"PeriodicalIF":2.0000,"publicationDate":"2025-09-02","publicationTypes":"Journal Article","fieldsOfStudy":null,"isOpenAccess":false,"openAccessPdf":"https://www.ncbi.nlm.nih.gov/pmc/articles/PMC12401764/pdf/","citationCount":"0","resultStr":"{\"title\":\"Restorative potential of melatonin during treatment of severe scabies in an experimental model.\",\"authors\":\"Mahmoud S Sharaf, Ahmad A Othman, Dareen M Ali, Abdallah M Hafez, Asmaa R Ellakany\",\"doi\":\"10.1007/s00436-025-08544-7\",\"DOIUrl\":null,\"url\":null,\"abstract\":\"<p><p>A key limitation of current synthetic treatments of scabies is their focus on eliminating the mites rather than addressing the body's immune response or tissue healing, potentially fostering drug resistance and prolonging recovery. Melatonin, with its anti-inflammatory, antioxidant, and antimicrobial properties, presents a potential solution. Consequently, this research seeks to assess the value of melatonin supplementation as complementary therapy in Sarcoptes scabiei mite infestation. The study included 25 male crossbreed rabbits, divided into five groups of five rabbits each: group I (a negative control); group II (a positive control); group III (infected and treated with melatonin); group IV (infected and treated with ivermectin); and group V (infected and treated with melatonin and ivermectin). Clinical and parasitological assessments were conducted from day 0 till day 28 post-treatment. Serum and tissue samples were collected at the end of day 28 post-treatment for subsequent histopathological, biochemical, and immunological analyses. Our research indicated that combining melatonin with ivermectin (group V) significantly accelerated clinical improvement compared to using ivermectin alone (group IV). Melatonin also lessened the side effects of ivermectin seen in group IV and effectively alleviated itching in group V. Skin analysis of group V revealed nearly full healing and the absence of mites, unlike group IV, which still showed inflammation and dead mites. Supporting these findings, blood tests in group V demonstrated a significant improvement in biochemical and immunological markers compared to group IV. Infestation with Sarcoptes mites disrupts the balance between oxidants and antioxidants and triggers systemic inflammation. Supplementing melatonin can help restore this balance and reduce inflammation, thereby accelerating cure in affected rabbits. Therefore, melatonin is suggested as an adjunct therapy with ivermectin, particularly in severe scabies cases, and future research should explore optimal dosages and treatment regimens.</p>\",\"PeriodicalId\":19968,\"journal\":{\"name\":\"Parasitology Research\",\"volume\":\"124 9\",\"pages\":\"97\"},\"PeriodicalIF\":2.0000,\"publicationDate\":\"2025-09-02\",\"publicationTypes\":\"Journal Article\",\"fieldsOfStudy\":null,\"isOpenAccess\":false,\"openAccessPdf\":\"https://www.ncbi.nlm.nih.gov/pmc/articles/PMC12401764/pdf/\",\"citationCount\":\"0\",\"resultStr\":null,\"platform\":\"Semanticscholar\",\"paperid\":null,\"PeriodicalName\":\"Parasitology Research\",\"FirstCategoryId\":\"3\",\"ListUrlMain\":\"https://doi.org/10.1007/s00436-025-08544-7\",\"RegionNum\":3,\"RegionCategory\":\"医学\",\"ArticlePicture\":[],\"TitleCN\":null,\"AbstractTextCN\":null,\"PMCID\":null,\"EPubDate\":\"\",\"PubModel\":\"\",\"JCR\":\"Q2\",\"JCRName\":\"PARASITOLOGY\",\"Score\":null,\"Total\":0}","platform":"Semanticscholar","paperid":null,"PeriodicalName":"Parasitology Research","FirstCategoryId":"3","ListUrlMain":"https://doi.org/10.1007/s00436-025-08544-7","RegionNum":3,"RegionCategory":"医学","ArticlePicture":[],"TitleCN":null,"AbstractTextCN":null,"PMCID":null,"EPubDate":"","PubModel":"","JCR":"Q2","JCRName":"PARASITOLOGY","Score":null,"Total":0}
引用次数: 0

摘要

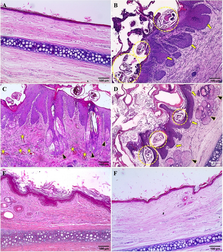
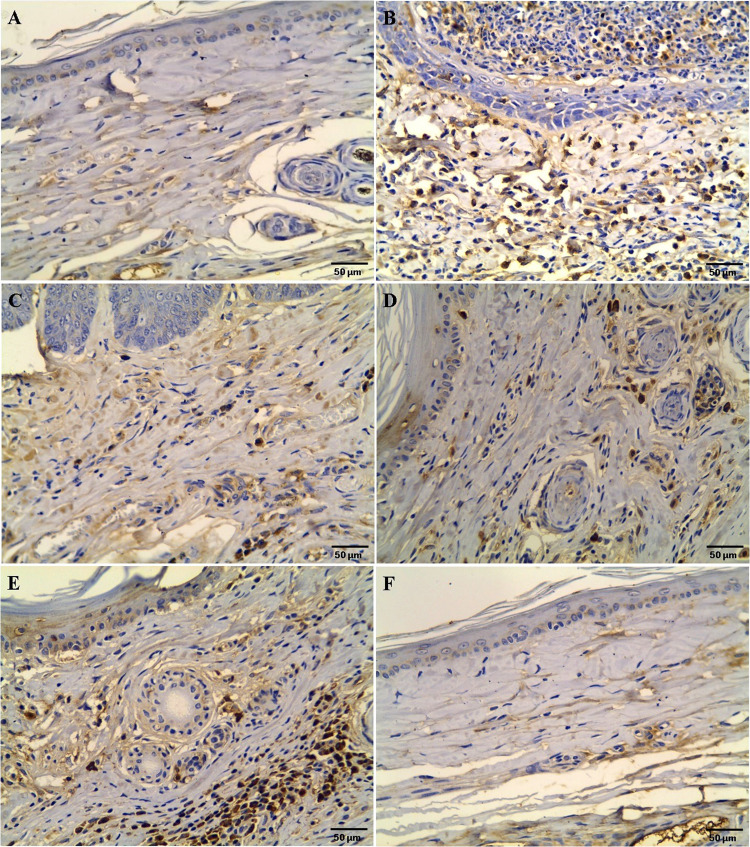
目前合成治疗疥疮的一个关键限制是,它们的重点是消灭螨虫,而不是解决身体的免疫反应或组织愈合,这可能会促进耐药性并延长恢复时间。褪黑素具有抗炎、抗氧化和抗菌的特性,是一种潜在的解决方案。因此,本研究旨在评估褪黑素补充作为疥疮螨感染的补充疗法的价值。研究对象为25只雄性杂交兔,分为5组,每组5只:第一组(阴性对照);第二组(阳性对照);第三组(感染后用褪黑素治疗);第四组(感染后用伊维菌素治疗);V组(感染后用褪黑素和伊维菌素治疗)。治疗后第0天至第28天进行临床和寄生虫学评估。在治疗后第28天结束时收集血清和组织样本,进行组织病理学、生化和免疫学分析。我们的研究表明,与单独使用伊维菌素(IV组)相比,褪黑素联合伊维菌素(V组)显著加速了临床改善。褪黑素也减轻了IV组伊维菌素的副作用,并有效缓解了V组的瘙痒。皮肤分析显示,V组几乎完全愈合,没有螨虫,而IV组仍然有炎症和螨虫死亡。与IV组相比,V组的血液测试显示,与IV组相比,V组的生化和免疫标志物有了显著改善。尘螨的感染破坏了氧化剂和抗氧化剂之间的平衡,引发全身炎症。补充褪黑素可以帮助恢复这种平衡,减少炎症,从而加速治疗受影响的兔子。因此,褪黑素被建议作为伊维菌素的辅助治疗,特别是在严重疥疮病例中,未来的研究应探索最佳剂量和治疗方案。
本文章由计算机程序翻译,如有差异,请以英文原文为准。

Restorative potential of melatonin during treatment of severe scabies in an experimental model.

Restorative potential of melatonin during treatment of severe scabies in an experimental model.

Restorative potential of melatonin during treatment of severe scabies in an experimental model.

Restorative potential of melatonin during treatment of severe scabies in an experimental model.

A key limitation of current synthetic treatments of scabies is their focus on eliminating the mites rather than addressing the body's immune response or tissue healing, potentially fostering drug resistance and prolonging recovery. Melatonin, with its anti-inflammatory, antioxidant, and antimicrobial properties, presents a potential solution. Consequently, this research seeks to assess the value of melatonin supplementation as complementary therapy in Sarcoptes scabiei mite infestation. The study included 25 male crossbreed rabbits, divided into five groups of five rabbits each: group I (a negative control); group II (a positive control); group III (infected and treated with melatonin); group IV (infected and treated with ivermectin); and group V (infected and treated with melatonin and ivermectin). Clinical and parasitological assessments were conducted from day 0 till day 28 post-treatment. Serum and tissue samples were collected at the end of day 28 post-treatment for subsequent histopathological, biochemical, and immunological analyses. Our research indicated that combining melatonin with ivermectin (group V) significantly accelerated clinical improvement compared to using ivermectin alone (group IV). Melatonin also lessened the side effects of ivermectin seen in group IV and effectively alleviated itching in group V. Skin analysis of group V revealed nearly full healing and the absence of mites, unlike group IV, which still showed inflammation and dead mites. Supporting these findings, blood tests in group V demonstrated a significant improvement in biochemical and immunological markers compared to group IV. Infestation with Sarcoptes mites disrupts the balance between oxidants and antioxidants and triggers systemic inflammation. Supplementing melatonin can help restore this balance and reduce inflammation, thereby accelerating cure in affected rabbits. Therefore, melatonin is suggested as an adjunct therapy with ivermectin, particularly in severe scabies cases, and future research should explore optimal dosages and treatment regimens.

求助全文
通过发布文献求助,成功后即可免费获取论文全文。 去求助
来源期刊
Parasitology Research
Parasitology Research 医学-寄生虫学
CiteScore
4.10
自引率
5.00%
发文量
346
审稿时长
6 months
期刊介绍: The journal Parasitology Research covers the latest developments in parasitology across a variety of disciplines, including biology, medicine and veterinary medicine. Among many topics discussed are chemotherapy and control of parasitic disease, and the relationship of host and parasite. Other coverage includes: Protozoology, Helminthology, Entomology; Morphology (incl. Pathomorphology, Ultrastructure); Biochemistry, Physiology including Pathophysiology; Parasite-Host-Relationships including Immunology and Host Specificity; life history, ecology and epidemiology; and Diagnosis, Chemotherapy and Control of Parasitic Diseases.
×
引用
GB/T 7714-2015
复制
MLA
复制
APA
复制
导出至
BibTeX EndNote RefMan NoteFirst NoteExpress
×
提示
您的信息不完整,为了账户安全,请先补充。
现在去补充
×
提示
您因"违规操作"
具体请查看互助需知
我知道了
×
提示
确定
请完成安全验证×
copy
已复制链接
快去分享给好友吧!
我知道了
右上角分享
点击右上角分享
0
联系我们:info@booksci.cn Book学术提供免费学术资源搜索服务,方便国内外学者检索中英文文献。致力于提供最便捷和优质的服务体验。 Copyright © 2023 布克学术 All rights reserved.
京ICP备2023020795号-1
ghs 京公网安备 11010802042870号
Book学术文献互助
Book学术文献互助群
群 号:604180095
Book学术官方微信