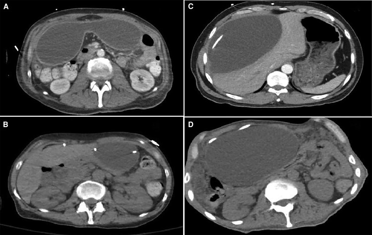
图示:球粒性脑膜炎伴脑室-腹膜分流的腹部假性囊肿。

IF 3.8 4区 医学 Q2 IMMUNOLOGY
Open Forum Infectious Diseases Pub Date : 2025-08-12 eCollection Date: 2025-08-01 DOI:10.1093/ofid/ofaf486
Geetha Sivasubramanian
{"title":"图示:球粒性脑膜炎伴脑室-腹膜分流的腹部假性囊肿。","authors":"Geetha Sivasubramanian","doi":"10.1093/ofid/ofaf486","DOIUrl":null,"url":null,"abstract":"<p><p>Ventriculoperitoneal (VP) shunts are the mainstay for cerebrospinal fluid diversion in patients with refractory coccidioidal meningitis (CM)-associated hydrocephalus. Abdominal pseudocysts (APCs), an uncommon but known complication of distal shunt catheters, have not been well described in CM. We conducted a retrospective study of 124 patients with CM who underwent VP shunt placement between 2010 and 2024. APCs occurred in 21 patients (17%), with most presenting with symptoms of shunt malfunction rather than abdominal complaints. This incidence is notably higher than previously reported in patients with hydrocephalus due to other etiologies. Evidence of active <i>Coccidioides</i> infection was present in 71% of patients. Imaging typically revealed fluid collections at the distal catheter tip, and most patients underwent surgical intervention targeting the distal shunt. Despite intervention, recurrent shunt failures occurred in a substantial proportion. These findings add to the limited literature on APCs in CM and may inform future research into their presentation, contributing factors, and management.</p>","PeriodicalId":19517,"journal":{"name":"Open Forum Infectious Diseases","volume":"12 8","pages":"ofaf486"},"PeriodicalIF":3.8000,"publicationDate":"2025-08-12","publicationTypes":"Journal Article","fieldsOfStudy":null,"isOpenAccess":false,"openAccessPdf":"https://www.ncbi.nlm.nih.gov/pmc/articles/PMC12378778/pdf/","citationCount":"0","resultStr":"{\"title\":\"Trapped Below: Abdominal Pseudocysts Associated With Ventriculoperitoneal Shunts in Coccidioidal Meningitis.\",\"authors\":\"Geetha Sivasubramanian\",\"doi\":\"10.1093/ofid/ofaf486\",\"DOIUrl\":null,\"url\":null,\"abstract\":\"<p><p>Ventriculoperitoneal (VP) shunts are the mainstay for cerebrospinal fluid diversion in patients with refractory coccidioidal meningitis (CM)-associated hydrocephalus. Abdominal pseudocysts (APCs), an uncommon but known complication of distal shunt catheters, have not been well described in CM. We conducted a retrospective study of 124 patients with CM who underwent VP shunt placement between 2010 and 2024. APCs occurred in 21 patients (17%), with most presenting with symptoms of shunt malfunction rather than abdominal complaints. This incidence is notably higher than previously reported in patients with hydrocephalus due to other etiologies. Evidence of active <i>Coccidioides</i> infection was present in 71% of patients. Imaging typically revealed fluid collections at the distal catheter tip, and most patients underwent surgical intervention targeting the distal shunt. Despite intervention, recurrent shunt failures occurred in a substantial proportion. These findings add to the limited literature on APCs in CM and may inform future research into their presentation, contributing factors, and management.</p>\",\"PeriodicalId\":19517,\"journal\":{\"name\":\"Open Forum Infectious Diseases\",\"volume\":\"12 8\",\"pages\":\"ofaf486\"},\"PeriodicalIF\":3.8000,\"publicationDate\":\"2025-08-12\",\"publicationTypes\":\"Journal Article\",\"fieldsOfStudy\":null,\"isOpenAccess\":false,\"openAccessPdf\":\"https://www.ncbi.nlm.nih.gov/pmc/articles/PMC12378778/pdf/\",\"citationCount\":\"0\",\"resultStr\":null,\"platform\":\"Semanticscholar\",\"paperid\":null,\"PeriodicalName\":\"Open Forum Infectious Diseases\",\"FirstCategoryId\":\"3\",\"ListUrlMain\":\"https://doi.org/10.1093/ofid/ofaf486\",\"RegionNum\":4,\"RegionCategory\":\"医学\",\"ArticlePicture\":[],\"TitleCN\":null,\"AbstractTextCN\":null,\"PMCID\":null,\"EPubDate\":\"2025/8/1 0:00:00\",\"PubModel\":\"eCollection\",\"JCR\":\"Q2\",\"JCRName\":\"IMMUNOLOGY\",\"Score\":null,\"Total\":0}","platform":"Semanticscholar","paperid":null,"PeriodicalName":"Open Forum Infectious Diseases","FirstCategoryId":"3","ListUrlMain":"https://doi.org/10.1093/ofid/ofaf486","RegionNum":4,"RegionCategory":"医学","ArticlePicture":[],"TitleCN":null,"AbstractTextCN":null,"PMCID":null,"EPubDate":"2025/8/1 0:00:00","PubModel":"eCollection","JCR":"Q2","JCRName":"IMMUNOLOGY","Score":null,"Total":0}
引用次数: 0

摘要

脑室-腹膜(VP)分流是难治性球粒性脑膜炎(CM)相关脑积水患者脑脊液分流的主要方法。腹部假性囊肿(APCs)是一种罕见但已知的远端分流导管并发症,在CM中尚未得到很好的描述。我们对2010年至2024年间接受VP分流术的124例CM患者进行了回顾性研究。21例(17%)患者出现apc,大多数患者表现为分流管功能障碍症状,而不是腹部不适。这一发生率明显高于先前报道的由其他病因引起的脑积水患者。71%的患者存在活动性球虫感染的证据。成像通常显示远端导管尖端积液,大多数患者接受了针对远端分流的手术干预。尽管进行了干预,但仍有相当大的比例发生了反复的分流故障。这些发现补充了CM中APCs的有限文献,并可能为其表现、影响因素和管理的未来研究提供信息。
本文章由计算机程序翻译,如有差异,请以英文原文为准。

Trapped Below: Abdominal Pseudocysts Associated With Ventriculoperitoneal Shunts in Coccidioidal Meningitis.

Trapped Below: Abdominal Pseudocysts Associated With Ventriculoperitoneal Shunts in Coccidioidal Meningitis.

Trapped Below: Abdominal Pseudocysts Associated With Ventriculoperitoneal Shunts in Coccidioidal Meningitis.

Trapped Below: Abdominal Pseudocysts Associated With Ventriculoperitoneal Shunts in Coccidioidal Meningitis.

Ventriculoperitoneal (VP) shunts are the mainstay for cerebrospinal fluid diversion in patients with refractory coccidioidal meningitis (CM)-associated hydrocephalus. Abdominal pseudocysts (APCs), an uncommon but known complication of distal shunt catheters, have not been well described in CM. We conducted a retrospective study of 124 patients with CM who underwent VP shunt placement between 2010 and 2024. APCs occurred in 21 patients (17%), with most presenting with symptoms of shunt malfunction rather than abdominal complaints. This incidence is notably higher than previously reported in patients with hydrocephalus due to other etiologies. Evidence of active Coccidioides infection was present in 71% of patients. Imaging typically revealed fluid collections at the distal catheter tip, and most patients underwent surgical intervention targeting the distal shunt. Despite intervention, recurrent shunt failures occurred in a substantial proportion. These findings add to the limited literature on APCs in CM and may inform future research into their presentation, contributing factors, and management.

求助全文
通过发布文献求助,成功后即可免费获取论文全文。 去求助
来源期刊
Open Forum Infectious Diseases
Open Forum Infectious Diseases Medicine-Neurology (clinical)
CiteScore
6.70
自引率
4.80%
发文量
630
审稿时长
9 weeks
期刊介绍: Open Forum Infectious Diseases provides a global forum for the publication of clinical, translational, and basic research findings in a fully open access, online journal environment. The journal reflects the broad diversity of the field of infectious diseases, and focuses on the intersection of biomedical science and clinical practice, with a particular emphasis on knowledge that holds the potential to improve patient care in populations around the world. Fully peer-reviewed, OFID supports the international community of infectious diseases experts by providing a venue for articles that further the understanding of all aspects of infectious diseases.
×
引用
GB/T 7714-2015
复制
MLA
复制
APA
复制
导出至
BibTeX EndNote RefMan NoteFirst NoteExpress
×
提示
您的信息不完整,为了账户安全,请先补充。
现在去补充
×
提示
您因"违规操作"
具体请查看互助需知
我知道了
×
提示
确定
请完成安全验证×
copy
已复制链接
快去分享给好友吧!
我知道了
右上角分享
点击右上角分享
0
联系我们:info@booksci.cn Book学术提供免费学术资源搜索服务,方便国内外学者检索中英文文献。致力于提供最便捷和优质的服务体验。 Copyright © 2023 布克学术 All rights reserved.
京ICP备2023020795号-1
ghs 京公网安备 11010802042870号
Book学术文献互助
Book学术文献互助群
群 号:604180095
Book学术官方微信