抗n -甲基-d-天冬氨酸受体脑炎合并小细胞肺癌的早期成功治疗1例

IF 2 Q3 NEUROSCIENCES
Kohei Kamikawa, Ryohei Takada, Yuya Honda, Harue Goto, Takashi Okada
{"title":"抗n -甲基-d-天冬氨酸受体脑炎合并小细胞肺癌的早期成功治疗1例","authors":"Kohei Kamikawa, Ryohei Takada, Yuya Honda, Harue Goto, Takashi Okada","doi":"10.1002/npr2.70044","DOIUrl":null,"url":null,"abstract":"<p><strong>Background: </strong>Anti-N-methyl-d-aspartate receptor (NMDAR) encephalitis, a type of autoimmune encephalitis, characterized by acute onset neuropsychiatric symptoms, predominantly affects young females and is often associated with ovarian teratomas. Although small cell lung cancer (SCLC) is a known cause of paraneoplastic encephalitis, its association with anti-NMDAR encephalitis is rare and often carries a poor prognosis due to limited response to immunotherapy.</p><p><strong>Case presentation: </strong>An 80-year-old male with no psychiatric history presented with flu-like symptoms, followed by the acute onset of neuropsychiatric symptoms, including pressured speech, agitation, memory impairment, and abnormal behavior. Autoimmune encephalitis was suspected due to mildly elevated cerebrospinal fluid (CSF) white cell count and a mass in the right upper lung detected by whole-body computed tomography (CT) on the first day of hospitalization. High-dose intravenous corticosteroids were administered on Day 1, resulting in prompt and sustained improvement in symptoms. CSF was later confirmed positive for anti-NMDAR antibodies, and a bronchoscopy biopsy of the pulmonary mass diagnosed SCLC. The patient recovered without neurological deficits and was discharged in stable condition on hospital Day 30.</p><p><strong>Conclusion: </strong>This was a rare case of anti-NMDAR encephalitis associated with SCLC in an elderly male patient. Diagnosis in elderly individuals is often challenging because of the atypical presentations and lower tumor association. Nevertheless, timely intervention initiation may lead to favorable outcomes. Clinicians should consider autoimmune encephalitis, including anti-NMDAR encephalitis, when evaluating acute onset neuropsychiatric symptoms in elderly individuals and initiate early immunotherapy alongside tumor screening.</p>","PeriodicalId":19137,"journal":{"name":"Neuropsychopharmacology Reports","volume":"45 3","pages":"e70044"},"PeriodicalIF":2.0000,"publicationDate":"2025-09-01","publicationTypes":"Journal Article","fieldsOfStudy":null,"isOpenAccess":false,"openAccessPdf":"https://www.ncbi.nlm.nih.gov/pmc/articles/PMC12378564/pdf/","citationCount":"0","resultStr":"{\"title\":\"Successful Early Treatment of Anti-N-Methyl-d-Aspartate Receptor Encephalitis Associated With Small Cell Lung Cancer in an Elderly Male Patient: A Case Report.\",\"authors\":\"Kohei Kamikawa, Ryohei Takada, Yuya Honda, Harue Goto, Takashi Okada\",\"doi\":\"10.1002/npr2.70044\",\"DOIUrl\":null,\"url\":null,\"abstract\":\"<p><strong>Background: </strong>Anti-N-methyl-d-aspartate receptor (NMDAR) encephalitis, a type of autoimmune encephalitis, characterized by acute onset neuropsychiatric symptoms, predominantly affects young females and is often associated with ovarian teratomas. Although small cell lung cancer (SCLC) is a known cause of paraneoplastic encephalitis, its association with anti-NMDAR encephalitis is rare and often carries a poor prognosis due to limited response to immunotherapy.</p><p><strong>Case presentation: </strong>An 80-year-old male with no psychiatric history presented with flu-like symptoms, followed by the acute onset of neuropsychiatric symptoms, including pressured speech, agitation, memory impairment, and abnormal behavior. Autoimmune encephalitis was suspected due to mildly elevated cerebrospinal fluid (CSF) white cell count and a mass in the right upper lung detected by whole-body computed tomography (CT) on the first day of hospitalization. High-dose intravenous corticosteroids were administered on Day 1, resulting in prompt and sustained improvement in symptoms. CSF was later confirmed positive for anti-NMDAR antibodies, and a bronchoscopy biopsy of the pulmonary mass diagnosed SCLC. The patient recovered without neurological deficits and was discharged in stable condition on hospital Day 30.</p><p><strong>Conclusion: </strong>This was a rare case of anti-NMDAR encephalitis associated with SCLC in an elderly male patient. Diagnosis in elderly individuals is often challenging because of the atypical presentations and lower tumor association. Nevertheless, timely intervention initiation may lead to favorable outcomes. Clinicians should consider autoimmune encephalitis, including anti-NMDAR encephalitis, when evaluating acute onset neuropsychiatric symptoms in elderly individuals and initiate early immunotherapy alongside tumor screening.</p>\",\"PeriodicalId\":19137,\"journal\":{\"name\":\"Neuropsychopharmacology Reports\",\"volume\":\"45 3\",\"pages\":\"e70044\"},\"PeriodicalIF\":2.0000,\"publicationDate\":\"2025-09-01\",\"publicationTypes\":\"Journal Article\",\"fieldsOfStudy\":null,\"isOpenAccess\":false,\"openAccessPdf\":\"https://www.ncbi.nlm.nih.gov/pmc/articles/PMC12378564/pdf/\",\"citationCount\":\"0\",\"resultStr\":null,\"platform\":\"Semanticscholar\",\"paperid\":null,\"PeriodicalName\":\"Neuropsychopharmacology Reports\",\"FirstCategoryId\":\"1085\",\"ListUrlMain\":\"https://doi.org/10.1002/npr2.70044\",\"RegionNum\":0,\"RegionCategory\":null,\"ArticlePicture\":[],\"TitleCN\":null,\"AbstractTextCN\":null,\"PMCID\":null,\"EPubDate\":\"\",\"PubModel\":\"\",\"JCR\":\"Q3\",\"JCRName\":\"NEUROSCIENCES\",\"Score\":null,\"Total\":0}","platform":"Semanticscholar","paperid":null,"PeriodicalName":"Neuropsychopharmacology Reports","FirstCategoryId":"1085","ListUrlMain":"https://doi.org/10.1002/npr2.70044","RegionNum":0,"RegionCategory":null,"ArticlePicture":[],"TitleCN":null,"AbstractTextCN":null,"PMCID":null,"EPubDate":"","PubModel":"","JCR":"Q3","JCRName":"NEUROSCIENCES","Score":null,"Total":0}
引用次数: 0

摘要

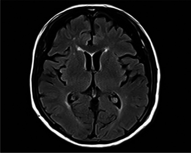
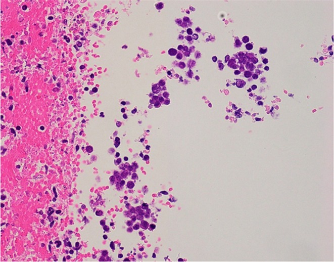
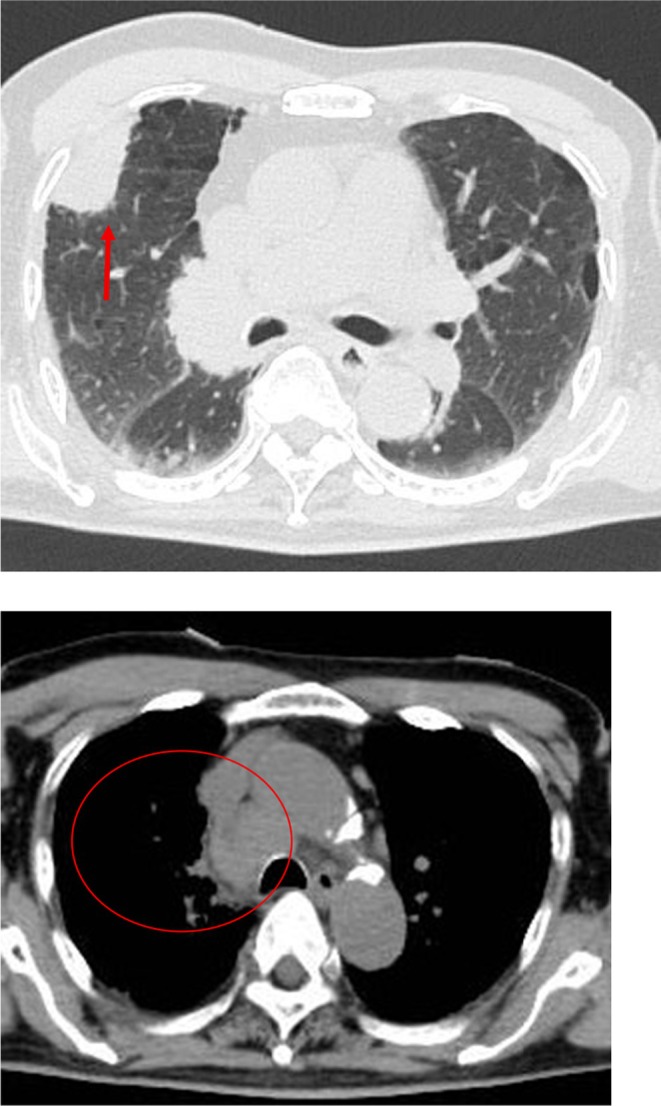
背景:抗n -甲基-d-天冬氨酸受体(NMDAR)脑炎是一种自身免疫性脑炎,以急性发作的神经精神症状为特征,主要影响年轻女性,常伴有卵巢畸胎瘤。虽然小细胞肺癌(SCLC)是一种已知的副肿瘤脑炎的病因,但它与抗nmdar脑炎的关联是罕见的,并且由于对免疫治疗的反应有限,通常预后较差。病例介绍:80岁男性,无精神病史,出现流感样症状,随后出现急性神经精神症状,包括言语压力、躁动、记忆障碍和异常行为。住院第一天全身计算机断层扫描(CT)发现脑脊液(CSF)白细胞计数轻度升高和右上肺肿块,怀疑为自身免疫性脑炎。在第1天给予大剂量静脉注射皮质类固醇,导致症状迅速和持续改善。脑脊液后来证实抗nmdar抗体阳性,肺肿块的支气管镜活检诊断为SCLC。患者康复后无神经功能缺损,入院第30天病情稳定出院。结论:这是一例罕见的老年男性患者抗nmdar脑炎合并SCLC的病例。由于不典型的表现和较低的肿瘤相关性,老年人的诊断往往具有挑战性。然而,及时的干预可能会导致良好的结果。临床医生在评估老年人急性发作的神经精神症状时应考虑自身免疫性脑炎,包括抗nmdar脑炎,并在肿瘤筛查的同时进行早期免疫治疗。
本文章由计算机程序翻译,如有差异,请以英文原文为准。

Successful Early Treatment of Anti-N-Methyl-d-Aspartate Receptor Encephalitis Associated With Small Cell Lung Cancer in an Elderly Male Patient: A Case Report.

Successful Early Treatment of Anti-N-Methyl-d-Aspartate Receptor Encephalitis Associated With Small Cell Lung Cancer in an Elderly Male Patient: A Case Report.

Successful Early Treatment of Anti-N-Methyl-d-Aspartate Receptor Encephalitis Associated With Small Cell Lung Cancer in an Elderly Male Patient: A Case Report.

Successful Early Treatment of Anti-N-Methyl-d-Aspartate Receptor Encephalitis Associated With Small Cell Lung Cancer in an Elderly Male Patient: A Case Report.

Background: Anti-N-methyl-d-aspartate receptor (NMDAR) encephalitis, a type of autoimmune encephalitis, characterized by acute onset neuropsychiatric symptoms, predominantly affects young females and is often associated with ovarian teratomas. Although small cell lung cancer (SCLC) is a known cause of paraneoplastic encephalitis, its association with anti-NMDAR encephalitis is rare and often carries a poor prognosis due to limited response to immunotherapy.

Case presentation: An 80-year-old male with no psychiatric history presented with flu-like symptoms, followed by the acute onset of neuropsychiatric symptoms, including pressured speech, agitation, memory impairment, and abnormal behavior. Autoimmune encephalitis was suspected due to mildly elevated cerebrospinal fluid (CSF) white cell count and a mass in the right upper lung detected by whole-body computed tomography (CT) on the first day of hospitalization. High-dose intravenous corticosteroids were administered on Day 1, resulting in prompt and sustained improvement in symptoms. CSF was later confirmed positive for anti-NMDAR antibodies, and a bronchoscopy biopsy of the pulmonary mass diagnosed SCLC. The patient recovered without neurological deficits and was discharged in stable condition on hospital Day 30.

Conclusion: This was a rare case of anti-NMDAR encephalitis associated with SCLC in an elderly male patient. Diagnosis in elderly individuals is often challenging because of the atypical presentations and lower tumor association. Nevertheless, timely intervention initiation may lead to favorable outcomes. Clinicians should consider autoimmune encephalitis, including anti-NMDAR encephalitis, when evaluating acute onset neuropsychiatric symptoms in elderly individuals and initiate early immunotherapy alongside tumor screening.

求助全文
通过发布文献求助,成功后即可免费获取论文全文。 去求助
来源期刊
Neuropsychopharmacology Reports
Neuropsychopharmacology Reports Psychology-Clinical Psychology
CiteScore
3.60
自引率
4.00%
发文量
75
审稿时长
14 weeks
×
引用
GB/T 7714-2015
复制
MLA
复制
APA
复制
导出至
BibTeX EndNote RefMan NoteFirst NoteExpress
×
提示
您的信息不完整,为了账户安全,请先补充。
现在去补充
×
提示
您因"违规操作"
具体请查看互助需知
我知道了
×
提示
确定
请完成安全验证×
copy
已复制链接
快去分享给好友吧!
我知道了
右上角分享
点击右上角分享
0
联系我们:info@booksci.cn Book学术提供免费学术资源搜索服务,方便国内外学者检索中英文文献。致力于提供最便捷和优质的服务体验。 Copyright © 2023 布克学术 All rights reserved.
京ICP备2023020795号-1
ghs 京公网安备 11010802042870号
Book学术文献互助
Book学术文献互助群
群 号:604180095
Book学术官方微信