人源椭球法与人工智能肾容量法在多囊肾病诊断中的比较

IF 3 3区 医学 Q2 HEALTH CARE SCIENCES & SERVICES
Jihyun Yang, Young Rae Lee, Young Youl Hyun, Hyun Jung Kim, Tae Young Shin, Kyu-Beck Lee
{"title":"人源椭球法与人工智能肾容量法在多囊肾病诊断中的比较","authors":"Jihyun Yang, Young Rae Lee, Young Youl Hyun, Hyun Jung Kim, Tae Young Shin, Kyu-Beck Lee","doi":"10.3390/jpm15080392","DOIUrl":null,"url":null,"abstract":"<p><p><b>Background:</b> The Mayo imaging classification (MIC) for polycystic kidney disease (PKD) is a crucial basis for clinical treatment decisions; however, the volumetric assessment for its evaluation remains tedious and inaccurate. While the ellipsoid method for measuring the total kidney volume (TKV) in patients with PKD provides a practical TKV estimation using computed tomography (CT), its inconsistency and inaccuracy are limitations, highlighting the need for improved, accessible techniques in real-world clinics. <b>Methods:</b> We compared manual ellipsoid and artificial intelligence (AI)-based kidney volumetry methods using a convolutional neural network-based segmentation model (3D Dynamic U-Net) for measuring the TKV by assessing 32 patients with PKD in a single tertiary hospital. <b>Results:</b> The median age and average TKV were 56 years and 1200.24 mL, respectively. Most of the patients were allocated to Mayo Clinic classifications 1B and 1C using the ellipsoid method, similar to the AI volumetry classification. AI volumetry outperformed the ellipsoid method with highly correlated scores (AI vs. nephrology professor ICC: r = 0.991, 95% confidence interval (CI) = 0.9780-0.9948, <i>p</i> < 0.01; AI vs. trained clinician ICC: r = 0.983, 95% CI = 0.9608-0.9907, <i>p</i> < 0.01). The Bland-Altman plot also showed that the mean differences between professor and AI volumetry were statistically insignificant (mean difference 159.5 mL, 95% CI = 11.8368-330.7817, <i>p</i> = 0.07). <b>Conclusions:</b> AI-based kidney volumetry demonstrates strong agreement with expert manual measurements and offers a reliable, labor-efficient alternative for TKV assessment in clinical practice. It is helpful and essential for managing PKD and optimizing therapeutic outcomes.</p>","PeriodicalId":16722,"journal":{"name":"Journal of Personalized Medicine","volume":"15 8","pages":""},"PeriodicalIF":3.0000,"publicationDate":"2025-08-20","publicationTypes":"Journal Article","fieldsOfStudy":null,"isOpenAccess":false,"openAccessPdf":"https://www.ncbi.nlm.nih.gov/pmc/articles/PMC12387165/pdf/","citationCount":"0","resultStr":"{\"title\":\"Comparison Between the Human-Sourced Ellipsoid Method and Kidney Volumetry Using Artificial Intelligence in Polycystic Kidney Disease.\",\"authors\":\"Jihyun Yang, Young Rae Lee, Young Youl Hyun, Hyun Jung Kim, Tae Young Shin, Kyu-Beck Lee\",\"doi\":\"10.3390/jpm15080392\",\"DOIUrl\":null,\"url\":null,\"abstract\":\"<p><p><b>Background:</b> The Mayo imaging classification (MIC) for polycystic kidney disease (PKD) is a crucial basis for clinical treatment decisions; however, the volumetric assessment for its evaluation remains tedious and inaccurate. While the ellipsoid method for measuring the total kidney volume (TKV) in patients with PKD provides a practical TKV estimation using computed tomography (CT), its inconsistency and inaccuracy are limitations, highlighting the need for improved, accessible techniques in real-world clinics. <b>Methods:</b> We compared manual ellipsoid and artificial intelligence (AI)-based kidney volumetry methods using a convolutional neural network-based segmentation model (3D Dynamic U-Net) for measuring the TKV by assessing 32 patients with PKD in a single tertiary hospital. <b>Results:</b> The median age and average TKV were 56 years and 1200.24 mL, respectively. Most of the patients were allocated to Mayo Clinic classifications 1B and 1C using the ellipsoid method, similar to the AI volumetry classification. AI volumetry outperformed the ellipsoid method with highly correlated scores (AI vs. nephrology professor ICC: r = 0.991, 95% confidence interval (CI) = 0.9780-0.9948, <i>p</i> < 0.01; AI vs. trained clinician ICC: r = 0.983, 95% CI = 0.9608-0.9907, <i>p</i> < 0.01). The Bland-Altman plot also showed that the mean differences between professor and AI volumetry were statistically insignificant (mean difference 159.5 mL, 95% CI = 11.8368-330.7817, <i>p</i> = 0.07). <b>Conclusions:</b> AI-based kidney volumetry demonstrates strong agreement with expert manual measurements and offers a reliable, labor-efficient alternative for TKV assessment in clinical practice. It is helpful and essential for managing PKD and optimizing therapeutic outcomes.</p>\",\"PeriodicalId\":16722,\"journal\":{\"name\":\"Journal of Personalized Medicine\",\"volume\":\"15 8\",\"pages\":\"\"},\"PeriodicalIF\":3.0000,\"publicationDate\":\"2025-08-20\",\"publicationTypes\":\"Journal Article\",\"fieldsOfStudy\":null,\"isOpenAccess\":false,\"openAccessPdf\":\"https://www.ncbi.nlm.nih.gov/pmc/articles/PMC12387165/pdf/\",\"citationCount\":\"0\",\"resultStr\":null,\"platform\":\"Semanticscholar\",\"paperid\":null,\"PeriodicalName\":\"Journal of Personalized Medicine\",\"FirstCategoryId\":\"3\",\"ListUrlMain\":\"https://doi.org/10.3390/jpm15080392\",\"RegionNum\":3,\"RegionCategory\":\"医学\",\"ArticlePicture\":[],\"TitleCN\":null,\"AbstractTextCN\":null,\"PMCID\":null,\"EPubDate\":\"\",\"PubModel\":\"\",\"JCR\":\"Q2\",\"JCRName\":\"HEALTH CARE SCIENCES & SERVICES\",\"Score\":null,\"Total\":0}","platform":"Semanticscholar","paperid":null,"PeriodicalName":"Journal of Personalized Medicine","FirstCategoryId":"3","ListUrlMain":"https://doi.org/10.3390/jpm15080392","RegionNum":3,"RegionCategory":"医学","ArticlePicture":[],"TitleCN":null,"AbstractTextCN":null,"PMCID":null,"EPubDate":"","PubModel":"","JCR":"Q2","JCRName":"HEALTH CARE SCIENCES & SERVICES","Score":null,"Total":0}
引用次数: 0

摘要

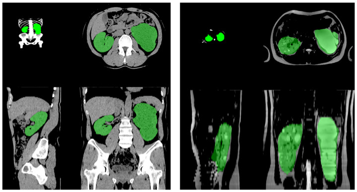
背景:多囊肾病(PKD)的Mayo影像分类(MIC)是临床治疗决策的重要依据;然而,对其评价的体积评估仍然是繁琐和不准确的。虽然测量PKD患者总肾体积(TKV)的椭球方法使用计算机断层扫描(CT)提供了实用的TKV估计,但其不一致性和不准确性是局限性,强调需要在现实世界的诊所中改进,易于使用的技术。方法:采用基于卷积神经网络的分割模型(3D Dynamic U-Net)对某三级医院32例PKD患者的TKV进行测量,比较人工椭球法和人工智能(AI)肾脏体积法。结果:中位年龄为56岁,平均TKV为1200.24 mL。大多数患者采用椭球法,类似于AI容积法,被分配到Mayo Clinic的1B和1C分类。AI容积法优于椭球法,评分高度相关(AI vs.肾脏病学教授ICC: r = 0.991, 95%可信区间(CI) = 0.9780 ~ 0.9948, p < 0.01;AI vs.训练有素的临床医生ICC: r = 0.983, 95% CI = 0.9608 ~ 0.9907, p < 0.01)。Bland-Altman图还显示,教授和AI容积法的平均差异无统计学意义(平均差异为159.5 mL, 95% CI = 11.8368-330.7817, p = 0.07)。结论:基于人工智能的肾脏体积测量与专家手动测量结果非常一致,为临床实践中的TKV评估提供了可靠、高效的替代方法。这对治疗PKD和优化治疗结果是有帮助和必要的。
本文章由计算机程序翻译,如有差异,请以英文原文为准。

Comparison Between the Human-Sourced Ellipsoid Method and Kidney Volumetry Using Artificial Intelligence in Polycystic Kidney Disease.

Comparison Between the Human-Sourced Ellipsoid Method and Kidney Volumetry Using Artificial Intelligence in Polycystic Kidney Disease.

Comparison Between the Human-Sourced Ellipsoid Method and Kidney Volumetry Using Artificial Intelligence in Polycystic Kidney Disease.

Comparison Between the Human-Sourced Ellipsoid Method and Kidney Volumetry Using Artificial Intelligence in Polycystic Kidney Disease.

Background: The Mayo imaging classification (MIC) for polycystic kidney disease (PKD) is a crucial basis for clinical treatment decisions; however, the volumetric assessment for its evaluation remains tedious and inaccurate. While the ellipsoid method for measuring the total kidney volume (TKV) in patients with PKD provides a practical TKV estimation using computed tomography (CT), its inconsistency and inaccuracy are limitations, highlighting the need for improved, accessible techniques in real-world clinics. Methods: We compared manual ellipsoid and artificial intelligence (AI)-based kidney volumetry methods using a convolutional neural network-based segmentation model (3D Dynamic U-Net) for measuring the TKV by assessing 32 patients with PKD in a single tertiary hospital. Results: The median age and average TKV were 56 years and 1200.24 mL, respectively. Most of the patients were allocated to Mayo Clinic classifications 1B and 1C using the ellipsoid method, similar to the AI volumetry classification. AI volumetry outperformed the ellipsoid method with highly correlated scores (AI vs. nephrology professor ICC: r = 0.991, 95% confidence interval (CI) = 0.9780-0.9948, p < 0.01; AI vs. trained clinician ICC: r = 0.983, 95% CI = 0.9608-0.9907, p < 0.01). The Bland-Altman plot also showed that the mean differences between professor and AI volumetry were statistically insignificant (mean difference 159.5 mL, 95% CI = 11.8368-330.7817, p = 0.07). Conclusions: AI-based kidney volumetry demonstrates strong agreement with expert manual measurements and offers a reliable, labor-efficient alternative for TKV assessment in clinical practice. It is helpful and essential for managing PKD and optimizing therapeutic outcomes.

求助全文
通过发布文献求助,成功后即可免费获取论文全文。 去求助
来源期刊
Journal of Personalized Medicine
Journal of Personalized Medicine Medicine-Medicine (miscellaneous)
CiteScore
4.10
自引率
0.00%
发文量
1878
审稿时长
11 weeks
期刊介绍: Journal of Personalized Medicine (JPM; ISSN 2075-4426) is an international, open access journal aimed at bringing all aspects of personalized medicine to one platform. JPM publishes cutting edge, innovative preclinical and translational scientific research and technologies related to personalized medicine (e.g., pharmacogenomics/proteomics, systems biology). JPM recognizes that personalized medicine—the assessment of genetic, environmental and host factors that cause variability of individuals—is a challenging, transdisciplinary topic that requires discussions from a range of experts. For a comprehensive perspective of personalized medicine, JPM aims to integrate expertise from the molecular and translational sciences, therapeutics and diagnostics, as well as discussions of regulatory, social, ethical and policy aspects. We provide a forum to bring together academic and clinical researchers, biotechnology, diagnostic and pharmaceutical companies, health professionals, regulatory and ethical experts, and government and regulatory authorities.
×
引用
GB/T 7714-2015
复制
MLA
复制
APA
复制
导出至
BibTeX EndNote RefMan NoteFirst NoteExpress
×
提示
您的信息不完整,为了账户安全,请先补充。
现在去补充
×
提示
您因"违规操作"
具体请查看互助需知
我知道了
×
提示
确定
请完成安全验证×
copy
已复制链接
快去分享给好友吧!
我知道了
右上角分享
点击右上角分享
0
联系我们:info@booksci.cn Book学术提供免费学术资源搜索服务,方便国内外学者检索中英文文献。致力于提供最便捷和优质的服务体验。 Copyright © 2023 布克学术 All rights reserved.
京ICP备2023020795号-1
ghs 京公网安备 11010802042870号
Book学术文献互助
Book学术文献互助群
群 号:604180095
Book学术官方微信