短暂性全局性遗忘患者的眩晕和空间定向障碍:临床和前庭相关。

IF 4.6 2区 医学 Q1 CLINICAL NEUROLOGY
Ileok Jung, Jin-Man Jung, Moon-Ho Park, Ji-Soo Kim
{"title":"短暂性全局性遗忘患者的眩晕和空间定向障碍:临床和前庭相关。","authors":"Ileok Jung, Jin-Man Jung, Moon-Ho Park, Ji-Soo Kim","doi":"10.1007/s00415-025-13336-1","DOIUrl":null,"url":null,"abstract":"<p><strong>Objective: </strong>To determine the prevalence and clinical significance of dizziness and spatial disorientation in patients with transient global amnesia (TGA), and to examine their relationships with vestibular function and imaging findings.</p><p><strong>Methods: </strong>We retrospective analyzed 64 TGA episodes from 63 patients [46 (71.9%) women, mean age ± SD = 58.6 ± 9.4]. Vestibular and ocular motor function test [including vestibular-evoked myogenic potentials (VEMPs)], neuropsychological assessments, and brain imaging were evaluated. Logistic regression was used to identify factors associated with dizziness and spatial disorientation.</p><p><strong>Results: </strong>Dizziness was reported in 30.6% (19/62 episodes), and spatial disorientation in 25.0% (16/64 episodes). In multivariable analysis, dizziness was independently associated with headache [odds ratio (OR) = 6.94; 95% confidence interval (CI) 1.91-25.25; p = 0.003] and Valsalva-like provoking events (OR = 4.19; 95% CI 1.14-15.38; p = 0.031). Abnormalities in ocular vestibular-evoked myogenic potentials (VEMPs) were significantly association with dizziness in univariate analysis (OR = 4.00; 95% CI 1.13-14.09; p = 0.031), but not in the multivariable analysis. In relation to spatial disorientation, abnormal cervical VEMPs showed a significant difference in chi-square test (p = 0.043), and a trend toward association in multivariable analysis (OR = 3.28; 95% CI 0.885-12.19; p = 0.076), suggesting otolithic vestibular dysfunction. There was a trend-level association between spatial disorientation and lower Korea-Montreal Cognitive Assessment scores (p = 0.066). Interestingly, patients in the spatial disorientation group showed better performance in visual memory immediate recall (p = 0.061), although this did not reach statistical significance. Hippocampal lesions were identified in 75.0% of TGA episodes, most commonly involving the hippocampal head. However, lesion laterality (left, right, or bilateral) was not associated with dizziness, spatial disorientation, or vestibular abnormalities.</p><p><strong>Conclusion: </strong>Dizziness and spatial disorientation are common and clinically meaningful symptoms in TGA, likely reflecting transient dysfunction of specific vestibular pathways. These findings suggest broader network involvement in TGA in addition to the hippocampus, particularly implicating otolith-ocular and vestibulo-spinal pathways.</p>","PeriodicalId":16558,"journal":{"name":"Journal of Neurology","volume":"272 9","pages":"594"},"PeriodicalIF":4.6000,"publicationDate":"2025-08-27","publicationTypes":"Journal Article","fieldsOfStudy":null,"isOpenAccess":false,"openAccessPdf":"https://www.ncbi.nlm.nih.gov/pmc/articles/PMC12391237/pdf/","citationCount":"0","resultStr":"{\"title\":\"Dizziness and spatial disorientation in patients with transient global amnesia: clinical and vestibular correlates.\",\"authors\":\"Ileok Jung, Jin-Man Jung, Moon-Ho Park, Ji-Soo Kim\",\"doi\":\"10.1007/s00415-025-13336-1\",\"DOIUrl\":null,\"url\":null,\"abstract\":\"<p><strong>Objective: </strong>To determine the prevalence and clinical significance of dizziness and spatial disorientation in patients with transient global amnesia (TGA), and to examine their relationships with vestibular function and imaging findings.</p><p><strong>Methods: </strong>We retrospective analyzed 64 TGA episodes from 63 patients [46 (71.9%) women, mean age ± SD = 58.6 ± 9.4]. Vestibular and ocular motor function test [including vestibular-evoked myogenic potentials (VEMPs)], neuropsychological assessments, and brain imaging were evaluated. Logistic regression was used to identify factors associated with dizziness and spatial disorientation.</p><p><strong>Results: </strong>Dizziness was reported in 30.6% (19/62 episodes), and spatial disorientation in 25.0% (16/64 episodes). In multivariable analysis, dizziness was independently associated with headache [odds ratio (OR) = 6.94; 95% confidence interval (CI) 1.91-25.25; p = 0.003] and Valsalva-like provoking events (OR = 4.19; 95% CI 1.14-15.38; p = 0.031). Abnormalities in ocular vestibular-evoked myogenic potentials (VEMPs) were significantly association with dizziness in univariate analysis (OR = 4.00; 95% CI 1.13-14.09; p = 0.031), but not in the multivariable analysis. In relation to spatial disorientation, abnormal cervical VEMPs showed a significant difference in chi-square test (p = 0.043), and a trend toward association in multivariable analysis (OR = 3.28; 95% CI 0.885-12.19; p = 0.076), suggesting otolithic vestibular dysfunction. There was a trend-level association between spatial disorientation and lower Korea-Montreal Cognitive Assessment scores (p = 0.066). Interestingly, patients in the spatial disorientation group showed better performance in visual memory immediate recall (p = 0.061), although this did not reach statistical significance. Hippocampal lesions were identified in 75.0% of TGA episodes, most commonly involving the hippocampal head. However, lesion laterality (left, right, or bilateral) was not associated with dizziness, spatial disorientation, or vestibular abnormalities.</p><p><strong>Conclusion: </strong>Dizziness and spatial disorientation are common and clinically meaningful symptoms in TGA, likely reflecting transient dysfunction of specific vestibular pathways. These findings suggest broader network involvement in TGA in addition to the hippocampus, particularly implicating otolith-ocular and vestibulo-spinal pathways.</p>\",\"PeriodicalId\":16558,\"journal\":{\"name\":\"Journal of Neurology\",\"volume\":\"272 9\",\"pages\":\"594\"},\"PeriodicalIF\":4.6000,\"publicationDate\":\"2025-08-27\",\"publicationTypes\":\"Journal Article\",\"fieldsOfStudy\":null,\"isOpenAccess\":false,\"openAccessPdf\":\"https://www.ncbi.nlm.nih.gov/pmc/articles/PMC12391237/pdf/\",\"citationCount\":\"0\",\"resultStr\":null,\"platform\":\"Semanticscholar\",\"paperid\":null,\"PeriodicalName\":\"Journal of Neurology\",\"FirstCategoryId\":\"3\",\"ListUrlMain\":\"https://doi.org/10.1007/s00415-025-13336-1\",\"RegionNum\":2,\"RegionCategory\":\"医学\",\"ArticlePicture\":[],\"TitleCN\":null,\"AbstractTextCN\":null,\"PMCID\":null,\"EPubDate\":\"\",\"PubModel\":\"\",\"JCR\":\"Q1\",\"JCRName\":\"CLINICAL NEUROLOGY\",\"Score\":null,\"Total\":0}","platform":"Semanticscholar","paperid":null,"PeriodicalName":"Journal of Neurology","FirstCategoryId":"3","ListUrlMain":"https://doi.org/10.1007/s00415-025-13336-1","RegionNum":2,"RegionCategory":"医学","ArticlePicture":[],"TitleCN":null,"AbstractTextCN":null,"PMCID":null,"EPubDate":"","PubModel":"","JCR":"Q1","JCRName":"CLINICAL NEUROLOGY","Score":null,"Total":0}
引用次数: 0

摘要

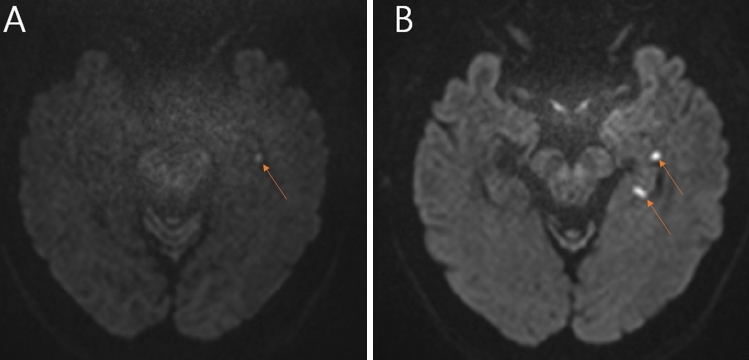
目的:了解短暂性全局遗忘症(TGA)患者头晕和空间定向障碍的患病率及临床意义,并探讨其与前庭功能和影像学表现的关系。方法:回顾性分析63例患者64次TGA发作[46例(71.9%)女性,平均年龄±SD = 58.6±9.4]。评估前庭和眼运动功能测试[包括前庭诱发肌生成电位(VEMPs)]、神经心理学评估和脑成像。Logistic回归用于确定与头晕和空间定向障碍相关的因素。结果:眩晕发生率为30.6%(19/62次),空间定向障碍发生率为25.0%(16/64次)。在多变量分析中,头晕与头痛独立相关[优势比(OR) = 6.94;95%置信区间(CI) 1.91 ~ 25.25;p = 0.003]和缬草样刺激事件(OR = 4.19; 95% CI 1.14-15.38; p = 0.031)。在单因素分析中,眼前庭诱发肌源性电位(VEMPs)异常与头晕有显著相关性(OR = 4.00; 95% CI 1.13-14.09; p = 0.031),但在多因素分析中无显著相关性。与空间定向障碍相关,颈VEMPs异常在卡方检验中有显著差异(p = 0.043),在多变量分析中有相关趋势(OR = 3.28; 95% CI 0.885-12.19; p = 0.076),提示耳石前庭功能障碍。空间定向障碍与较低的韩国-蒙特利尔认知评估分数之间存在趋势水平的关联(p = 0.066)。有趣的是,空间定向障碍组患者在视觉记忆即时回忆方面表现更好(p = 0.061),尽管这没有达到统计学意义。在75.0%的TGA发作中发现海马病变,最常累及海马头部。然而,病变侧侧(左、右或双侧)与头晕、空间定向障碍或前庭异常无关。结论:眩晕和空间定向障碍是TGA常见且有临床意义的症状,可能反映了特定前庭通路的一过性功能障碍。这些发现表明,除了海马外,TGA还涉及更广泛的网络,特别是耳石-眼通路和前庭-脊髓通路。
本文章由计算机程序翻译,如有差异,请以英文原文为准。

Dizziness and spatial disorientation in patients with transient global amnesia: clinical and vestibular correlates.

Dizziness and spatial disorientation in patients with transient global amnesia: clinical and vestibular correlates.

Dizziness and spatial disorientation in patients with transient global amnesia: clinical and vestibular correlates.

Dizziness and spatial disorientation in patients with transient global amnesia: clinical and vestibular correlates.

Objective: To determine the prevalence and clinical significance of dizziness and spatial disorientation in patients with transient global amnesia (TGA), and to examine their relationships with vestibular function and imaging findings.

Methods: We retrospective analyzed 64 TGA episodes from 63 patients [46 (71.9%) women, mean age ± SD = 58.6 ± 9.4]. Vestibular and ocular motor function test [including vestibular-evoked myogenic potentials (VEMPs)], neuropsychological assessments, and brain imaging were evaluated. Logistic regression was used to identify factors associated with dizziness and spatial disorientation.

Results: Dizziness was reported in 30.6% (19/62 episodes), and spatial disorientation in 25.0% (16/64 episodes). In multivariable analysis, dizziness was independently associated with headache [odds ratio (OR) = 6.94; 95% confidence interval (CI) 1.91-25.25; p = 0.003] and Valsalva-like provoking events (OR = 4.19; 95% CI 1.14-15.38; p = 0.031). Abnormalities in ocular vestibular-evoked myogenic potentials (VEMPs) were significantly association with dizziness in univariate analysis (OR = 4.00; 95% CI 1.13-14.09; p = 0.031), but not in the multivariable analysis. In relation to spatial disorientation, abnormal cervical VEMPs showed a significant difference in chi-square test (p = 0.043), and a trend toward association in multivariable analysis (OR = 3.28; 95% CI 0.885-12.19; p = 0.076), suggesting otolithic vestibular dysfunction. There was a trend-level association between spatial disorientation and lower Korea-Montreal Cognitive Assessment scores (p = 0.066). Interestingly, patients in the spatial disorientation group showed better performance in visual memory immediate recall (p = 0.061), although this did not reach statistical significance. Hippocampal lesions were identified in 75.0% of TGA episodes, most commonly involving the hippocampal head. However, lesion laterality (left, right, or bilateral) was not associated with dizziness, spatial disorientation, or vestibular abnormalities.

Conclusion: Dizziness and spatial disorientation are common and clinically meaningful symptoms in TGA, likely reflecting transient dysfunction of specific vestibular pathways. These findings suggest broader network involvement in TGA in addition to the hippocampus, particularly implicating otolith-ocular and vestibulo-spinal pathways.

求助全文
通过发布文献求助,成功后即可免费获取论文全文。 去求助
来源期刊
Journal of Neurology
Journal of Neurology 医学-临床神经学
CiteScore
10.00
自引率
5.00%
发文量
558
审稿时长
1 months
期刊介绍: The Journal of Neurology is an international peer-reviewed journal which provides a source for publishing original communications and reviews on clinical neurology covering the whole field. In addition, Letters to the Editors serve as a forum for clinical cases and the exchange of ideas which highlight important new findings. A section on Neurological progress serves to summarise the major findings in certain fields of neurology. Commentaries on new developments in clinical neuroscience, which may be commissioned or submitted, are published as editorials. Every neurologist interested in the current diagnosis and treatment of neurological disorders needs access to the information contained in this valuable journal.
×
引用
GB/T 7714-2015
复制
MLA
复制
APA
复制
导出至
BibTeX EndNote RefMan NoteFirst NoteExpress
×
提示
您的信息不完整,为了账户安全,请先补充。
现在去补充
×
提示
您因"违规操作"
具体请查看互助需知
我知道了
×
提示
确定
请完成安全验证×
copy
已复制链接
快去分享给好友吧!
我知道了
右上角分享
点击右上角分享
0
联系我们:info@booksci.cn Book学术提供免费学术资源搜索服务,方便国内外学者检索中英文文献。致力于提供最便捷和优质的服务体验。 Copyright © 2023 布克学术 All rights reserved.
京ICP备2023020795号-1
ghs 京公网安备 11010802042870号
Book学术文献互助
Book学术文献互助群
群 号:604180095
Book学术官方微信