脾边缘区淋巴瘤合并慢性炎性脱髓鞘性多根神经病变1例。

Q3 Medicine
Tarek Mohammed, Halimah Saleh, Huda Albraim, Sariya Khan, Sahar Albraim, Deema Bakhashab
{"title":"脾边缘区淋巴瘤合并慢性炎性脱髓鞘性多根神经病变1例。","authors":"Tarek Mohammed, Halimah Saleh, Huda Albraim, Sariya Khan, Sahar Albraim, Deema Bakhashab","doi":"10.25122/jml-2025-0023","DOIUrl":null,"url":null,"abstract":"<p><p>Chronic inflammatory demyelinating polyradiculopathy (CIDP) is an acquired immune-mediated neuropathy characterized by progressive or relapsing-remitting proximal and distal weakness. Lymphomas are among various hematological malignancies associated with CIDP. Splenic marginal zone lymphoma (SMZL) is a rare, indolent B-cell non-Hodgkin lymphoma that classically presents with splenomegaly and cytopenia. The co-occurrence of SMZL and CIDP is extremely rare; the diagnosis thus presents a unique challenge both diagnostically and therapeutically. We report a 65-year-old male patient with progressive proximal weakness, night sweats, and splenomegaly. Investigations revealed pancytopenia with imaging studies confirming the splenomegaly. Further investigations, such as a bone marrow biopsy and histopathology of the spleen, were indicative of a hypocellular marrow and SMZL, respectively. Simultaneously, a diagnosis of CIDP was established based on clinical findings, as well as electromyography and nerve conduction studies. For CIDP, immunosuppressive therapy was initiated; however, no treatment was administered for SMZL due to its indolent nature. He showed partial neurological improvement with the treatment given for CIDP. This underlines the importance of treating both diseases. The rare association of CIDP and SMZL is presented in this case, highlighting the importance of a comprehensive diagnostic workup in patients with neurological and hematological abnormalities. Therefore, for the management of such patients, timely identification and appropriate therapeutic approaches will be necessary for an improved outcome.</p>","PeriodicalId":16386,"journal":{"name":"Journal of Medicine and Life","volume":"18 7","pages":"693-697"},"PeriodicalIF":0.0000,"publicationDate":"2025-07-01","publicationTypes":"Journal Article","fieldsOfStudy":null,"isOpenAccess":false,"openAccessPdf":"https://www.ncbi.nlm.nih.gov/pmc/articles/PMC12393300/pdf/","citationCount":"0","resultStr":"{\"title\":\"Splenic marginal zone lymphoma associated with chronic inflammatory demyelinating polyradiculoneuropathy: a case report.\",\"authors\":\"Tarek Mohammed, Halimah Saleh, Huda Albraim, Sariya Khan, Sahar Albraim, Deema Bakhashab\",\"doi\":\"10.25122/jml-2025-0023\",\"DOIUrl\":null,\"url\":null,\"abstract\":\"<p><p>Chronic inflammatory demyelinating polyradiculopathy (CIDP) is an acquired immune-mediated neuropathy characterized by progressive or relapsing-remitting proximal and distal weakness. Lymphomas are among various hematological malignancies associated with CIDP. Splenic marginal zone lymphoma (SMZL) is a rare, indolent B-cell non-Hodgkin lymphoma that classically presents with splenomegaly and cytopenia. The co-occurrence of SMZL and CIDP is extremely rare; the diagnosis thus presents a unique challenge both diagnostically and therapeutically. We report a 65-year-old male patient with progressive proximal weakness, night sweats, and splenomegaly. Investigations revealed pancytopenia with imaging studies confirming the splenomegaly. Further investigations, such as a bone marrow biopsy and histopathology of the spleen, were indicative of a hypocellular marrow and SMZL, respectively. Simultaneously, a diagnosis of CIDP was established based on clinical findings, as well as electromyography and nerve conduction studies. For CIDP, immunosuppressive therapy was initiated; however, no treatment was administered for SMZL due to its indolent nature. He showed partial neurological improvement with the treatment given for CIDP. This underlines the importance of treating both diseases. The rare association of CIDP and SMZL is presented in this case, highlighting the importance of a comprehensive diagnostic workup in patients with neurological and hematological abnormalities. Therefore, for the management of such patients, timely identification and appropriate therapeutic approaches will be necessary for an improved outcome.</p>\",\"PeriodicalId\":16386,\"journal\":{\"name\":\"Journal of Medicine and Life\",\"volume\":\"18 7\",\"pages\":\"693-697\"},\"PeriodicalIF\":0.0000,\"publicationDate\":\"2025-07-01\",\"publicationTypes\":\"Journal Article\",\"fieldsOfStudy\":null,\"isOpenAccess\":false,\"openAccessPdf\":\"https://www.ncbi.nlm.nih.gov/pmc/articles/PMC12393300/pdf/\",\"citationCount\":\"0\",\"resultStr\":null,\"platform\":\"Semanticscholar\",\"paperid\":null,\"PeriodicalName\":\"Journal of Medicine and Life\",\"FirstCategoryId\":\"1085\",\"ListUrlMain\":\"https://doi.org/10.25122/jml-2025-0023\",\"RegionNum\":0,\"RegionCategory\":null,\"ArticlePicture\":[],\"TitleCN\":null,\"AbstractTextCN\":null,\"PMCID\":null,\"EPubDate\":\"\",\"PubModel\":\"\",\"JCR\":\"Q3\",\"JCRName\":\"Medicine\",\"Score\":null,\"Total\":0}","platform":"Semanticscholar","paperid":null,"PeriodicalName":"Journal of Medicine and Life","FirstCategoryId":"1085","ListUrlMain":"https://doi.org/10.25122/jml-2025-0023","RegionNum":0,"RegionCategory":null,"ArticlePicture":[],"TitleCN":null,"AbstractTextCN":null,"PMCID":null,"EPubDate":"","PubModel":"","JCR":"Q3","JCRName":"Medicine","Score":null,"Total":0}
引用次数: 0

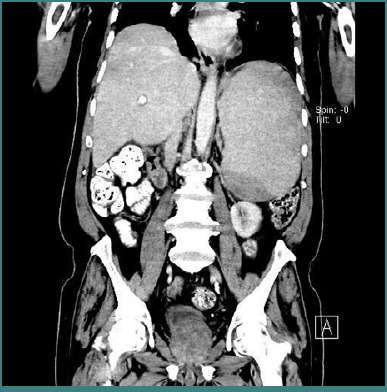
摘要

慢性炎症性脱髓鞘性多神经根病(CIDP)是一种获得性免疫介导的神经病变,其特征是进行性或复发缓解的近端和远端虚弱。淋巴瘤是与CIDP相关的多种血液恶性肿瘤之一。脾边缘区淋巴瘤(SMZL)是一种罕见的惰性b细胞非霍奇金淋巴瘤,典型表现为脾肿大和细胞减少。SMZL与CIDP同时发生极为罕见;因此,诊断提出了一个独特的挑战,无论是诊断和治疗。我们报告一位65岁男性病患,表现为进行性近端无力、盗汗及脾肿大。检查显示全血细胞减少,影像学检查证实脾肿大。进一步的检查,如骨髓活检和脾脏组织病理学,分别表明骨髓和SMZL细胞减少。同时,根据临床表现,以及肌电图和神经传导检查,建立CIDP的诊断。对于CIDP,开始免疫抑制治疗;然而,由于其惰性性质,未对SMZL进行治疗。他在接受CIDP治疗后表现出部分神经系统改善。这强调了治疗这两种疾病的重要性。在本病例中提出了罕见的CIDP和SMZL的关联,强调了对神经和血液异常患者进行全面诊断的重要性。因此,对于此类患者的管理,及时识别和适当的治疗方法对于改善结果是必要的。
本文章由计算机程序翻译,如有差异,请以英文原文为准。

Splenic marginal zone lymphoma associated with chronic inflammatory demyelinating polyradiculoneuropathy: a case report.

Splenic marginal zone lymphoma associated with chronic inflammatory demyelinating polyradiculoneuropathy: a case report.

Splenic marginal zone lymphoma associated with chronic inflammatory demyelinating polyradiculoneuropathy: a case report.

Chronic inflammatory demyelinating polyradiculopathy (CIDP) is an acquired immune-mediated neuropathy characterized by progressive or relapsing-remitting proximal and distal weakness. Lymphomas are among various hematological malignancies associated with CIDP. Splenic marginal zone lymphoma (SMZL) is a rare, indolent B-cell non-Hodgkin lymphoma that classically presents with splenomegaly and cytopenia. The co-occurrence of SMZL and CIDP is extremely rare; the diagnosis thus presents a unique challenge both diagnostically and therapeutically. We report a 65-year-old male patient with progressive proximal weakness, night sweats, and splenomegaly. Investigations revealed pancytopenia with imaging studies confirming the splenomegaly. Further investigations, such as a bone marrow biopsy and histopathology of the spleen, were indicative of a hypocellular marrow and SMZL, respectively. Simultaneously, a diagnosis of CIDP was established based on clinical findings, as well as electromyography and nerve conduction studies. For CIDP, immunosuppressive therapy was initiated; however, no treatment was administered for SMZL due to its indolent nature. He showed partial neurological improvement with the treatment given for CIDP. This underlines the importance of treating both diseases. The rare association of CIDP and SMZL is presented in this case, highlighting the importance of a comprehensive diagnostic workup in patients with neurological and hematological abnormalities. Therefore, for the management of such patients, timely identification and appropriate therapeutic approaches will be necessary for an improved outcome.

求助全文
通过发布文献求助,成功后即可免费获取论文全文。 去求助
来源期刊
Journal of Medicine and Life
Journal of Medicine and Life Medicine-Medicine (all)
CiteScore
1.90
自引率
0.00%
发文量
202
期刊介绍: The Journal of Medicine and Life publishes peer-reviewed articles from various fields of medicine and life sciences, including original research, systematic reviews, special reports, case presentations, major medical breakthroughs and letters to the editor. The Journal focuses on current matters that lie at the intersection of biomedical science and clinical practice and strives to present this information to inform health care delivery and improve patient outcomes. Papers addressing topics such as neuroprotection, neurorehabilitation, neuroplasticity, and neuroregeneration are particularly encouraged, as part of the Journal''s continuous interest in neuroscience research. The Editorial Board of the Journal of Medicine and Life is open to consider manuscripts from all levels of research and areas of biological sciences, including fundamental, experimental or clinical research and matters of public health. As part of our pledge to promote an educational and community-building environment, our issues feature sections designated to informing our readers regarding exciting international congresses, teaching courses and relevant institutional-level events.
×
引用
GB/T 7714-2015
复制
MLA
复制
APA
复制
导出至
BibTeX EndNote RefMan NoteFirst NoteExpress
×
提示
您的信息不完整,为了账户安全,请先补充。
现在去补充
×
提示
您因"违规操作"
具体请查看互助需知
我知道了
×
提示
确定
请完成安全验证×
copy
已复制链接
快去分享给好友吧!
我知道了
右上角分享
点击右上角分享
0
联系我们:info@booksci.cn Book学术提供免费学术资源搜索服务,方便国内外学者检索中英文文献。致力于提供最便捷和优质的服务体验。 Copyright © 2023 布克学术 All rights reserved.
京ICP备2023020795号-1
ghs 京公网安备 11010802042870号
Book学术文献互助
Book学术文献互助群
群 号:604180095
Book学术官方微信