肺炎克雷伯菌多部位感染肝脓肿的治疗1例。

IF 0.8 Q3 MEDICINE, GENERAL & INTERNAL
Yong-Gang Gui, Song-Tao Shou, Yi Jiang, Qiu-Ling Wang
{"title":"肺炎克雷伯菌多部位感染肝脓肿的治疗1例。","authors":"Yong-Gang Gui, Song-Tao Shou, Yi Jiang, Qiu-Ling Wang","doi":"10.1186/s13256-025-05511-9","DOIUrl":null,"url":null,"abstract":"<p><strong>Background: </strong>Pyogenic liver abscesses are a fatal condition often seen in emergency departments. The major clinical presentations include weakness, anorexia, fever, chills, ventosity and abdominal pain. They occur in immunocompromised individuals who suffer from diabetes mellitus, malignant tumors, hepatocirrhosis, kidney failure, and solid organ transplantation, or those with long-term administration of glucocorticoids. Invasive Klebsiella pneumoniae liver abscess syndrome resulting from hypervirulent Klebsiella pneumoniae often presents with extrahepatic complications such as endophthalmitis, meningitis, brain enlargement, pneumonia, necrotizing fasciitis, and spondylitis. Prompt diagnosis is crucial for the treatment of invasive Klebsiella pneumoniae liver abscess syndrome.</p><p><strong>Case report: </strong>A 75-year-old Han Chinese female patient who presented to the emergency department primarily for fever accompanied by chills was diagnosed with pyogenic liver abscess complicated with pulmonary infection, involving multiple pus emboli in the branches of the right hepatic vein. The patient accepted intravenous imipenem and cilastatin sodium for anti-infection, and subcutaneous insulin to control hyperglycemia. Percutaneous liver puncture and drainage was performed under ultrasound guidance. During the treatment the patient presented with headache, weakness in both lower limbs and lower back pain. Brain magnetic resonance imaging showed intracranial infection and lumbar magnetic resonance imaging showed infection of the vertebral body, intervertebral disc, and soft tissue. The patient had a liver abscess positive for Klebsiella pneumoniae together with infection of other organs, thus she was eventually diagnosed with invasive Klebsiella pneumoniae liver abscess syndrome. The antibiotics were adjusted according to the site of infection and drug sensitivity test. The patient recovered after percutaneous liver puncture and drainage under ultrasound guidance and anti-infection treatment for 3 months. Reexamination of abdominal computed tomography, chest computed tomography, brain magnetic resonance imaging and lumbar magnetic resonance imaging suggested that the infectious lesions had disappeared.</p><p><strong>Conclusion: </strong>This medical case report describes a patient with a pyogenic liver abscess caused by Klebsiella pneumoniae who was eventually diagnosed with invasive Klebsiella pneumoniae liver abscess syndrome. Invasive Klebsiella pneumoniae liver abscess syndrome has permanent morbidity, poor quality of life, and lacks warning signs. Despite the complexity of the condition, the patient received effective treatment and the abscess was successfully managed. Through this case, we propose that invasive Klebsiella pneumoniae liver abscess syndrome caused by hypervirulent Klebsiella pneumoniae should be considered for patients with diabetes and fever in the emergency department. Targeted intravenous antibiotics and percutaneous drainage of the abscess are key to the treatment of invasive Klebsiella pneumoniae liver abscess syndrome.</p>","PeriodicalId":16236,"journal":{"name":"Journal of Medical Case Reports","volume":"19 1","pages":"428"},"PeriodicalIF":0.8000,"publicationDate":"2025-08-28","publicationTypes":"Journal Article","fieldsOfStudy":null,"isOpenAccess":false,"openAccessPdf":"https://www.ncbi.nlm.nih.gov/pmc/articles/PMC12392612/pdf/","citationCount":"0","resultStr":"{\"title\":\"Treatment of liver abscess caused by Klebsiella pneumoniae with multi-site infection: a case report.\",\"authors\":\"Yong-Gang Gui, Song-Tao Shou, Yi Jiang, Qiu-Ling Wang\",\"doi\":\"10.1186/s13256-025-05511-9\",\"DOIUrl\":null,\"url\":null,\"abstract\":\"<p><strong>Background: </strong>Pyogenic liver abscesses are a fatal condition often seen in emergency departments. The major clinical presentations include weakness, anorexia, fever, chills, ventosity and abdominal pain. They occur in immunocompromised individuals who suffer from diabetes mellitus, malignant tumors, hepatocirrhosis, kidney failure, and solid organ transplantation, or those with long-term administration of glucocorticoids. Invasive Klebsiella pneumoniae liver abscess syndrome resulting from hypervirulent Klebsiella pneumoniae often presents with extrahepatic complications such as endophthalmitis, meningitis, brain enlargement, pneumonia, necrotizing fasciitis, and spondylitis. Prompt diagnosis is crucial for the treatment of invasive Klebsiella pneumoniae liver abscess syndrome.</p><p><strong>Case report: </strong>A 75-year-old Han Chinese female patient who presented to the emergency department primarily for fever accompanied by chills was diagnosed with pyogenic liver abscess complicated with pulmonary infection, involving multiple pus emboli in the branches of the right hepatic vein. The patient accepted intravenous imipenem and cilastatin sodium for anti-infection, and subcutaneous insulin to control hyperglycemia. Percutaneous liver puncture and drainage was performed under ultrasound guidance. During the treatment the patient presented with headache, weakness in both lower limbs and lower back pain. Brain magnetic resonance imaging showed intracranial infection and lumbar magnetic resonance imaging showed infection of the vertebral body, intervertebral disc, and soft tissue. The patient had a liver abscess positive for Klebsiella pneumoniae together with infection of other organs, thus she was eventually diagnosed with invasive Klebsiella pneumoniae liver abscess syndrome. The antibiotics were adjusted according to the site of infection and drug sensitivity test. The patient recovered after percutaneous liver puncture and drainage under ultrasound guidance and anti-infection treatment for 3 months. Reexamination of abdominal computed tomography, chest computed tomography, brain magnetic resonance imaging and lumbar magnetic resonance imaging suggested that the infectious lesions had disappeared.</p><p><strong>Conclusion: </strong>This medical case report describes a patient with a pyogenic liver abscess caused by Klebsiella pneumoniae who was eventually diagnosed with invasive Klebsiella pneumoniae liver abscess syndrome. Invasive Klebsiella pneumoniae liver abscess syndrome has permanent morbidity, poor quality of life, and lacks warning signs. Despite the complexity of the condition, the patient received effective treatment and the abscess was successfully managed. Through this case, we propose that invasive Klebsiella pneumoniae liver abscess syndrome caused by hypervirulent Klebsiella pneumoniae should be considered for patients with diabetes and fever in the emergency department. Targeted intravenous antibiotics and percutaneous drainage of the abscess are key to the treatment of invasive Klebsiella pneumoniae liver abscess syndrome.</p>\",\"PeriodicalId\":16236,\"journal\":{\"name\":\"Journal of Medical Case Reports\",\"volume\":\"19 1\",\"pages\":\"428\"},\"PeriodicalIF\":0.8000,\"publicationDate\":\"2025-08-28\",\"publicationTypes\":\"Journal Article\",\"fieldsOfStudy\":null,\"isOpenAccess\":false,\"openAccessPdf\":\"https://www.ncbi.nlm.nih.gov/pmc/articles/PMC12392612/pdf/\",\"citationCount\":\"0\",\"resultStr\":null,\"platform\":\"Semanticscholar\",\"paperid\":null,\"PeriodicalName\":\"Journal of Medical Case Reports\",\"FirstCategoryId\":\"1085\",\"ListUrlMain\":\"https://doi.org/10.1186/s13256-025-05511-9\",\"RegionNum\":0,\"RegionCategory\":null,\"ArticlePicture\":[],\"TitleCN\":null,\"AbstractTextCN\":null,\"PMCID\":null,\"EPubDate\":\"\",\"PubModel\":\"\",\"JCR\":\"Q3\",\"JCRName\":\"MEDICINE, GENERAL & INTERNAL\",\"Score\":null,\"Total\":0}","platform":"Semanticscholar","paperid":null,"PeriodicalName":"Journal of Medical Case Reports","FirstCategoryId":"1085","ListUrlMain":"https://doi.org/10.1186/s13256-025-05511-9","RegionNum":0,"RegionCategory":null,"ArticlePicture":[],"TitleCN":null,"AbstractTextCN":null,"PMCID":null,"EPubDate":"","PubModel":"","JCR":"Q3","JCRName":"MEDICINE, GENERAL & INTERNAL","Score":null,"Total":0}
引用次数: 0

摘要

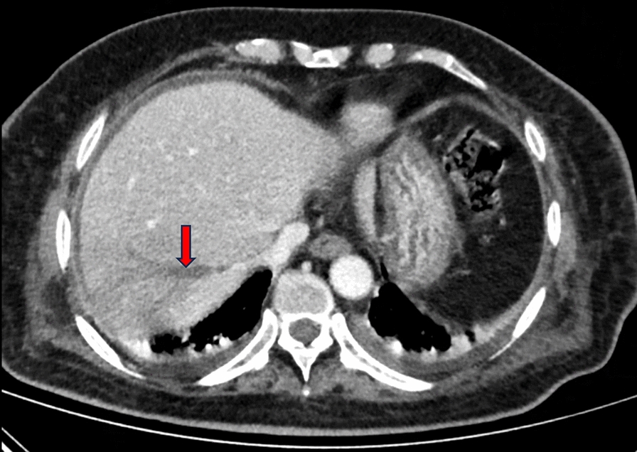
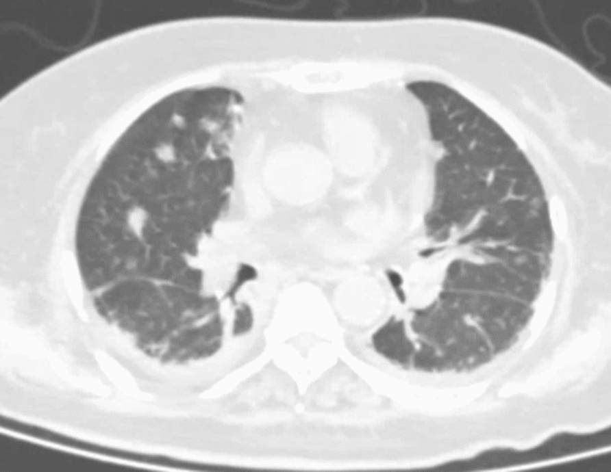
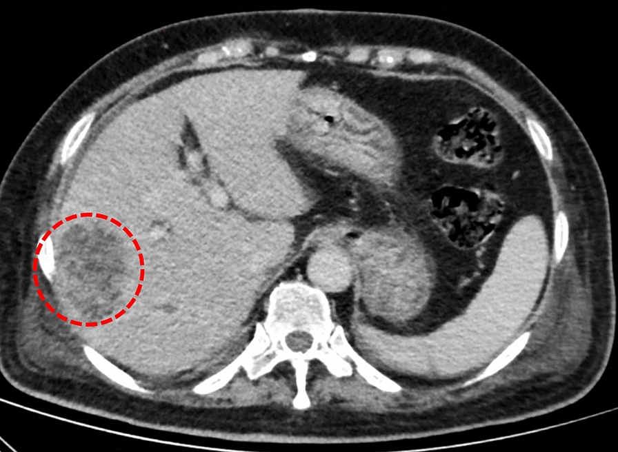
背景:化脓性肝脓肿是急诊科常见的致命疾病。主要临床表现为虚弱、厌食、发热、寒战、静脉曲张和腹痛。它们发生在患有糖尿病、恶性肿瘤、肝硬化、肾衰竭和实体器官移植的免疫功能低下的个体,或长期服用糖皮质激素的个体。由高毒力肺炎克雷伯菌引起的侵袭性肺炎克雷伯菌肝脓肿综合征常伴有肝外并发症,如眼内炎、脑膜炎、脑肿大、肺炎、坏死性筋膜炎和脊柱炎。及时诊断是治疗侵袭性肺炎克雷伯菌肝脓肿综合征的关键。病例报告:一名75岁汉族女性患者以发热伴寒战就诊于急诊科,诊断为化脓性肝脓肿合并肺部感染,累及肝右静脉分支多发脓栓子。患者静脉注射亚胺培南西司他汀钠抗感染,皮下注射胰岛素控制高血糖。超声引导下行经皮肝穿刺引流。在治疗期间,患者出现头痛、双下肢无力和下背部疼痛。脑磁共振显示颅内感染,腰椎磁共振显示椎体、椎间盘及软组织感染。患者有肺炎克雷伯菌阳性肝脓肿并有其他脏器感染,最终诊断为侵袭性肺炎克雷伯菌肝脓肿综合征。根据感染部位及药敏试验调整抗生素使用。患者在超声引导下经皮肝穿刺引流及抗感染治疗3个月后痊愈。复查腹部电脑断层、胸部电脑断层、脑部核磁共振及腰椎核磁共振显示感染性病变已消失。结论:本病例报告描述了一例由肺炎克雷伯菌引起的化脓性肝脓肿,最终诊断为侵袭性肺炎克雷伯菌肝脓肿综合征。侵袭性肺炎克雷伯菌肝脓肿综合征具有永久性的发病率,生活质量差,缺乏警告信号。尽管病情复杂,但患者接受了有效的治疗,脓肿得到了成功的控制。通过本病例,我们建议在急诊科就诊的糖尿病、发热患者应考虑由高毒力肺炎克雷伯菌引起的侵袭性肺炎克雷伯菌肝脓肿综合征。有针对性的静脉注射抗生素和经皮脓肿引流是治疗侵袭性肺炎克雷伯菌肝脓肿综合征的关键。
本文章由计算机程序翻译,如有差异,请以英文原文为准。

Treatment of liver abscess caused by Klebsiella pneumoniae with multi-site infection: a case report.

Treatment of liver abscess caused by Klebsiella pneumoniae with multi-site infection: a case report.

Treatment of liver abscess caused by Klebsiella pneumoniae with multi-site infection: a case report.

Treatment of liver abscess caused by Klebsiella pneumoniae with multi-site infection: a case report.

Background: Pyogenic liver abscesses are a fatal condition often seen in emergency departments. The major clinical presentations include weakness, anorexia, fever, chills, ventosity and abdominal pain. They occur in immunocompromised individuals who suffer from diabetes mellitus, malignant tumors, hepatocirrhosis, kidney failure, and solid organ transplantation, or those with long-term administration of glucocorticoids. Invasive Klebsiella pneumoniae liver abscess syndrome resulting from hypervirulent Klebsiella pneumoniae often presents with extrahepatic complications such as endophthalmitis, meningitis, brain enlargement, pneumonia, necrotizing fasciitis, and spondylitis. Prompt diagnosis is crucial for the treatment of invasive Klebsiella pneumoniae liver abscess syndrome.

Case report: A 75-year-old Han Chinese female patient who presented to the emergency department primarily for fever accompanied by chills was diagnosed with pyogenic liver abscess complicated with pulmonary infection, involving multiple pus emboli in the branches of the right hepatic vein. The patient accepted intravenous imipenem and cilastatin sodium for anti-infection, and subcutaneous insulin to control hyperglycemia. Percutaneous liver puncture and drainage was performed under ultrasound guidance. During the treatment the patient presented with headache, weakness in both lower limbs and lower back pain. Brain magnetic resonance imaging showed intracranial infection and lumbar magnetic resonance imaging showed infection of the vertebral body, intervertebral disc, and soft tissue. The patient had a liver abscess positive for Klebsiella pneumoniae together with infection of other organs, thus she was eventually diagnosed with invasive Klebsiella pneumoniae liver abscess syndrome. The antibiotics were adjusted according to the site of infection and drug sensitivity test. The patient recovered after percutaneous liver puncture and drainage under ultrasound guidance and anti-infection treatment for 3 months. Reexamination of abdominal computed tomography, chest computed tomography, brain magnetic resonance imaging and lumbar magnetic resonance imaging suggested that the infectious lesions had disappeared.

Conclusion: This medical case report describes a patient with a pyogenic liver abscess caused by Klebsiella pneumoniae who was eventually diagnosed with invasive Klebsiella pneumoniae liver abscess syndrome. Invasive Klebsiella pneumoniae liver abscess syndrome has permanent morbidity, poor quality of life, and lacks warning signs. Despite the complexity of the condition, the patient received effective treatment and the abscess was successfully managed. Through this case, we propose that invasive Klebsiella pneumoniae liver abscess syndrome caused by hypervirulent Klebsiella pneumoniae should be considered for patients with diabetes and fever in the emergency department. Targeted intravenous antibiotics and percutaneous drainage of the abscess are key to the treatment of invasive Klebsiella pneumoniae liver abscess syndrome.

求助全文
通过发布文献求助,成功后即可免费获取论文全文。 去求助
来源期刊
Journal of Medical Case Reports
Journal of Medical Case Reports Medicine-Medicine (all)
CiteScore
1.50
自引率
0.00%
发文量
436
期刊介绍: JMCR is an open access, peer-reviewed online journal that will consider any original case report that expands the field of general medical knowledge. Reports should show one of the following: 1. Unreported or unusual side effects or adverse interactions involving medications 2. Unexpected or unusual presentations of a disease 3. New associations or variations in disease processes 4. Presentations, diagnoses and/or management of new and emerging diseases 5. An unexpected association between diseases or symptoms 6. An unexpected event in the course of observing or treating a patient 7. Findings that shed new light on the possible pathogenesis of a disease or an adverse effect
×
引用
GB/T 7714-2015
复制
MLA
复制
APA
复制
导出至
BibTeX EndNote RefMan NoteFirst NoteExpress
×
提示
您的信息不完整,为了账户安全,请先补充。
现在去补充
×
提示
您因"违规操作"
具体请查看互助需知
我知道了
×
提示
确定
请完成安全验证×
copy
已复制链接
快去分享给好友吧!
我知道了
右上角分享
点击右上角分享
0
联系我们:info@booksci.cn Book学术提供免费学术资源搜索服务,方便国内外学者检索中英文文献。致力于提供最便捷和优质的服务体验。 Copyright © 2023 布克学术 All rights reserved.
京ICP备2023020795号-1
ghs 京公网安备 11010802042870号
Book学术文献互助
Book学术文献互助群
群 号:604180095
Book学术官方微信