第五跖骨骨样骨瘤的表现:1例报告及文献复习。

IF 0.8 Q3 MEDICINE, GENERAL & INTERNAL
Ehsan Behzadi, Mohammadhadi Mollaabbasi
{"title":"第五跖骨骨样骨瘤的表现:1例报告及文献复习。","authors":"Ehsan Behzadi, Mohammadhadi Mollaabbasi","doi":"10.1186/s13256-025-05366-0","DOIUrl":null,"url":null,"abstract":"<p><strong>Background: </strong>Osteoid osteoma is a benign bone tumor commonly affecting the lower extremities, typically the femur or tibia. However, its occurrence in the fifth metatarsal bone is rare, and atypical presentations can lead to delayed diagnosis and misinterpretation as other pathologies.</p><p><strong>Case presentation: </strong>We report the case of a 14-year-old Persian male athlete who presented with persistent lateral forefoot pain lasting 2 years, initially attributed to a traumatic injury. The pain was progressively worsening, nocturnal, and unresponsive to nonsteroidal anti-inflammatory drugs, deviating from the classical dramatic relief associated with this tumor. Radiographs initially showed diffuse sclerosis without a visible nidus, further complicating the diagnosis. Computed tomography imaging later identified a well-defined nidus in the neck of the fifth metatarsal, confirming osteoid osteoma. Owing to the atypical symptoms, larger lesion size (> 1.5 cm), and poor response to conservative management, the patient underwent curettage and bone grafting, leading to complete symptom resolution. Histopathology confirmed the diagnosis, and postoperative follow-up showed full recovery with no recurrence at 6 months.</p><p><strong>Conclusion: </strong>This case underscores the importance of considering osteoid osteoma in cases of unexplained, persistent metatarsal pain, even in the absence of classical imaging findings and nonsteroidal anti-inflammatory drug responsiveness. Early recognition with advanced imaging, such as computed tomography, is crucial in preventing misdiagnosis and ensuring timely intervention.</p>","PeriodicalId":16236,"journal":{"name":"Journal of Medical Case Reports","volume":"19 1","pages":"427"},"PeriodicalIF":0.8000,"publicationDate":"2025-08-26","publicationTypes":"Journal Article","fieldsOfStudy":null,"isOpenAccess":false,"openAccessPdf":"https://www.ncbi.nlm.nih.gov/pmc/articles/PMC12382063/pdf/","citationCount":"0","resultStr":"{\"title\":\"Presentation of osteoid osteoma in the fifth metatarsal: a case report and review of the literature.\",\"authors\":\"Ehsan Behzadi, Mohammadhadi Mollaabbasi\",\"doi\":\"10.1186/s13256-025-05366-0\",\"DOIUrl\":null,\"url\":null,\"abstract\":\"<p><strong>Background: </strong>Osteoid osteoma is a benign bone tumor commonly affecting the lower extremities, typically the femur or tibia. However, its occurrence in the fifth metatarsal bone is rare, and atypical presentations can lead to delayed diagnosis and misinterpretation as other pathologies.</p><p><strong>Case presentation: </strong>We report the case of a 14-year-old Persian male athlete who presented with persistent lateral forefoot pain lasting 2 years, initially attributed to a traumatic injury. The pain was progressively worsening, nocturnal, and unresponsive to nonsteroidal anti-inflammatory drugs, deviating from the classical dramatic relief associated with this tumor. Radiographs initially showed diffuse sclerosis without a visible nidus, further complicating the diagnosis. Computed tomography imaging later identified a well-defined nidus in the neck of the fifth metatarsal, confirming osteoid osteoma. Owing to the atypical symptoms, larger lesion size (> 1.5 cm), and poor response to conservative management, the patient underwent curettage and bone grafting, leading to complete symptom resolution. Histopathology confirmed the diagnosis, and postoperative follow-up showed full recovery with no recurrence at 6 months.</p><p><strong>Conclusion: </strong>This case underscores the importance of considering osteoid osteoma in cases of unexplained, persistent metatarsal pain, even in the absence of classical imaging findings and nonsteroidal anti-inflammatory drug responsiveness. Early recognition with advanced imaging, such as computed tomography, is crucial in preventing misdiagnosis and ensuring timely intervention.</p>\",\"PeriodicalId\":16236,\"journal\":{\"name\":\"Journal of Medical Case Reports\",\"volume\":\"19 1\",\"pages\":\"427\"},\"PeriodicalIF\":0.8000,\"publicationDate\":\"2025-08-26\",\"publicationTypes\":\"Journal Article\",\"fieldsOfStudy\":null,\"isOpenAccess\":false,\"openAccessPdf\":\"https://www.ncbi.nlm.nih.gov/pmc/articles/PMC12382063/pdf/\",\"citationCount\":\"0\",\"resultStr\":null,\"platform\":\"Semanticscholar\",\"paperid\":null,\"PeriodicalName\":\"Journal of Medical Case Reports\",\"FirstCategoryId\":\"1085\",\"ListUrlMain\":\"https://doi.org/10.1186/s13256-025-05366-0\",\"RegionNum\":0,\"RegionCategory\":null,\"ArticlePicture\":[],\"TitleCN\":null,\"AbstractTextCN\":null,\"PMCID\":null,\"EPubDate\":\"\",\"PubModel\":\"\",\"JCR\":\"Q3\",\"JCRName\":\"MEDICINE, GENERAL & INTERNAL\",\"Score\":null,\"Total\":0}","platform":"Semanticscholar","paperid":null,"PeriodicalName":"Journal of Medical Case Reports","FirstCategoryId":"1085","ListUrlMain":"https://doi.org/10.1186/s13256-025-05366-0","RegionNum":0,"RegionCategory":null,"ArticlePicture":[],"TitleCN":null,"AbstractTextCN":null,"PMCID":null,"EPubDate":"","PubModel":"","JCR":"Q3","JCRName":"MEDICINE, GENERAL & INTERNAL","Score":null,"Total":0}
引用次数: 0

摘要

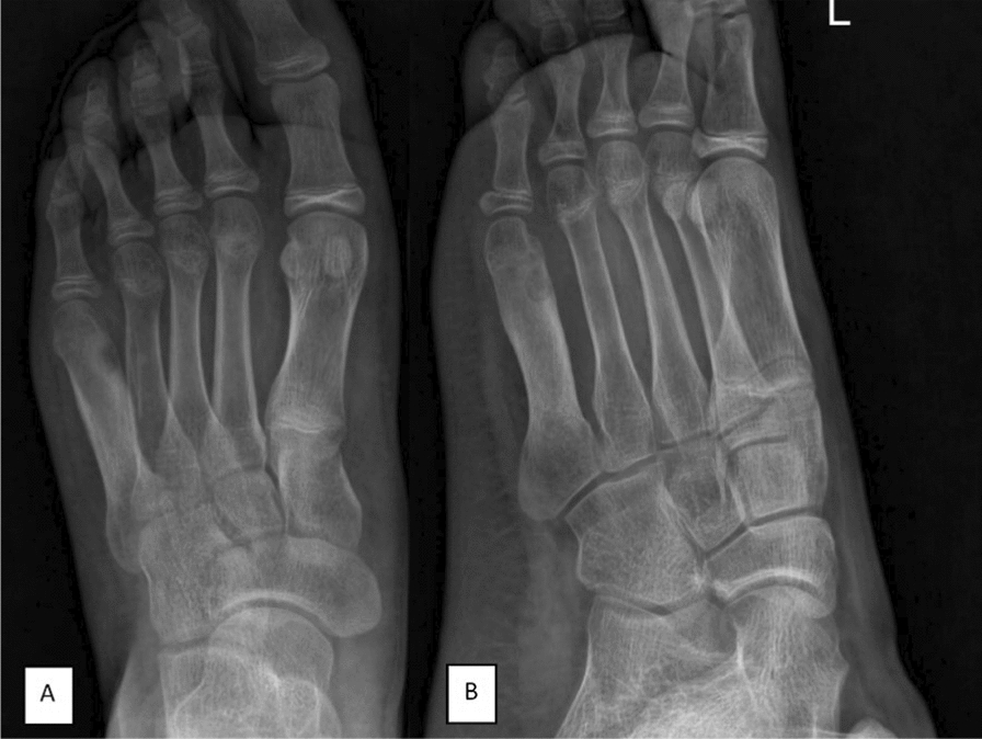
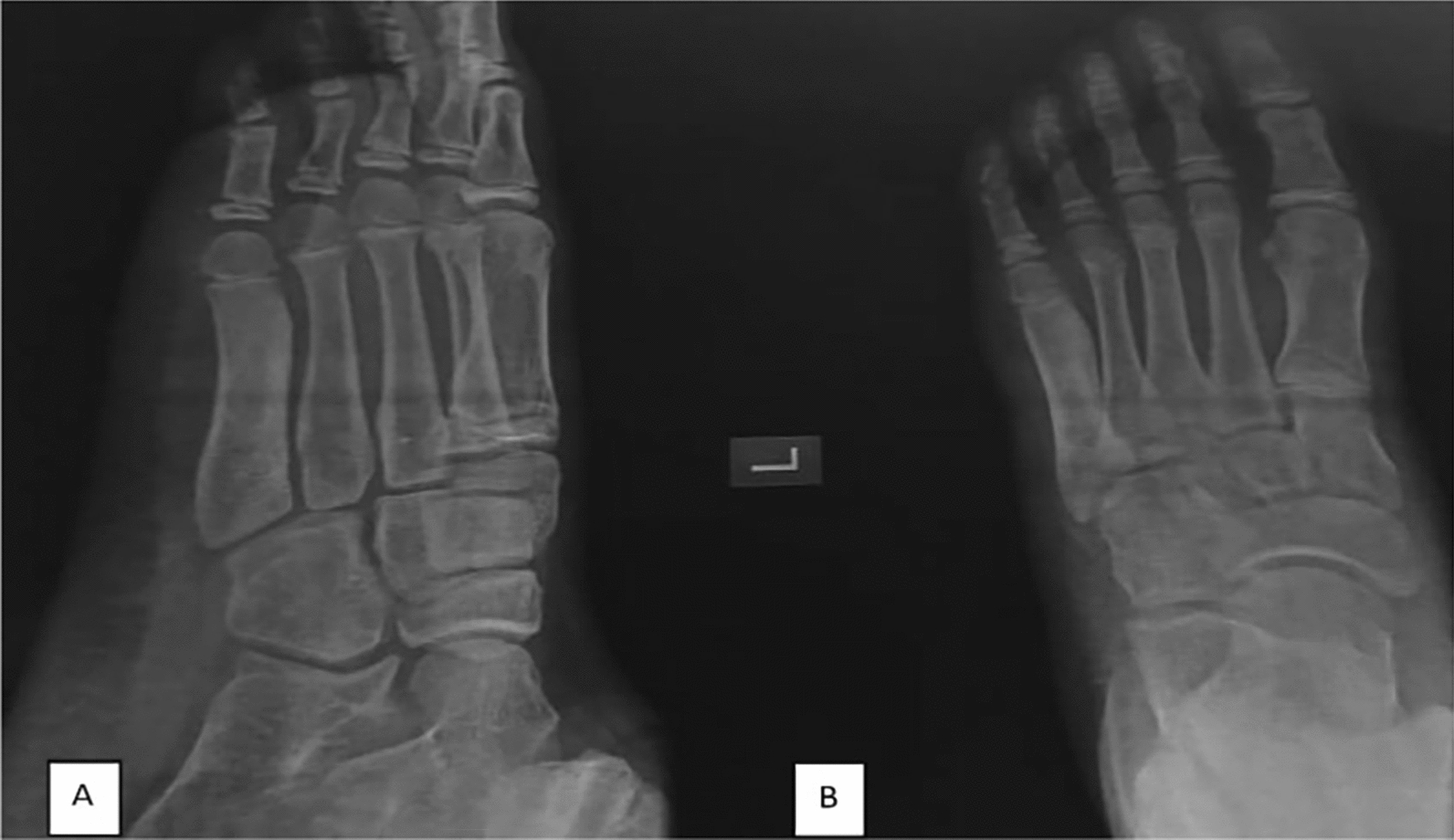
背景:骨样骨瘤是一种良性骨肿瘤,通常影响下肢,典型的是股骨或胫骨。然而,它发生在第五跖骨是罕见的,不典型的表现可能导致延误诊断和误解为其他病理。病例介绍:我们报告了一个14岁的波斯男性运动员,他表现出持续2年的前足外侧疼痛,最初归因于创伤性损伤。疼痛逐渐加重,夜间发生,对非甾体抗炎药无反应,偏离了与该肿瘤相关的经典戏剧性缓解。x线片最初显示弥漫性硬化,无可见病灶,进一步使诊断复杂化。计算机断层成像后来在第五跖骨颈部发现了一个明确的病灶,确认为骨样骨瘤。由于症状不典型,病变面积较大(> 1.5 cm),保守治疗效果不佳,患者行刮除植骨术,症状完全缓解。组织病理学证实了诊断,术后随访显示完全恢复,6个月无复发。结论:该病例强调了在不明原因的持续性跖骨疼痛病例中考虑骨样骨瘤的重要性,即使在没有经典影像学表现和非甾体抗炎药反应的情况下。早期识别先进的影像,如计算机断层扫描,是防止误诊和确保及时干预的关键。
本文章由计算机程序翻译,如有差异,请以英文原文为准。

Presentation of osteoid osteoma in the fifth metatarsal: a case report and review of the literature.

Presentation of osteoid osteoma in the fifth metatarsal: a case report and review of the literature.

Presentation of osteoid osteoma in the fifth metatarsal: a case report and review of the literature.

Presentation of osteoid osteoma in the fifth metatarsal: a case report and review of the literature.

Background: Osteoid osteoma is a benign bone tumor commonly affecting the lower extremities, typically the femur or tibia. However, its occurrence in the fifth metatarsal bone is rare, and atypical presentations can lead to delayed diagnosis and misinterpretation as other pathologies.

Case presentation: We report the case of a 14-year-old Persian male athlete who presented with persistent lateral forefoot pain lasting 2 years, initially attributed to a traumatic injury. The pain was progressively worsening, nocturnal, and unresponsive to nonsteroidal anti-inflammatory drugs, deviating from the classical dramatic relief associated with this tumor. Radiographs initially showed diffuse sclerosis without a visible nidus, further complicating the diagnosis. Computed tomography imaging later identified a well-defined nidus in the neck of the fifth metatarsal, confirming osteoid osteoma. Owing to the atypical symptoms, larger lesion size (> 1.5 cm), and poor response to conservative management, the patient underwent curettage and bone grafting, leading to complete symptom resolution. Histopathology confirmed the diagnosis, and postoperative follow-up showed full recovery with no recurrence at 6 months.

Conclusion: This case underscores the importance of considering osteoid osteoma in cases of unexplained, persistent metatarsal pain, even in the absence of classical imaging findings and nonsteroidal anti-inflammatory drug responsiveness. Early recognition with advanced imaging, such as computed tomography, is crucial in preventing misdiagnosis and ensuring timely intervention.

求助全文
通过发布文献求助,成功后即可免费获取论文全文。 去求助
来源期刊
Journal of Medical Case Reports
Journal of Medical Case Reports Medicine-Medicine (all)
CiteScore
1.50
自引率
0.00%
发文量
436
期刊介绍: JMCR is an open access, peer-reviewed online journal that will consider any original case report that expands the field of general medical knowledge. Reports should show one of the following: 1. Unreported or unusual side effects or adverse interactions involving medications 2. Unexpected or unusual presentations of a disease 3. New associations or variations in disease processes 4. Presentations, diagnoses and/or management of new and emerging diseases 5. An unexpected association between diseases or symptoms 6. An unexpected event in the course of observing or treating a patient 7. Findings that shed new light on the possible pathogenesis of a disease or an adverse effect
×
引用
GB/T 7714-2015
复制
MLA
复制
APA
复制
导出至
BibTeX EndNote RefMan NoteFirst NoteExpress
×
提示
您的信息不完整,为了账户安全,请先补充。
现在去补充
×
提示
您因"违规操作"
具体请查看互助需知
我知道了
×
提示
确定
请完成安全验证×
copy
已复制链接
快去分享给好友吧!
我知道了
右上角分享
点击右上角分享
0
联系我们:info@booksci.cn Book学术提供免费学术资源搜索服务,方便国内外学者检索中英文文献。致力于提供最便捷和优质的服务体验。 Copyright © 2023 布克学术 All rights reserved.
京ICP备2023020795号-1
ghs 京公网安备 11010802042870号
Book学术文献互助
Book学术文献互助群
群 号:604180095
Book学术官方微信