肾上腺功能不全并发癫痫,并发发育性脑静脉异常和Takotsubo心肌病1例报告。

IF 0.8 Q3 MEDICINE, GENERAL & INTERNAL
Katrina Villegas, Brittany Eason, Karolina Janiec, Alaa Musallam, Ahmed Hammouda, Samia Ammar Aldwaik, Radhika Tailor
{"title":"肾上腺功能不全并发癫痫,并发发育性脑静脉异常和Takotsubo心肌病1例报告。","authors":"Katrina Villegas, Brittany Eason, Karolina Janiec, Alaa Musallam, Ahmed Hammouda, Samia Ammar Aldwaik, Radhika Tailor","doi":"10.1186/s13256-025-05463-0","DOIUrl":null,"url":null,"abstract":"<p><strong>Background: </strong>Adrenal insufficiency is a potentially life-threatening condition that often presents with nonspecific symptoms. While fatigue, hypotension, and electrolyte disturbances are common features, seizures and stress-induced cardiomyopathy are rare initial manifestations. This case is reported for its atypical presentation and to highlight the diagnostic challenge it posed in the absence of classic biochemical findings.</p><p><strong>Case presentation: </strong>We report a case of a 68-year-old Hispanic woman with diabetes, hypertension, dyslipidemia, and hypopituitarism secondary to Sheehan syndrome, who presented with new-onset seizures after abruptly discontinuing chronic steroid therapy. Her symptoms included progressive weakness and behavioral changes over several weeks. Initial evaluation revealed hyperglycemia, mild hyponatremia, and no hyperkalemia-findings consistent with secondary adrenal insufficiency-associated seizures, although contributing to initial diagnostic uncertainty. Brain imaging incidentally identified a developmental cerebral venous anomaly, which was initially suspected as a potential cause of the seizures. In addition, echocardiographic findings were consistent with Takotsubo cardiomyopathy, likely precipitated by the stress of her medical condition. However, further evaluation confirmed adrenal insufficiency with low cortisol and adrenocorticotropic hormone levels, and subnormal response to cosyntropin stimulation. Management included hydrocortisone for adrenal insufficiency and levetiracetam for seizure prophylaxis, leading to symptom resolution and no recurrence of seizures.</p><p><strong>Conclusion: </strong>This case emphasizes the importance of maintaining a high index of suspicion for adrenal insufficiency in patients with a suggestive history, even when classic electrolyte abnormalities are absent and neuroimaging reveals confounding findings. Recognizing rare presentations such as seizures and stress cardiomyopathy can prevent delays in diagnosis and improve outcomes.</p>","PeriodicalId":16236,"journal":{"name":"Journal of Medical Case Reports","volume":"19 1","pages":"424"},"PeriodicalIF":0.8000,"publicationDate":"2025-08-21","publicationTypes":"Journal Article","fieldsOfStudy":null,"isOpenAccess":false,"openAccessPdf":"https://www.ncbi.nlm.nih.gov/pmc/articles/PMC12372403/pdf/","citationCount":"0","resultStr":"{\"title\":\"A case of adrenal insufficiency presenting with seizures, complicated by developmental cerebral venous anomaly and Takotsubo cardiomyopathy: a case report.\",\"authors\":\"Katrina Villegas, Brittany Eason, Karolina Janiec, Alaa Musallam, Ahmed Hammouda, Samia Ammar Aldwaik, Radhika Tailor\",\"doi\":\"10.1186/s13256-025-05463-0\",\"DOIUrl\":null,\"url\":null,\"abstract\":\"<p><strong>Background: </strong>Adrenal insufficiency is a potentially life-threatening condition that often presents with nonspecific symptoms. While fatigue, hypotension, and electrolyte disturbances are common features, seizures and stress-induced cardiomyopathy are rare initial manifestations. This case is reported for its atypical presentation and to highlight the diagnostic challenge it posed in the absence of classic biochemical findings.</p><p><strong>Case presentation: </strong>We report a case of a 68-year-old Hispanic woman with diabetes, hypertension, dyslipidemia, and hypopituitarism secondary to Sheehan syndrome, who presented with new-onset seizures after abruptly discontinuing chronic steroid therapy. Her symptoms included progressive weakness and behavioral changes over several weeks. Initial evaluation revealed hyperglycemia, mild hyponatremia, and no hyperkalemia-findings consistent with secondary adrenal insufficiency-associated seizures, although contributing to initial diagnostic uncertainty. Brain imaging incidentally identified a developmental cerebral venous anomaly, which was initially suspected as a potential cause of the seizures. In addition, echocardiographic findings were consistent with Takotsubo cardiomyopathy, likely precipitated by the stress of her medical condition. However, further evaluation confirmed adrenal insufficiency with low cortisol and adrenocorticotropic hormone levels, and subnormal response to cosyntropin stimulation. Management included hydrocortisone for adrenal insufficiency and levetiracetam for seizure prophylaxis, leading to symptom resolution and no recurrence of seizures.</p><p><strong>Conclusion: </strong>This case emphasizes the importance of maintaining a high index of suspicion for adrenal insufficiency in patients with a suggestive history, even when classic electrolyte abnormalities are absent and neuroimaging reveals confounding findings. Recognizing rare presentations such as seizures and stress cardiomyopathy can prevent delays in diagnosis and improve outcomes.</p>\",\"PeriodicalId\":16236,\"journal\":{\"name\":\"Journal of Medical Case Reports\",\"volume\":\"19 1\",\"pages\":\"424\"},\"PeriodicalIF\":0.8000,\"publicationDate\":\"2025-08-21\",\"publicationTypes\":\"Journal Article\",\"fieldsOfStudy\":null,\"isOpenAccess\":false,\"openAccessPdf\":\"https://www.ncbi.nlm.nih.gov/pmc/articles/PMC12372403/pdf/\",\"citationCount\":\"0\",\"resultStr\":null,\"platform\":\"Semanticscholar\",\"paperid\":null,\"PeriodicalName\":\"Journal of Medical Case Reports\",\"FirstCategoryId\":\"1085\",\"ListUrlMain\":\"https://doi.org/10.1186/s13256-025-05463-0\",\"RegionNum\":0,\"RegionCategory\":null,\"ArticlePicture\":[],\"TitleCN\":null,\"AbstractTextCN\":null,\"PMCID\":null,\"EPubDate\":\"\",\"PubModel\":\"\",\"JCR\":\"Q3\",\"JCRName\":\"MEDICINE, GENERAL & INTERNAL\",\"Score\":null,\"Total\":0}","platform":"Semanticscholar","paperid":null,"PeriodicalName":"Journal of Medical Case Reports","FirstCategoryId":"1085","ListUrlMain":"https://doi.org/10.1186/s13256-025-05463-0","RegionNum":0,"RegionCategory":null,"ArticlePicture":[],"TitleCN":null,"AbstractTextCN":null,"PMCID":null,"EPubDate":"","PubModel":"","JCR":"Q3","JCRName":"MEDICINE, GENERAL & INTERNAL","Score":null,"Total":0}
引用次数: 0

摘要

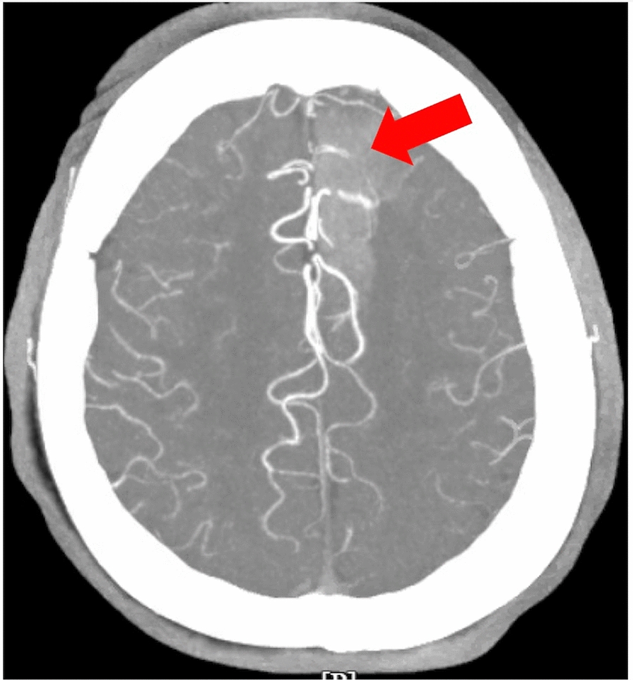
背景:肾上腺功能不全是一种潜在的危及生命的疾病,通常表现为非特异性症状。虽然疲劳、低血压和电解质紊乱是常见的特征,但癫痫发作和应激性心肌病是罕见的首发表现。本病例因其非典型表现而被报道,并强调在缺乏经典生化发现的情况下,它所提出的诊断挑战。病例介绍:我们报告了一例68岁的西班牙裔妇女,她患有糖尿病、高血压、血脂异常和继发于希恩综合征的垂体功能减退症,在突然停止慢性类固醇治疗后出现新发癫痫发作。她的症状包括持续数周的逐渐虚弱和行为改变。初步评估显示高血糖,轻度低钠血症,无高钾血症,这些发现与继发性肾上腺功能不全相关的癫痫发作一致,尽管有助于初步诊断的不确定性。脑成像偶然发现了一个发育中的脑静脉异常,这最初被怀疑是癫痫发作的潜在原因。此外,超声心动图结果与Takotsubo心肌病一致,可能是由她的医疗状况的压力引起的。然而,进一步的评估证实了肾上腺功能不全,皮质醇和促肾上腺皮质激素水平低,对共syntropin刺激的反应低于正常水平。治疗包括氢化可的松治疗肾上腺功能不全和左乙拉西坦预防癫痫发作,导致症状缓解和无复发癫痫发作。结论:本病例强调了对有提示病史的患者保持高度怀疑肾上腺功能不全的重要性,即使没有典型的电解质异常和神经影像学显示混淆的结果。认识到罕见的表现,如癫痫发作和应激性心肌病可以防止延误诊断和改善结果。
本文章由计算机程序翻译,如有差异,请以英文原文为准。

A case of adrenal insufficiency presenting with seizures, complicated by developmental cerebral venous anomaly and Takotsubo cardiomyopathy: a case report.

A case of adrenal insufficiency presenting with seizures, complicated by developmental cerebral venous anomaly and Takotsubo cardiomyopathy: a case report.

Background: Adrenal insufficiency is a potentially life-threatening condition that often presents with nonspecific symptoms. While fatigue, hypotension, and electrolyte disturbances are common features, seizures and stress-induced cardiomyopathy are rare initial manifestations. This case is reported for its atypical presentation and to highlight the diagnostic challenge it posed in the absence of classic biochemical findings.

Case presentation: We report a case of a 68-year-old Hispanic woman with diabetes, hypertension, dyslipidemia, and hypopituitarism secondary to Sheehan syndrome, who presented with new-onset seizures after abruptly discontinuing chronic steroid therapy. Her symptoms included progressive weakness and behavioral changes over several weeks. Initial evaluation revealed hyperglycemia, mild hyponatremia, and no hyperkalemia-findings consistent with secondary adrenal insufficiency-associated seizures, although contributing to initial diagnostic uncertainty. Brain imaging incidentally identified a developmental cerebral venous anomaly, which was initially suspected as a potential cause of the seizures. In addition, echocardiographic findings were consistent with Takotsubo cardiomyopathy, likely precipitated by the stress of her medical condition. However, further evaluation confirmed adrenal insufficiency with low cortisol and adrenocorticotropic hormone levels, and subnormal response to cosyntropin stimulation. Management included hydrocortisone for adrenal insufficiency and levetiracetam for seizure prophylaxis, leading to symptom resolution and no recurrence of seizures.

Conclusion: This case emphasizes the importance of maintaining a high index of suspicion for adrenal insufficiency in patients with a suggestive history, even when classic electrolyte abnormalities are absent and neuroimaging reveals confounding findings. Recognizing rare presentations such as seizures and stress cardiomyopathy can prevent delays in diagnosis and improve outcomes.

求助全文
通过发布文献求助,成功后即可免费获取论文全文。 去求助
来源期刊
Journal of Medical Case Reports
Journal of Medical Case Reports Medicine-Medicine (all)
CiteScore
1.50
自引率
0.00%
发文量
436
期刊介绍: JMCR is an open access, peer-reviewed online journal that will consider any original case report that expands the field of general medical knowledge. Reports should show one of the following: 1. Unreported or unusual side effects or adverse interactions involving medications 2. Unexpected or unusual presentations of a disease 3. New associations or variations in disease processes 4. Presentations, diagnoses and/or management of new and emerging diseases 5. An unexpected association between diseases or symptoms 6. An unexpected event in the course of observing or treating a patient 7. Findings that shed new light on the possible pathogenesis of a disease or an adverse effect
×
引用
GB/T 7714-2015
复制
MLA
复制
APA
复制
导出至
BibTeX EndNote RefMan NoteFirst NoteExpress
×
提示
您的信息不完整,为了账户安全,请先补充。
现在去补充
×
提示
您因"违规操作"
具体请查看互助需知
我知道了
×
提示
确定
请完成安全验证×
copy
已复制链接
快去分享给好友吧!
我知道了
右上角分享
点击右上角分享
0
联系我们:info@booksci.cn Book学术提供免费学术资源搜索服务,方便国内外学者检索中英文文献。致力于提供最便捷和优质的服务体验。 Copyright © 2023 布克学术 All rights reserved.
京ICP备2023020795号-1
ghs 京公网安备 11010802042870号
Book学术文献互助
Book学术文献互助群
群 号:604180095
Book学术官方微信