胸膜穿刺术治疗老年继发性自发性气胸2例报告

IF 0.8 Q3 MEDICINE, GENERAL & INTERNAL
Min Kyun Kang
{"title":"胸膜穿刺术治疗老年继发性自发性气胸2例报告","authors":"Min Kyun Kang","doi":"10.1177/23247096251374511","DOIUrl":null,"url":null,"abstract":"<p><p>I report 2 cases of pleurodesis with 50% dextrose water (DW) in very elderly patients with secondary spontaneous pneumothorax. In both cases, a chest computed tomography scan showed a large pneumothorax with emphysema and multiple bullae. Patients were expected not to tolerate surgical treatment, considering their old age and underlying pulmonary disease. Previously, pleurodesis is performed using other chemical agents. However, chemical pleurodesis can be associated with chest pain, fever, and rarely, respiratory failure. Pleurodesis with 50% DW was performed in 2 patients with resolution of pneumothorax without complications. I recommend that even in elderly patients who could not tolerate surgery or chemical pleurodesis, pleurodesis using 50% DW could be considered because it is relatively safer and effective.</p>","PeriodicalId":16198,"journal":{"name":"Journal of investigative medicine high impact case reports","volume":"13 ","pages":"23247096251374511"},"PeriodicalIF":0.8000,"publicationDate":"2025-01-01","publicationTypes":"Journal Article","fieldsOfStudy":null,"isOpenAccess":false,"openAccessPdf":"https://www.ncbi.nlm.nih.gov/pmc/articles/PMC12409020/pdf/","citationCount":"0","resultStr":"{\"title\":\"Relatively Safer and Efficient Pleurodesis With 50% DW for Very Elderly Patients With Secondary Spontaneous Pneumothorax: Report of 2 Cases.\",\"authors\":\"Min Kyun Kang\",\"doi\":\"10.1177/23247096251374511\",\"DOIUrl\":null,\"url\":null,\"abstract\":\"<p><p>I report 2 cases of pleurodesis with 50% dextrose water (DW) in very elderly patients with secondary spontaneous pneumothorax. In both cases, a chest computed tomography scan showed a large pneumothorax with emphysema and multiple bullae. Patients were expected not to tolerate surgical treatment, considering their old age and underlying pulmonary disease. Previously, pleurodesis is performed using other chemical agents. However, chemical pleurodesis can be associated with chest pain, fever, and rarely, respiratory failure. Pleurodesis with 50% DW was performed in 2 patients with resolution of pneumothorax without complications. I recommend that even in elderly patients who could not tolerate surgery or chemical pleurodesis, pleurodesis using 50% DW could be considered because it is relatively safer and effective.</p>\",\"PeriodicalId\":16198,\"journal\":{\"name\":\"Journal of investigative medicine high impact case reports\",\"volume\":\"13 \",\"pages\":\"23247096251374511\"},\"PeriodicalIF\":0.8000,\"publicationDate\":\"2025-01-01\",\"publicationTypes\":\"Journal Article\",\"fieldsOfStudy\":null,\"isOpenAccess\":false,\"openAccessPdf\":\"https://www.ncbi.nlm.nih.gov/pmc/articles/PMC12409020/pdf/\",\"citationCount\":\"0\",\"resultStr\":null,\"platform\":\"Semanticscholar\",\"paperid\":null,\"PeriodicalName\":\"Journal of investigative medicine high impact case reports\",\"FirstCategoryId\":\"1085\",\"ListUrlMain\":\"https://doi.org/10.1177/23247096251374511\",\"RegionNum\":0,\"RegionCategory\":null,\"ArticlePicture\":[],\"TitleCN\":null,\"AbstractTextCN\":null,\"PMCID\":null,\"EPubDate\":\"2025/9/1 0:00:00\",\"PubModel\":\"Epub\",\"JCR\":\"Q3\",\"JCRName\":\"MEDICINE, GENERAL & INTERNAL\",\"Score\":null,\"Total\":0}","platform":"Semanticscholar","paperid":null,"PeriodicalName":"Journal of investigative medicine high impact case reports","FirstCategoryId":"1085","ListUrlMain":"https://doi.org/10.1177/23247096251374511","RegionNum":0,"RegionCategory":null,"ArticlePicture":[],"TitleCN":null,"AbstractTextCN":null,"PMCID":null,"EPubDate":"2025/9/1 0:00:00","PubModel":"Epub","JCR":"Q3","JCRName":"MEDICINE, GENERAL & INTERNAL","Score":null,"Total":0}
引用次数: 0

摘要

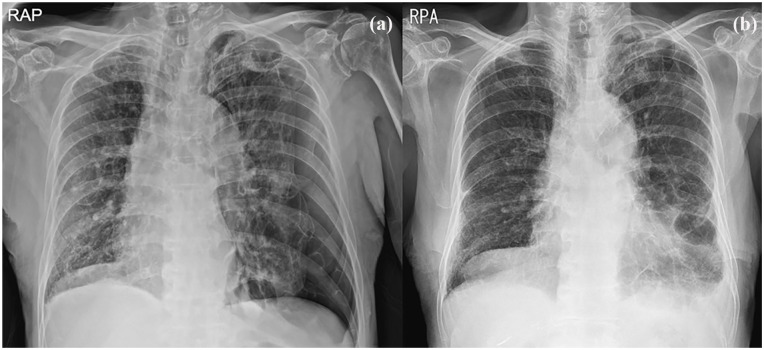
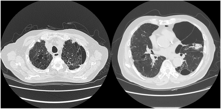
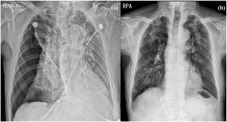
我报告2例老年继发性自发性气胸患者用50%葡萄糖水(DW)进行胸膜融合术。在这两个病例中,胸部计算机断层扫描显示大气胸伴肺气肿和多个大泡。考虑到患者的年龄和潜在的肺部疾病,预计他们不会忍受手术治疗。以前,胸膜固定术是使用其他化学药剂进行的。然而,化学性胸膜穿透术可伴有胸痛、发热,很少伴有呼吸衰竭。2例胸膜截留术,胸膜截留率50%,气胸消退,无并发症。我建议即使是不能耐受手术或化学胸膜固定术的老年患者,也可以考虑使用50% DW胸膜固定术,因为它相对更安全有效。
本文章由计算机程序翻译,如有差异,请以英文原文为准。

Relatively Safer and Efficient Pleurodesis With 50% DW for Very Elderly Patients With Secondary Spontaneous Pneumothorax: Report of 2 Cases.

Relatively Safer and Efficient Pleurodesis With 50% DW for Very Elderly Patients With Secondary Spontaneous Pneumothorax: Report of 2 Cases.

Relatively Safer and Efficient Pleurodesis With 50% DW for Very Elderly Patients With Secondary Spontaneous Pneumothorax: Report of 2 Cases.

Relatively Safer and Efficient Pleurodesis With 50% DW for Very Elderly Patients With Secondary Spontaneous Pneumothorax: Report of 2 Cases.

I report 2 cases of pleurodesis with 50% dextrose water (DW) in very elderly patients with secondary spontaneous pneumothorax. In both cases, a chest computed tomography scan showed a large pneumothorax with emphysema and multiple bullae. Patients were expected not to tolerate surgical treatment, considering their old age and underlying pulmonary disease. Previously, pleurodesis is performed using other chemical agents. However, chemical pleurodesis can be associated with chest pain, fever, and rarely, respiratory failure. Pleurodesis with 50% DW was performed in 2 patients with resolution of pneumothorax without complications. I recommend that even in elderly patients who could not tolerate surgery or chemical pleurodesis, pleurodesis using 50% DW could be considered because it is relatively safer and effective.

求助全文
通过发布文献求助,成功后即可免费获取论文全文。 去求助
来源期刊
CiteScore
1.90
自引率
0.00%
发文量
165
审稿时长
12 weeks
期刊介绍: The AFMR is committed to enhancing the training and career development of our members and to furthering its mission to facilitate the conduct of research to improve medical care. Case reports represent an important avenue for trainees (interns, residents, and fellows) and early-stage faculty to demonstrate productive, scholarly activity.
×
引用
GB/T 7714-2015
复制
MLA
复制
APA
复制
导出至
BibTeX EndNote RefMan NoteFirst NoteExpress
×
提示
您的信息不完整,为了账户安全,请先补充。
现在去补充
×
提示
您因"违规操作"
具体请查看互助需知
我知道了
×
提示
确定
请完成安全验证×
copy
已复制链接
快去分享给好友吧!
我知道了
右上角分享
点击右上角分享
0
联系我们:info@booksci.cn Book学术提供免费学术资源搜索服务,方便国内外学者检索中英文文献。致力于提供最便捷和优质的服务体验。 Copyright © 2023 布克学术 All rights reserved.
京ICP备2023020795号-1
ghs 京公网安备 11010802042870号
Book学术文献互助
Book学术文献互助群
群 号:604180095
Book学术官方微信