血液透析期间无反应事件后新的结节病诊断。

IF 0.8 Q3 MEDICINE, GENERAL & INTERNAL
Alisha Patel, Jacob Boccucci, Cameron Liss, Laura Mulloy
{"title":"血液透析期间无反应事件后新的结节病诊断。","authors":"Alisha Patel, Jacob Boccucci, Cameron Liss, Laura Mulloy","doi":"10.1177/23247096251365753","DOIUrl":null,"url":null,"abstract":"<p><p>Sarcoidosis is a systemic disease where extrapulmonary presentation of the disease often goes unrecognized as it overlaps with many disease manifestations. End-stage renal disease (ESRD) can be complicated by hypercalcemia and encephalopathy, both potential signs of sarcoidosis. These numerous extrapulmonary presentations may delay timely diagnosis and treatment. In this case report, a 53-year-old male with ESRD was admitted following an unresponsive episode during routine hemodialysis, later found to have sarcoidosis. Initial presentation notable for hypothermia, tachycardia, leukocytosis, and metabolic derangements. Bronchoalveolar lavage cultures subsequently grew methicillin-sensitive staphylococcus aureus, successfully treated with cefazolin. However, the patient remained encephalopathic and hypercalcemic. Further workup showed nonparathyroid hormone-mediated hypercalcemia with a normal 25-OH vitamin D and elevated 1,25-OH vitamin D, concerning for sarcoidosis, malignancy, or tuberculosis. Additional computed tomography imaging and endobronchial ultrasound-guided biopsy illustrated enlarged lymph nodes with splenomegaly and nonnecrotizing granulomas, respectively, confirming the diagnosis of sarcoidosis. He was started on methylprednisolone, pantoprazole, and trimethoprim/sulfamethoxazole for pneumocystis jirovecii pneumonia prophylaxis; serum calcium levels started to drop, and his mentation improved. While his encephalopathy was initially presumed secondary to his ESRD and infection, further workup revealed sarcoidosis. Untreated sarcoidosis has significant health complications including lung fibrosis, pulmonary hypertension, heart arrhythmias, and neurological deficits. This case highlights the importance of maintaining a broad differential in the setting of critically ill patients as clinical presentations can be multifactorial. Furthermore, patients with a complex medical history such as ESRD on hemodialysis can make concluding sarcoidosis as a diagnosis more difficult.</p>","PeriodicalId":16198,"journal":{"name":"Journal of investigative medicine high impact case reports","volume":"13 ","pages":"23247096251365753"},"PeriodicalIF":0.8000,"publicationDate":"2025-01-01","publicationTypes":"Journal Article","fieldsOfStudy":null,"isOpenAccess":false,"openAccessPdf":"https://www.ncbi.nlm.nih.gov/pmc/articles/PMC12391705/pdf/","citationCount":"0","resultStr":"{\"title\":\"New Sarcoidosis Diagnosis Following Unresponsive Event During Hemodialysis.\",\"authors\":\"Alisha Patel, Jacob Boccucci, Cameron Liss, Laura Mulloy\",\"doi\":\"10.1177/23247096251365753\",\"DOIUrl\":null,\"url\":null,\"abstract\":\"<p><p>Sarcoidosis is a systemic disease where extrapulmonary presentation of the disease often goes unrecognized as it overlaps with many disease manifestations. End-stage renal disease (ESRD) can be complicated by hypercalcemia and encephalopathy, both potential signs of sarcoidosis. These numerous extrapulmonary presentations may delay timely diagnosis and treatment. In this case report, a 53-year-old male with ESRD was admitted following an unresponsive episode during routine hemodialysis, later found to have sarcoidosis. Initial presentation notable for hypothermia, tachycardia, leukocytosis, and metabolic derangements. Bronchoalveolar lavage cultures subsequently grew methicillin-sensitive staphylococcus aureus, successfully treated with cefazolin. However, the patient remained encephalopathic and hypercalcemic. Further workup showed nonparathyroid hormone-mediated hypercalcemia with a normal 25-OH vitamin D and elevated 1,25-OH vitamin D, concerning for sarcoidosis, malignancy, or tuberculosis. Additional computed tomography imaging and endobronchial ultrasound-guided biopsy illustrated enlarged lymph nodes with splenomegaly and nonnecrotizing granulomas, respectively, confirming the diagnosis of sarcoidosis. He was started on methylprednisolone, pantoprazole, and trimethoprim/sulfamethoxazole for pneumocystis jirovecii pneumonia prophylaxis; serum calcium levels started to drop, and his mentation improved. While his encephalopathy was initially presumed secondary to his ESRD and infection, further workup revealed sarcoidosis. Untreated sarcoidosis has significant health complications including lung fibrosis, pulmonary hypertension, heart arrhythmias, and neurological deficits. This case highlights the importance of maintaining a broad differential in the setting of critically ill patients as clinical presentations can be multifactorial. Furthermore, patients with a complex medical history such as ESRD on hemodialysis can make concluding sarcoidosis as a diagnosis more difficult.</p>\",\"PeriodicalId\":16198,\"journal\":{\"name\":\"Journal of investigative medicine high impact case reports\",\"volume\":\"13 \",\"pages\":\"23247096251365753\"},\"PeriodicalIF\":0.8000,\"publicationDate\":\"2025-01-01\",\"publicationTypes\":\"Journal Article\",\"fieldsOfStudy\":null,\"isOpenAccess\":false,\"openAccessPdf\":\"https://www.ncbi.nlm.nih.gov/pmc/articles/PMC12391705/pdf/\",\"citationCount\":\"0\",\"resultStr\":null,\"platform\":\"Semanticscholar\",\"paperid\":null,\"PeriodicalName\":\"Journal of investigative medicine high impact case reports\",\"FirstCategoryId\":\"1085\",\"ListUrlMain\":\"https://doi.org/10.1177/23247096251365753\",\"RegionNum\":0,\"RegionCategory\":null,\"ArticlePicture\":[],\"TitleCN\":null,\"AbstractTextCN\":null,\"PMCID\":null,\"EPubDate\":\"2025/8/27 0:00:00\",\"PubModel\":\"Epub\",\"JCR\":\"Q3\",\"JCRName\":\"MEDICINE, GENERAL & INTERNAL\",\"Score\":null,\"Total\":0}","platform":"Semanticscholar","paperid":null,"PeriodicalName":"Journal of investigative medicine high impact case reports","FirstCategoryId":"1085","ListUrlMain":"https://doi.org/10.1177/23247096251365753","RegionNum":0,"RegionCategory":null,"ArticlePicture":[],"TitleCN":null,"AbstractTextCN":null,"PMCID":null,"EPubDate":"2025/8/27 0:00:00","PubModel":"Epub","JCR":"Q3","JCRName":"MEDICINE, GENERAL & INTERNAL","Score":null,"Total":0}
引用次数: 0

摘要

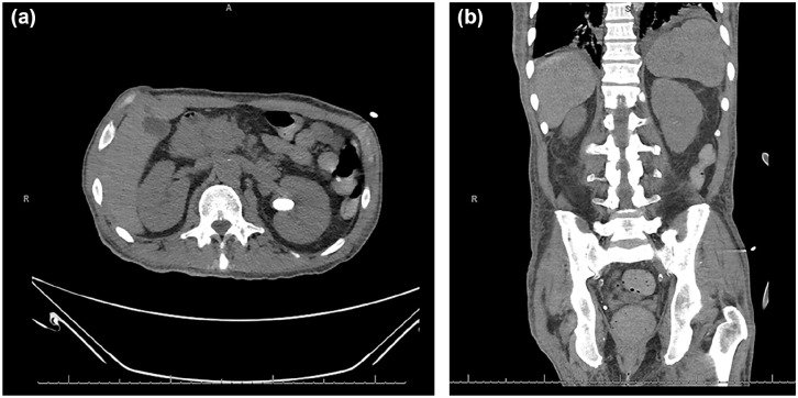
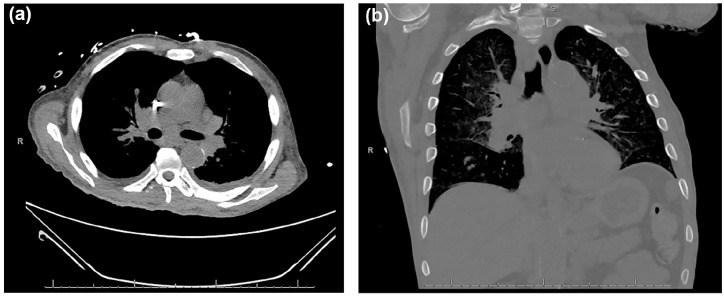
结节病是一种全身性疾病,该病的肺外表现往往无法识别,因为它与许多疾病的表现重叠。终末期肾病(ESRD)可并发高钙血症和脑病,两者都是结节病的潜在症状。这些众多的肺外表现可能延误及时诊断和治疗。在本病例报告中,一名53岁男性ESRD患者在常规血液透析过程中出现无反应发作后入院,后来发现有结节病。最初表现为体温过低、心动过速、白细胞增多和代谢紊乱。支气管肺泡灌洗培养随后生长对甲氧西林敏感的金黄色葡萄球菌,头孢唑林成功治疗。然而,患者仍然患有脑病和高钙血症。进一步检查显示非甲状旁腺激素介导的高钙血症,25-OH维生素D正常,1,25- oh维生素D升高,与结节病、恶性肿瘤或结核病有关。额外的计算机断层成像和支气管超声引导下的活检分别显示淋巴结肿大伴脾肿大和非坏死性肉芽肿,证实结节病的诊断。他开始使用甲基强的松龙、泮托拉唑和甲氧苄啶/磺胺甲恶唑预防耶洛维奇肺囊虫肺炎;血钙水平开始下降,他的精神状态有所改善。虽然他的脑病最初被认为是继发于ESRD和感染,但进一步的检查显示结节病。未经治疗的结节病有显著的健康并发症,包括肺纤维化、肺动脉高压、心律失常和神经功能障碍。由于临床表现可能是多因素的,因此该病例强调了在重症患者的情况下保持广泛区分的重要性。此外,具有复杂病史的患者,如血液透析引起的ESRD,可能使结节病的诊断更加困难。
本文章由计算机程序翻译,如有差异,请以英文原文为准。

New Sarcoidosis Diagnosis Following Unresponsive Event During Hemodialysis.

New Sarcoidosis Diagnosis Following Unresponsive Event During Hemodialysis.

New Sarcoidosis Diagnosis Following Unresponsive Event During Hemodialysis.

New Sarcoidosis Diagnosis Following Unresponsive Event During Hemodialysis.

Sarcoidosis is a systemic disease where extrapulmonary presentation of the disease often goes unrecognized as it overlaps with many disease manifestations. End-stage renal disease (ESRD) can be complicated by hypercalcemia and encephalopathy, both potential signs of sarcoidosis. These numerous extrapulmonary presentations may delay timely diagnosis and treatment. In this case report, a 53-year-old male with ESRD was admitted following an unresponsive episode during routine hemodialysis, later found to have sarcoidosis. Initial presentation notable for hypothermia, tachycardia, leukocytosis, and metabolic derangements. Bronchoalveolar lavage cultures subsequently grew methicillin-sensitive staphylococcus aureus, successfully treated with cefazolin. However, the patient remained encephalopathic and hypercalcemic. Further workup showed nonparathyroid hormone-mediated hypercalcemia with a normal 25-OH vitamin D and elevated 1,25-OH vitamin D, concerning for sarcoidosis, malignancy, or tuberculosis. Additional computed tomography imaging and endobronchial ultrasound-guided biopsy illustrated enlarged lymph nodes with splenomegaly and nonnecrotizing granulomas, respectively, confirming the diagnosis of sarcoidosis. He was started on methylprednisolone, pantoprazole, and trimethoprim/sulfamethoxazole for pneumocystis jirovecii pneumonia prophylaxis; serum calcium levels started to drop, and his mentation improved. While his encephalopathy was initially presumed secondary to his ESRD and infection, further workup revealed sarcoidosis. Untreated sarcoidosis has significant health complications including lung fibrosis, pulmonary hypertension, heart arrhythmias, and neurological deficits. This case highlights the importance of maintaining a broad differential in the setting of critically ill patients as clinical presentations can be multifactorial. Furthermore, patients with a complex medical history such as ESRD on hemodialysis can make concluding sarcoidosis as a diagnosis more difficult.

求助全文
通过发布文献求助,成功后即可免费获取论文全文。 去求助
来源期刊
CiteScore
1.90
自引率
0.00%
发文量
165
审稿时长
12 weeks
期刊介绍: The AFMR is committed to enhancing the training and career development of our members and to furthering its mission to facilitate the conduct of research to improve medical care. Case reports represent an important avenue for trainees (interns, residents, and fellows) and early-stage faculty to demonstrate productive, scholarly activity.
×
引用
GB/T 7714-2015
复制
MLA
复制
APA
复制
导出至
BibTeX EndNote RefMan NoteFirst NoteExpress
×
提示
您的信息不完整,为了账户安全,请先补充。
现在去补充
×
提示
您因"违规操作"
具体请查看互助需知
我知道了
×
提示
确定
请完成安全验证×
copy
已复制链接
快去分享给好友吧!
我知道了
右上角分享
点击右上角分享
0
联系我们:info@booksci.cn Book学术提供免费学术资源搜索服务,方便国内外学者检索中英文文献。致力于提供最便捷和优质的服务体验。 Copyright © 2023 布克学术 All rights reserved.
京ICP备2023020795号-1
ghs 京公网安备 11010802042870号
Book学术文献互助
Book学术文献互助群
群 号:604180095
Book学术官方微信