Pembrolizumab用于可切除的dMMR/MSI-H期结肠癌的免疫治疗:个体化、精确手术免疫治疗的案例

IF 0.8 Q3 MEDICINE, GENERAL & INTERNAL
Stanley Kim, Joseph I Clark
{"title":"Pembrolizumab用于可切除的dMMR/MSI-H期结肠癌的免疫治疗:个体化、精确手术免疫治疗的案例","authors":"Stanley Kim, Joseph I Clark","doi":"10.1177/23247096251368093","DOIUrl":null,"url":null,"abstract":"<p><p>Colorectal cancer (CRC) with deficient mismatch repair (dMMR) and microsatellite instability-high (MSI-H) status represents a highly immunogenic subset that responds well to immune checkpoint inhibitors (ICIs). However, the role of ICIs in resectable, early-stage CRC remains under investigation. We report the case of an 81-year-old woman diagnosed with stage III adenocarcinoma of the right colon, who declined surgery. Immunohistochemistry revealed loss of MLH1 and PMS2, consistent with dMMR. Tumor genomic profiling demonstrated MSI-H, high tumor mutational burden, BRAF V600E, and BRCA2 mutation. Germline testing was negative for BRCA and Lynch syndrome-associated mutations. The patient was treated with neoadjuvant pembrolizumab. After 4 months, mesenteric lymphadenopathy resolved, but focal colonic thickening persisted. The patient again declined surgery. At 10 months of pembrolizumab therapy, PET/computed tomography and colonoscopy showed no residual disease. She developed immune-related adrenal insufficiency, managed with corticosteroids. This case demonstrates complete clinical remission of resectable colon cancer with pembrolizumab alone in a patient with somatic dMMR/MSI-H, BRAF V600E, and BRCA2 mutations. It supports the hypothesis that early use of ICIs-prior to metastatic progression and immune escape-may enhance efficacy. This report highlights the potential for personalized, surgery-sparing treatment strategies in genomically selected CRC patients.</p>","PeriodicalId":16198,"journal":{"name":"Journal of investigative medicine high impact case reports","volume":"13 ","pages":"23247096251368093"},"PeriodicalIF":0.8000,"publicationDate":"2025-01-01","publicationTypes":"Journal Article","fieldsOfStudy":null,"isOpenAccess":false,"openAccessPdf":"https://www.ncbi.nlm.nih.gov/pmc/articles/PMC12374102/pdf/","citationCount":"0","resultStr":"{\"title\":\"Immunotherapy With Pembrolizumab for Resectable dMMR/MSI-H Stage III Colon Cancer: A Case of Personalized, Precision Surgery-Sparing Immunotherapy.\",\"authors\":\"Stanley Kim, Joseph I Clark\",\"doi\":\"10.1177/23247096251368093\",\"DOIUrl\":null,\"url\":null,\"abstract\":\"<p><p>Colorectal cancer (CRC) with deficient mismatch repair (dMMR) and microsatellite instability-high (MSI-H) status represents a highly immunogenic subset that responds well to immune checkpoint inhibitors (ICIs). However, the role of ICIs in resectable, early-stage CRC remains under investigation. We report the case of an 81-year-old woman diagnosed with stage III adenocarcinoma of the right colon, who declined surgery. Immunohistochemistry revealed loss of MLH1 and PMS2, consistent with dMMR. Tumor genomic profiling demonstrated MSI-H, high tumor mutational burden, BRAF V600E, and BRCA2 mutation. Germline testing was negative for BRCA and Lynch syndrome-associated mutations. The patient was treated with neoadjuvant pembrolizumab. After 4 months, mesenteric lymphadenopathy resolved, but focal colonic thickening persisted. The patient again declined surgery. At 10 months of pembrolizumab therapy, PET/computed tomography and colonoscopy showed no residual disease. She developed immune-related adrenal insufficiency, managed with corticosteroids. This case demonstrates complete clinical remission of resectable colon cancer with pembrolizumab alone in a patient with somatic dMMR/MSI-H, BRAF V600E, and BRCA2 mutations. It supports the hypothesis that early use of ICIs-prior to metastatic progression and immune escape-may enhance efficacy. This report highlights the potential for personalized, surgery-sparing treatment strategies in genomically selected CRC patients.</p>\",\"PeriodicalId\":16198,\"journal\":{\"name\":\"Journal of investigative medicine high impact case reports\",\"volume\":\"13 \",\"pages\":\"23247096251368093\"},\"PeriodicalIF\":0.8000,\"publicationDate\":\"2025-01-01\",\"publicationTypes\":\"Journal Article\",\"fieldsOfStudy\":null,\"isOpenAccess\":false,\"openAccessPdf\":\"https://www.ncbi.nlm.nih.gov/pmc/articles/PMC12374102/pdf/\",\"citationCount\":\"0\",\"resultStr\":null,\"platform\":\"Semanticscholar\",\"paperid\":null,\"PeriodicalName\":\"Journal of investigative medicine high impact case reports\",\"FirstCategoryId\":\"1085\",\"ListUrlMain\":\"https://doi.org/10.1177/23247096251368093\",\"RegionNum\":0,\"RegionCategory\":null,\"ArticlePicture\":[],\"TitleCN\":null,\"AbstractTextCN\":null,\"PMCID\":null,\"EPubDate\":\"2025/8/22 0:00:00\",\"PubModel\":\"Epub\",\"JCR\":\"Q3\",\"JCRName\":\"MEDICINE, GENERAL & INTERNAL\",\"Score\":null,\"Total\":0}","platform":"Semanticscholar","paperid":null,"PeriodicalName":"Journal of investigative medicine high impact case reports","FirstCategoryId":"1085","ListUrlMain":"https://doi.org/10.1177/23247096251368093","RegionNum":0,"RegionCategory":null,"ArticlePicture":[],"TitleCN":null,"AbstractTextCN":null,"PMCID":null,"EPubDate":"2025/8/22 0:00:00","PubModel":"Epub","JCR":"Q3","JCRName":"MEDICINE, GENERAL & INTERNAL","Score":null,"Total":0}
引用次数: 0

摘要

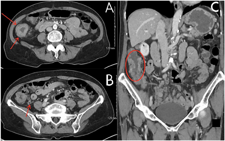
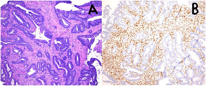
具有错配修复缺陷(dMMR)和微卫星不稳定性高(MSI-H)状态的结直肠癌(CRC)代表了对免疫检查点抑制剂(ICIs)反应良好的高度免疫原性亚群。然而,ICIs在可切除的早期结直肠癌中的作用仍在研究中。我们报告一例81岁的妇女诊断为III期腺癌的右结肠,谁拒绝手术。免疫组化显示MLH1和PMS2缺失,与dMMR一致。肿瘤基因组分析显示MSI-H、高肿瘤突变负担、BRAF V600E和BRCA2突变。种系检测BRCA和Lynch综合征相关突变呈阴性。患者接受新辅助派姆单抗治疗。4个月后,肠系膜淋巴结病变消退,但局灶性结肠增厚持续存在。病人再次拒绝手术。在派姆单抗治疗10个月时,PET/计算机断层扫描和结肠镜检查显示没有残留疾病。她出现了与免疫相关的肾上腺功能不全,用皮质类固醇治疗。该病例显示,在患有体细胞dMMR/MSI-H、BRAF V600E和BRCA2突变的患者中,单抗派姆单抗治疗可切除结肠癌的临床完全缓解。它支持了早期使用icis(在转移进展和免疫逃逸之前)可能提高疗效的假设。该报告强调了在基因选择的结直肠癌患者中,个性化、省去手术的治疗策略的潜力。
本文章由计算机程序翻译,如有差异,请以英文原文为准。

Immunotherapy With Pembrolizumab for Resectable dMMR/MSI-H Stage III Colon Cancer: A Case of Personalized, Precision Surgery-Sparing Immunotherapy.

Immunotherapy With Pembrolizumab for Resectable dMMR/MSI-H Stage III Colon Cancer: A Case of Personalized, Precision Surgery-Sparing Immunotherapy.

Immunotherapy With Pembrolizumab for Resectable dMMR/MSI-H Stage III Colon Cancer: A Case of Personalized, Precision Surgery-Sparing Immunotherapy.

Immunotherapy With Pembrolizumab for Resectable dMMR/MSI-H Stage III Colon Cancer: A Case of Personalized, Precision Surgery-Sparing Immunotherapy.

Colorectal cancer (CRC) with deficient mismatch repair (dMMR) and microsatellite instability-high (MSI-H) status represents a highly immunogenic subset that responds well to immune checkpoint inhibitors (ICIs). However, the role of ICIs in resectable, early-stage CRC remains under investigation. We report the case of an 81-year-old woman diagnosed with stage III adenocarcinoma of the right colon, who declined surgery. Immunohistochemistry revealed loss of MLH1 and PMS2, consistent with dMMR. Tumor genomic profiling demonstrated MSI-H, high tumor mutational burden, BRAF V600E, and BRCA2 mutation. Germline testing was negative for BRCA and Lynch syndrome-associated mutations. The patient was treated with neoadjuvant pembrolizumab. After 4 months, mesenteric lymphadenopathy resolved, but focal colonic thickening persisted. The patient again declined surgery. At 10 months of pembrolizumab therapy, PET/computed tomography and colonoscopy showed no residual disease. She developed immune-related adrenal insufficiency, managed with corticosteroids. This case demonstrates complete clinical remission of resectable colon cancer with pembrolizumab alone in a patient with somatic dMMR/MSI-H, BRAF V600E, and BRCA2 mutations. It supports the hypothesis that early use of ICIs-prior to metastatic progression and immune escape-may enhance efficacy. This report highlights the potential for personalized, surgery-sparing treatment strategies in genomically selected CRC patients.

求助全文
通过发布文献求助,成功后即可免费获取论文全文。 去求助
来源期刊
CiteScore
1.90
自引率
0.00%
发文量
165
审稿时长
12 weeks
期刊介绍: The AFMR is committed to enhancing the training and career development of our members and to furthering its mission to facilitate the conduct of research to improve medical care. Case reports represent an important avenue for trainees (interns, residents, and fellows) and early-stage faculty to demonstrate productive, scholarly activity.
×
引用
GB/T 7714-2015
复制
MLA
复制
APA
复制
导出至
BibTeX EndNote RefMan NoteFirst NoteExpress
×
提示
您的信息不完整,为了账户安全,请先补充。
现在去补充
×
提示
您因"违规操作"
具体请查看互助需知
我知道了
×
提示
确定
请完成安全验证×
copy
已复制链接
快去分享给好友吧!
我知道了
右上角分享
点击右上角分享
0
联系我们:info@booksci.cn Book学术提供免费学术资源搜索服务,方便国内外学者检索中英文文献。致力于提供最便捷和优质的服务体验。 Copyright © 2023 布克学术 All rights reserved.
京ICP备2023020795号-1
ghs 京公网安备 11010802042870号
Book学术文献互助
Book学术文献互助群
群 号:604180095
Book学术官方微信