子宫内膜异位症表现为恶性盲肠肿块。

IF 0.8 Q3 MEDICINE, GENERAL & INTERNAL
Akanksha Togra, M Ammar Kalas, Keith Garrison, Alejandro Robles
{"title":"子宫内膜异位症表现为恶性盲肠肿块。","authors":"Akanksha Togra, M Ammar Kalas, Keith Garrison, Alejandro Robles","doi":"10.1177/23247096251363014","DOIUrl":null,"url":null,"abstract":"<p><p>Endometriosis is a gynecological condition that can manifest in pelvic and extra-pelvic sites, including the gastrointestinal tract. Cecal and appendiceal involvement is rare and can present as anemia, mimicking malignancy. The discussed case is of a 50-year-old female who presented with symptomatic anemia. Imaging revealed a cecal and appendiceal mass with lymphadenopathy, raising concern for malignancy. Colonoscopy showed a suspicious tumor, but biopsy was inconclusive. Surgical resection revealed extensive endometriosis involving the cecum and appendix. Pathology confirmed endometriosis mimicking neoplasia. Postoperatively, the patient's anemia improved. This case highlights that gastrointestinal endometriosis is often asymptomatic and difficult to diagnose. Its presentation as a colonic mass underscores the need for broad differentials. Surgical intervention is crucial when malignancy is suspected.</p>","PeriodicalId":16198,"journal":{"name":"Journal of investigative medicine high impact case reports","volume":"13 ","pages":"23247096251363014"},"PeriodicalIF":0.8000,"publicationDate":"2025-01-01","publicationTypes":"Journal Article","fieldsOfStudy":null,"isOpenAccess":false,"openAccessPdf":"https://www.ncbi.nlm.nih.gov/pmc/articles/PMC12394867/pdf/","citationCount":"0","resultStr":"{\"title\":\"Endometriosis Presenting as a Malignant Appearing Cecal Mass.\",\"authors\":\"Akanksha Togra, M Ammar Kalas, Keith Garrison, Alejandro Robles\",\"doi\":\"10.1177/23247096251363014\",\"DOIUrl\":null,\"url\":null,\"abstract\":\"<p><p>Endometriosis is a gynecological condition that can manifest in pelvic and extra-pelvic sites, including the gastrointestinal tract. Cecal and appendiceal involvement is rare and can present as anemia, mimicking malignancy. The discussed case is of a 50-year-old female who presented with symptomatic anemia. Imaging revealed a cecal and appendiceal mass with lymphadenopathy, raising concern for malignancy. Colonoscopy showed a suspicious tumor, but biopsy was inconclusive. Surgical resection revealed extensive endometriosis involving the cecum and appendix. Pathology confirmed endometriosis mimicking neoplasia. Postoperatively, the patient's anemia improved. This case highlights that gastrointestinal endometriosis is often asymptomatic and difficult to diagnose. Its presentation as a colonic mass underscores the need for broad differentials. Surgical intervention is crucial when malignancy is suspected.</p>\",\"PeriodicalId\":16198,\"journal\":{\"name\":\"Journal of investigative medicine high impact case reports\",\"volume\":\"13 \",\"pages\":\"23247096251363014\"},\"PeriodicalIF\":0.8000,\"publicationDate\":\"2025-01-01\",\"publicationTypes\":\"Journal Article\",\"fieldsOfStudy\":null,\"isOpenAccess\":false,\"openAccessPdf\":\"https://www.ncbi.nlm.nih.gov/pmc/articles/PMC12394867/pdf/\",\"citationCount\":\"0\",\"resultStr\":null,\"platform\":\"Semanticscholar\",\"paperid\":null,\"PeriodicalName\":\"Journal of investigative medicine high impact case reports\",\"FirstCategoryId\":\"1085\",\"ListUrlMain\":\"https://doi.org/10.1177/23247096251363014\",\"RegionNum\":0,\"RegionCategory\":null,\"ArticlePicture\":[],\"TitleCN\":null,\"AbstractTextCN\":null,\"PMCID\":null,\"EPubDate\":\"2025/8/28 0:00:00\",\"PubModel\":\"Epub\",\"JCR\":\"Q3\",\"JCRName\":\"MEDICINE, GENERAL & INTERNAL\",\"Score\":null,\"Total\":0}","platform":"Semanticscholar","paperid":null,"PeriodicalName":"Journal of investigative medicine high impact case reports","FirstCategoryId":"1085","ListUrlMain":"https://doi.org/10.1177/23247096251363014","RegionNum":0,"RegionCategory":null,"ArticlePicture":[],"TitleCN":null,"AbstractTextCN":null,"PMCID":null,"EPubDate":"2025/8/28 0:00:00","PubModel":"Epub","JCR":"Q3","JCRName":"MEDICINE, GENERAL & INTERNAL","Score":null,"Total":0}
引用次数: 0

摘要

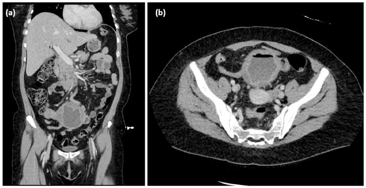
子宫内膜异位症是一种妇科疾病,可出现在盆腔和盆腔外部位,包括胃肠道。盲肠和阑尾受累是罕见的,可以表现为贫血,模仿恶性肿瘤。本病例为一50岁女性,表现为症状性贫血。影像显示盲肠及阑尾肿块伴淋巴结病变,可能为恶性肿瘤。结肠镜检查显示可疑肿瘤,但活检结果不确定。手术切除发现广泛的子宫内膜异位症累及盲肠和阑尾。病理证实酷似子宫内膜异位症。术后,患者的贫血得到改善。本病例强调胃肠道子宫内膜异位症通常无症状且难以诊断。其结肠肿块的表现强调了广泛区分的必要性。当怀疑有恶性肿瘤时,手术干预至关重要。
本文章由计算机程序翻译,如有差异,请以英文原文为准。

Endometriosis Presenting as a Malignant Appearing Cecal Mass.

Endometriosis Presenting as a Malignant Appearing Cecal Mass.

Endometriosis Presenting as a Malignant Appearing Cecal Mass.

Endometriosis Presenting as a Malignant Appearing Cecal Mass.

Endometriosis is a gynecological condition that can manifest in pelvic and extra-pelvic sites, including the gastrointestinal tract. Cecal and appendiceal involvement is rare and can present as anemia, mimicking malignancy. The discussed case is of a 50-year-old female who presented with symptomatic anemia. Imaging revealed a cecal and appendiceal mass with lymphadenopathy, raising concern for malignancy. Colonoscopy showed a suspicious tumor, but biopsy was inconclusive. Surgical resection revealed extensive endometriosis involving the cecum and appendix. Pathology confirmed endometriosis mimicking neoplasia. Postoperatively, the patient's anemia improved. This case highlights that gastrointestinal endometriosis is often asymptomatic and difficult to diagnose. Its presentation as a colonic mass underscores the need for broad differentials. Surgical intervention is crucial when malignancy is suspected.

求助全文
通过发布文献求助,成功后即可免费获取论文全文。 去求助
来源期刊
CiteScore
1.90
自引率
0.00%
发文量
165
审稿时长
12 weeks
期刊介绍: The AFMR is committed to enhancing the training and career development of our members and to furthering its mission to facilitate the conduct of research to improve medical care. Case reports represent an important avenue for trainees (interns, residents, and fellows) and early-stage faculty to demonstrate productive, scholarly activity.
×
引用
GB/T 7714-2015
复制
MLA
复制
APA
复制
导出至
BibTeX EndNote RefMan NoteFirst NoteExpress
×
提示
您的信息不完整,为了账户安全,请先补充。
现在去补充
×
提示
您因"违规操作"
具体请查看互助需知
我知道了
×
提示
确定
请完成安全验证×
copy
已复制链接
快去分享给好友吧!
我知道了
右上角分享
点击右上角分享
0
联系我们:info@booksci.cn Book学术提供免费学术资源搜索服务,方便国内外学者检索中英文文献。致力于提供最便捷和优质的服务体验。 Copyright © 2023 布克学术 All rights reserved.
京ICP备2023020795号-1
ghs 京公网安备 11010802042870号
Book学术文献互助
Book学术文献互助群
群 号:604180095
Book学术官方微信