接种COVID-19疫苗后急性坏死性胰腺炎的致命病例

IF 0.8 Q3 MEDICINE, GENERAL & INTERNAL
D'Argent Louise, Lormans Piet, Dumoulein Alexander, Schockaert Bernard
{"title":"接种COVID-19疫苗后急性坏死性胰腺炎的致命病例","authors":"D'Argent Louise, Lormans Piet, Dumoulein Alexander, Schockaert Bernard","doi":"10.1177/23247096251367809","DOIUrl":null,"url":null,"abstract":"<p><p>Several adverse effects have been reported following the use of the Pfizer-BioNTech mRNA vaccine against COVID-19 infection with acute pancreatitis being one of those. However, a direct relationship between the vaccine and the occurrence of acute pancreatitis has not been confirmed. Hereby, a case of an acute necrotizing pancreatitis resulting in fatal outcome following the administration of the COVID-19 BioNTech Pfizer vaccine is presented. A 70-year-old male presented with abdominal pain 4 days after receiving his fifth dose of the COVID-19 BioNTech Pfizer vaccine. Laboratory examination showed lipase levels of 2000 U/L. A CT scan was performed and showed necrotizing pancreatitis. After detailed evaluation, no etiological cause of pancreatitis could be found in this patient. The patient was admitted to the intensive care unit. After a disease course of ~6 weeks, the patient died due to multiorgan failure. This case presentation takes into account previously reported cases of acute pancreatitis following COVID-19 vaccination. To our knowledge, this is the first case of acute pancreatitis with fatal ending following a COVID-19 vaccination. This highlights the importance of thorough evaluation of patients presenting with abdominal pain following the administration of a COVID-19 vaccine.</p>","PeriodicalId":16198,"journal":{"name":"Journal of investigative medicine high impact case reports","volume":"13 ","pages":"23247096251367809"},"PeriodicalIF":0.8000,"publicationDate":"2025-01-01","publicationTypes":"Journal Article","fieldsOfStudy":null,"isOpenAccess":false,"openAccessPdf":"https://www.ncbi.nlm.nih.gov/pmc/articles/PMC12399823/pdf/","citationCount":"0","resultStr":"{\"title\":\"A Fatal Case of Acute Necrotizing Pancreatitis Following a COVID-19 Vaccine.\",\"authors\":\"D'Argent Louise, Lormans Piet, Dumoulein Alexander, Schockaert Bernard\",\"doi\":\"10.1177/23247096251367809\",\"DOIUrl\":null,\"url\":null,\"abstract\":\"<p><p>Several adverse effects have been reported following the use of the Pfizer-BioNTech mRNA vaccine against COVID-19 infection with acute pancreatitis being one of those. However, a direct relationship between the vaccine and the occurrence of acute pancreatitis has not been confirmed. Hereby, a case of an acute necrotizing pancreatitis resulting in fatal outcome following the administration of the COVID-19 BioNTech Pfizer vaccine is presented. A 70-year-old male presented with abdominal pain 4 days after receiving his fifth dose of the COVID-19 BioNTech Pfizer vaccine. Laboratory examination showed lipase levels of 2000 U/L. A CT scan was performed and showed necrotizing pancreatitis. After detailed evaluation, no etiological cause of pancreatitis could be found in this patient. The patient was admitted to the intensive care unit. After a disease course of ~6 weeks, the patient died due to multiorgan failure. This case presentation takes into account previously reported cases of acute pancreatitis following COVID-19 vaccination. To our knowledge, this is the first case of acute pancreatitis with fatal ending following a COVID-19 vaccination. This highlights the importance of thorough evaluation of patients presenting with abdominal pain following the administration of a COVID-19 vaccine.</p>\",\"PeriodicalId\":16198,\"journal\":{\"name\":\"Journal of investigative medicine high impact case reports\",\"volume\":\"13 \",\"pages\":\"23247096251367809\"},\"PeriodicalIF\":0.8000,\"publicationDate\":\"2025-01-01\",\"publicationTypes\":\"Journal Article\",\"fieldsOfStudy\":null,\"isOpenAccess\":false,\"openAccessPdf\":\"https://www.ncbi.nlm.nih.gov/pmc/articles/PMC12399823/pdf/\",\"citationCount\":\"0\",\"resultStr\":null,\"platform\":\"Semanticscholar\",\"paperid\":null,\"PeriodicalName\":\"Journal of investigative medicine high impact case reports\",\"FirstCategoryId\":\"1085\",\"ListUrlMain\":\"https://doi.org/10.1177/23247096251367809\",\"RegionNum\":0,\"RegionCategory\":null,\"ArticlePicture\":[],\"TitleCN\":null,\"AbstractTextCN\":null,\"PMCID\":null,\"EPubDate\":\"2025/8/30 0:00:00\",\"PubModel\":\"Epub\",\"JCR\":\"Q3\",\"JCRName\":\"MEDICINE, GENERAL & INTERNAL\",\"Score\":null,\"Total\":0}","platform":"Semanticscholar","paperid":null,"PeriodicalName":"Journal of investigative medicine high impact case reports","FirstCategoryId":"1085","ListUrlMain":"https://doi.org/10.1177/23247096251367809","RegionNum":0,"RegionCategory":null,"ArticlePicture":[],"TitleCN":null,"AbstractTextCN":null,"PMCID":null,"EPubDate":"2025/8/30 0:00:00","PubModel":"Epub","JCR":"Q3","JCRName":"MEDICINE, GENERAL & INTERNAL","Score":null,"Total":0}
引用次数: 0

摘要

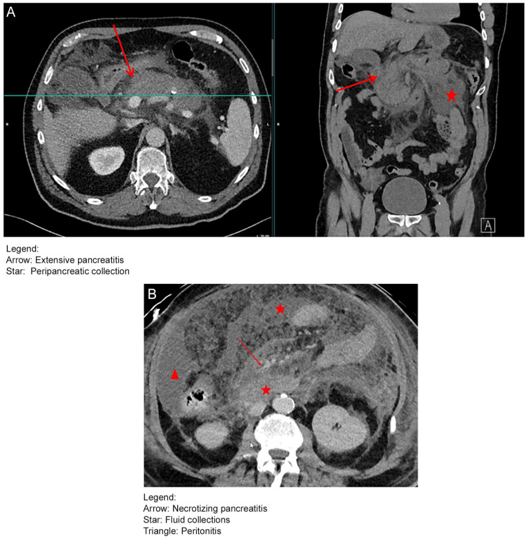
在使用抗COVID-19感染的辉瑞- biontech mRNA疫苗后,已报告了几种不良反应,其中包括急性胰腺炎。然而,疫苗与急性胰腺炎的发生之间的直接关系尚未得到证实。在此,报告了一例急性坏死性胰腺炎,在注射了BioNTech辉瑞公司的COVID-19疫苗后导致了致命的结果。一名70岁男性在接受第五剂辉瑞BioNTech新冠肺炎疫苗4天后出现腹痛。实验室检查显示脂肪酶水平2000 U/L。CT扫描显示坏死性胰腺炎。经详细评估,该患者未发现胰腺炎的病因。病人被送进了重症监护室。病程约6周后,患者因多器官功能衰竭而死亡。本病例报告考虑了先前报告的COVID-19疫苗接种后急性胰腺炎病例。据我们所知,这是首例在COVID-19疫苗接种后死亡的急性胰腺炎病例。这突出了对接种COVID-19疫苗后出现腹痛的患者进行彻底评估的重要性。
本文章由计算机程序翻译,如有差异,请以英文原文为准。

A Fatal Case of Acute Necrotizing Pancreatitis Following a COVID-19 Vaccine.

A Fatal Case of Acute Necrotizing Pancreatitis Following a COVID-19 Vaccine.

A Fatal Case of Acute Necrotizing Pancreatitis Following a COVID-19 Vaccine.

A Fatal Case of Acute Necrotizing Pancreatitis Following a COVID-19 Vaccine.

Several adverse effects have been reported following the use of the Pfizer-BioNTech mRNA vaccine against COVID-19 infection with acute pancreatitis being one of those. However, a direct relationship between the vaccine and the occurrence of acute pancreatitis has not been confirmed. Hereby, a case of an acute necrotizing pancreatitis resulting in fatal outcome following the administration of the COVID-19 BioNTech Pfizer vaccine is presented. A 70-year-old male presented with abdominal pain 4 days after receiving his fifth dose of the COVID-19 BioNTech Pfizer vaccine. Laboratory examination showed lipase levels of 2000 U/L. A CT scan was performed and showed necrotizing pancreatitis. After detailed evaluation, no etiological cause of pancreatitis could be found in this patient. The patient was admitted to the intensive care unit. After a disease course of ~6 weeks, the patient died due to multiorgan failure. This case presentation takes into account previously reported cases of acute pancreatitis following COVID-19 vaccination. To our knowledge, this is the first case of acute pancreatitis with fatal ending following a COVID-19 vaccination. This highlights the importance of thorough evaluation of patients presenting with abdominal pain following the administration of a COVID-19 vaccine.

求助全文
通过发布文献求助,成功后即可免费获取论文全文。 去求助
来源期刊
CiteScore
1.90
自引率
0.00%
发文量
165
审稿时长
12 weeks
期刊介绍: The AFMR is committed to enhancing the training and career development of our members and to furthering its mission to facilitate the conduct of research to improve medical care. Case reports represent an important avenue for trainees (interns, residents, and fellows) and early-stage faculty to demonstrate productive, scholarly activity.
×
引用
GB/T 7714-2015
复制
MLA
复制
APA
复制
导出至
BibTeX EndNote RefMan NoteFirst NoteExpress
×
提示
您的信息不完整,为了账户安全,请先补充。
现在去补充
×
提示
您因"违规操作"
具体请查看互助需知
我知道了
×
提示
确定
请完成安全验证×
copy
已复制链接
快去分享给好友吧!
我知道了
右上角分享
点击右上角分享
0
联系我们:info@booksci.cn Book学术提供免费学术资源搜索服务,方便国内外学者检索中英文文献。致力于提供最便捷和优质的服务体验。 Copyright © 2023 布克学术 All rights reserved.
京ICP备2023020795号-1
ghs 京公网安备 11010802042870号
Book学术文献互助
Book学术文献互助群
群 号:604180095
Book学术官方微信