心脏填塞是肺鳞状细胞癌的最初表现:1例报告及文献复习。

IF 0.8 Q3 MEDICINE, GENERAL & INTERNAL
Vijay Bharti, Zakaria Alagha, Michael Smith, Sohaib Syed, Alaadin Al-Astal, Swapna Sirigireddy, Yousef Shweihat, Amro Al-Astal
{"title":"心脏填塞是肺鳞状细胞癌的最初表现:1例报告及文献复习。","authors":"Vijay Bharti, Zakaria Alagha, Michael Smith, Sohaib Syed, Alaadin Al-Astal, Swapna Sirigireddy, Yousef Shweihat, Amro Al-Astal","doi":"10.1177/23247096251367696","DOIUrl":null,"url":null,"abstract":"<p><p>Squamous cell carcinoma (SCC) of the lung, a subtype of nonsmall cell lung cancer (NSCLC), uncommonly causes pericardial effusion. Pericardial effusions occur in 10% to 12% of lung cancer cases but are rarely the initial presentation. We report a case of a 68-year-old male with type II diabetes mellitus and chronic obstructive pulmonary disease who presented with right upper quadrant pain, dyspnea, and anorexia, suspicious of hepatobiliary disease. Imaging incidentally revealed a large pericardial effusion causing cardiac tamponade. Cytology of pericardial fluid identified malignancy, and biopsy of a mass found on subsequent chest computerized tomography diagnosed SCC of the lung. The patient experienced respiratory failure accompanied by bilateral pneumothorax, leading to the decision to initiate hospice care. Pericardial effusion warrants prompt echocardiography and pericardiocentesis with cytology. NSCLC-related effusions signify stage IV disease, managed palliatively with immunotherapy and chemotherapy. This case emphasizes the critical importance of evaluating pericardial effusions for malignancy, even in instances where the presentation may be atypical. We present a case of malignant cardiac tamponade that was obscured by underlying hepatobiliary disease. Maintaining a high level of suspicion for malignant effusions is essential, as failure to do so may lead to increased morbidity in patients with undiagnosed malignancies.</p>","PeriodicalId":16198,"journal":{"name":"Journal of investigative medicine high impact case reports","volume":"13 ","pages":"23247096251367696"},"PeriodicalIF":0.8000,"publicationDate":"2025-01-01","publicationTypes":"Journal Article","fieldsOfStudy":null,"isOpenAccess":false,"openAccessPdf":"https://www.ncbi.nlm.nih.gov/pmc/articles/PMC12399826/pdf/","citationCount":"0","resultStr":"{\"title\":\"Cardiac Tamponade as the Initial Presentation of Squamous Cell Carcinoma of the Lung: A Case Report and Literature Review.\",\"authors\":\"Vijay Bharti, Zakaria Alagha, Michael Smith, Sohaib Syed, Alaadin Al-Astal, Swapna Sirigireddy, Yousef Shweihat, Amro Al-Astal\",\"doi\":\"10.1177/23247096251367696\",\"DOIUrl\":null,\"url\":null,\"abstract\":\"<p><p>Squamous cell carcinoma (SCC) of the lung, a subtype of nonsmall cell lung cancer (NSCLC), uncommonly causes pericardial effusion. Pericardial effusions occur in 10% to 12% of lung cancer cases but are rarely the initial presentation. We report a case of a 68-year-old male with type II diabetes mellitus and chronic obstructive pulmonary disease who presented with right upper quadrant pain, dyspnea, and anorexia, suspicious of hepatobiliary disease. Imaging incidentally revealed a large pericardial effusion causing cardiac tamponade. Cytology of pericardial fluid identified malignancy, and biopsy of a mass found on subsequent chest computerized tomography diagnosed SCC of the lung. The patient experienced respiratory failure accompanied by bilateral pneumothorax, leading to the decision to initiate hospice care. Pericardial effusion warrants prompt echocardiography and pericardiocentesis with cytology. NSCLC-related effusions signify stage IV disease, managed palliatively with immunotherapy and chemotherapy. This case emphasizes the critical importance of evaluating pericardial effusions for malignancy, even in instances where the presentation may be atypical. We present a case of malignant cardiac tamponade that was obscured by underlying hepatobiliary disease. Maintaining a high level of suspicion for malignant effusions is essential, as failure to do so may lead to increased morbidity in patients with undiagnosed malignancies.</p>\",\"PeriodicalId\":16198,\"journal\":{\"name\":\"Journal of investigative medicine high impact case reports\",\"volume\":\"13 \",\"pages\":\"23247096251367696\"},\"PeriodicalIF\":0.8000,\"publicationDate\":\"2025-01-01\",\"publicationTypes\":\"Journal Article\",\"fieldsOfStudy\":null,\"isOpenAccess\":false,\"openAccessPdf\":\"https://www.ncbi.nlm.nih.gov/pmc/articles/PMC12399826/pdf/\",\"citationCount\":\"0\",\"resultStr\":null,\"platform\":\"Semanticscholar\",\"paperid\":null,\"PeriodicalName\":\"Journal of investigative medicine high impact case reports\",\"FirstCategoryId\":\"1085\",\"ListUrlMain\":\"https://doi.org/10.1177/23247096251367696\",\"RegionNum\":0,\"RegionCategory\":null,\"ArticlePicture\":[],\"TitleCN\":null,\"AbstractTextCN\":null,\"PMCID\":null,\"EPubDate\":\"2025/8/30 0:00:00\",\"PubModel\":\"Epub\",\"JCR\":\"Q3\",\"JCRName\":\"MEDICINE, GENERAL & INTERNAL\",\"Score\":null,\"Total\":0}","platform":"Semanticscholar","paperid":null,"PeriodicalName":"Journal of investigative medicine high impact case reports","FirstCategoryId":"1085","ListUrlMain":"https://doi.org/10.1177/23247096251367696","RegionNum":0,"RegionCategory":null,"ArticlePicture":[],"TitleCN":null,"AbstractTextCN":null,"PMCID":null,"EPubDate":"2025/8/30 0:00:00","PubModel":"Epub","JCR":"Q3","JCRName":"MEDICINE, GENERAL & INTERNAL","Score":null,"Total":0}
引用次数: 0

摘要

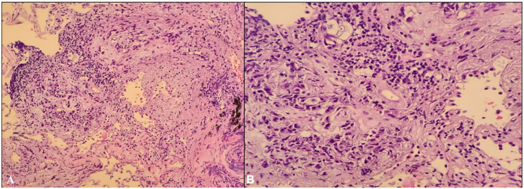
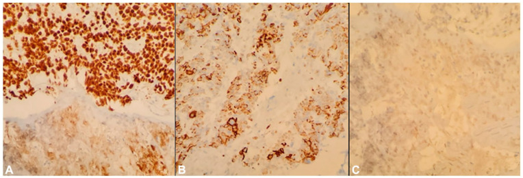
肺鳞状细胞癌(SCC)是非小细胞肺癌(NSCLC)的一种亚型,通常引起心包积液。10%至12%的肺癌病例有心包积液,但很少是最初的表现。我们报告一例68岁男性II型糖尿病合并慢性阻塞性肺疾病,表现为右上腹部疼痛、呼吸困难、厌食,怀疑肝胆疾病。影像显示有大量心包积液引起心包填塞。心包液细胞学检查确定为恶性肿瘤,随后胸部计算机断层扫描发现的肿块活检诊断为肺鳞状细胞癌。病人经历呼吸衰竭并伴有双侧气胸,导致决定开始安宁疗护。心包积液需要及时超声心动图和心包穿刺及细胞学检查。非小细胞肺癌相关积液表示IV期疾病,可通过免疫治疗和化疗姑息治疗。本病例强调了评估心包积液是否为恶性肿瘤的重要性,即使在表现不典型的情况下也是如此。我们提出一个恶性心包填塞被潜在的肝胆疾病所掩盖的病例。保持对恶性积液的高度怀疑是必不可少的,因为不这样做可能导致未确诊恶性肿瘤患者的发病率增加。
本文章由计算机程序翻译,如有差异,请以英文原文为准。

Cardiac Tamponade as the Initial Presentation of Squamous Cell Carcinoma of the Lung: A Case Report and Literature Review.

Cardiac Tamponade as the Initial Presentation of Squamous Cell Carcinoma of the Lung: A Case Report and Literature Review.

Cardiac Tamponade as the Initial Presentation of Squamous Cell Carcinoma of the Lung: A Case Report and Literature Review.

Cardiac Tamponade as the Initial Presentation of Squamous Cell Carcinoma of the Lung: A Case Report and Literature Review.

Squamous cell carcinoma (SCC) of the lung, a subtype of nonsmall cell lung cancer (NSCLC), uncommonly causes pericardial effusion. Pericardial effusions occur in 10% to 12% of lung cancer cases but are rarely the initial presentation. We report a case of a 68-year-old male with type II diabetes mellitus and chronic obstructive pulmonary disease who presented with right upper quadrant pain, dyspnea, and anorexia, suspicious of hepatobiliary disease. Imaging incidentally revealed a large pericardial effusion causing cardiac tamponade. Cytology of pericardial fluid identified malignancy, and biopsy of a mass found on subsequent chest computerized tomography diagnosed SCC of the lung. The patient experienced respiratory failure accompanied by bilateral pneumothorax, leading to the decision to initiate hospice care. Pericardial effusion warrants prompt echocardiography and pericardiocentesis with cytology. NSCLC-related effusions signify stage IV disease, managed palliatively with immunotherapy and chemotherapy. This case emphasizes the critical importance of evaluating pericardial effusions for malignancy, even in instances where the presentation may be atypical. We present a case of malignant cardiac tamponade that was obscured by underlying hepatobiliary disease. Maintaining a high level of suspicion for malignant effusions is essential, as failure to do so may lead to increased morbidity in patients with undiagnosed malignancies.

求助全文
通过发布文献求助,成功后即可免费获取论文全文。 去求助
来源期刊
CiteScore
1.90
自引率
0.00%
发文量
165
审稿时长
12 weeks
期刊介绍: The AFMR is committed to enhancing the training and career development of our members and to furthering its mission to facilitate the conduct of research to improve medical care. Case reports represent an important avenue for trainees (interns, residents, and fellows) and early-stage faculty to demonstrate productive, scholarly activity.
×
引用
GB/T 7714-2015
复制
MLA
复制
APA
复制
导出至
BibTeX EndNote RefMan NoteFirst NoteExpress
×
提示
您的信息不完整,为了账户安全,请先补充。
现在去补充
×
提示
您因"违规操作"
具体请查看互助需知
我知道了
×
提示
确定
请完成安全验证×
copy
已复制链接
快去分享给好友吧!
我知道了
右上角分享
点击右上角分享
0
联系我们:info@booksci.cn Book学术提供免费学术资源搜索服务,方便国内外学者检索中英文文献。致力于提供最便捷和优质的服务体验。 Copyright © 2023 布克学术 All rights reserved.
京ICP备2023020795号-1
ghs 京公网安备 11010802042870号
Book学术文献互助
Book学术文献互助群
群 号:604180095
Book学术官方微信