一例32月龄女性早期表现为mcune - albright综合征的罕见病例报告。

IF 0.8 Q3 MEDICINE, GENERAL & INTERNAL
Taha Z Makhlouf, Maryam S Mahareeq, Areej Abumazen, Tasneem Manasrah, Mera Badareen, Mahmoud S Zighan
{"title":"一例32月龄女性早期表现为mcune - albright综合征的罕见病例报告。","authors":"Taha Z Makhlouf, Maryam S Mahareeq, Areej Abumazen, Tasneem Manasrah, Mera Badareen, Mahmoud S Zighan","doi":"10.1177/23247096251367692","DOIUrl":null,"url":null,"abstract":"<p><p>McCune-Albright syndrome (MAS) is a rare disorder, occurring in 1 in 100 000 to 1 in 1 000 000 live births, caused by post-zygotic somatic mutations in the GNAS gene. This leads to fibrous dysplasia (FD), café-au-lait (CAL) skin pigmentation, and hyperfunctioning endocrinopathies. We present a 32-month-old girl with recurrent vaginal bleeding, bilateral breast enlargement, and multiple irregular CAL spots crossing the midline. Imaging revealed ovarian cysts and skeletal lesions consistent with FD. Laboratory findings indicated gonadotropin-independent precocious puberty. A clinical diagnosis of MAS was made, and genetic testing was deemed unnecessary. MAS presents with variable severity, and early diagnosis requires clinical recognition of its hallmark features. Genetic testing can support the diagnosis, though its reliability may vary due to mosaicism. Management is symptomatic, focusing on controlling endocrine dysfunction and minimizing skeletal complications. Emerging therapies offer promise, but no definitive cure exists. Early recognition and management are crucial for optimizing outcomes.</p>","PeriodicalId":16198,"journal":{"name":"Journal of investigative medicine high impact case reports","volume":"13 ","pages":"23247096251367692"},"PeriodicalIF":0.8000,"publicationDate":"2025-01-01","publicationTypes":"Journal Article","fieldsOfStudy":null,"isOpenAccess":false,"openAccessPdf":"https://www.ncbi.nlm.nih.gov/pmc/articles/PMC12374115/pdf/","citationCount":"0","resultStr":"{\"title\":\"Early Manifestation of McCune-Albright Syndrome in a 32-Month-Old Female: A Rare Case Report.\",\"authors\":\"Taha Z Makhlouf, Maryam S Mahareeq, Areej Abumazen, Tasneem Manasrah, Mera Badareen, Mahmoud S Zighan\",\"doi\":\"10.1177/23247096251367692\",\"DOIUrl\":null,\"url\":null,\"abstract\":\"<p><p>McCune-Albright syndrome (MAS) is a rare disorder, occurring in 1 in 100 000 to 1 in 1 000 000 live births, caused by post-zygotic somatic mutations in the GNAS gene. This leads to fibrous dysplasia (FD), café-au-lait (CAL) skin pigmentation, and hyperfunctioning endocrinopathies. We present a 32-month-old girl with recurrent vaginal bleeding, bilateral breast enlargement, and multiple irregular CAL spots crossing the midline. Imaging revealed ovarian cysts and skeletal lesions consistent with FD. Laboratory findings indicated gonadotropin-independent precocious puberty. A clinical diagnosis of MAS was made, and genetic testing was deemed unnecessary. MAS presents with variable severity, and early diagnosis requires clinical recognition of its hallmark features. Genetic testing can support the diagnosis, though its reliability may vary due to mosaicism. Management is symptomatic, focusing on controlling endocrine dysfunction and minimizing skeletal complications. Emerging therapies offer promise, but no definitive cure exists. Early recognition and management are crucial for optimizing outcomes.</p>\",\"PeriodicalId\":16198,\"journal\":{\"name\":\"Journal of investigative medicine high impact case reports\",\"volume\":\"13 \",\"pages\":\"23247096251367692\"},\"PeriodicalIF\":0.8000,\"publicationDate\":\"2025-01-01\",\"publicationTypes\":\"Journal Article\",\"fieldsOfStudy\":null,\"isOpenAccess\":false,\"openAccessPdf\":\"https://www.ncbi.nlm.nih.gov/pmc/articles/PMC12374115/pdf/\",\"citationCount\":\"0\",\"resultStr\":null,\"platform\":\"Semanticscholar\",\"paperid\":null,\"PeriodicalName\":\"Journal of investigative medicine high impact case reports\",\"FirstCategoryId\":\"1085\",\"ListUrlMain\":\"https://doi.org/10.1177/23247096251367692\",\"RegionNum\":0,\"RegionCategory\":null,\"ArticlePicture\":[],\"TitleCN\":null,\"AbstractTextCN\":null,\"PMCID\":null,\"EPubDate\":\"2025/8/21 0:00:00\",\"PubModel\":\"Epub\",\"JCR\":\"Q3\",\"JCRName\":\"MEDICINE, GENERAL & INTERNAL\",\"Score\":null,\"Total\":0}","platform":"Semanticscholar","paperid":null,"PeriodicalName":"Journal of investigative medicine high impact case reports","FirstCategoryId":"1085","ListUrlMain":"https://doi.org/10.1177/23247096251367692","RegionNum":0,"RegionCategory":null,"ArticlePicture":[],"TitleCN":null,"AbstractTextCN":null,"PMCID":null,"EPubDate":"2025/8/21 0:00:00","PubModel":"Epub","JCR":"Q3","JCRName":"MEDICINE, GENERAL & INTERNAL","Score":null,"Total":0}
引用次数: 0

摘要

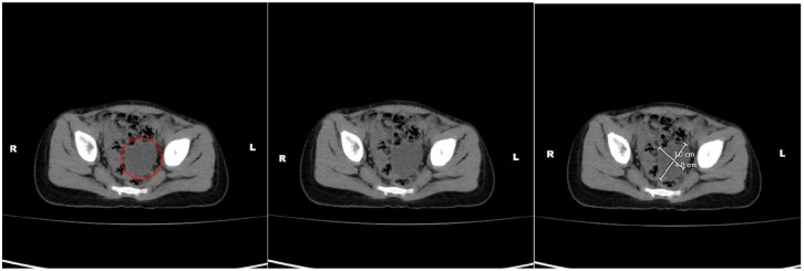
麦昆-奥尔布赖特综合征(mcune - albright syndrome, MAS)是一种罕见的疾病,发病率为10万分之一至100万分之一,由GNAS基因的受精卵后体细胞突变引起。这导致纤维发育不良(FD),卡萨芬-au-lait (CAL)皮肤色素沉着和功能亢进的内分泌病。我们报告一个32个月大的女孩,阴道反复出血,双侧乳房增大,并有多个不规则的CAL斑点穿过中线。影像学显示卵巢囊肿和骨骼病变符合FD。实验室结果显示性腺激素不依赖型性早熟。临床诊断为MAS,基因检测被认为是不必要的。MAS表现出不同的严重程度,早期诊断需要临床识别其标志性特征。基因检测可以支持诊断,尽管其可靠性可能因镶嵌现象而有所不同。治疗是对症的,重点是控制内分泌功能障碍和减少骨骼并发症。新兴疗法提供了希望,但没有绝对的治愈方法。早期识别和管理对于优化结果至关重要。
本文章由计算机程序翻译,如有差异,请以英文原文为准。

Early Manifestation of McCune-Albright Syndrome in a 32-Month-Old Female: A Rare Case Report.

Early Manifestation of McCune-Albright Syndrome in a 32-Month-Old Female: A Rare Case Report.

Early Manifestation of McCune-Albright Syndrome in a 32-Month-Old Female: A Rare Case Report.

Early Manifestation of McCune-Albright Syndrome in a 32-Month-Old Female: A Rare Case Report.

McCune-Albright syndrome (MAS) is a rare disorder, occurring in 1 in 100 000 to 1 in 1 000 000 live births, caused by post-zygotic somatic mutations in the GNAS gene. This leads to fibrous dysplasia (FD), café-au-lait (CAL) skin pigmentation, and hyperfunctioning endocrinopathies. We present a 32-month-old girl with recurrent vaginal bleeding, bilateral breast enlargement, and multiple irregular CAL spots crossing the midline. Imaging revealed ovarian cysts and skeletal lesions consistent with FD. Laboratory findings indicated gonadotropin-independent precocious puberty. A clinical diagnosis of MAS was made, and genetic testing was deemed unnecessary. MAS presents with variable severity, and early diagnosis requires clinical recognition of its hallmark features. Genetic testing can support the diagnosis, though its reliability may vary due to mosaicism. Management is symptomatic, focusing on controlling endocrine dysfunction and minimizing skeletal complications. Emerging therapies offer promise, but no definitive cure exists. Early recognition and management are crucial for optimizing outcomes.

求助全文
通过发布文献求助,成功后即可免费获取论文全文。 去求助
来源期刊
CiteScore
1.90
自引率
0.00%
发文量
165
审稿时长
12 weeks
期刊介绍: The AFMR is committed to enhancing the training and career development of our members and to furthering its mission to facilitate the conduct of research to improve medical care. Case reports represent an important avenue for trainees (interns, residents, and fellows) and early-stage faculty to demonstrate productive, scholarly activity.
×
引用
GB/T 7714-2015
复制
MLA
复制
APA
复制
导出至
BibTeX EndNote RefMan NoteFirst NoteExpress
×
提示
您的信息不完整,为了账户安全,请先补充。
现在去补充
×
提示
您因"违规操作"
具体请查看互助需知
我知道了
×
提示
确定
请完成安全验证×
copy
已复制链接
快去分享给好友吧!
我知道了
右上角分享
点击右上角分享
0
联系我们:info@booksci.cn Book学术提供免费学术资源搜索服务,方便国内外学者检索中英文文献。致力于提供最便捷和优质的服务体验。 Copyright © 2023 布克学术 All rights reserved.
京ICP备2023020795号-1
ghs 京公网安备 11010802042870号
Book学术文献互助
Book学术文献互助群
群 号:604180095
Book学术官方微信