一名叙利亚女性患斯威耳综合征:罕见病例报告。

IF 1.5 4区 医学 Q4 MEDICINE, RESEARCH & EXPERIMENTAL
Journal of International Medical Research Pub Date : 2025-08-01 Epub Date: 2025-08-21 DOI:10.1177/03000605251367394
Shaghaf Alhallak, Ammer Alabed, Abdalla Khabazeh, Kamal Alwannous
{"title":"一名叙利亚女性患斯威耳综合征:罕见病例报告。","authors":"Shaghaf Alhallak, Ammer Alabed, Abdalla Khabazeh, Kamal Alwannous","doi":"10.1177/03000605251367394","DOIUrl":null,"url":null,"abstract":"<p><p>Swyer syndrome, a form of complete gonadal dysgenesis, is a rare genetic condition in which phenotypic females exhibit a 46,XY karyotype. A 15-year-old girl presented with underdeveloped secondary sexual characteristics and amenorrhea. Laboratory investigations revealed elevated follicle-stimulating hormone levels and low estradiol levels, while imaging identified a small uterus and gonads. Chromosomal analysis confirmed a 46,XY karyotype. The patient was treated with hormone replacement therapy, resulting in significant pubertal development, reaching Tanner stage 3 within 8 months. This case highlights the importance of early recognition, chromosomal analysis, and tailored management in Swyer syndrome. Multidisciplinary approaches based on hormonal therapy, fertility counseling, and psychological support are crucial to improving patient outcomes. As the first case report of Swyer syndrome in Syria, this study underscores the need for heightened clinical awareness of this rare condition and widens the differential diagnosis for primary amenorrhea.</p>","PeriodicalId":16129,"journal":{"name":"Journal of International Medical Research","volume":"53 8","pages":"3000605251367394"},"PeriodicalIF":1.5000,"publicationDate":"2025-08-01","publicationTypes":"Journal Article","fieldsOfStudy":null,"isOpenAccess":false,"openAccessPdf":"https://www.ncbi.nlm.nih.gov/pmc/articles/PMC12374031/pdf/","citationCount":"0","resultStr":"{\"title\":\"Swyer syndrome in a Syrian female: A rare case report.\",\"authors\":\"Shaghaf Alhallak, Ammer Alabed, Abdalla Khabazeh, Kamal Alwannous\",\"doi\":\"10.1177/03000605251367394\",\"DOIUrl\":null,\"url\":null,\"abstract\":\"<p><p>Swyer syndrome, a form of complete gonadal dysgenesis, is a rare genetic condition in which phenotypic females exhibit a 46,XY karyotype. A 15-year-old girl presented with underdeveloped secondary sexual characteristics and amenorrhea. Laboratory investigations revealed elevated follicle-stimulating hormone levels and low estradiol levels, while imaging identified a small uterus and gonads. Chromosomal analysis confirmed a 46,XY karyotype. The patient was treated with hormone replacement therapy, resulting in significant pubertal development, reaching Tanner stage 3 within 8 months. This case highlights the importance of early recognition, chromosomal analysis, and tailored management in Swyer syndrome. Multidisciplinary approaches based on hormonal therapy, fertility counseling, and psychological support are crucial to improving patient outcomes. As the first case report of Swyer syndrome in Syria, this study underscores the need for heightened clinical awareness of this rare condition and widens the differential diagnosis for primary amenorrhea.</p>\",\"PeriodicalId\":16129,\"journal\":{\"name\":\"Journal of International Medical Research\",\"volume\":\"53 8\",\"pages\":\"3000605251367394\"},\"PeriodicalIF\":1.5000,\"publicationDate\":\"2025-08-01\",\"publicationTypes\":\"Journal Article\",\"fieldsOfStudy\":null,\"isOpenAccess\":false,\"openAccessPdf\":\"https://www.ncbi.nlm.nih.gov/pmc/articles/PMC12374031/pdf/\",\"citationCount\":\"0\",\"resultStr\":null,\"platform\":\"Semanticscholar\",\"paperid\":null,\"PeriodicalName\":\"Journal of International Medical Research\",\"FirstCategoryId\":\"3\",\"ListUrlMain\":\"https://doi.org/10.1177/03000605251367394\",\"RegionNum\":4,\"RegionCategory\":\"医学\",\"ArticlePicture\":[],\"TitleCN\":null,\"AbstractTextCN\":null,\"PMCID\":null,\"EPubDate\":\"2025/8/21 0:00:00\",\"PubModel\":\"Epub\",\"JCR\":\"Q4\",\"JCRName\":\"MEDICINE, RESEARCH & EXPERIMENTAL\",\"Score\":null,\"Total\":0}","platform":"Semanticscholar","paperid":null,"PeriodicalName":"Journal of International Medical Research","FirstCategoryId":"3","ListUrlMain":"https://doi.org/10.1177/03000605251367394","RegionNum":4,"RegionCategory":"医学","ArticlePicture":[],"TitleCN":null,"AbstractTextCN":null,"PMCID":null,"EPubDate":"2025/8/21 0:00:00","PubModel":"Epub","JCR":"Q4","JCRName":"MEDICINE, RESEARCH & EXPERIMENTAL","Score":null,"Total":0}
引用次数: 0

摘要

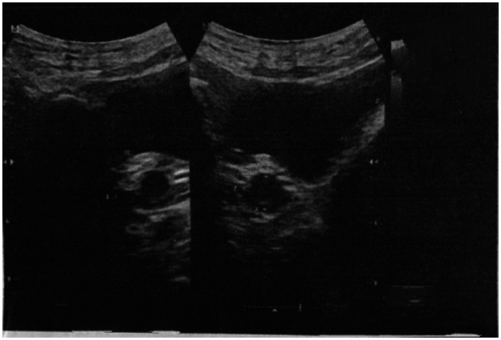
Swyer综合征是一种完全性腺发育不良的形式,是一种罕见的遗传病,其表型女性表现为46,xy核型。15岁女孩,第二性征发育不全,闭经。实验室检查显示促卵泡激素水平升高,雌二醇水平低,同时影像学检查发现子宫和性腺小。染色体分析证实为46,xy核型。患者接受激素替代治疗,青春期发育明显,8个月内达到Tanner期3。这个病例强调了早期识别,染色体分析和量身定制的管理在斯威耶综合征的重要性。基于激素治疗、生育咨询和心理支持的多学科方法对改善患者预后至关重要。作为叙利亚首例Swyer综合征病例报告,本研究强调需要提高对这种罕见疾病的临床认识,并扩大原发性闭经的鉴别诊断。
本文章由计算机程序翻译,如有差异,请以英文原文为准。

Swyer syndrome in a Syrian female: A rare case report.

Swyer syndrome in a Syrian female: A rare case report.

Swyer syndrome in a Syrian female: A rare case report.

Swyer syndrome, a form of complete gonadal dysgenesis, is a rare genetic condition in which phenotypic females exhibit a 46,XY karyotype. A 15-year-old girl presented with underdeveloped secondary sexual characteristics and amenorrhea. Laboratory investigations revealed elevated follicle-stimulating hormone levels and low estradiol levels, while imaging identified a small uterus and gonads. Chromosomal analysis confirmed a 46,XY karyotype. The patient was treated with hormone replacement therapy, resulting in significant pubertal development, reaching Tanner stage 3 within 8 months. This case highlights the importance of early recognition, chromosomal analysis, and tailored management in Swyer syndrome. Multidisciplinary approaches based on hormonal therapy, fertility counseling, and psychological support are crucial to improving patient outcomes. As the first case report of Swyer syndrome in Syria, this study underscores the need for heightened clinical awareness of this rare condition and widens the differential diagnosis for primary amenorrhea.

求助全文
通过发布文献求助,成功后即可免费获取论文全文。 去求助
来源期刊
CiteScore
3.20
自引率
0.00%
发文量
555
审稿时长
1 months
期刊介绍: _Journal of International Medical Research_ is a leading international journal for rapid publication of original medical, pre-clinical and clinical research, reviews, preliminary and pilot studies on a page charge basis. As a service to authors, every article accepted by peer review will be given a full technical edit to make papers as accessible and readable to the international medical community as rapidly as possible. Once the technical edit queries have been answered to the satisfaction of the journal, the paper will be published and made available freely to everyone under a creative commons licence. Symposium proceedings, summaries of presentations or collections of medical, pre-clinical or clinical data on a specific topic are welcome for publication as supplements. Print ISSN: 0300-0605
×
引用
GB/T 7714-2015
复制
MLA
复制
APA
复制
导出至
BibTeX EndNote RefMan NoteFirst NoteExpress
×
提示
您的信息不完整,为了账户安全,请先补充。
现在去补充
×
提示
您因"违规操作"
具体请查看互助需知
我知道了
×
提示
确定
请完成安全验证×
copy
已复制链接
快去分享给好友吧!
我知道了
右上角分享
点击右上角分享
0
联系我们:info@booksci.cn Book学术提供免费学术资源搜索服务,方便国内外学者检索中英文文献。致力于提供最便捷和优质的服务体验。 Copyright © 2023 布克学术 All rights reserved.
京ICP备2023020795号-1
ghs 京公网安备 11010802042870号
Book学术文献互助
Book学术文献互助群
群 号:604180095
Book学术官方微信