化疗后非转移性肝实质改变的影像学表现。

IF 1.3 Q3 RADIOLOGY, NUCLEAR MEDICINE & MEDICAL IMAGING
Journal of Clinical Imaging Science Pub Date : 2025-07-02 eCollection Date: 2025-01-01 DOI:10.25259/JCIS_165_2024
San Yu Leung, Wing Tung Chiu, Matthew Ka Ki Law, Ho Ching Amy Wong, Alta Lai, Yiu Shiobhon Luk
{"title":"化疗后非转移性肝实质改变的影像学表现。","authors":"San Yu Leung, Wing Tung Chiu, Matthew Ka Ki Law, Ho Ching Amy Wong, Alta Lai, Yiu Shiobhon Luk","doi":"10.25259/JCIS_165_2024","DOIUrl":null,"url":null,"abstract":"<p><p>The use of chemotherapy has revolutionized the management of cancer in the past decades. Liver toxicity is commonly observed among different types of chemotherapy drugs. The aim of this pictorial review is to illustrate radiological features of various chemotherapy-associated hepatic parenchymal changes in different imaging modalities and to demonstrate potential complications of these liver injury patterns with representative cases. Early recognition of these liver conditions allows prompt clinical action to be taken, thus optimizing management and avoiding severe complications.</p>","PeriodicalId":15512,"journal":{"name":"Journal of Clinical Imaging Science","volume":"15 ","pages":"24"},"PeriodicalIF":1.3000,"publicationDate":"2025-07-02","publicationTypes":"Journal Article","fieldsOfStudy":null,"isOpenAccess":false,"openAccessPdf":"https://www.ncbi.nlm.nih.gov/pmc/articles/PMC12361689/pdf/","citationCount":"0","resultStr":"{\"title\":\"Imaging findings of post-chemotherapy non-metastatic hepatic parenchymal changes.\",\"authors\":\"San Yu Leung, Wing Tung Chiu, Matthew Ka Ki Law, Ho Ching Amy Wong, Alta Lai, Yiu Shiobhon Luk\",\"doi\":\"10.25259/JCIS_165_2024\",\"DOIUrl\":null,\"url\":null,\"abstract\":\"<p><p>The use of chemotherapy has revolutionized the management of cancer in the past decades. Liver toxicity is commonly observed among different types of chemotherapy drugs. The aim of this pictorial review is to illustrate radiological features of various chemotherapy-associated hepatic parenchymal changes in different imaging modalities and to demonstrate potential complications of these liver injury patterns with representative cases. Early recognition of these liver conditions allows prompt clinical action to be taken, thus optimizing management and avoiding severe complications.</p>\",\"PeriodicalId\":15512,\"journal\":{\"name\":\"Journal of Clinical Imaging Science\",\"volume\":\"15 \",\"pages\":\"24\"},\"PeriodicalIF\":1.3000,\"publicationDate\":\"2025-07-02\",\"publicationTypes\":\"Journal Article\",\"fieldsOfStudy\":null,\"isOpenAccess\":false,\"openAccessPdf\":\"https://www.ncbi.nlm.nih.gov/pmc/articles/PMC12361689/pdf/\",\"citationCount\":\"0\",\"resultStr\":null,\"platform\":\"Semanticscholar\",\"paperid\":null,\"PeriodicalName\":\"Journal of Clinical Imaging Science\",\"FirstCategoryId\":\"1085\",\"ListUrlMain\":\"https://doi.org/10.25259/JCIS_165_2024\",\"RegionNum\":0,\"RegionCategory\":null,\"ArticlePicture\":[],\"TitleCN\":null,\"AbstractTextCN\":null,\"PMCID\":null,\"EPubDate\":\"2025/1/1 0:00:00\",\"PubModel\":\"eCollection\",\"JCR\":\"Q3\",\"JCRName\":\"RADIOLOGY, NUCLEAR MEDICINE & MEDICAL IMAGING\",\"Score\":null,\"Total\":0}","platform":"Semanticscholar","paperid":null,"PeriodicalName":"Journal of Clinical Imaging Science","FirstCategoryId":"1085","ListUrlMain":"https://doi.org/10.25259/JCIS_165_2024","RegionNum":0,"RegionCategory":null,"ArticlePicture":[],"TitleCN":null,"AbstractTextCN":null,"PMCID":null,"EPubDate":"2025/1/1 0:00:00","PubModel":"eCollection","JCR":"Q3","JCRName":"RADIOLOGY, NUCLEAR MEDICINE & MEDICAL IMAGING","Score":null,"Total":0}
引用次数: 0

摘要

在过去的几十年里,化疗的使用彻底改变了癌症的治疗。肝毒性在不同类型的化疗药物中普遍存在。这篇图片综述的目的是阐明各种化疗相关肝实质改变在不同成像方式下的放射学特征,并通过代表性病例展示这些肝损伤模式的潜在并发症。早期识别这些肝脏疾病可以及时采取临床行动,从而优化管理并避免严重并发症。
本文章由计算机程序翻译,如有差异,请以英文原文为准。

Imaging findings of post-chemotherapy non-metastatic hepatic parenchymal changes.

Imaging findings of post-chemotherapy non-metastatic hepatic parenchymal changes.

Imaging findings of post-chemotherapy non-metastatic hepatic parenchymal changes.

Imaging findings of post-chemotherapy non-metastatic hepatic parenchymal changes.

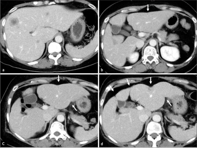
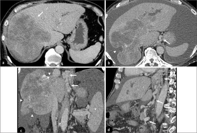
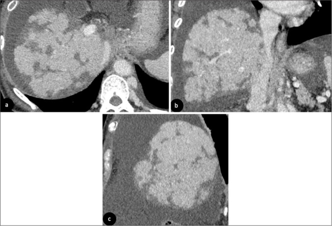
The use of chemotherapy has revolutionized the management of cancer in the past decades. Liver toxicity is commonly observed among different types of chemotherapy drugs. The aim of this pictorial review is to illustrate radiological features of various chemotherapy-associated hepatic parenchymal changes in different imaging modalities and to demonstrate potential complications of these liver injury patterns with representative cases. Early recognition of these liver conditions allows prompt clinical action to be taken, thus optimizing management and avoiding severe complications.

求助全文
通过发布文献求助,成功后即可免费获取论文全文。 去求助
来源期刊
Journal of Clinical Imaging Science
Journal of Clinical Imaging Science RADIOLOGY, NUCLEAR MEDICINE & MEDICAL IMAGING-
CiteScore
2.00
自引率
0.00%
发文量
65
期刊介绍: The Journal of Clinical Imaging Science (JCIS) is an open access peer-reviewed journal committed to publishing high-quality articles in the field of Imaging Science. The journal aims to present Imaging Science and relevant clinical information in an understandable and useful format. The journal is owned and published by the Scientific Scholar. Audience Our audience includes Radiologists, Researchers, Clinicians, medical professionals and students. Review process JCIS has a highly rigorous peer-review process that makes sure that manuscripts are scientifically accurate, relevant, novel and important. Authors disclose all conflicts, affiliations and financial associations such that the published content is not biased.
×
引用
GB/T 7714-2015
复制
MLA
复制
APA
复制
导出至
BibTeX EndNote RefMan NoteFirst NoteExpress
×
提示
您的信息不完整,为了账户安全,请先补充。
现在去补充
×
提示
您因"违规操作"
具体请查看互助需知
我知道了
×
提示
确定
请完成安全验证×
copy
已复制链接
快去分享给好友吧!
我知道了
右上角分享
点击右上角分享
0
联系我们:info@booksci.cn Book学术提供免费学术资源搜索服务,方便国内外学者检索中英文文献。致力于提供最便捷和优质的服务体验。 Copyright © 2023 布克学术 All rights reserved.
京ICP备2023020795号-1
ghs 京公网安备 11010802042870号
Book学术文献互助
Book学术文献互助群
群 号:604180095
Book学术官方微信