注意右心室:处理左室憩室伴脐膨出的右心功能障碍。

IF 1.3 Q3 RADIOLOGY, NUCLEAR MEDICINE & MEDICAL IMAGING
Journal of Clinical Imaging Science Pub Date : 2025-08-05 eCollection Date: 2025-01-01 DOI:10.25259/JCIS_161_2024
Pavana Gokhale, Tanya Mital, Pradeep R Reddy, Poonam Malhotra Kapoor
{"title":"注意右心室:处理左室憩室伴脐膨出的右心功能障碍。","authors":"Pavana Gokhale, Tanya Mital, Pradeep R Reddy, Poonam Malhotra Kapoor","doi":"10.25259/JCIS_161_2024","DOIUrl":null,"url":null,"abstract":"<p><p>Left ventricular diverticulum (LVD) is a rare congenital anomaly characterized by an abnormal outpouching of the left ventricular wall. It is often identified during childhood, as it is commonly associated with midline thoracoabdominal defects and other congenital heart abnormalities. Here, we present a 10-month-old boy with a LVD and omphalocele posted for surgical management who had difficulty weaning in the post-operative period. We discuss the unique challenges that necessitate meticulous planning and execution to optimize right ventricular function and prevent pulmonary arterial hypertension in such patients.</p>","PeriodicalId":15512,"journal":{"name":"Journal of Clinical Imaging Science","volume":"15 ","pages":"29"},"PeriodicalIF":1.3000,"publicationDate":"2025-08-05","publicationTypes":"Journal Article","fieldsOfStudy":null,"isOpenAccess":false,"openAccessPdf":"https://www.ncbi.nlm.nih.gov/pmc/articles/PMC12361658/pdf/","citationCount":"0","resultStr":"{\"title\":\"Mind the right ventricle: Tackling right heart dysfunction in left ventricular diverticulum with omphalocele.\",\"authors\":\"Pavana Gokhale, Tanya Mital, Pradeep R Reddy, Poonam Malhotra Kapoor\",\"doi\":\"10.25259/JCIS_161_2024\",\"DOIUrl\":null,\"url\":null,\"abstract\":\"<p><p>Left ventricular diverticulum (LVD) is a rare congenital anomaly characterized by an abnormal outpouching of the left ventricular wall. It is often identified during childhood, as it is commonly associated with midline thoracoabdominal defects and other congenital heart abnormalities. Here, we present a 10-month-old boy with a LVD and omphalocele posted for surgical management who had difficulty weaning in the post-operative period. We discuss the unique challenges that necessitate meticulous planning and execution to optimize right ventricular function and prevent pulmonary arterial hypertension in such patients.</p>\",\"PeriodicalId\":15512,\"journal\":{\"name\":\"Journal of Clinical Imaging Science\",\"volume\":\"15 \",\"pages\":\"29\"},\"PeriodicalIF\":1.3000,\"publicationDate\":\"2025-08-05\",\"publicationTypes\":\"Journal Article\",\"fieldsOfStudy\":null,\"isOpenAccess\":false,\"openAccessPdf\":\"https://www.ncbi.nlm.nih.gov/pmc/articles/PMC12361658/pdf/\",\"citationCount\":\"0\",\"resultStr\":null,\"platform\":\"Semanticscholar\",\"paperid\":null,\"PeriodicalName\":\"Journal of Clinical Imaging Science\",\"FirstCategoryId\":\"1085\",\"ListUrlMain\":\"https://doi.org/10.25259/JCIS_161_2024\",\"RegionNum\":0,\"RegionCategory\":null,\"ArticlePicture\":[],\"TitleCN\":null,\"AbstractTextCN\":null,\"PMCID\":null,\"EPubDate\":\"2025/1/1 0:00:00\",\"PubModel\":\"eCollection\",\"JCR\":\"Q3\",\"JCRName\":\"RADIOLOGY, NUCLEAR MEDICINE & MEDICAL IMAGING\",\"Score\":null,\"Total\":0}","platform":"Semanticscholar","paperid":null,"PeriodicalName":"Journal of Clinical Imaging Science","FirstCategoryId":"1085","ListUrlMain":"https://doi.org/10.25259/JCIS_161_2024","RegionNum":0,"RegionCategory":null,"ArticlePicture":[],"TitleCN":null,"AbstractTextCN":null,"PMCID":null,"EPubDate":"2025/1/1 0:00:00","PubModel":"eCollection","JCR":"Q3","JCRName":"RADIOLOGY, NUCLEAR MEDICINE & MEDICAL IMAGING","Score":null,"Total":0}
引用次数: 0

摘要

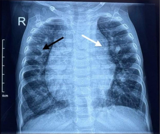
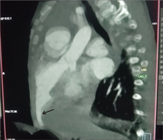
摘要左心室憩室(LVD)是一种罕见的先天性异常,其特征是左心室壁异常突出。它通常在儿童时期被发现,因为它通常与胸腹中线缺陷和其他先天性心脏异常有关。在这里,我们报告了一个10个月大的男婴,他患有下腹部血管病和脐膨出,需要手术治疗,术后断奶困难。我们讨论了独特的挑战,需要细致的规划和执行,以优化右心室功能和预防肺动脉高压在这类患者。
本文章由计算机程序翻译,如有差异,请以英文原文为准。

Mind the right ventricle: Tackling right heart dysfunction in left ventricular diverticulum with omphalocele.

Mind the right ventricle: Tackling right heart dysfunction in left ventricular diverticulum with omphalocele.

Mind the right ventricle: Tackling right heart dysfunction in left ventricular diverticulum with omphalocele.

Mind the right ventricle: Tackling right heart dysfunction in left ventricular diverticulum with omphalocele.

Left ventricular diverticulum (LVD) is a rare congenital anomaly characterized by an abnormal outpouching of the left ventricular wall. It is often identified during childhood, as it is commonly associated with midline thoracoabdominal defects and other congenital heart abnormalities. Here, we present a 10-month-old boy with a LVD and omphalocele posted for surgical management who had difficulty weaning in the post-operative period. We discuss the unique challenges that necessitate meticulous planning and execution to optimize right ventricular function and prevent pulmonary arterial hypertension in such patients.

求助全文
通过发布文献求助,成功后即可免费获取论文全文。 去求助
来源期刊
Journal of Clinical Imaging Science
Journal of Clinical Imaging Science RADIOLOGY, NUCLEAR MEDICINE & MEDICAL IMAGING-
CiteScore
2.00
自引率
0.00%
发文量
65
期刊介绍: The Journal of Clinical Imaging Science (JCIS) is an open access peer-reviewed journal committed to publishing high-quality articles in the field of Imaging Science. The journal aims to present Imaging Science and relevant clinical information in an understandable and useful format. The journal is owned and published by the Scientific Scholar. Audience Our audience includes Radiologists, Researchers, Clinicians, medical professionals and students. Review process JCIS has a highly rigorous peer-review process that makes sure that manuscripts are scientifically accurate, relevant, novel and important. Authors disclose all conflicts, affiliations and financial associations such that the published content is not biased.
×
引用
GB/T 7714-2015
复制
MLA
复制
APA
复制
导出至
BibTeX EndNote RefMan NoteFirst NoteExpress
×
提示
您的信息不完整,为了账户安全,请先补充。
现在去补充
×
提示
您因"违规操作"
具体请查看互助需知
我知道了
×
提示
确定
请完成安全验证×
copy
已复制链接
快去分享给好友吧!
我知道了
右上角分享
点击右上角分享
0
联系我们:info@booksci.cn Book学术提供免费学术资源搜索服务,方便国内外学者检索中英文文献。致力于提供最便捷和优质的服务体验。 Copyright © 2023 布克学术 All rights reserved.
京ICP备2023020795号-1
ghs 京公网安备 11010802042870号
Book学术文献互助
Book学术文献互助群
群 号:604180095
Book学术官方微信