CD39和CD73在乳腺癌中的表达:CD73是her2阳性肿瘤的有利预后因素。

IF 2.4 4区 医学 Q3 ONCOLOGY
Eunhye Kang, Suk-Won Suh, Yoo Shin Choi, Hee Sung Kim, Min Kyoon Kim
{"title":"CD39和CD73在乳腺癌中的表达:CD73是her2阳性肿瘤的有利预后因素。","authors":"Eunhye Kang, Suk-Won Suh, Yoo Shin Choi, Hee Sung Kim, Min Kyoon Kim","doi":"10.4048/jbc.2025.0040","DOIUrl":null,"url":null,"abstract":"<p><strong>Purpose: </strong>CD39 (<i>ENTPD1</i>, ectonucleoside triphosphate diphosphohydrolase-1) and CD73 (<i>NT5E,</i> 5'-nucleotidase) are mediators of adenosine release in the tumor microenvironment (TME), and adenosine has the effect of overcoming anti-tumor immunity. This CD39-CD73-adenosine pathway is thought that play a role in immune suppression and promotion of tumor growth and infiltration. This study investigated the clinical and prognostic significance of CD39 and CD73 in breast cancer.</p><p><strong>Methods: </strong>This study included 472 patients with primary invasive breast cancer who received surgical treatment at the Breast Cancer Clinic at Chung-Ang University Hospital from June 2010 to May 2017. Using a tissue microarray, biomarker immunostaining was performed for CD39 and CD73. We assessed the expression ratio of CD39 and CD73 in breast cancer subgroups, and investigated the association between disease-free survival (DFS) and the expression of CD39 and CD73.</p><p><strong>Results: </strong>The expression ratio of CD39 and CD73 in breast cancer subgroups differed according to hormone receptor status and human epidermal growth factor receptor 2 (HER2) status. In the case of CD39, the high-level rate was increased in estrogen receptor (ER)/progesterone receptor (PR) positive (<i>p</i> = 0.001, <i>p</i> = 0.009), and HER2 negative (<i>p</i> < 0.001) breast cancer. In contrast, in the case of CD73 expressed in tumor-infiltrating lymphocyte (TIL), the expression rate was increased in ER/PR negative (<i>p</i> < 0.001), and HER2 positive (<i>p</i> < 0.001), breast cancer. High CD39 expression was significantly associated with lower stage (<i>p</i> < 0.001), but there was no relationship CD39 expression and survival. In patients with HER2-positive breast cancer, CD73 expression in TIL was associated with lower stage (<i>p</i> = 0.024), and better survival in DFS analysis (<i>p</i> = 0.015).</p><p><strong>Conclusion: </strong>In conclusion, the expression ratio of CD39 and CD73 in breast cancer subgroups differed according to hormone receptor status and HER2 status, and CD73 expression in TILs associated with a trend toward favorable prognosis in HER2 positive breast cancer.</p>","PeriodicalId":15206,"journal":{"name":"Journal of Breast Cancer","volume":"28 4","pages":"255-267"},"PeriodicalIF":2.4000,"publicationDate":"2025-08-01","publicationTypes":"Journal Article","fieldsOfStudy":null,"isOpenAccess":false,"openAccessPdf":"https://www.ncbi.nlm.nih.gov/pmc/articles/PMC12411081/pdf/","citationCount":"0","resultStr":"{\"title\":\"CD39 and CD73 Expression in Breast Cancer: CD73 as a Favorable Prognostic Factor in HER2-Positive Tumors.\",\"authors\":\"Eunhye Kang, Suk-Won Suh, Yoo Shin Choi, Hee Sung Kim, Min Kyoon Kim\",\"doi\":\"10.4048/jbc.2025.0040\",\"DOIUrl\":null,\"url\":null,\"abstract\":\"<p><strong>Purpose: </strong>CD39 (<i>ENTPD1</i>, ectonucleoside triphosphate diphosphohydrolase-1) and CD73 (<i>NT5E,</i> 5'-nucleotidase) are mediators of adenosine release in the tumor microenvironment (TME), and adenosine has the effect of overcoming anti-tumor immunity. This CD39-CD73-adenosine pathway is thought that play a role in immune suppression and promotion of tumor growth and infiltration. This study investigated the clinical and prognostic significance of CD39 and CD73 in breast cancer.</p><p><strong>Methods: </strong>This study included 472 patients with primary invasive breast cancer who received surgical treatment at the Breast Cancer Clinic at Chung-Ang University Hospital from June 2010 to May 2017. Using a tissue microarray, biomarker immunostaining was performed for CD39 and CD73. We assessed the expression ratio of CD39 and CD73 in breast cancer subgroups, and investigated the association between disease-free survival (DFS) and the expression of CD39 and CD73.</p><p><strong>Results: </strong>The expression ratio of CD39 and CD73 in breast cancer subgroups differed according to hormone receptor status and human epidermal growth factor receptor 2 (HER2) status. In the case of CD39, the high-level rate was increased in estrogen receptor (ER)/progesterone receptor (PR) positive (<i>p</i> = 0.001, <i>p</i> = 0.009), and HER2 negative (<i>p</i> < 0.001) breast cancer. In contrast, in the case of CD73 expressed in tumor-infiltrating lymphocyte (TIL), the expression rate was increased in ER/PR negative (<i>p</i> < 0.001), and HER2 positive (<i>p</i> < 0.001), breast cancer. High CD39 expression was significantly associated with lower stage (<i>p</i> < 0.001), but there was no relationship CD39 expression and survival. In patients with HER2-positive breast cancer, CD73 expression in TIL was associated with lower stage (<i>p</i> = 0.024), and better survival in DFS analysis (<i>p</i> = 0.015).</p><p><strong>Conclusion: </strong>In conclusion, the expression ratio of CD39 and CD73 in breast cancer subgroups differed according to hormone receptor status and HER2 status, and CD73 expression in TILs associated with a trend toward favorable prognosis in HER2 positive breast cancer.</p>\",\"PeriodicalId\":15206,\"journal\":{\"name\":\"Journal of Breast Cancer\",\"volume\":\"28 4\",\"pages\":\"255-267\"},\"PeriodicalIF\":2.4000,\"publicationDate\":\"2025-08-01\",\"publicationTypes\":\"Journal Article\",\"fieldsOfStudy\":null,\"isOpenAccess\":false,\"openAccessPdf\":\"https://www.ncbi.nlm.nih.gov/pmc/articles/PMC12411081/pdf/\",\"citationCount\":\"0\",\"resultStr\":null,\"platform\":\"Semanticscholar\",\"paperid\":null,\"PeriodicalName\":\"Journal of Breast Cancer\",\"FirstCategoryId\":\"3\",\"ListUrlMain\":\"https://doi.org/10.4048/jbc.2025.0040\",\"RegionNum\":4,\"RegionCategory\":\"医学\",\"ArticlePicture\":[],\"TitleCN\":null,\"AbstractTextCN\":null,\"PMCID\":null,\"EPubDate\":\"\",\"PubModel\":\"\",\"JCR\":\"Q3\",\"JCRName\":\"ONCOLOGY\",\"Score\":null,\"Total\":0}","platform":"Semanticscholar","paperid":null,"PeriodicalName":"Journal of Breast Cancer","FirstCategoryId":"3","ListUrlMain":"https://doi.org/10.4048/jbc.2025.0040","RegionNum":4,"RegionCategory":"医学","ArticlePicture":[],"TitleCN":null,"AbstractTextCN":null,"PMCID":null,"EPubDate":"","PubModel":"","JCR":"Q3","JCRName":"ONCOLOGY","Score":null,"Total":0}
引用次数: 0

摘要

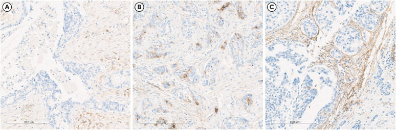
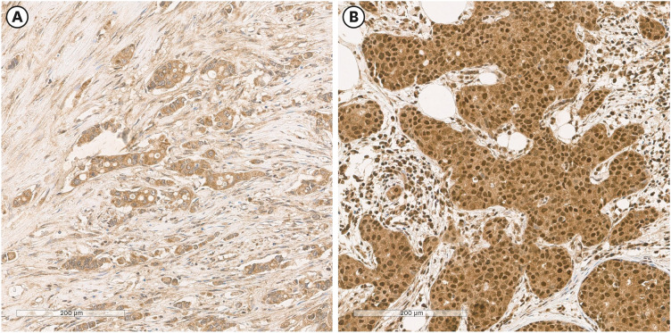
目的:CD39 (ENTPD1,外核苷三磷酸二磷酸水解酶-1)和CD73 (NT5E, 5′-核苷酸酶)是肿瘤微环境(TME)中腺苷释放的介质,腺苷具有克服抗肿瘤免疫的作用。这种cd39 - cd73 -腺苷途径被认为在免疫抑制和促进肿瘤生长和浸润中发挥作用。本研究探讨CD39和CD73在乳腺癌中的临床及预后意义。方法:本研究纳入2010年6月至2017年5月在中央大学医院乳腺癌门诊接受手术治疗的472例原发性浸润性乳腺癌患者。使用组织微阵列,对CD39和CD73进行生物标志物免疫染色。我们评估了CD39和CD73在乳腺癌亚组中的表达比例,并研究了CD39和CD73表达与无病生存期(DFS)的关系。结果:CD39和CD73在乳腺癌亚组中的表达比例因激素受体状态和人表皮生长因子受体2 (HER2)状态的不同而不同。在CD39的情况下,雌激素受体(ER)/孕激素受体(PR)阳性(p = 0.001, p = 0.009)和HER2阴性(p < 0.001)乳腺癌的高水平率增加。相比之下,CD73在肿瘤浸润淋巴细胞(TIL)中表达,在ER/PR阴性(p < 0.001)和HER2阳性(p < 0.001)的乳腺癌中表达率升高。CD39高表达与低分期显著相关(p < 0.001),但与生存率无相关性。在her2阳性乳腺癌患者中,TIL中CD73表达与分期较低相关(p = 0.024), DFS分析中CD73表达与生存率较高相关(p = 0.015)。结论:综上所述,CD39和CD73在乳腺癌亚组中的表达比例因激素受体状态和HER2状态的不同而不同,CD73在TILs中的表达与HER2阳性乳腺癌预后良好的趋势相关。
本文章由计算机程序翻译,如有差异,请以英文原文为准。

CD39 and CD73 Expression in Breast Cancer: CD73 as a Favorable Prognostic Factor in HER2-Positive Tumors.

CD39 and CD73 Expression in Breast Cancer: CD73 as a Favorable Prognostic Factor in HER2-Positive Tumors.

CD39 and CD73 Expression in Breast Cancer: CD73 as a Favorable Prognostic Factor in HER2-Positive Tumors.

CD39 and CD73 Expression in Breast Cancer: CD73 as a Favorable Prognostic Factor in HER2-Positive Tumors.

Purpose: CD39 (ENTPD1, ectonucleoside triphosphate diphosphohydrolase-1) and CD73 (NT5E, 5'-nucleotidase) are mediators of adenosine release in the tumor microenvironment (TME), and adenosine has the effect of overcoming anti-tumor immunity. This CD39-CD73-adenosine pathway is thought that play a role in immune suppression and promotion of tumor growth and infiltration. This study investigated the clinical and prognostic significance of CD39 and CD73 in breast cancer.

Methods: This study included 472 patients with primary invasive breast cancer who received surgical treatment at the Breast Cancer Clinic at Chung-Ang University Hospital from June 2010 to May 2017. Using a tissue microarray, biomarker immunostaining was performed for CD39 and CD73. We assessed the expression ratio of CD39 and CD73 in breast cancer subgroups, and investigated the association between disease-free survival (DFS) and the expression of CD39 and CD73.

Results: The expression ratio of CD39 and CD73 in breast cancer subgroups differed according to hormone receptor status and human epidermal growth factor receptor 2 (HER2) status. In the case of CD39, the high-level rate was increased in estrogen receptor (ER)/progesterone receptor (PR) positive (p = 0.001, p = 0.009), and HER2 negative (p < 0.001) breast cancer. In contrast, in the case of CD73 expressed in tumor-infiltrating lymphocyte (TIL), the expression rate was increased in ER/PR negative (p < 0.001), and HER2 positive (p < 0.001), breast cancer. High CD39 expression was significantly associated with lower stage (p < 0.001), but there was no relationship CD39 expression and survival. In patients with HER2-positive breast cancer, CD73 expression in TIL was associated with lower stage (p = 0.024), and better survival in DFS analysis (p = 0.015).

Conclusion: In conclusion, the expression ratio of CD39 and CD73 in breast cancer subgroups differed according to hormone receptor status and HER2 status, and CD73 expression in TILs associated with a trend toward favorable prognosis in HER2 positive breast cancer.

求助全文
通过发布文献求助,成功后即可免费获取论文全文。 去求助
来源期刊
Journal of Breast Cancer
Journal of Breast Cancer 医学-肿瘤学
CiteScore
3.80
自引率
4.20%
发文量
43
审稿时长
6-12 weeks
期刊介绍: The Journal of Breast Cancer (abbreviated as ''J Breast Cancer'') is the official journal of the Korean Breast Cancer Society, which is issued quarterly in the last day of March, June, September, and December each year since 1998. All the contents of the Journal is available online at the official journal website (http://ejbc.kr) under open access policy. The journal aims to provide a forum for the academic communication between medical doctors, basic science researchers, and health care professionals to be interested in breast cancer. To get this aim, we publish original investigations, review articles, brief communications including case reports, editorial opinions on the topics of importance to breast cancer, and welcome new research findings and epidemiological studies, especially when they contain a regional data to grab the international reader''s interest. Although the journal is mainly dealing with the issues of breast cancer, rare cases among benign breast diseases or evidence-based scientifically written articles providing useful information for clinical practice can be published as well.
×
引用
GB/T 7714-2015
复制
MLA
复制
APA
复制
导出至
BibTeX EndNote RefMan NoteFirst NoteExpress
×
提示
您的信息不完整,为了账户安全,请先补充。
现在去补充
×
提示
您因"违规操作"
具体请查看互助需知
我知道了
×
提示
确定
请完成安全验证×
copy
已复制链接
快去分享给好友吧!
我知道了
右上角分享
点击右上角分享
0
联系我们:info@booksci.cn Book学术提供免费学术资源搜索服务,方便国内外学者检索中英文文献。致力于提供最便捷和优质的服务体验。 Copyright © 2023 布克学术 All rights reserved.
京ICP备2023020795号-1
ghs 京公网安备 11010802042870号
Book学术文献互助
Book学术文献互助群
群 号:604180095
Book学术官方微信