巨大右心房黏液瘤起源于肝上下腔静脉,延伸至右心房;病例报告及文献复习。

IF 1.5 4区 医学 Q3 CARDIAC & CARDIOVASCULAR SYSTEMS
Ahmad K Darwazah, Maroun Helou, Younis Yasin, Raed Masalma, Anas Tuqan, Anas Barabrah, Basel Zaben, Bashar Yaghi, Moath Nairat, Hasan Al-Zammar, Abdelhalim Abu Haltam
{"title":"巨大右心房黏液瘤起源于肝上下腔静脉,延伸至右心房;病例报告及文献复习。","authors":"Ahmad K Darwazah, Maroun Helou, Younis Yasin, Raed Masalma, Anas Tuqan, Anas Barabrah, Basel Zaben, Bashar Yaghi, Moath Nairat, Hasan Al-Zammar, Abdelhalim Abu Haltam","doi":"10.1186/s13019-025-03492-w","DOIUrl":null,"url":null,"abstract":"<p><p>Atrial myxomas are the most common primary cardiac tumors. In 20% of cases, they arise from the right atrium. Only a few such tumors are reported to have arisen from the inferior vena cava. We present the case of a 20-year-old female with recurrent vomiting and supraventricular tachycardia (SVT), found to have a massive myxoma emerging from the suprahepatic Inferior vena cava (IVC) involving the eustachian valve, and extending to the right atrium. Surgical excision was successful, leading to an uneventful recovery. This case underscores the importance of prompt diagnosis and surgical intervention in managing right atrial myxomas to prevent potential complications such as embolism and sudden death.</p>","PeriodicalId":15201,"journal":{"name":"Journal of Cardiothoracic Surgery","volume":"20 1","pages":"349"},"PeriodicalIF":1.5000,"publicationDate":"2025-08-30","publicationTypes":"Journal Article","fieldsOfStudy":null,"isOpenAccess":false,"openAccessPdf":"https://www.ncbi.nlm.nih.gov/pmc/articles/PMC12398067/pdf/","citationCount":"0","resultStr":"{\"title\":\"Giant right atrial myxoma emerging from the suprahepatic inferior vena cava, extending to the right atrium; a case report and literature review.\",\"authors\":\"Ahmad K Darwazah, Maroun Helou, Younis Yasin, Raed Masalma, Anas Tuqan, Anas Barabrah, Basel Zaben, Bashar Yaghi, Moath Nairat, Hasan Al-Zammar, Abdelhalim Abu Haltam\",\"doi\":\"10.1186/s13019-025-03492-w\",\"DOIUrl\":null,\"url\":null,\"abstract\":\"<p><p>Atrial myxomas are the most common primary cardiac tumors. In 20% of cases, they arise from the right atrium. Only a few such tumors are reported to have arisen from the inferior vena cava. We present the case of a 20-year-old female with recurrent vomiting and supraventricular tachycardia (SVT), found to have a massive myxoma emerging from the suprahepatic Inferior vena cava (IVC) involving the eustachian valve, and extending to the right atrium. Surgical excision was successful, leading to an uneventful recovery. This case underscores the importance of prompt diagnosis and surgical intervention in managing right atrial myxomas to prevent potential complications such as embolism and sudden death.</p>\",\"PeriodicalId\":15201,\"journal\":{\"name\":\"Journal of Cardiothoracic Surgery\",\"volume\":\"20 1\",\"pages\":\"349\"},\"PeriodicalIF\":1.5000,\"publicationDate\":\"2025-08-30\",\"publicationTypes\":\"Journal Article\",\"fieldsOfStudy\":null,\"isOpenAccess\":false,\"openAccessPdf\":\"https://www.ncbi.nlm.nih.gov/pmc/articles/PMC12398067/pdf/\",\"citationCount\":\"0\",\"resultStr\":null,\"platform\":\"Semanticscholar\",\"paperid\":null,\"PeriodicalName\":\"Journal of Cardiothoracic Surgery\",\"FirstCategoryId\":\"3\",\"ListUrlMain\":\"https://doi.org/10.1186/s13019-025-03492-w\",\"RegionNum\":4,\"RegionCategory\":\"医学\",\"ArticlePicture\":[],\"TitleCN\":null,\"AbstractTextCN\":null,\"PMCID\":null,\"EPubDate\":\"\",\"PubModel\":\"\",\"JCR\":\"Q3\",\"JCRName\":\"CARDIAC & CARDIOVASCULAR SYSTEMS\",\"Score\":null,\"Total\":0}","platform":"Semanticscholar","paperid":null,"PeriodicalName":"Journal of Cardiothoracic Surgery","FirstCategoryId":"3","ListUrlMain":"https://doi.org/10.1186/s13019-025-03492-w","RegionNum":4,"RegionCategory":"医学","ArticlePicture":[],"TitleCN":null,"AbstractTextCN":null,"PMCID":null,"EPubDate":"","PubModel":"","JCR":"Q3","JCRName":"CARDIAC & CARDIOVASCULAR SYSTEMS","Score":null,"Total":0}
引用次数: 0

摘要

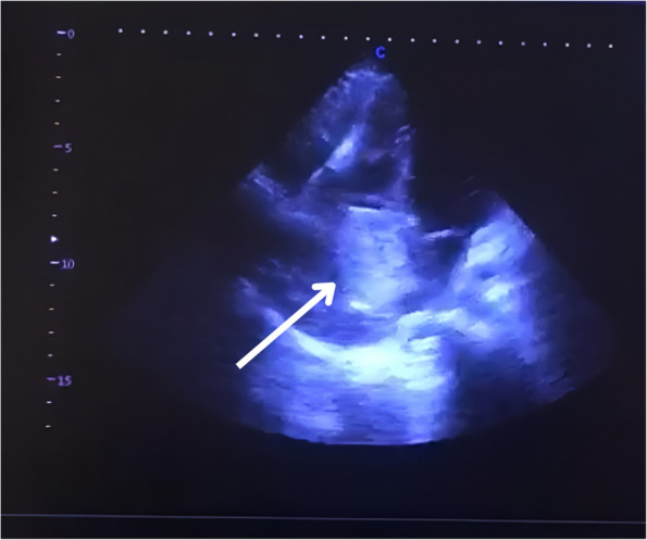
心房黏液瘤是最常见的原发性心脏肿瘤。20%的病例起源于右心房。据报道,只有少数此类肿瘤起源于下腔静脉。我们报告一例20岁女性复发性呕吐和室上心动过速(SVT),发现有一个巨大的黏液瘤出现在肝上下腔静脉(IVC),累及咽鼓管瓣膜,并延伸到右心房。手术切除是成功的,导致平静的恢复。本病例强调了及时诊断和手术干预治疗右心房黏液瘤的重要性,以防止潜在的并发症,如栓塞和猝死。
本文章由计算机程序翻译,如有差异,请以英文原文为准。

Giant right atrial myxoma emerging from the suprahepatic inferior vena cava, extending to the right atrium; a case report and literature review.

Giant right atrial myxoma emerging from the suprahepatic inferior vena cava, extending to the right atrium; a case report and literature review.

Giant right atrial myxoma emerging from the suprahepatic inferior vena cava, extending to the right atrium; a case report and literature review.

Giant right atrial myxoma emerging from the suprahepatic inferior vena cava, extending to the right atrium; a case report and literature review.

Atrial myxomas are the most common primary cardiac tumors. In 20% of cases, they arise from the right atrium. Only a few such tumors are reported to have arisen from the inferior vena cava. We present the case of a 20-year-old female with recurrent vomiting and supraventricular tachycardia (SVT), found to have a massive myxoma emerging from the suprahepatic Inferior vena cava (IVC) involving the eustachian valve, and extending to the right atrium. Surgical excision was successful, leading to an uneventful recovery. This case underscores the importance of prompt diagnosis and surgical intervention in managing right atrial myxomas to prevent potential complications such as embolism and sudden death.

求助全文
通过发布文献求助,成功后即可免费获取论文全文。 去求助
来源期刊
Journal of Cardiothoracic Surgery
Journal of Cardiothoracic Surgery 医学-心血管系统
CiteScore
2.50
自引率
6.20%
发文量
286
审稿时长
4-8 weeks
期刊介绍: Journal of Cardiothoracic Surgery is an open access journal that encompasses all aspects of research in the field of Cardiology, and Cardiothoracic and Vascular Surgery. The journal publishes original scientific research documenting clinical and experimental advances in cardiac, vascular and thoracic surgery, and related fields. Topics of interest include surgical techniques, survival rates, surgical complications and their outcomes; along with basic sciences, pediatric conditions, transplantations and clinical trials. Journal of Cardiothoracic Surgery is of interest to cardiothoracic and vascular surgeons, cardiothoracic anaesthesiologists, cardiologists, chest physicians, and allied health professionals.
×
引用
GB/T 7714-2015
复制
MLA
复制
APA
复制
导出至
BibTeX EndNote RefMan NoteFirst NoteExpress
×
提示
您的信息不完整,为了账户安全,请先补充。
现在去补充
×
提示
您因"违规操作"
具体请查看互助需知
我知道了
×
提示
确定
请完成安全验证×
copy
已复制链接
快去分享给好友吧!
我知道了
右上角分享
点击右上角分享
0
联系我们:info@booksci.cn Book学术提供免费学术资源搜索服务,方便国内外学者检索中英文文献。致力于提供最便捷和优质的服务体验。 Copyright © 2023 布克学术 All rights reserved.
京ICP备2023020795号-1
ghs 京公网安备 11010802042870号
Book学术文献互助
Book学术文献互助群
群 号:604180095
Book学术官方微信