相互作用灌注降低DeBakey I型急性主动脉夹层修复中最大假腔面积比的研究。

IF 0.7 Q3 CARDIAC & CARDIOVASCULAR SYSTEMS
Journal of Cardiovascular and Thoracic Research Pub Date : 2025-06-28 eCollection Date: 2025-06-01 DOI:10.34172/jcvtr.025.33215
Qin Jiang, Shanshan Lin, Xiaoxiao Gou, Tao Yu, Keli Huang, Shengshou Hu
{"title":"相互作用灌注降低DeBakey I型急性主动脉夹层修复中最大假腔面积比的研究。","authors":"Qin Jiang, Shanshan Lin, Xiaoxiao Gou, Tao Yu, Keli Huang, Shengshou Hu","doi":"10.34172/jcvtr.025.33215","DOIUrl":null,"url":null,"abstract":"<p><strong>Introduction: </strong>Acknowledging lacking of recognition on postoperative aortic remodeling by intraoperative transition of cannulation perfusion mode during the open repair surgery of DeBakey type I acute aortic dissection (AAD), this study aims to investigate the effect of interactive cannulation strategy on the maximum false lumen area (MFLA) ratio.</p><p><strong>Methods: </strong>A total of 321 AAD patients were retrospectively reviewed from March 2017 to March 2023, of which 166 patients receiving peripheral cannulation (PC, right axillary and femoral artery) and 155 patients receiving peripheral-to-centric cannulation (PCC, transition from right axillary and femoral artery to one branch of the tetrafurcated graft). The primary outcome was postoperative MFLA ratio in descending thoracic aorta. Secondary outcomes were postoperative inflammation response and anaerobic metabolism, hepatorenal dysfunction, and the ostium condition of branch artery of abdominal aorta involved by false lumen.</p><p><strong>Results: </strong>There was a lower postoperative MFLA ratio in PCC group than that in PC group, respectively (0.36±0.11 vs. 0.44±0.13, <i>P</i><0.001). The abdominal branch arteries involved by false lumen was also deceased in PCC group. There was also a lower serum inflammation response (24 hours, hr-CRP: 111.8±14.1mg/L vs. 116.8±15.0mg/L, <i>P</i>=0.002; IL-6: 104.4±49.9pg/ml vs. 124.0±50.1pg/ml, <i>P</i><0.001), anaerobic metabolism (8 hours, lactate: 8.3±1.5mmol/L vs. 8.8±1.6mmol/L, <i>P</i>=0.002), impaired liver function (15.5% vs. 39.8%, <i>P</i><0.001) and need for renal replacement therapy (10.3% vs. 20.5%, <i>P</i>=0.012) in PCC group than those in PC group.</p><p><strong>Conclusion: </strong>Interactive cannulation with prompt transition from peripheral artery to centric perfusion during surgical repair of AAD was associated with the reduction of MFLA and hepatorenal dysfunction.</p>","PeriodicalId":15207,"journal":{"name":"Journal of Cardiovascular and Thoracic Research","volume":"17 2","pages":"121-127"},"PeriodicalIF":0.7000,"publicationDate":"2025-06-28","publicationTypes":"Journal Article","fieldsOfStudy":null,"isOpenAccess":false,"openAccessPdf":"https://www.ncbi.nlm.nih.gov/pmc/articles/PMC12375426/pdf/","citationCount":"0","resultStr":"{\"title\":\"Reduction of maximal false lumen area ratio by interactive cannulation perfusion in DeBakey type I acute aortic dissection repair.\",\"authors\":\"Qin Jiang, Shanshan Lin, Xiaoxiao Gou, Tao Yu, Keli Huang, Shengshou Hu\",\"doi\":\"10.34172/jcvtr.025.33215\",\"DOIUrl\":null,\"url\":null,\"abstract\":\"<p><strong>Introduction: </strong>Acknowledging lacking of recognition on postoperative aortic remodeling by intraoperative transition of cannulation perfusion mode during the open repair surgery of DeBakey type I acute aortic dissection (AAD), this study aims to investigate the effect of interactive cannulation strategy on the maximum false lumen area (MFLA) ratio.</p><p><strong>Methods: </strong>A total of 321 AAD patients were retrospectively reviewed from March 2017 to March 2023, of which 166 patients receiving peripheral cannulation (PC, right axillary and femoral artery) and 155 patients receiving peripheral-to-centric cannulation (PCC, transition from right axillary and femoral artery to one branch of the tetrafurcated graft). The primary outcome was postoperative MFLA ratio in descending thoracic aorta. Secondary outcomes were postoperative inflammation response and anaerobic metabolism, hepatorenal dysfunction, and the ostium condition of branch artery of abdominal aorta involved by false lumen.</p><p><strong>Results: </strong>There was a lower postoperative MFLA ratio in PCC group than that in PC group, respectively (0.36±0.11 vs. 0.44±0.13, <i>P</i><0.001). The abdominal branch arteries involved by false lumen was also deceased in PCC group. There was also a lower serum inflammation response (24 hours, hr-CRP: 111.8±14.1mg/L vs. 116.8±15.0mg/L, <i>P</i>=0.002; IL-6: 104.4±49.9pg/ml vs. 124.0±50.1pg/ml, <i>P</i><0.001), anaerobic metabolism (8 hours, lactate: 8.3±1.5mmol/L vs. 8.8±1.6mmol/L, <i>P</i>=0.002), impaired liver function (15.5% vs. 39.8%, <i>P</i><0.001) and need for renal replacement therapy (10.3% vs. 20.5%, <i>P</i>=0.012) in PCC group than those in PC group.</p><p><strong>Conclusion: </strong>Interactive cannulation with prompt transition from peripheral artery to centric perfusion during surgical repair of AAD was associated with the reduction of MFLA and hepatorenal dysfunction.</p>\",\"PeriodicalId\":15207,\"journal\":{\"name\":\"Journal of Cardiovascular and Thoracic Research\",\"volume\":\"17 2\",\"pages\":\"121-127\"},\"PeriodicalIF\":0.7000,\"publicationDate\":\"2025-06-28\",\"publicationTypes\":\"Journal Article\",\"fieldsOfStudy\":null,\"isOpenAccess\":false,\"openAccessPdf\":\"https://www.ncbi.nlm.nih.gov/pmc/articles/PMC12375426/pdf/\",\"citationCount\":\"0\",\"resultStr\":null,\"platform\":\"Semanticscholar\",\"paperid\":null,\"PeriodicalName\":\"Journal of Cardiovascular and Thoracic Research\",\"FirstCategoryId\":\"1085\",\"ListUrlMain\":\"https://doi.org/10.34172/jcvtr.025.33215\",\"RegionNum\":0,\"RegionCategory\":null,\"ArticlePicture\":[],\"TitleCN\":null,\"AbstractTextCN\":null,\"PMCID\":null,\"EPubDate\":\"2025/6/1 0:00:00\",\"PubModel\":\"eCollection\",\"JCR\":\"Q3\",\"JCRName\":\"CARDIAC & CARDIOVASCULAR SYSTEMS\",\"Score\":null,\"Total\":0}","platform":"Semanticscholar","paperid":null,"PeriodicalName":"Journal of Cardiovascular and Thoracic Research","FirstCategoryId":"1085","ListUrlMain":"https://doi.org/10.34172/jcvtr.025.33215","RegionNum":0,"RegionCategory":null,"ArticlePicture":[],"TitleCN":null,"AbstractTextCN":null,"PMCID":null,"EPubDate":"2025/6/1 0:00:00","PubModel":"eCollection","JCR":"Q3","JCRName":"CARDIAC & CARDIOVASCULAR SYSTEMS","Score":null,"Total":0}
引用次数: 0

摘要

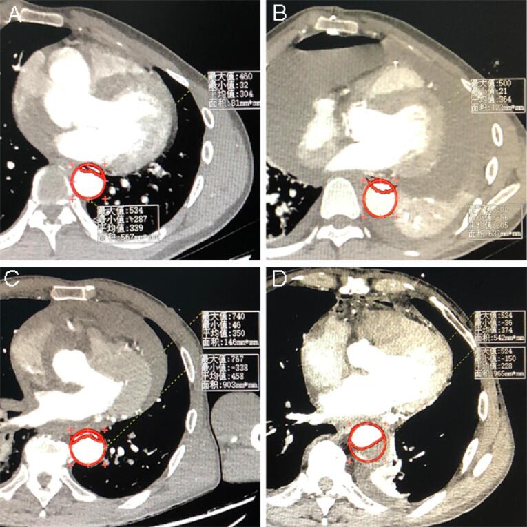
导论:在DeBakey I型急性主动脉夹层(AAD)开放性修复手术中,术中切换插管灌注模式对术后主动脉重构的认识不足,本研究旨在探讨互动式插管策略对最大假腔面积(MFLA)比的影响。方法:回顾性分析2017年3月至2023年3月共321例AAD患者,其中166例患者接受外周插管(PC、右腋窝和股动脉),155例患者接受外周到中心插管(PCC,从右腋窝和股动脉过渡到四通移植的一个分支)。主要观察指标为术后胸降主动脉MFLA比值。次要结局为术后炎症反应及无氧代谢、肝肾功能障碍、假腔累及腹主动脉支动脉口情况。结果:PCC组术后MFLA比值分别低于PC组(0.36±0.11比0.44±0.13,PP=0.002; IL-6: 104.4±49.9pg/ml比124.0±50.1pg/ml, PP=0.002),肝功能受损(15.5%比39.8%,PP=0.012)。结论:在AAD手术修复过程中,外周动脉灌注及时过渡到中心灌注的相互作用插管与MFLA和肝肾功能障碍的减少有关。
本文章由计算机程序翻译,如有差异,请以英文原文为准。

Reduction of maximal false lumen area ratio by interactive cannulation perfusion in DeBakey type I acute aortic dissection repair.

Reduction of maximal false lumen area ratio by interactive cannulation perfusion in DeBakey type I acute aortic dissection repair.

Reduction of maximal false lumen area ratio by interactive cannulation perfusion in DeBakey type I acute aortic dissection repair.

Reduction of maximal false lumen area ratio by interactive cannulation perfusion in DeBakey type I acute aortic dissection repair.

Introduction: Acknowledging lacking of recognition on postoperative aortic remodeling by intraoperative transition of cannulation perfusion mode during the open repair surgery of DeBakey type I acute aortic dissection (AAD), this study aims to investigate the effect of interactive cannulation strategy on the maximum false lumen area (MFLA) ratio.

Methods: A total of 321 AAD patients were retrospectively reviewed from March 2017 to March 2023, of which 166 patients receiving peripheral cannulation (PC, right axillary and femoral artery) and 155 patients receiving peripheral-to-centric cannulation (PCC, transition from right axillary and femoral artery to one branch of the tetrafurcated graft). The primary outcome was postoperative MFLA ratio in descending thoracic aorta. Secondary outcomes were postoperative inflammation response and anaerobic metabolism, hepatorenal dysfunction, and the ostium condition of branch artery of abdominal aorta involved by false lumen.

Results: There was a lower postoperative MFLA ratio in PCC group than that in PC group, respectively (0.36±0.11 vs. 0.44±0.13, P<0.001). The abdominal branch arteries involved by false lumen was also deceased in PCC group. There was also a lower serum inflammation response (24 hours, hr-CRP: 111.8±14.1mg/L vs. 116.8±15.0mg/L, P=0.002; IL-6: 104.4±49.9pg/ml vs. 124.0±50.1pg/ml, P<0.001), anaerobic metabolism (8 hours, lactate: 8.3±1.5mmol/L vs. 8.8±1.6mmol/L, P=0.002), impaired liver function (15.5% vs. 39.8%, P<0.001) and need for renal replacement therapy (10.3% vs. 20.5%, P=0.012) in PCC group than those in PC group.

Conclusion: Interactive cannulation with prompt transition from peripheral artery to centric perfusion during surgical repair of AAD was associated with the reduction of MFLA and hepatorenal dysfunction.

求助全文
通过发布文献求助,成功后即可免费获取论文全文。 去求助
来源期刊
Journal of Cardiovascular and Thoracic Research
Journal of Cardiovascular and Thoracic Research CARDIAC & CARDIOVASCULAR SYSTEMS-
CiteScore
2.00
自引率
0.00%
发文量
22
审稿时长
7 weeks
×
引用
GB/T 7714-2015
复制
MLA
复制
APA
复制
导出至
BibTeX EndNote RefMan NoteFirst NoteExpress
×
提示
您的信息不完整,为了账户安全,请先补充。
现在去补充
×
提示
您因"违规操作"
具体请查看互助需知
我知道了
×
提示
确定
请完成安全验证×
copy
已复制链接
快去分享给好友吧!
我知道了
右上角分享
点击右上角分享
0
联系我们:info@booksci.cn Book学术提供免费学术资源搜索服务,方便国内外学者检索中英文文献。致力于提供最便捷和优质的服务体验。 Copyright © 2023 布克学术 All rights reserved.
京ICP备2023020795号-1
ghs 京公网安备 11010802042870号
Book学术文献互助
Book学术文献互助群
群 号:604180095
Book学术官方微信