原发性心脏血管肉瘤-诊断过山车直到死亡。

IF 0.7 Q3 CARDIAC & CARDIOVASCULAR SYSTEMS
Journal of Cardiovascular and Thoracic Research Pub Date : 2025-06-28 eCollection Date: 2025-06-01 DOI:10.34172/jcvtr.025.33285
Bhupendra Kumar Sihag, Ajay Bahl, Sarthak Wadhera, Arnav Aggarwal, Mohsin Raj Mantoo, Atit A Gawalkar
{"title":"原发性心脏血管肉瘤-诊断过山车直到死亡。","authors":"Bhupendra Kumar Sihag, Ajay Bahl, Sarthak Wadhera, Arnav Aggarwal, Mohsin Raj Mantoo, Atit A Gawalkar","doi":"10.34172/jcvtr.025.33285","DOIUrl":null,"url":null,"abstract":"<p><p>A 28-year-old male with a relatively short history of progressive dyspnea and a large pericardial effusion with tamponade was found to have an intracardiac mass localized in right atrium (RA) on echocardiography. Multimodality imaging revealed an irregular mass abutting the lateral wall of RA, with infiltration into surrounding pericardium and superior venacava. Positron emission tomography (PET) scan confirmed the mass as metabolically active lesion, along with uptake in mediastinal structures and lymph nodes. After an unrewarding percutaneous endomyocardial biopsy, open surgical biopsy was performed. Histologic examination confirmed the diagnosis of cardiac angiosarcoma. Unfortunately, patient had refractory shock and recurrent massive pericardial effusion (hemorrhagic) after biopsy and succumbed. The case highlights diagnostic dilemma of pericardial effusion in tuberculosis-endemic areas, role of multi-modality imaging in confirming cardiac malignancy and poor outcome of such patients.</p>","PeriodicalId":15207,"journal":{"name":"Journal of Cardiovascular and Thoracic Research","volume":"17 2","pages":"139-142"},"PeriodicalIF":0.7000,"publicationDate":"2025-06-28","publicationTypes":"Journal Article","fieldsOfStudy":null,"isOpenAccess":false,"openAccessPdf":"https://www.ncbi.nlm.nih.gov/pmc/articles/PMC12375422/pdf/","citationCount":"0","resultStr":"{\"title\":\"Primary cardiac angiosarcoma - a diagnostic roller-coaster till fatality.\",\"authors\":\"Bhupendra Kumar Sihag, Ajay Bahl, Sarthak Wadhera, Arnav Aggarwal, Mohsin Raj Mantoo, Atit A Gawalkar\",\"doi\":\"10.34172/jcvtr.025.33285\",\"DOIUrl\":null,\"url\":null,\"abstract\":\"<p><p>A 28-year-old male with a relatively short history of progressive dyspnea and a large pericardial effusion with tamponade was found to have an intracardiac mass localized in right atrium (RA) on echocardiography. Multimodality imaging revealed an irregular mass abutting the lateral wall of RA, with infiltration into surrounding pericardium and superior venacava. Positron emission tomography (PET) scan confirmed the mass as metabolically active lesion, along with uptake in mediastinal structures and lymph nodes. After an unrewarding percutaneous endomyocardial biopsy, open surgical biopsy was performed. Histologic examination confirmed the diagnosis of cardiac angiosarcoma. Unfortunately, patient had refractory shock and recurrent massive pericardial effusion (hemorrhagic) after biopsy and succumbed. The case highlights diagnostic dilemma of pericardial effusion in tuberculosis-endemic areas, role of multi-modality imaging in confirming cardiac malignancy and poor outcome of such patients.</p>\",\"PeriodicalId\":15207,\"journal\":{\"name\":\"Journal of Cardiovascular and Thoracic Research\",\"volume\":\"17 2\",\"pages\":\"139-142\"},\"PeriodicalIF\":0.7000,\"publicationDate\":\"2025-06-28\",\"publicationTypes\":\"Journal Article\",\"fieldsOfStudy\":null,\"isOpenAccess\":false,\"openAccessPdf\":\"https://www.ncbi.nlm.nih.gov/pmc/articles/PMC12375422/pdf/\",\"citationCount\":\"0\",\"resultStr\":null,\"platform\":\"Semanticscholar\",\"paperid\":null,\"PeriodicalName\":\"Journal of Cardiovascular and Thoracic Research\",\"FirstCategoryId\":\"1085\",\"ListUrlMain\":\"https://doi.org/10.34172/jcvtr.025.33285\",\"RegionNum\":0,\"RegionCategory\":null,\"ArticlePicture\":[],\"TitleCN\":null,\"AbstractTextCN\":null,\"PMCID\":null,\"EPubDate\":\"2025/6/1 0:00:00\",\"PubModel\":\"eCollection\",\"JCR\":\"Q3\",\"JCRName\":\"CARDIAC & CARDIOVASCULAR SYSTEMS\",\"Score\":null,\"Total\":0}","platform":"Semanticscholar","paperid":null,"PeriodicalName":"Journal of Cardiovascular and Thoracic Research","FirstCategoryId":"1085","ListUrlMain":"https://doi.org/10.34172/jcvtr.025.33285","RegionNum":0,"RegionCategory":null,"ArticlePicture":[],"TitleCN":null,"AbstractTextCN":null,"PMCID":null,"EPubDate":"2025/6/1 0:00:00","PubModel":"eCollection","JCR":"Q3","JCRName":"CARDIAC & CARDIOVASCULAR SYSTEMS","Score":null,"Total":0}
引用次数: 0

摘要

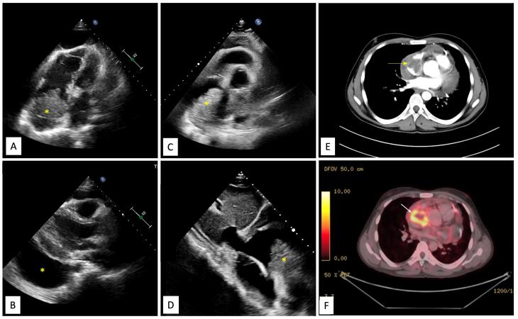
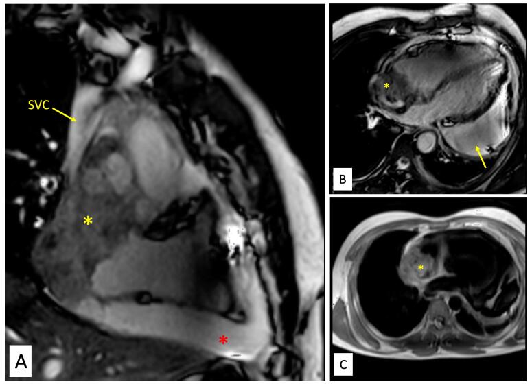
一位28岁男性,有较短的进行性呼吸困难病史,心包大量积液伴心包填塞,超声心动图检查发现右心房有心内肿块。多模态影像显示不规则肿块邻近RA外侧壁,浸润周围心包及上腔静脉。正电子发射断层扫描(PET)证实肿块为代谢活跃病变,并伴有纵隔结构和淋巴结的摄取。经皮心肌膜活检无效后,行开放性手术活检。组织学检查证实为心脏血管肉瘤。不幸的是,患者在活检后出现难治性休克和复发性大量心包积液(出血性)而死亡。该病例强调了结核流行地区心包积液的诊断困境,多模态成像在确认心脏恶性肿瘤中的作用以及此类患者的不良预后。
本文章由计算机程序翻译,如有差异,请以英文原文为准。

Primary cardiac angiosarcoma - a diagnostic roller-coaster till fatality.

Primary cardiac angiosarcoma - a diagnostic roller-coaster till fatality.

Primary cardiac angiosarcoma - a diagnostic roller-coaster till fatality.

A 28-year-old male with a relatively short history of progressive dyspnea and a large pericardial effusion with tamponade was found to have an intracardiac mass localized in right atrium (RA) on echocardiography. Multimodality imaging revealed an irregular mass abutting the lateral wall of RA, with infiltration into surrounding pericardium and superior venacava. Positron emission tomography (PET) scan confirmed the mass as metabolically active lesion, along with uptake in mediastinal structures and lymph nodes. After an unrewarding percutaneous endomyocardial biopsy, open surgical biopsy was performed. Histologic examination confirmed the diagnosis of cardiac angiosarcoma. Unfortunately, patient had refractory shock and recurrent massive pericardial effusion (hemorrhagic) after biopsy and succumbed. The case highlights diagnostic dilemma of pericardial effusion in tuberculosis-endemic areas, role of multi-modality imaging in confirming cardiac malignancy and poor outcome of such patients.

求助全文
通过发布文献求助,成功后即可免费获取论文全文。 去求助
来源期刊
Journal of Cardiovascular and Thoracic Research
Journal of Cardiovascular and Thoracic Research CARDIAC & CARDIOVASCULAR SYSTEMS-
CiteScore
2.00
自引率
0.00%
发文量
22
审稿时长
7 weeks
×
引用
GB/T 7714-2015
复制
MLA
复制
APA
复制
导出至
BibTeX EndNote RefMan NoteFirst NoteExpress
×
提示
您的信息不完整,为了账户安全,请先补充。
现在去补充
×
提示
您因"违规操作"
具体请查看互助需知
我知道了
×
提示
确定
请完成安全验证×
copy
已复制链接
快去分享给好友吧!
我知道了
右上角分享
点击右上角分享
0
联系我们:info@booksci.cn Book学术提供免费学术资源搜索服务,方便国内外学者检索中英文文献。致力于提供最便捷和优质的服务体验。 Copyright © 2023 布克学术 All rights reserved.
京ICP备2023020795号-1
ghs 京公网安备 11010802042870号
Book学术文献互助
Book学术文献互助群
群 号:604180095
Book学术官方微信