房间隔脂肪瘤性肥厚(LHIS)是心血管保护的生物标志物?一项产生假设的病例对照研究。

IF 2.3 4区 医学 Q2 CARDIAC & CARDIOVASCULAR SYSTEMS
Pietro G Lacaita, Valentin Bilgeri, Fabian Barbieri, Yannick Scharll, Wolfgang Dichtl, Gerlig Widmann, Gudrun M Feuchtner
{"title":"房间隔脂肪瘤性肥厚(LHIS)是心血管保护的生物标志物?一项产生假设的病例对照研究。","authors":"Pietro G Lacaita, Valentin Bilgeri, Fabian Barbieri, Yannick Scharll, Wolfgang Dichtl, Gerlig Widmann, Gudrun M Feuchtner","doi":"10.3390/jcdd12080301","DOIUrl":null,"url":null,"abstract":"<p><p><b>Background:</b> While epicardial adipose tissue (EAT) is a known predictor of adverse cardiovascular outcomes, lipomatous hypertrophy of the interatrial septum (LHIS) is composed of metabolically active fat such as brown adipose tissue, which may exert a different effect. This study investigates the coronary atherosclerosis profile in patients with LHIS using CTA, compared with a propensity score-matched control group. <b>Methods:</b> A total of 142 patients were included (<i>n</i> = 71 with LHIS and <i>n</i> = 71 controls) and propensity score-matched for age, gender, BMI, and the major CV risk factors (matching level, <0.05). CTA imaging parameters included HRP, coronary stenosis severity (CADRADS), and CAC score. <b>Results</b>: The mean age was 60.9 years +/- 10.6, there were nine (6.3%) women, and the mean BMI is 28.04 kg/m<sup>2</sup> +/- 4.99. HRP prevalence was significantly lower in LHIS patients vs. controls (21.1% vs. 40.8%; <i>p</i> < 0.011), while CAC (<i>p</i> = 0.827) and CADRADS (<i>p</i> = 0.329) were not different, and there was no difference in the obstructive disease rate. There was no difference in lipid panels (cholesterol, LDL, HDL, TG) and statin intake rate. <b>Conclusions:</b> HRP prevalence is lower in patients with LHIS than controls, while coronary stenosis severity and CAC score are not different. <b>Clinical relevance:</b> LHIS may serve as imaging biomarker for reversed CV risk.</p>","PeriodicalId":15197,"journal":{"name":"Journal of Cardiovascular Development and Disease","volume":"12 8","pages":""},"PeriodicalIF":2.3000,"publicationDate":"2025-08-04","publicationTypes":"Journal Article","fieldsOfStudy":null,"isOpenAccess":false,"openAccessPdf":"https://www.ncbi.nlm.nih.gov/pmc/articles/PMC12387088/pdf/","citationCount":"0","resultStr":"{\"title\":\"Lipomatous Hypertrophy of the Interatrial Septum (LHIS) a Biomarker for Cardiovascular Protection? A Hypothesis Generating Case-Control Study.\",\"authors\":\"Pietro G Lacaita, Valentin Bilgeri, Fabian Barbieri, Yannick Scharll, Wolfgang Dichtl, Gerlig Widmann, Gudrun M Feuchtner\",\"doi\":\"10.3390/jcdd12080301\",\"DOIUrl\":null,\"url\":null,\"abstract\":\"<p><p><b>Background:</b> While epicardial adipose tissue (EAT) is a known predictor of adverse cardiovascular outcomes, lipomatous hypertrophy of the interatrial septum (LHIS) is composed of metabolically active fat such as brown adipose tissue, which may exert a different effect. This study investigates the coronary atherosclerosis profile in patients with LHIS using CTA, compared with a propensity score-matched control group. <b>Methods:</b> A total of 142 patients were included (<i>n</i> = 71 with LHIS and <i>n</i> = 71 controls) and propensity score-matched for age, gender, BMI, and the major CV risk factors (matching level, <0.05). CTA imaging parameters included HRP, coronary stenosis severity (CADRADS), and CAC score. <b>Results</b>: The mean age was 60.9 years +/- 10.6, there were nine (6.3%) women, and the mean BMI is 28.04 kg/m<sup>2</sup> +/- 4.99. HRP prevalence was significantly lower in LHIS patients vs. controls (21.1% vs. 40.8%; <i>p</i> < 0.011), while CAC (<i>p</i> = 0.827) and CADRADS (<i>p</i> = 0.329) were not different, and there was no difference in the obstructive disease rate. There was no difference in lipid panels (cholesterol, LDL, HDL, TG) and statin intake rate. <b>Conclusions:</b> HRP prevalence is lower in patients with LHIS than controls, while coronary stenosis severity and CAC score are not different. <b>Clinical relevance:</b> LHIS may serve as imaging biomarker for reversed CV risk.</p>\",\"PeriodicalId\":15197,\"journal\":{\"name\":\"Journal of Cardiovascular Development and Disease\",\"volume\":\"12 8\",\"pages\":\"\"},\"PeriodicalIF\":2.3000,\"publicationDate\":\"2025-08-04\",\"publicationTypes\":\"Journal Article\",\"fieldsOfStudy\":null,\"isOpenAccess\":false,\"openAccessPdf\":\"https://www.ncbi.nlm.nih.gov/pmc/articles/PMC12387088/pdf/\",\"citationCount\":\"0\",\"resultStr\":null,\"platform\":\"Semanticscholar\",\"paperid\":null,\"PeriodicalName\":\"Journal of Cardiovascular Development and Disease\",\"FirstCategoryId\":\"3\",\"ListUrlMain\":\"https://doi.org/10.3390/jcdd12080301\",\"RegionNum\":4,\"RegionCategory\":\"医学\",\"ArticlePicture\":[],\"TitleCN\":null,\"AbstractTextCN\":null,\"PMCID\":null,\"EPubDate\":\"\",\"PubModel\":\"\",\"JCR\":\"Q2\",\"JCRName\":\"CARDIAC & CARDIOVASCULAR SYSTEMS\",\"Score\":null,\"Total\":0}","platform":"Semanticscholar","paperid":null,"PeriodicalName":"Journal of Cardiovascular Development and Disease","FirstCategoryId":"3","ListUrlMain":"https://doi.org/10.3390/jcdd12080301","RegionNum":4,"RegionCategory":"医学","ArticlePicture":[],"TitleCN":null,"AbstractTextCN":null,"PMCID":null,"EPubDate":"","PubModel":"","JCR":"Q2","JCRName":"CARDIAC & CARDIOVASCULAR SYSTEMS","Score":null,"Total":0}
引用次数: 0

摘要

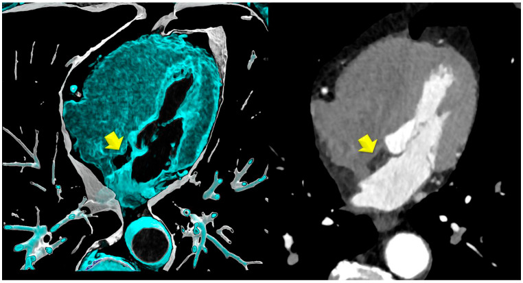
背景:虽然心外膜脂肪组织(EAT)是已知的不良心血管结局的预测因子,但心房间隔脂肪瘤性肥厚(LHIS)是由代谢活性脂肪(如棕色脂肪组织)组成的,它可能发挥不同的作用。本研究使用CTA研究LHIS患者的冠状动脉粥样硬化概况,并与倾向评分匹配的对照组进行比较。方法:共纳入142例患者(LHIS组71例,对照组71例),对年龄、性别、BMI和主要CV危险因素(匹配水平)进行倾向评分匹配。结果:平均年龄60.9岁+/- 10.6岁,女性9例(6.3%),平均BMI为28.04 kg/m2 +/- 4.99。LHIS患者HRP患病率明显低于对照组(21.1%比40.8%,p < 0.011),而CAC (p = 0.827)和CADRADS (p = 0.329)差异无统计学意义,在阻塞性疾病发生率上无统计学差异。脂质组(胆固醇、低密度脂蛋白、高密度脂蛋白、甘油三酯)和他汀类药物摄取率没有差异。结论:LHIS患者HRP患病率低于对照组,冠状动脉狭窄严重程度和CAC评分差异无统计学意义。临床相关性:LHIS可作为逆转CV风险的成像生物标志物。
本文章由计算机程序翻译,如有差异,请以英文原文为准。

Lipomatous Hypertrophy of the Interatrial Septum (LHIS) a Biomarker for Cardiovascular Protection? A Hypothesis Generating Case-Control Study.

Lipomatous Hypertrophy of the Interatrial Septum (LHIS) a Biomarker for Cardiovascular Protection? A Hypothesis Generating Case-Control Study.

Lipomatous Hypertrophy of the Interatrial Septum (LHIS) a Biomarker for Cardiovascular Protection? A Hypothesis Generating Case-Control Study.

Lipomatous Hypertrophy of the Interatrial Septum (LHIS) a Biomarker for Cardiovascular Protection? A Hypothesis Generating Case-Control Study.

Background: While epicardial adipose tissue (EAT) is a known predictor of adverse cardiovascular outcomes, lipomatous hypertrophy of the interatrial septum (LHIS) is composed of metabolically active fat such as brown adipose tissue, which may exert a different effect. This study investigates the coronary atherosclerosis profile in patients with LHIS using CTA, compared with a propensity score-matched control group. Methods: A total of 142 patients were included (n = 71 with LHIS and n = 71 controls) and propensity score-matched for age, gender, BMI, and the major CV risk factors (matching level, <0.05). CTA imaging parameters included HRP, coronary stenosis severity (CADRADS), and CAC score. Results: The mean age was 60.9 years +/- 10.6, there were nine (6.3%) women, and the mean BMI is 28.04 kg/m2 +/- 4.99. HRP prevalence was significantly lower in LHIS patients vs. controls (21.1% vs. 40.8%; p < 0.011), while CAC (p = 0.827) and CADRADS (p = 0.329) were not different, and there was no difference in the obstructive disease rate. There was no difference in lipid panels (cholesterol, LDL, HDL, TG) and statin intake rate. Conclusions: HRP prevalence is lower in patients with LHIS than controls, while coronary stenosis severity and CAC score are not different. Clinical relevance: LHIS may serve as imaging biomarker for reversed CV risk.

求助全文
通过发布文献求助,成功后即可免费获取论文全文。 去求助
来源期刊
Journal of Cardiovascular Development and Disease
Journal of Cardiovascular Development and Disease CARDIAC & CARDIOVASCULAR SYSTEMS-
CiteScore
2.60
自引率
12.50%
发文量
381
×
引用
GB/T 7714-2015
复制
MLA
复制
APA
复制
导出至
BibTeX EndNote RefMan NoteFirst NoteExpress
×
提示
您的信息不完整,为了账户安全,请先补充。
现在去补充
×
提示
您因"违规操作"
具体请查看互助需知
我知道了
×
提示
确定
请完成安全验证×
copy
已复制链接
快去分享给好友吧!
我知道了
右上角分享
点击右上角分享
0
联系我们:info@booksci.cn Book学术提供免费学术资源搜索服务,方便国内外学者检索中英文文献。致力于提供最便捷和优质的服务体验。 Copyright © 2023 布克学术 All rights reserved.
京ICP备2023020795号-1
ghs 京公网安备 11010802042870号
Book学术文献互助
Book学术文献互助群
群 号:604180095
Book学术官方微信