佩雷斯公式在伊朗人群中确定中心静脉导管尖端位置可靠吗?

IF 0.7 Q3 CARDIAC & CARDIOVASCULAR SYSTEMS
Journal of Cardiovascular and Thoracic Research Pub Date : 2025-06-28 eCollection Date: 2025-06-01 DOI:10.34172/jcvtr.025.33436
Maryam Ghanbari Garekani, Amirhossein Poopak, Hamidreza Pouraliakbar, Arash Barghi, Razieh Omidvar, Ziae Totonchi
{"title":"佩雷斯公式在伊朗人群中确定中心静脉导管尖端位置可靠吗?","authors":"Maryam Ghanbari Garekani, Amirhossein Poopak, Hamidreza Pouraliakbar, Arash Barghi, Razieh Omidvar, Ziae Totonchi","doi":"10.34172/jcvtr.025.33436","DOIUrl":null,"url":null,"abstract":"<p><strong>Introduction: </strong>Accurate positioning of central venous catheter (CVC) tips is essential to minimize complications such as arrhythmias, thrombosis, or cardiac tamponade.</p><p><strong>Methods: </strong>This study evaluated the reliability of the Peres formula, which estimates CVC tip placement based on patient height, within an Iranian population. A cross-sectional analysis of 100 patients undergoing cardiac surgery revealed that the Peres formula often resulted in incorrect CVC positioning, necessitating radiographic confirmation and post-insertion adjustments.</p><p><strong>Results: </strong>The mean deviation of CVC tip placement from the ideal position near the carina was 5.13±0.78 cm. Correlation analysis highlighted significant associations between the deviation and demographic factors, including height and body mass index (BMI), suggesting the need for population-specific adjustments to the Peres formula.</p><p><strong>Conclusion: </strong>These findings underscore the importance of tailored approaches to CVC placement to account for anatomical and physiological differences, emphasizing the need for modified guidelines for the Iranian population to enhance safety and accuracy in clinical practice due to the fact that Peres formula is not suitable for Iranian population.</p>","PeriodicalId":15207,"journal":{"name":"Journal of Cardiovascular and Thoracic Research","volume":"17 2","pages":"97-101"},"PeriodicalIF":0.7000,"publicationDate":"2025-06-28","publicationTypes":"Journal Article","fieldsOfStudy":null,"isOpenAccess":false,"openAccessPdf":"https://www.ncbi.nlm.nih.gov/pmc/articles/PMC12375420/pdf/","citationCount":"0","resultStr":"{\"title\":\"Is peres formula reliable for determination of proper position of central venous catheter tip in Iranian population?\",\"authors\":\"Maryam Ghanbari Garekani, Amirhossein Poopak, Hamidreza Pouraliakbar, Arash Barghi, Razieh Omidvar, Ziae Totonchi\",\"doi\":\"10.34172/jcvtr.025.33436\",\"DOIUrl\":null,\"url\":null,\"abstract\":\"<p><strong>Introduction: </strong>Accurate positioning of central venous catheter (CVC) tips is essential to minimize complications such as arrhythmias, thrombosis, or cardiac tamponade.</p><p><strong>Methods: </strong>This study evaluated the reliability of the Peres formula, which estimates CVC tip placement based on patient height, within an Iranian population. A cross-sectional analysis of 100 patients undergoing cardiac surgery revealed that the Peres formula often resulted in incorrect CVC positioning, necessitating radiographic confirmation and post-insertion adjustments.</p><p><strong>Results: </strong>The mean deviation of CVC tip placement from the ideal position near the carina was 5.13±0.78 cm. Correlation analysis highlighted significant associations between the deviation and demographic factors, including height and body mass index (BMI), suggesting the need for population-specific adjustments to the Peres formula.</p><p><strong>Conclusion: </strong>These findings underscore the importance of tailored approaches to CVC placement to account for anatomical and physiological differences, emphasizing the need for modified guidelines for the Iranian population to enhance safety and accuracy in clinical practice due to the fact that Peres formula is not suitable for Iranian population.</p>\",\"PeriodicalId\":15207,\"journal\":{\"name\":\"Journal of Cardiovascular and Thoracic Research\",\"volume\":\"17 2\",\"pages\":\"97-101\"},\"PeriodicalIF\":0.7000,\"publicationDate\":\"2025-06-28\",\"publicationTypes\":\"Journal Article\",\"fieldsOfStudy\":null,\"isOpenAccess\":false,\"openAccessPdf\":\"https://www.ncbi.nlm.nih.gov/pmc/articles/PMC12375420/pdf/\",\"citationCount\":\"0\",\"resultStr\":null,\"platform\":\"Semanticscholar\",\"paperid\":null,\"PeriodicalName\":\"Journal of Cardiovascular and Thoracic Research\",\"FirstCategoryId\":\"1085\",\"ListUrlMain\":\"https://doi.org/10.34172/jcvtr.025.33436\",\"RegionNum\":0,\"RegionCategory\":null,\"ArticlePicture\":[],\"TitleCN\":null,\"AbstractTextCN\":null,\"PMCID\":null,\"EPubDate\":\"2025/6/1 0:00:00\",\"PubModel\":\"eCollection\",\"JCR\":\"Q3\",\"JCRName\":\"CARDIAC & CARDIOVASCULAR SYSTEMS\",\"Score\":null,\"Total\":0}","platform":"Semanticscholar","paperid":null,"PeriodicalName":"Journal of Cardiovascular and Thoracic Research","FirstCategoryId":"1085","ListUrlMain":"https://doi.org/10.34172/jcvtr.025.33436","RegionNum":0,"RegionCategory":null,"ArticlePicture":[],"TitleCN":null,"AbstractTextCN":null,"PMCID":null,"EPubDate":"2025/6/1 0:00:00","PubModel":"eCollection","JCR":"Q3","JCRName":"CARDIAC & CARDIOVASCULAR SYSTEMS","Score":null,"Total":0}
引用次数: 0

摘要

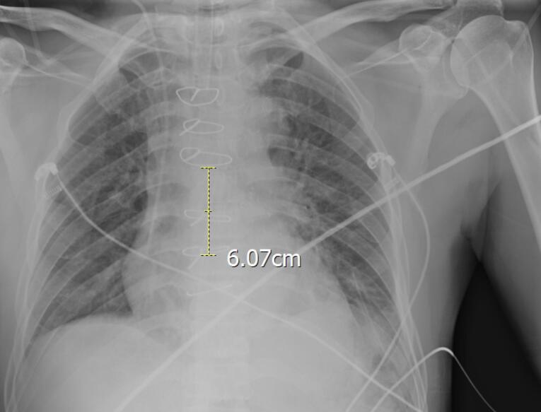
导读:中心静脉导管(CVC)尖端的准确定位对于减少诸如心律失常、血栓形成或心包填塞等并发症至关重要。方法:本研究在伊朗人群中评估Peres公式的可靠性,该公式根据患者身高估计CVC尖端位置。对100例心脏手术患者的横断面分析显示,Peres公式经常导致CVC定位不正确,需要x线片确认和插入后调整。结果:CVC尖端距隆突附近理想位置的平均偏差为5.13±0.78 cm。相关性分析强调了偏差与人口因素(包括身高和身体质量指数(BMI))之间的显著关联,这表明需要对佩雷斯公式进行针对特定人群的调整。结论:这些发现强调了针对解剖和生理差异量身定制CVC放置方法的重要性,强调了由于Peres配方不适合伊朗人群,因此需要修改针对伊朗人群的指南,以提高临床实践中的安全性和准确性。
本文章由计算机程序翻译,如有差异,请以英文原文为准。

Is peres formula reliable for determination of proper position of central venous catheter tip in Iranian population?

Is peres formula reliable for determination of proper position of central venous catheter tip in Iranian population?

Is peres formula reliable for determination of proper position of central venous catheter tip in Iranian population?

Is peres formula reliable for determination of proper position of central venous catheter tip in Iranian population?

Introduction: Accurate positioning of central venous catheter (CVC) tips is essential to minimize complications such as arrhythmias, thrombosis, or cardiac tamponade.

Methods: This study evaluated the reliability of the Peres formula, which estimates CVC tip placement based on patient height, within an Iranian population. A cross-sectional analysis of 100 patients undergoing cardiac surgery revealed that the Peres formula often resulted in incorrect CVC positioning, necessitating radiographic confirmation and post-insertion adjustments.

Results: The mean deviation of CVC tip placement from the ideal position near the carina was 5.13±0.78 cm. Correlation analysis highlighted significant associations between the deviation and demographic factors, including height and body mass index (BMI), suggesting the need for population-specific adjustments to the Peres formula.

Conclusion: These findings underscore the importance of tailored approaches to CVC placement to account for anatomical and physiological differences, emphasizing the need for modified guidelines for the Iranian population to enhance safety and accuracy in clinical practice due to the fact that Peres formula is not suitable for Iranian population.

求助全文
通过发布文献求助,成功后即可免费获取论文全文。 去求助
来源期刊
Journal of Cardiovascular and Thoracic Research
Journal of Cardiovascular and Thoracic Research CARDIAC & CARDIOVASCULAR SYSTEMS-
CiteScore
2.00
自引率
0.00%
发文量
22
审稿时长
7 weeks
×
引用
GB/T 7714-2015
复制
MLA
复制
APA
复制
导出至
BibTeX EndNote RefMan NoteFirst NoteExpress
×
提示
您的信息不完整,为了账户安全,请先补充。
现在去补充
×
提示
您因"违规操作"
具体请查看互助需知
我知道了
×
提示
确定
请完成安全验证×
copy
已复制链接
快去分享给好友吧!
我知道了
右上角分享
点击右上角分享
0
联系我们:info@booksci.cn Book学术提供免费学术资源搜索服务,方便国内外学者检索中英文文献。致力于提供最便捷和优质的服务体验。 Copyright © 2023 布克学术 All rights reserved.
京ICP备2023020795号-1
ghs 京公网安备 11010802042870号
Book学术文献互助
Book学术文献互助群
群 号:604180095
Book学术官方微信