多模式治疗成功治疗伴有脑转移的smarca4缺陷的未分化胸部肿瘤的长期生存:1例报告和文献综述

IF 2.8 3区 医学 Q3 ONCOLOGY
Yu Gan, Qi Hu, Fangfang Hu, Shugui Wu
{"title":"多模式治疗成功治疗伴有脑转移的smarca4缺陷的未分化胸部肿瘤的长期生存:1例报告和文献综述","authors":"Yu Gan, Qi Hu, Fangfang Hu, Shugui Wu","doi":"10.1007/s00432-025-06284-w","DOIUrl":null,"url":null,"abstract":"<p><strong>Background: </strong>SMARCA4-deficient undifferentiated thoracic tumor (SMARCA4-UT) is a rare and highly aggressive malignancy characterized by early distant metastasis and a poor prognosis, with a median overall survival (OS) of only 4-7 months. Traditional therapies offer limited benefit, while emerging data suggest the efficacy of combined immunotherapy, chemotherapy, and anti-angiogenic approaches. We report a case of a 52-year-old male with a heavy smoking history who presented with loss of consciousness and limb convulsions. Imaging revealed brain metastasis and a thoracic tumor. After surgical removal of the brain lesion and a lung biopsy, the patient was diagnosed with SMARCA4-UT, showing no targetable driver mutations and a programmed death-ligand 1 (PD-L1) tumor proportion score (TPS) < 1%. The patient underwent first-line treatment with tislelizumab, bevacizumab, carboplatin, and paclitaxel. Despite discontinuation of bevacizumab due to a tumor cavity, the patient achieved partial remission (PR) after six cycles. Notably, consolidative thoracic radiotherapy (TRT) was administered following systemic disease control to enhance local control. After 5 months of maintenance therapy, oligoprogression of the primary lung lesion was detected and the progression-free survival (PFS) of first-line treatment reached 14 months. The patient then performed salvage surgery for local lesion and continued with maintenance treatment. As of May 2025, the patient has survived for 31 months since the initial diagnosis.</p><p><strong>Conclusion: </strong>Multimodal therapy integrating chemoimmunotherapy, anti-angiogenesis, consolidative radiotherapy, and salvage surgery achieved durable survival in SMARCA4-UT with brain metastasis. It highlights the potential of combining systemic and local therapies, providing valuable insights for managing this challenging disease.</p>","PeriodicalId":15118,"journal":{"name":"Journal of Cancer Research and Clinical Oncology","volume":"151 8","pages":"234"},"PeriodicalIF":2.8000,"publicationDate":"2025-08-23","publicationTypes":"Journal Article","fieldsOfStudy":null,"isOpenAccess":false,"openAccessPdf":"https://www.ncbi.nlm.nih.gov/pmc/articles/PMC12374922/pdf/","citationCount":"0","resultStr":"{\"title\":\"Long-term survival of a SMARCA4-deficient undifferentiated thoracic tumor with brain metastasis successfully treated with multimodal treatment: a case report and literature review.\",\"authors\":\"Yu Gan, Qi Hu, Fangfang Hu, Shugui Wu\",\"doi\":\"10.1007/s00432-025-06284-w\",\"DOIUrl\":null,\"url\":null,\"abstract\":\"<p><strong>Background: </strong>SMARCA4-deficient undifferentiated thoracic tumor (SMARCA4-UT) is a rare and highly aggressive malignancy characterized by early distant metastasis and a poor prognosis, with a median overall survival (OS) of only 4-7 months. Traditional therapies offer limited benefit, while emerging data suggest the efficacy of combined immunotherapy, chemotherapy, and anti-angiogenic approaches. We report a case of a 52-year-old male with a heavy smoking history who presented with loss of consciousness and limb convulsions. Imaging revealed brain metastasis and a thoracic tumor. After surgical removal of the brain lesion and a lung biopsy, the patient was diagnosed with SMARCA4-UT, showing no targetable driver mutations and a programmed death-ligand 1 (PD-L1) tumor proportion score (TPS) < 1%. The patient underwent first-line treatment with tislelizumab, bevacizumab, carboplatin, and paclitaxel. Despite discontinuation of bevacizumab due to a tumor cavity, the patient achieved partial remission (PR) after six cycles. Notably, consolidative thoracic radiotherapy (TRT) was administered following systemic disease control to enhance local control. After 5 months of maintenance therapy, oligoprogression of the primary lung lesion was detected and the progression-free survival (PFS) of first-line treatment reached 14 months. The patient then performed salvage surgery for local lesion and continued with maintenance treatment. As of May 2025, the patient has survived for 31 months since the initial diagnosis.</p><p><strong>Conclusion: </strong>Multimodal therapy integrating chemoimmunotherapy, anti-angiogenesis, consolidative radiotherapy, and salvage surgery achieved durable survival in SMARCA4-UT with brain metastasis. It highlights the potential of combining systemic and local therapies, providing valuable insights for managing this challenging disease.</p>\",\"PeriodicalId\":15118,\"journal\":{\"name\":\"Journal of Cancer Research and Clinical Oncology\",\"volume\":\"151 8\",\"pages\":\"234\"},\"PeriodicalIF\":2.8000,\"publicationDate\":\"2025-08-23\",\"publicationTypes\":\"Journal Article\",\"fieldsOfStudy\":null,\"isOpenAccess\":false,\"openAccessPdf\":\"https://www.ncbi.nlm.nih.gov/pmc/articles/PMC12374922/pdf/\",\"citationCount\":\"0\",\"resultStr\":null,\"platform\":\"Semanticscholar\",\"paperid\":null,\"PeriodicalName\":\"Journal of Cancer Research and Clinical Oncology\",\"FirstCategoryId\":\"3\",\"ListUrlMain\":\"https://doi.org/10.1007/s00432-025-06284-w\",\"RegionNum\":3,\"RegionCategory\":\"医学\",\"ArticlePicture\":[],\"TitleCN\":null,\"AbstractTextCN\":null,\"PMCID\":null,\"EPubDate\":\"\",\"PubModel\":\"\",\"JCR\":\"Q3\",\"JCRName\":\"ONCOLOGY\",\"Score\":null,\"Total\":0}","platform":"Semanticscholar","paperid":null,"PeriodicalName":"Journal of Cancer Research and Clinical Oncology","FirstCategoryId":"3","ListUrlMain":"https://doi.org/10.1007/s00432-025-06284-w","RegionNum":3,"RegionCategory":"医学","ArticlePicture":[],"TitleCN":null,"AbstractTextCN":null,"PMCID":null,"EPubDate":"","PubModel":"","JCR":"Q3","JCRName":"ONCOLOGY","Score":null,"Total":0}
引用次数: 0

摘要

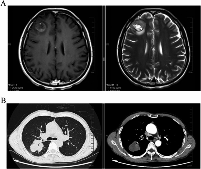
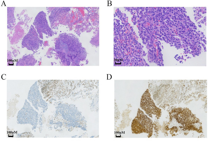
背景:smarca4缺陷未分化胸椎肿瘤(SMARCA4-UT)是一种罕见的高侵袭性恶性肿瘤,其特点是早期远处转移,预后差,中位总生存期(OS)仅为4-7个月。传统的治疗方法提供有限的益处,而新的数据表明联合免疫治疗、化疗和抗血管生成方法的疗效。我们报告一例52岁男性重度吸烟史,表现为意识丧失和肢体抽搐。影像学显示脑转移和胸部肿瘤。在手术切除脑病变和肺活检后,患者被诊断为SMARCA4-UT,无可靶向的驱动突变和程序性死亡-配体1 (PD-L1)肿瘤比例评分(TPS)结论:综合化疗免疫治疗、抗血管生成、巩固放疗和挽救性手术的多模式治疗可使SMARCA4-UT脑转移患者持久生存。它强调了结合全身和局部治疗的潜力,为管理这种具有挑战性的疾病提供了有价值的见解。
本文章由计算机程序翻译,如有差异,请以英文原文为准。

Long-term survival of a SMARCA4-deficient undifferentiated thoracic tumor with brain metastasis successfully treated with multimodal treatment: a case report and literature review.

Long-term survival of a SMARCA4-deficient undifferentiated thoracic tumor with brain metastasis successfully treated with multimodal treatment: a case report and literature review.

Long-term survival of a SMARCA4-deficient undifferentiated thoracic tumor with brain metastasis successfully treated with multimodal treatment: a case report and literature review.

Long-term survival of a SMARCA4-deficient undifferentiated thoracic tumor with brain metastasis successfully treated with multimodal treatment: a case report and literature review.

Background: SMARCA4-deficient undifferentiated thoracic tumor (SMARCA4-UT) is a rare and highly aggressive malignancy characterized by early distant metastasis and a poor prognosis, with a median overall survival (OS) of only 4-7 months. Traditional therapies offer limited benefit, while emerging data suggest the efficacy of combined immunotherapy, chemotherapy, and anti-angiogenic approaches. We report a case of a 52-year-old male with a heavy smoking history who presented with loss of consciousness and limb convulsions. Imaging revealed brain metastasis and a thoracic tumor. After surgical removal of the brain lesion and a lung biopsy, the patient was diagnosed with SMARCA4-UT, showing no targetable driver mutations and a programmed death-ligand 1 (PD-L1) tumor proportion score (TPS) < 1%. The patient underwent first-line treatment with tislelizumab, bevacizumab, carboplatin, and paclitaxel. Despite discontinuation of bevacizumab due to a tumor cavity, the patient achieved partial remission (PR) after six cycles. Notably, consolidative thoracic radiotherapy (TRT) was administered following systemic disease control to enhance local control. After 5 months of maintenance therapy, oligoprogression of the primary lung lesion was detected and the progression-free survival (PFS) of first-line treatment reached 14 months. The patient then performed salvage surgery for local lesion and continued with maintenance treatment. As of May 2025, the patient has survived for 31 months since the initial diagnosis.

Conclusion: Multimodal therapy integrating chemoimmunotherapy, anti-angiogenesis, consolidative radiotherapy, and salvage surgery achieved durable survival in SMARCA4-UT with brain metastasis. It highlights the potential of combining systemic and local therapies, providing valuable insights for managing this challenging disease.

求助全文
通过发布文献求助,成功后即可免费获取论文全文。 去求助
来源期刊
CiteScore
4.00
自引率
2.80%
发文量
577
审稿时长
2 months
期刊介绍: The "Journal of Cancer Research and Clinical Oncology" publishes significant and up-to-date articles within the fields of experimental and clinical oncology. The journal, which is chiefly devoted to Original papers, also includes Reviews as well as Editorials and Guest editorials on current, controversial topics. The section Letters to the editors provides a forum for a rapid exchange of comments and information concerning previously published papers and topics of current interest. Meeting reports provide current information on the latest results presented at important congresses. The following fields are covered: carcinogenesis - etiology, mechanisms; molecular biology; recent developments in tumor therapy; general diagnosis; laboratory diagnosis; diagnostic and experimental pathology; oncologic surgery; and epidemiology.
×
引用
GB/T 7714-2015
复制
MLA
复制
APA
复制
导出至
BibTeX EndNote RefMan NoteFirst NoteExpress
×
提示
您的信息不完整,为了账户安全,请先补充。
现在去补充
×
提示
您因"违规操作"
具体请查看互助需知
我知道了
×
提示
确定
请完成安全验证×
copy
已复制链接
快去分享给好友吧!
我知道了
右上角分享
点击右上角分享
0
联系我们:info@booksci.cn Book学术提供免费学术资源搜索服务,方便国内外学者检索中英文文献。致力于提供最便捷和优质的服务体验。 Copyright © 2023 布克学术 All rights reserved.
京ICP备2023020795号-1
ghs 京公网安备 11010802042870号
Book学术文献互助
Book学术文献互助群
群 号:604180095
Book学术官方微信