种马睾丸中的脑源性神经营养因子和神经营养酪氨酸受体激酶-2:对季节变化和精子发生的潜在作用的见解。

IF 3.2 3区 农林科学 Q1 AGRICULTURE, DAIRY & ANIMAL SCIENCE
Journal of Animal Science and Technology Pub Date : 2025-07-01 Epub Date: 2025-07-31 DOI:10.5187/jast.2024.e52
Muhammad Shakeel, Minjung Yoon
{"title":"种马睾丸中的脑源性神经营养因子和神经营养酪氨酸受体激酶-2:对季节变化和精子发生的潜在作用的见解。","authors":"Muhammad Shakeel, Minjung Yoon","doi":"10.5187/jast.2024.e52","DOIUrl":null,"url":null,"abstract":"<p><p>Brain-derived neurotrophic factor (BDNF) and its receptor neurotrophic tyrosine receptor kinase-2 (NTRK2) have known important roles in the central nervous system for neurite growth, survival, and differentiation. Nevertheless, the significance of BDNF in spermatogenesis remains unclear in stallions. Therefore, the present study was designed 1) to investigate the expression of BDNF and its receptor NTRK2 and 2) the seasonal variation in the expression patterns of BDNF and NTRK2 in stallions' testes. We used testes from eight postpubertal Thoroughbred stallions collected after a field castration during two different seasons of the year (breeding season [BS] and nonbreeding season [NBS]). Reverse transcription-quantitative polymerase chain reaction (RT-qPCR), Western blotting (WB), and immunofluorescence were performed. RT-qPCR results showed upregulation of mRNA levels of BDNF and NTRK2 in the testes collected during the NBS. The quantification of the protein bands obtained after WB displayed significantly higher relative intensity in NBS. The immunofluorescence assay identified the localization of BDNF in the cytoplasm of Sertoli and Leydig cells in BS. The cytoplasm of germs cells and Leydig cells were stained with BDNF in NBS. NTRK2 was observed in the cytoplasm of Leydig cells of BS and NBS. Moreover, different stages of germ cells including undifferentiated spermatogonia and spermatocytes were immune labeled with NTRK2 in the NBS. These findings provided the first evidence of the localization of BDNF and NTRK2 in the testicular cells of stallions, suggesting the potential role of BDNF signaling in testes development and spermatogenesis. Further investigation is necessary to explore the functional implications of BDNF signaling on spermatogenesis, focusing on the regulatory mechanisms that govern the seasonal expression patterns observed. This will help confirm the paracrine/autocrine importance of this neurotrophin in the stallions testes.</p>","PeriodicalId":14923,"journal":{"name":"Journal of Animal Science and Technology","volume":"67 4","pages":"909-921"},"PeriodicalIF":3.2000,"publicationDate":"2025-07-01","publicationTypes":"Journal Article","fieldsOfStudy":null,"isOpenAccess":false,"openAccessPdf":"https://www.ncbi.nlm.nih.gov/pmc/articles/PMC12380027/pdf/","citationCount":"0","resultStr":"{\"title\":\"Brain-derived neurotrophic factor and neurotrophic tyrosine receptor kinase-2 in stallion testes: insights into seasonal changes and potential roles in spermatogenesis.\",\"authors\":\"Muhammad Shakeel, Minjung Yoon\",\"doi\":\"10.5187/jast.2024.e52\",\"DOIUrl\":null,\"url\":null,\"abstract\":\"<p><p>Brain-derived neurotrophic factor (BDNF) and its receptor neurotrophic tyrosine receptor kinase-2 (NTRK2) have known important roles in the central nervous system for neurite growth, survival, and differentiation. Nevertheless, the significance of BDNF in spermatogenesis remains unclear in stallions. Therefore, the present study was designed 1) to investigate the expression of BDNF and its receptor NTRK2 and 2) the seasonal variation in the expression patterns of BDNF and NTRK2 in stallions' testes. We used testes from eight postpubertal Thoroughbred stallions collected after a field castration during two different seasons of the year (breeding season [BS] and nonbreeding season [NBS]). Reverse transcription-quantitative polymerase chain reaction (RT-qPCR), Western blotting (WB), and immunofluorescence were performed. RT-qPCR results showed upregulation of mRNA levels of BDNF and NTRK2 in the testes collected during the NBS. The quantification of the protein bands obtained after WB displayed significantly higher relative intensity in NBS. The immunofluorescence assay identified the localization of BDNF in the cytoplasm of Sertoli and Leydig cells in BS. The cytoplasm of germs cells and Leydig cells were stained with BDNF in NBS. NTRK2 was observed in the cytoplasm of Leydig cells of BS and NBS. Moreover, different stages of germ cells including undifferentiated spermatogonia and spermatocytes were immune labeled with NTRK2 in the NBS. These findings provided the first evidence of the localization of BDNF and NTRK2 in the testicular cells of stallions, suggesting the potential role of BDNF signaling in testes development and spermatogenesis. Further investigation is necessary to explore the functional implications of BDNF signaling on spermatogenesis, focusing on the regulatory mechanisms that govern the seasonal expression patterns observed. This will help confirm the paracrine/autocrine importance of this neurotrophin in the stallions testes.</p>\",\"PeriodicalId\":14923,\"journal\":{\"name\":\"Journal of Animal Science and Technology\",\"volume\":\"67 4\",\"pages\":\"909-921\"},\"PeriodicalIF\":3.2000,\"publicationDate\":\"2025-07-01\",\"publicationTypes\":\"Journal Article\",\"fieldsOfStudy\":null,\"isOpenAccess\":false,\"openAccessPdf\":\"https://www.ncbi.nlm.nih.gov/pmc/articles/PMC12380027/pdf/\",\"citationCount\":\"0\",\"resultStr\":null,\"platform\":\"Semanticscholar\",\"paperid\":null,\"PeriodicalName\":\"Journal of Animal Science and Technology\",\"FirstCategoryId\":\"97\",\"ListUrlMain\":\"https://doi.org/10.5187/jast.2024.e52\",\"RegionNum\":3,\"RegionCategory\":\"农林科学\",\"ArticlePicture\":[],\"TitleCN\":null,\"AbstractTextCN\":null,\"PMCID\":null,\"EPubDate\":\"2025/7/31 0:00:00\",\"PubModel\":\"Epub\",\"JCR\":\"Q1\",\"JCRName\":\"AGRICULTURE, DAIRY & ANIMAL SCIENCE\",\"Score\":null,\"Total\":0}","platform":"Semanticscholar","paperid":null,"PeriodicalName":"Journal of Animal Science and Technology","FirstCategoryId":"97","ListUrlMain":"https://doi.org/10.5187/jast.2024.e52","RegionNum":3,"RegionCategory":"农林科学","ArticlePicture":[],"TitleCN":null,"AbstractTextCN":null,"PMCID":null,"EPubDate":"2025/7/31 0:00:00","PubModel":"Epub","JCR":"Q1","JCRName":"AGRICULTURE, DAIRY & ANIMAL SCIENCE","Score":null,"Total":0}
引用次数: 0

摘要

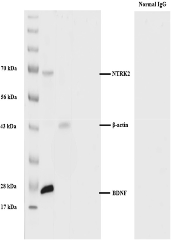
脑源性神经营养因子(BDNF)及其受体神经营养酪氨酸受体激酶-2 (NTRK2)在中枢神经系统的神经突生长、存活和分化中起着重要作用。然而,BDNF在种马精子发生中的意义尚不清楚。因此,本研究旨在1)研究BDNF及其受体NTRK2在种马睾丸中的表达,2)BDNF和NTRK2在种马睾丸中的表达模式的季节变化。我们使用了在一年中的两个不同季节(繁殖期[BS]和非繁殖期[NBS])野外阉割后收集的8匹青春期后纯种马的睾丸。逆转录-定量聚合酶链反应(RT-qPCR)、免疫印迹(WB)和免疫荧光检测。RT-qPCR结果显示,NBS期间收集的睾丸中BDNF和NTRK2 mRNA水平上调。在NBS中,WB后获得的蛋白条带的定量显示出明显更高的相对强度。免疫荧光法鉴定BDNF定位于BS的支持细胞和间质细胞的细胞质中。用BDNF对NBS中胚芽细胞和间质细胞的细胞质进行染色。在BS和NBS的间质细胞细胞质中均可见到NTRK2。此外,在NBS中,不同阶段的生殖细胞,包括未分化的精原细胞和精母细胞,都被NTRK2免疫标记。这些发现首次证明了BDNF和NTRK2在种马睾丸细胞中的定位,提示BDNF信号在睾丸发育和精子发生中的潜在作用。需要进一步研究BDNF信号在精子发生中的功能意义,重点研究所观察到的季节性表达模式的调控机制。这将有助于确认这种神经营养因子在种马睾丸中的旁分泌/自分泌重要性。
本文章由计算机程序翻译,如有差异,请以英文原文为准。

Brain-derived neurotrophic factor and neurotrophic tyrosine receptor kinase-2 in stallion testes: insights into seasonal changes and potential roles in spermatogenesis.

Brain-derived neurotrophic factor and neurotrophic tyrosine receptor kinase-2 in stallion testes: insights into seasonal changes and potential roles in spermatogenesis.

Brain-derived neurotrophic factor and neurotrophic tyrosine receptor kinase-2 in stallion testes: insights into seasonal changes and potential roles in spermatogenesis.

Brain-derived neurotrophic factor and neurotrophic tyrosine receptor kinase-2 in stallion testes: insights into seasonal changes and potential roles in spermatogenesis.

Brain-derived neurotrophic factor (BDNF) and its receptor neurotrophic tyrosine receptor kinase-2 (NTRK2) have known important roles in the central nervous system for neurite growth, survival, and differentiation. Nevertheless, the significance of BDNF in spermatogenesis remains unclear in stallions. Therefore, the present study was designed 1) to investigate the expression of BDNF and its receptor NTRK2 and 2) the seasonal variation in the expression patterns of BDNF and NTRK2 in stallions' testes. We used testes from eight postpubertal Thoroughbred stallions collected after a field castration during two different seasons of the year (breeding season [BS] and nonbreeding season [NBS]). Reverse transcription-quantitative polymerase chain reaction (RT-qPCR), Western blotting (WB), and immunofluorescence were performed. RT-qPCR results showed upregulation of mRNA levels of BDNF and NTRK2 in the testes collected during the NBS. The quantification of the protein bands obtained after WB displayed significantly higher relative intensity in NBS. The immunofluorescence assay identified the localization of BDNF in the cytoplasm of Sertoli and Leydig cells in BS. The cytoplasm of germs cells and Leydig cells were stained with BDNF in NBS. NTRK2 was observed in the cytoplasm of Leydig cells of BS and NBS. Moreover, different stages of germ cells including undifferentiated spermatogonia and spermatocytes were immune labeled with NTRK2 in the NBS. These findings provided the first evidence of the localization of BDNF and NTRK2 in the testicular cells of stallions, suggesting the potential role of BDNF signaling in testes development and spermatogenesis. Further investigation is necessary to explore the functional implications of BDNF signaling on spermatogenesis, focusing on the regulatory mechanisms that govern the seasonal expression patterns observed. This will help confirm the paracrine/autocrine importance of this neurotrophin in the stallions testes.

求助全文
通过发布文献求助,成功后即可免费获取论文全文。 去求助
来源期刊
Journal of Animal Science and Technology
Journal of Animal Science and Technology Agricultural and Biological Sciences-Food Science
CiteScore
4.50
自引率
8.70%
发文量
96
审稿时长
7 weeks
期刊介绍: Journal of Animal Science and Technology (J. Anim. Sci. Technol. or JAST) is a peer-reviewed, open access journal publishing original research, review articles and notes in all fields of animal science. Topics covered by the journal include: genetics and breeding, physiology, nutrition of monogastric animals, nutrition of ruminants, animal products (milk, meat, eggs and their by-products) and their processing, grasslands and roughages, livestock environment, animal biotechnology, animal behavior and welfare. Articles generally report research involving beef cattle, dairy cattle, pigs, companion animals, goats, horses, and sheep. However, studies involving other farm animals, aquatic and wildlife species, and laboratory animal species that address fundamental questions related to livestock and companion animal biology will also be considered for publication. The Journal of Animal Science and Technology (J. Anim. Technol. or JAST) has been the official journal of The Korean Society of Animal Science and Technology (KSAST) since 2000, formerly known as The Korean Journal of Animal Sciences (launched in 1956).
×
引用
GB/T 7714-2015
复制
MLA
复制
APA
复制
导出至
BibTeX EndNote RefMan NoteFirst NoteExpress
×
提示
您的信息不完整,为了账户安全,请先补充。
现在去补充
×
提示
您因"违规操作"
具体请查看互助需知
我知道了
×
提示
确定
请完成安全验证×
copy
已复制链接
快去分享给好友吧!
我知道了
右上角分享
点击右上角分享
0
联系我们:info@booksci.cn Book学术提供免费学术资源搜索服务,方便国内外学者检索中英文文献。致力于提供最便捷和优质的服务体验。 Copyright © 2023 布克学术 All rights reserved.
京ICP备2023020795号-1
ghs 京公网安备 11010802042870号
Book学术文献互助
Book学术文献互助群
群 号:604180095
Book学术官方微信