他克莫司对小鼠跟腱术后粘连的抗纤维化作用。

IF 1.5 Q2 MEDICINE, GENERAL & INTERNAL
Seyedeh Elnaz Nazari, Elnaz Ghorbani, Abdulridha Mohammed Al-Asady, Sayyed-Hadi Sayyed-Hosseinian, Farzad Rahmani, Ehsan Vahedi, Amir Avan, Mohammad-Mostafa Askarnia-Faal, Hamideh Naimi, Majid Khazaei, Seyed Mahdi Hassanian
{"title":"他克莫司对小鼠跟腱术后粘连的抗纤维化作用。","authors":"Seyedeh Elnaz Nazari, Elnaz Ghorbani, Abdulridha Mohammed Al-Asady, Sayyed-Hadi Sayyed-Hosseinian, Farzad Rahmani, Ehsan Vahedi, Amir Avan, Mohammad-Mostafa Askarnia-Faal, Hamideh Naimi, Majid Khazaei, Seyed Mahdi Hassanian","doi":"10.30476/ijms.2025.102711.3587","DOIUrl":null,"url":null,"abstract":"<p><strong>Background: </strong>Peritendinous adhesion as a common post-surgical complication usually occurs as a result of a large portion of sports and hard job-related injuries. This study aims to evaluate the repurposed potential of the immunosuppressive approved drug, tacrolimus, in decreasing adhesion band formation post-Achilles tendon surgeries in an animal model.</p><p><strong>Methods: </strong>Rats were randomly assigned to four groups control, sham with surgical intervention but no adhesion, positive control group with surgical transection and adhesion received no treatment, tacrolimus group was the same as the positive control group except that rats were treated with 2 mg/Kg/day tacrolimus orally for 21 days. The anti-inflammatory and fibrinolytic properties of oral tacrolimus treatment in attenuating the formation of adhesion bands were analyzed by One-way ANOVA or the Kruskal-Wallis test.</p><p><strong>Results: </strong>Tacrolimus decreased the length (P=0.001), density (P=0.001), grading (P=0.023), severity (P=0.001), and thickness (P=0.008) of post-surgical adhesion bands compared to the untreated group. Histopathological changes and recruitment of inflammatory cells to the tendon tissue sections were attenuated in the tacrolimus-treated group (P=0.001) in comparison with the positive control group. Compared to the untreated group, tacrolimus treatment decreased the expression of IL-1β (P=0.059) in the tendon tissue, but the difference was not statistically significant. Moreover, tacrolimus elicited anti-fibrotic responses by reducing the expression of tissue growth factor-β (TGF-β) in the tendon and inhibiting collagen deposition, fibrosis quantity (P=0.001), fibrosis grading (P=0.001), and total fibrosis scores (P=0.001), as visualized by Masson's trichrome staining.</p><p><strong>Conclusion: </strong>These results support the protective properties of tacrolimus in decreasing post-operative adhesion band formation in the animal model.</p>","PeriodicalId":14510,"journal":{"name":"Iranian Journal of Medical Sciences","volume":"50 8","pages":"570-580"},"PeriodicalIF":1.5000,"publicationDate":"2025-08-01","publicationTypes":"Journal Article","fieldsOfStudy":null,"isOpenAccess":false,"openAccessPdf":"https://www.ncbi.nlm.nih.gov/pmc/articles/PMC12374057/pdf/","citationCount":"0","resultStr":"{\"title\":\"Anti-Fibrotic Effect of Tacrolimus on Preventing Adhesion after Achilles Tendon Surgery in a Murine Model.\",\"authors\":\"Seyedeh Elnaz Nazari, Elnaz Ghorbani, Abdulridha Mohammed Al-Asady, Sayyed-Hadi Sayyed-Hosseinian, Farzad Rahmani, Ehsan Vahedi, Amir Avan, Mohammad-Mostafa Askarnia-Faal, Hamideh Naimi, Majid Khazaei, Seyed Mahdi Hassanian\",\"doi\":\"10.30476/ijms.2025.102711.3587\",\"DOIUrl\":null,\"url\":null,\"abstract\":\"<p><strong>Background: </strong>Peritendinous adhesion as a common post-surgical complication usually occurs as a result of a large portion of sports and hard job-related injuries. This study aims to evaluate the repurposed potential of the immunosuppressive approved drug, tacrolimus, in decreasing adhesion band formation post-Achilles tendon surgeries in an animal model.</p><p><strong>Methods: </strong>Rats were randomly assigned to four groups control, sham with surgical intervention but no adhesion, positive control group with surgical transection and adhesion received no treatment, tacrolimus group was the same as the positive control group except that rats were treated with 2 mg/Kg/day tacrolimus orally for 21 days. The anti-inflammatory and fibrinolytic properties of oral tacrolimus treatment in attenuating the formation of adhesion bands were analyzed by One-way ANOVA or the Kruskal-Wallis test.</p><p><strong>Results: </strong>Tacrolimus decreased the length (P=0.001), density (P=0.001), grading (P=0.023), severity (P=0.001), and thickness (P=0.008) of post-surgical adhesion bands compared to the untreated group. Histopathological changes and recruitment of inflammatory cells to the tendon tissue sections were attenuated in the tacrolimus-treated group (P=0.001) in comparison with the positive control group. Compared to the untreated group, tacrolimus treatment decreased the expression of IL-1β (P=0.059) in the tendon tissue, but the difference was not statistically significant. Moreover, tacrolimus elicited anti-fibrotic responses by reducing the expression of tissue growth factor-β (TGF-β) in the tendon and inhibiting collagen deposition, fibrosis quantity (P=0.001), fibrosis grading (P=0.001), and total fibrosis scores (P=0.001), as visualized by Masson's trichrome staining.</p><p><strong>Conclusion: </strong>These results support the protective properties of tacrolimus in decreasing post-operative adhesion band formation in the animal model.</p>\",\"PeriodicalId\":14510,\"journal\":{\"name\":\"Iranian Journal of Medical Sciences\",\"volume\":\"50 8\",\"pages\":\"570-580\"},\"PeriodicalIF\":1.5000,\"publicationDate\":\"2025-08-01\",\"publicationTypes\":\"Journal Article\",\"fieldsOfStudy\":null,\"isOpenAccess\":false,\"openAccessPdf\":\"https://www.ncbi.nlm.nih.gov/pmc/articles/PMC12374057/pdf/\",\"citationCount\":\"0\",\"resultStr\":null,\"platform\":\"Semanticscholar\",\"paperid\":null,\"PeriodicalName\":\"Iranian Journal of Medical Sciences\",\"FirstCategoryId\":\"1085\",\"ListUrlMain\":\"https://doi.org/10.30476/ijms.2025.102711.3587\",\"RegionNum\":0,\"RegionCategory\":null,\"ArticlePicture\":[],\"TitleCN\":null,\"AbstractTextCN\":null,\"PMCID\":null,\"EPubDate\":\"\",\"PubModel\":\"\",\"JCR\":\"Q2\",\"JCRName\":\"MEDICINE, GENERAL & INTERNAL\",\"Score\":null,\"Total\":0}","platform":"Semanticscholar","paperid":null,"PeriodicalName":"Iranian Journal of Medical Sciences","FirstCategoryId":"1085","ListUrlMain":"https://doi.org/10.30476/ijms.2025.102711.3587","RegionNum":0,"RegionCategory":null,"ArticlePicture":[],"TitleCN":null,"AbstractTextCN":null,"PMCID":null,"EPubDate":"","PubModel":"","JCR":"Q2","JCRName":"MEDICINE, GENERAL & INTERNAL","Score":null,"Total":0}
引用次数: 0

摘要

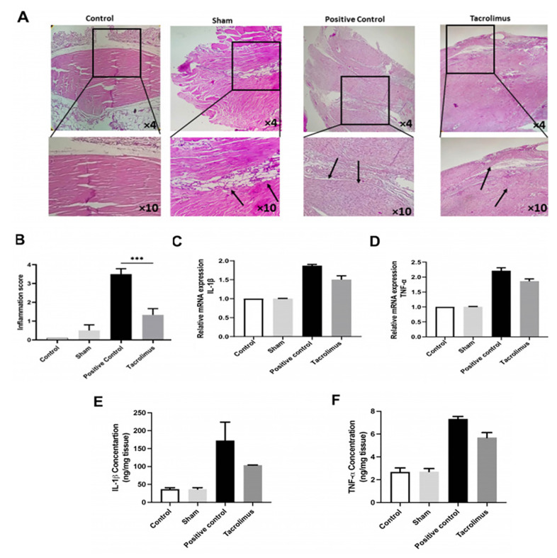
背景:腹膜粘连是一种常见的术后并发症,通常发生在很大一部分运动和硬性工作相关损伤的结果。本研究旨在评估经批准的免疫抑制剂他克莫司在动物模型中减少跟腱手术后粘连带形成的潜力。方法:将大鼠随机分为4组,对照组、假手术干预无粘连组、阳性对照组手术切除无粘连组,他克莫司组除给予他克莫司2 mg/Kg/d口服外,其余与阳性对照组相同。采用单因素方差分析或Kruskal-Wallis检验分析口服他克莫司对粘连带形成的抗炎和纤溶作用。结果:与未治疗组相比,他克莫司减少了术后粘连带的长度(P=0.001)、密度(P=0.001)、分级(P=0.023)、严重程度(P=0.001)和厚度(P=0.008)。与阳性对照组相比,他克莫司治疗组肌腱组织切片的组织病理学改变和炎症细胞募集减弱(P=0.001)。与未治疗组相比,他克莫司治疗可降低肌腱组织中IL-1β的表达(P=0.059),但差异无统计学意义。此外,他克莫司通过降低肌腱中组织生长因子-β (TGF-β)的表达,抑制胶原沉积,纤维化数量(P=0.001),纤维化分级(P=0.001)和总纤维化评分(P=0.001),引起抗纤维化反应,马松三色染色显示。结论:支持他克莫司对动物模型术后粘连带形成的保护作用。
本文章由计算机程序翻译,如有差异,请以英文原文为准。

Anti-Fibrotic Effect of Tacrolimus on Preventing Adhesion after Achilles Tendon Surgery in a Murine Model.

Anti-Fibrotic Effect of Tacrolimus on Preventing Adhesion after Achilles Tendon Surgery in a Murine Model.

Anti-Fibrotic Effect of Tacrolimus on Preventing Adhesion after Achilles Tendon Surgery in a Murine Model.

Anti-Fibrotic Effect of Tacrolimus on Preventing Adhesion after Achilles Tendon Surgery in a Murine Model.

Background: Peritendinous adhesion as a common post-surgical complication usually occurs as a result of a large portion of sports and hard job-related injuries. This study aims to evaluate the repurposed potential of the immunosuppressive approved drug, tacrolimus, in decreasing adhesion band formation post-Achilles tendon surgeries in an animal model.

Methods: Rats were randomly assigned to four groups control, sham with surgical intervention but no adhesion, positive control group with surgical transection and adhesion received no treatment, tacrolimus group was the same as the positive control group except that rats were treated with 2 mg/Kg/day tacrolimus orally for 21 days. The anti-inflammatory and fibrinolytic properties of oral tacrolimus treatment in attenuating the formation of adhesion bands were analyzed by One-way ANOVA or the Kruskal-Wallis test.

Results: Tacrolimus decreased the length (P=0.001), density (P=0.001), grading (P=0.023), severity (P=0.001), and thickness (P=0.008) of post-surgical adhesion bands compared to the untreated group. Histopathological changes and recruitment of inflammatory cells to the tendon tissue sections were attenuated in the tacrolimus-treated group (P=0.001) in comparison with the positive control group. Compared to the untreated group, tacrolimus treatment decreased the expression of IL-1β (P=0.059) in the tendon tissue, but the difference was not statistically significant. Moreover, tacrolimus elicited anti-fibrotic responses by reducing the expression of tissue growth factor-β (TGF-β) in the tendon and inhibiting collagen deposition, fibrosis quantity (P=0.001), fibrosis grading (P=0.001), and total fibrosis scores (P=0.001), as visualized by Masson's trichrome staining.

Conclusion: These results support the protective properties of tacrolimus in decreasing post-operative adhesion band formation in the animal model.

求助全文
通过发布文献求助,成功后即可免费获取论文全文。 去求助
来源期刊
Iranian Journal of Medical Sciences
Iranian Journal of Medical Sciences MEDICINE, GENERAL & INTERNAL-
CiteScore
3.20
自引率
0.00%
发文量
84
审稿时长
12 weeks
期刊介绍: The Iranian Journal of Medical Sciences (IJMS) is an international quarterly biomedical publication, which is sponsored by Shiraz University of Medical Sciences. The IJMS intends to provide a scientific medium of com­muni­cation for researchers throughout the globe. The journal welcomes original clinical articles as well as clinically oriented basic science re­search experiences on prevalent diseases in the region and analysis of various regional problems.
×
引用
GB/T 7714-2015
复制
MLA
复制
APA
复制
导出至
BibTeX EndNote RefMan NoteFirst NoteExpress
×
提示
您的信息不完整,为了账户安全,请先补充。
现在去补充
×
提示
您因"违规操作"
具体请查看互助需知
我知道了
×
提示
确定
请完成安全验证×
copy
已复制链接
快去分享给好友吧!
我知道了
右上角分享
点击右上角分享
0
联系我们:info@booksci.cn Book学术提供免费学术资源搜索服务,方便国内外学者检索中英文文献。致力于提供最便捷和优质的服务体验。 Copyright © 2023 布克学术 All rights reserved.
京ICP备2023020795号-1
ghs 京公网安备 11010802042870号
Book学术文献互助
Book学术文献互助群
群 号:604180095
Book学术官方微信