新生儿窒息与婴儿起病庞贝病的罕见病例。

IF 3.1 3区 医学 Q1 PEDIATRICS
Francesco Leo, Luca Barchi, Giulia Russo, Eleonora Balestri, Elena Chesi, Francesco Di Dio, Livia Garavelli, Lorenzo Iughetti, Giancarlo Gargano
{"title":"新生儿窒息与婴儿起病庞贝病的罕见病例。","authors":"Francesco Leo, Luca Barchi, Giulia Russo, Eleonora Balestri, Elena Chesi, Francesco Di Dio, Livia Garavelli, Lorenzo Iughetti, Giancarlo Gargano","doi":"10.1186/s13052-025-02088-3","DOIUrl":null,"url":null,"abstract":"<p><strong>Background: </strong>Pompe disease, also known as glycogenosis type II or acid maltase deficiency, is an autosomal recessive disease caused by a deficiency of alpha-glucosidase. The severity depends mainly on the type of mutation, which in turn determines early or late onset; therapy modifies the outcome but does not alter the severity of the disease at presentation.</p><p><strong>Case presentation: </strong>We present a case report of a male infant, inborn and delivered at a gestational age of 39 weeks. Medical history reveals consanguineous parents with no invasive screening tests performed during pregnancy. They chose not to undergo prenatal screening even though they were aware of the risks associated with their consanguinity. At birth, the newborn was atonic and pale, with a heart rate of 70 bpm. During resuscitation, an umbilical venous catheter was placed, and three doses of adrenaline and one dose of bicarbonate were administered. At the Neonatal Intensive Care Unit, he underwent therapeutic hypothermia. Echocardiography, performed a few hours later, revealed severe biventricular and septal hypertrophy consistent with non-obstructive hypertrophic cardiomyopathy. During recovery, even after the discontinuation of hypothermia, the newborn exhibited abnormal neurological signs, including axial hypotonia and a tendency to keep his mouth open with tongue protrusion. Given the clinical picture and the early detection of septal and biventricular hypertrophy, genetic testing was performed, revealing a homozygous c.2560 C > T variant in the acid alpha-glucosidase gene (both parents were carriers), described in scientific literature as a class 5 pathogenic variant associated with glycogenosis type II (Pompe disease).</p><p><strong>Conclusion: </strong>Pompe disease is a rare genetic disorder and may be difficult to diagnose at birth. Suspicion should arise in the presence of hypertrophic cardiomyopathy, especially when associated with a history of neonatal asphyxia and abnormal neurological signs. An accurate diagnosis and early treatment are essential to improving the patient's survival and quality of life.</p>","PeriodicalId":14511,"journal":{"name":"Italian Journal of Pediatrics","volume":"51 1","pages":"260"},"PeriodicalIF":3.1000,"publicationDate":"2025-08-22","publicationTypes":"Journal Article","fieldsOfStudy":null,"isOpenAccess":false,"openAccessPdf":"https://www.ncbi.nlm.nih.gov/pmc/articles/PMC12374320/pdf/","citationCount":"0","resultStr":"{\"title\":\"An uncommon case of neonatal asphyxia associated with infantile-onset Pompe disease.\",\"authors\":\"Francesco Leo, Luca Barchi, Giulia Russo, Eleonora Balestri, Elena Chesi, Francesco Di Dio, Livia Garavelli, Lorenzo Iughetti, Giancarlo Gargano\",\"doi\":\"10.1186/s13052-025-02088-3\",\"DOIUrl\":null,\"url\":null,\"abstract\":\"<p><strong>Background: </strong>Pompe disease, also known as glycogenosis type II or acid maltase deficiency, is an autosomal recessive disease caused by a deficiency of alpha-glucosidase. The severity depends mainly on the type of mutation, which in turn determines early or late onset; therapy modifies the outcome but does not alter the severity of the disease at presentation.</p><p><strong>Case presentation: </strong>We present a case report of a male infant, inborn and delivered at a gestational age of 39 weeks. Medical history reveals consanguineous parents with no invasive screening tests performed during pregnancy. They chose not to undergo prenatal screening even though they were aware of the risks associated with their consanguinity. At birth, the newborn was atonic and pale, with a heart rate of 70 bpm. During resuscitation, an umbilical venous catheter was placed, and three doses of adrenaline and one dose of bicarbonate were administered. At the Neonatal Intensive Care Unit, he underwent therapeutic hypothermia. Echocardiography, performed a few hours later, revealed severe biventricular and septal hypertrophy consistent with non-obstructive hypertrophic cardiomyopathy. During recovery, even after the discontinuation of hypothermia, the newborn exhibited abnormal neurological signs, including axial hypotonia and a tendency to keep his mouth open with tongue protrusion. Given the clinical picture and the early detection of septal and biventricular hypertrophy, genetic testing was performed, revealing a homozygous c.2560 C > T variant in the acid alpha-glucosidase gene (both parents were carriers), described in scientific literature as a class 5 pathogenic variant associated with glycogenosis type II (Pompe disease).</p><p><strong>Conclusion: </strong>Pompe disease is a rare genetic disorder and may be difficult to diagnose at birth. Suspicion should arise in the presence of hypertrophic cardiomyopathy, especially when associated with a history of neonatal asphyxia and abnormal neurological signs. An accurate diagnosis and early treatment are essential to improving the patient's survival and quality of life.</p>\",\"PeriodicalId\":14511,\"journal\":{\"name\":\"Italian Journal of Pediatrics\",\"volume\":\"51 1\",\"pages\":\"260\"},\"PeriodicalIF\":3.1000,\"publicationDate\":\"2025-08-22\",\"publicationTypes\":\"Journal Article\",\"fieldsOfStudy\":null,\"isOpenAccess\":false,\"openAccessPdf\":\"https://www.ncbi.nlm.nih.gov/pmc/articles/PMC12374320/pdf/\",\"citationCount\":\"0\",\"resultStr\":null,\"platform\":\"Semanticscholar\",\"paperid\":null,\"PeriodicalName\":\"Italian Journal of Pediatrics\",\"FirstCategoryId\":\"3\",\"ListUrlMain\":\"https://doi.org/10.1186/s13052-025-02088-3\",\"RegionNum\":3,\"RegionCategory\":\"医学\",\"ArticlePicture\":[],\"TitleCN\":null,\"AbstractTextCN\":null,\"PMCID\":null,\"EPubDate\":\"\",\"PubModel\":\"\",\"JCR\":\"Q1\",\"JCRName\":\"PEDIATRICS\",\"Score\":null,\"Total\":0}","platform":"Semanticscholar","paperid":null,"PeriodicalName":"Italian Journal of Pediatrics","FirstCategoryId":"3","ListUrlMain":"https://doi.org/10.1186/s13052-025-02088-3","RegionNum":3,"RegionCategory":"医学","ArticlePicture":[],"TitleCN":null,"AbstractTextCN":null,"PMCID":null,"EPubDate":"","PubModel":"","JCR":"Q1","JCRName":"PEDIATRICS","Score":null,"Total":0}
引用次数: 0

摘要

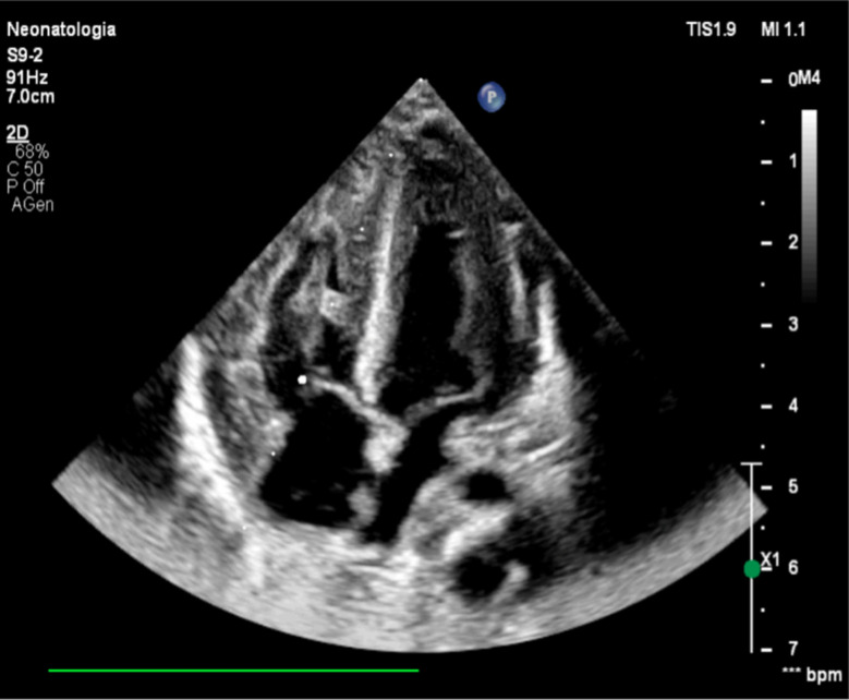
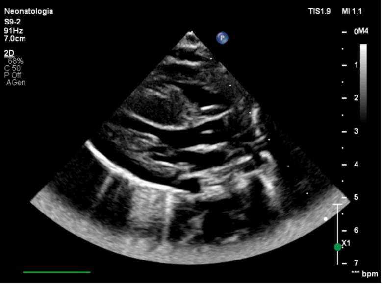
背景:Pompe病,也称为糖原病II型或酸性麦芽糖酶缺乏症,是一种常染色体隐性遗传病,由α -葡萄糖苷酶缺乏引起。严重程度主要取决于突变的类型,这反过来又决定了早发或晚发;治疗改变了结果,但不能改变疾病出现时的严重程度。病例介绍:我们提出了一个病例报告的男婴,出生和分娩在孕周39周。病史显示近亲父母在怀孕期间没有进行侵入性筛查试验。他们选择不接受产前筛查,即使他们知道与他们的血缘有关的风险。出生时,新生儿面色苍白,无张力,心率为每分钟70次。在复苏过程中,放置脐静脉导管,给予三剂肾上腺素和一剂碳酸氢盐。在新生儿重症监护病房,他接受了低温治疗。几小时后超声心动图显示严重的双心室和间隔肥厚,符合非阻塞性肥厚性心肌病。在恢复过程中,即使在停止低温治疗后,新生儿仍表现出异常的神经症状,包括轴向张力降低和倾向于保持嘴巴张开,舌头突出。鉴于临床表现和早期发现的室间隔和双心室肥大,进行基因检测,发现纯合子c.2560酸性α -葡萄糖苷酶基因中的C > T变异(父母双方都是携带者),在科学文献中被描述为与II型糖原病(Pompe病)相关的5级致病变异。结论:庞贝病是一种罕见的遗传性疾病,在出生时可能难以诊断。肥厚性心肌病应引起怀疑,特别是当伴有新生儿窒息史和异常神经体征时。准确的诊断和早期治疗对提高患者的生存和生活质量至关重要。
本文章由计算机程序翻译,如有差异,请以英文原文为准。

An uncommon case of neonatal asphyxia associated with infantile-onset Pompe disease.

An uncommon case of neonatal asphyxia associated with infantile-onset Pompe disease.

An uncommon case of neonatal asphyxia associated with infantile-onset Pompe disease.

An uncommon case of neonatal asphyxia associated with infantile-onset Pompe disease.

Background: Pompe disease, also known as glycogenosis type II or acid maltase deficiency, is an autosomal recessive disease caused by a deficiency of alpha-glucosidase. The severity depends mainly on the type of mutation, which in turn determines early or late onset; therapy modifies the outcome but does not alter the severity of the disease at presentation.

Case presentation: We present a case report of a male infant, inborn and delivered at a gestational age of 39 weeks. Medical history reveals consanguineous parents with no invasive screening tests performed during pregnancy. They chose not to undergo prenatal screening even though they were aware of the risks associated with their consanguinity. At birth, the newborn was atonic and pale, with a heart rate of 70 bpm. During resuscitation, an umbilical venous catheter was placed, and three doses of adrenaline and one dose of bicarbonate were administered. At the Neonatal Intensive Care Unit, he underwent therapeutic hypothermia. Echocardiography, performed a few hours later, revealed severe biventricular and septal hypertrophy consistent with non-obstructive hypertrophic cardiomyopathy. During recovery, even after the discontinuation of hypothermia, the newborn exhibited abnormal neurological signs, including axial hypotonia and a tendency to keep his mouth open with tongue protrusion. Given the clinical picture and the early detection of septal and biventricular hypertrophy, genetic testing was performed, revealing a homozygous c.2560 C > T variant in the acid alpha-glucosidase gene (both parents were carriers), described in scientific literature as a class 5 pathogenic variant associated with glycogenosis type II (Pompe disease).

Conclusion: Pompe disease is a rare genetic disorder and may be difficult to diagnose at birth. Suspicion should arise in the presence of hypertrophic cardiomyopathy, especially when associated with a history of neonatal asphyxia and abnormal neurological signs. An accurate diagnosis and early treatment are essential to improving the patient's survival and quality of life.

求助全文
通过发布文献求助,成功后即可免费获取论文全文。 去求助
来源期刊
CiteScore
6.10
自引率
13.90%
发文量
192
审稿时长
6-12 weeks
期刊介绍: Italian Journal of Pediatrics is an open access peer-reviewed journal that includes all aspects of pediatric medicine. The journal also covers health service and public health research that addresses primary care issues. The journal provides a high-quality forum for pediatricians and other healthcare professionals to report and discuss up-to-the-minute research and expert reviews in the field of pediatric medicine. The journal will continue to develop the range of articles published to enable this invaluable resource to stay at the forefront of the field. Italian Journal of Pediatrics, which commenced in 1975 as Rivista Italiana di Pediatria, provides a high-quality forum for pediatricians and other healthcare professionals to report and discuss up-to-the-minute research and expert reviews in the field of pediatric medicine. The journal will continue to develop the range of articles published to enable this invaluable resource to stay at the forefront of the field.
×
引用
GB/T 7714-2015
复制
MLA
复制
APA
复制
导出至
BibTeX EndNote RefMan NoteFirst NoteExpress
×
提示
您的信息不完整,为了账户安全,请先补充。
现在去补充
×
提示
您因"违规操作"
具体请查看互助需知
我知道了
×
提示
确定
请完成安全验证×
copy
已复制链接
快去分享给好友吧!
我知道了
右上角分享
点击右上角分享
0
联系我们:info@booksci.cn Book学术提供免费学术资源搜索服务,方便国内外学者检索中英文文献。致力于提供最便捷和优质的服务体验。 Copyright © 2023 布克学术 All rights reserved.
京ICP备2023020795号-1
ghs 京公网安备 11010802042870号
Book学术文献互助
Book学术文献互助群
群 号:604180095
Book学术官方微信