表面活性物质功能障碍引起的儿童间质性肺病临床表型和结局的比较分析:重点关注SFTPC、ABCA3和NKX2-1基因突变。

IF 3.1 3区 医学 Q1 PEDIATRICS
Xiaolei Tang, Shunying Zhao, Yuelin Shen, Yu Tang, Xingfeng Yao, Hui Xu, Hui Liu, Xiaoyan Zhang, Xiao Li, Yanqiong Wang, Haiming Yang
{"title":"表面活性物质功能障碍引起的儿童间质性肺病临床表型和结局的比较分析:重点关注SFTPC、ABCA3和NKX2-1基因突变。","authors":"Xiaolei Tang, Shunying Zhao, Yuelin Shen, Yu Tang, Xingfeng Yao, Hui Xu, Hui Liu, Xiaoyan Zhang, Xiao Li, Yanqiong Wang, Haiming Yang","doi":"10.1186/s13052-025-02110-8","DOIUrl":null,"url":null,"abstract":"<p><strong>Background: </strong>Surfactant dysfunction disorders are a group of rare diseases that lead to childhood interstitial lung diseases (ILD). SFTPC, ABCA3, and NKX2-1 are the three genetic forms of this condition. The differences in clinical presentations and prognostic outcomes across these genotypes are not well understood, warranting comparative analysis.</p><p><strong>Methods: </strong>We conducted a retrospective cohort study of 22 children with genetically confirmed surfactant dysfunction disorders (11 SFTPC, 5 ABCA3, 6 NKX2-1). Comprehensive evaluations included clinical features, high-resolution computed tomography (HRCT), serum Krebs von den Lungen-6 antigen (KL-6) levels, autoantibody profiles, immune function assessments, bronchoalveolar lavage fluid analysis, echocardiography, pathology, genetic testing, treatment regimens, and outcomes.</p><p><strong>Results: </strong>The median age at onset was 0.7 years, with the earliest onset in the NKX2-1 group (0.4 years) and the latest in the ABCA3 group (1.7 years). At presentation, the SFTPC group had the lowest respiratory symptom scores, followed by the ABCA3 group, while the NKX2-1 group showed the highest scores (P = 0.034). Pulmonary hypertension prevalence varied significantly among groups (P = 0.005), being highest in the NKX2-1 group (66.7%) and absent in the SFTPC group. KL-6 levels were lowest in the SFTPC group (1302 U/mL), intermediate in the ABCA3 group (4780 U/mL), and highest in the NKX2-1 group (6106.5 U/mL) (P = 0.064). Positive autoantibodies were detected in 27.3% of cases, and diffuse alveolar hemorrhage (DAH) occurred in 13.6%. At the last follow-up, the NKX2-1 group had significantly higher HRCT scores (P = 0.030) and KL-6 levels (P = 0.024) compared to the SFTPC group. The SFTPC group showed significant improvements in symptom scores (median 4 to 2, P = 0.001), HRCT scores (median 24 to 11, P = 0.001), and KL-6 levels (median 1302 U/mL to 620.5 U/mL, P = 0.008) after treatment. In contrast, the NKX2-1 group had worsening symptom scores (median 4.5 to 5.5, P = 0.031) and HRCT scores (median 17.5 to 30, P = 0.031). Among patients receiving combination therapy of corticosteroid and hydroxychloroquine, the SFTPC group had the lowest mortality rate (0%), while the NKX2-1 group had the highest (60%) (P = 0.041).</p><p><strong>Conclusion: </strong>Patients in the SFTPC group were associated with milder phenotypes and better prognosis than patients in the NKX2-1 group in our cohort. A potential association between surfactant dysfunction disorders and autoimmune conditions, as well as DAH, may exist, warranting further investigation.</p>","PeriodicalId":14511,"journal":{"name":"Italian Journal of Pediatrics","volume":"51 1","pages":"265"},"PeriodicalIF":3.1000,"publicationDate":"2025-08-27","publicationTypes":"Journal Article","fieldsOfStudy":null,"isOpenAccess":false,"openAccessPdf":"https://www.ncbi.nlm.nih.gov/pmc/articles/PMC12392539/pdf/","citationCount":"0","resultStr":"{\"title\":\"A comparative analysis of clinical phenotypes and outcomes in childhood interstitial lung disease due to surfactant dysfunction disorders: focusing on mutations in SFTPC, ABCA3, and NKX2-1 genes.\",\"authors\":\"Xiaolei Tang, Shunying Zhao, Yuelin Shen, Yu Tang, Xingfeng Yao, Hui Xu, Hui Liu, Xiaoyan Zhang, Xiao Li, Yanqiong Wang, Haiming Yang\",\"doi\":\"10.1186/s13052-025-02110-8\",\"DOIUrl\":null,\"url\":null,\"abstract\":\"<p><strong>Background: </strong>Surfactant dysfunction disorders are a group of rare diseases that lead to childhood interstitial lung diseases (ILD). SFTPC, ABCA3, and NKX2-1 are the three genetic forms of this condition. The differences in clinical presentations and prognostic outcomes across these genotypes are not well understood, warranting comparative analysis.</p><p><strong>Methods: </strong>We conducted a retrospective cohort study of 22 children with genetically confirmed surfactant dysfunction disorders (11 SFTPC, 5 ABCA3, 6 NKX2-1). Comprehensive evaluations included clinical features, high-resolution computed tomography (HRCT), serum Krebs von den Lungen-6 antigen (KL-6) levels, autoantibody profiles, immune function assessments, bronchoalveolar lavage fluid analysis, echocardiography, pathology, genetic testing, treatment regimens, and outcomes.</p><p><strong>Results: </strong>The median age at onset was 0.7 years, with the earliest onset in the NKX2-1 group (0.4 years) and the latest in the ABCA3 group (1.7 years). At presentation, the SFTPC group had the lowest respiratory symptom scores, followed by the ABCA3 group, while the NKX2-1 group showed the highest scores (P = 0.034). Pulmonary hypertension prevalence varied significantly among groups (P = 0.005), being highest in the NKX2-1 group (66.7%) and absent in the SFTPC group. KL-6 levels were lowest in the SFTPC group (1302 U/mL), intermediate in the ABCA3 group (4780 U/mL), and highest in the NKX2-1 group (6106.5 U/mL) (P = 0.064). Positive autoantibodies were detected in 27.3% of cases, and diffuse alveolar hemorrhage (DAH) occurred in 13.6%. At the last follow-up, the NKX2-1 group had significantly higher HRCT scores (P = 0.030) and KL-6 levels (P = 0.024) compared to the SFTPC group. The SFTPC group showed significant improvements in symptom scores (median 4 to 2, P = 0.001), HRCT scores (median 24 to 11, P = 0.001), and KL-6 levels (median 1302 U/mL to 620.5 U/mL, P = 0.008) after treatment. In contrast, the NKX2-1 group had worsening symptom scores (median 4.5 to 5.5, P = 0.031) and HRCT scores (median 17.5 to 30, P = 0.031). Among patients receiving combination therapy of corticosteroid and hydroxychloroquine, the SFTPC group had the lowest mortality rate (0%), while the NKX2-1 group had the highest (60%) (P = 0.041).</p><p><strong>Conclusion: </strong>Patients in the SFTPC group were associated with milder phenotypes and better prognosis than patients in the NKX2-1 group in our cohort. A potential association between surfactant dysfunction disorders and autoimmune conditions, as well as DAH, may exist, warranting further investigation.</p>\",\"PeriodicalId\":14511,\"journal\":{\"name\":\"Italian Journal of Pediatrics\",\"volume\":\"51 1\",\"pages\":\"265\"},\"PeriodicalIF\":3.1000,\"publicationDate\":\"2025-08-27\",\"publicationTypes\":\"Journal Article\",\"fieldsOfStudy\":null,\"isOpenAccess\":false,\"openAccessPdf\":\"https://www.ncbi.nlm.nih.gov/pmc/articles/PMC12392539/pdf/\",\"citationCount\":\"0\",\"resultStr\":null,\"platform\":\"Semanticscholar\",\"paperid\":null,\"PeriodicalName\":\"Italian Journal of Pediatrics\",\"FirstCategoryId\":\"3\",\"ListUrlMain\":\"https://doi.org/10.1186/s13052-025-02110-8\",\"RegionNum\":3,\"RegionCategory\":\"医学\",\"ArticlePicture\":[],\"TitleCN\":null,\"AbstractTextCN\":null,\"PMCID\":null,\"EPubDate\":\"\",\"PubModel\":\"\",\"JCR\":\"Q1\",\"JCRName\":\"PEDIATRICS\",\"Score\":null,\"Total\":0}","platform":"Semanticscholar","paperid":null,"PeriodicalName":"Italian Journal of Pediatrics","FirstCategoryId":"3","ListUrlMain":"https://doi.org/10.1186/s13052-025-02110-8","RegionNum":3,"RegionCategory":"医学","ArticlePicture":[],"TitleCN":null,"AbstractTextCN":null,"PMCID":null,"EPubDate":"","PubModel":"","JCR":"Q1","JCRName":"PEDIATRICS","Score":null,"Total":0}
引用次数: 0

摘要

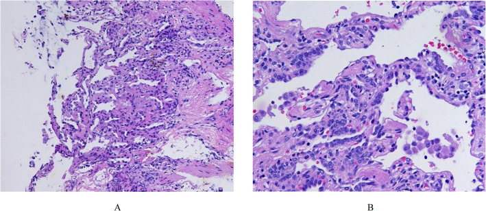
背景:表面活性物质功能障碍是导致儿童间质性肺疾病(ILD)的一组罕见疾病。SFTPC、ABCA3和NKX2-1是这种疾病的三种遗传形式。这些基因型在临床表现和预后结果方面的差异尚不清楚,需要进行比较分析。方法:我们对22例经遗传证实的表面活性剂功能障碍患儿(11例SFTPC, 5例ABCA3, 6例NKX2-1)进行回顾性队列研究。综合评估包括临床特征、高分辨率计算机断层扫描(HRCT)、血清克雷布斯·冯·登·伦根-6抗原(KL-6)水平、自身抗体谱、免疫功能评估、支气管肺泡灌洗液分析、超声心动图、病理、基因检测、治疗方案和结果。结果:中位发病年龄为0.7岁,NKX2-1组发病最早(0.4岁),ABCA3组发病最晚(1.7岁)。就诊时,SFTPC组呼吸症状评分最低,ABCA3组次之,NKX2-1组评分最高(P = 0.034)。肺动脉高压患病率组间差异有统计学意义(P = 0.005), NKX2-1组最高(66.7%),SFTPC组无。KL-6水平在SFTPC组最低(1302 U/mL), ABCA3组居中(4780 U/mL), NKX2-1组最高(6106.5 U/mL) (P = 0.064)。自身抗体阳性占27.3%,弥漫性肺泡出血(DAH)占13.6%。末次随访时,NKX2-1组HRCT评分(P = 0.030)和KL-6水平(P = 0.024)均显著高于SFTPC组。SFTPC组治疗后症状评分(中位数为4 ~ 2,P = 0.001)、HRCT评分(中位数为24 ~ 11,P = 0.001)和KL-6水平(中位数为1302 ~ 620.5 U/mL, P = 0.008)均有显著改善。相比之下,NKX2-1组症状评分加重(中位数为4.5 ~ 5.5,P = 0.031), HRCT评分加重(中位数为17.5 ~ 30,P = 0.031)。在皮质类固醇与羟氯喹联合治疗的患者中,SFTPC组死亡率最低(0%),NKX2-1组死亡率最高(60%)(P = 0.041)。结论:在我们的队列中,SFTPC组患者比NKX2-1组患者表型更轻,预后更好。表面活性剂功能障碍与自身免疫性疾病以及DAH之间可能存在潜在的关联,值得进一步研究。
本文章由计算机程序翻译,如有差异,请以英文原文为准。

A comparative analysis of clinical phenotypes and outcomes in childhood interstitial lung disease due to surfactant dysfunction disorders: focusing on mutations in SFTPC, ABCA3, and NKX2-1 genes.

A comparative analysis of clinical phenotypes and outcomes in childhood interstitial lung disease due to surfactant dysfunction disorders: focusing on mutations in SFTPC, ABCA3, and NKX2-1 genes.

A comparative analysis of clinical phenotypes and outcomes in childhood interstitial lung disease due to surfactant dysfunction disorders: focusing on mutations in SFTPC, ABCA3, and NKX2-1 genes.

A comparative analysis of clinical phenotypes and outcomes in childhood interstitial lung disease due to surfactant dysfunction disorders: focusing on mutations in SFTPC, ABCA3, and NKX2-1 genes.

Background: Surfactant dysfunction disorders are a group of rare diseases that lead to childhood interstitial lung diseases (ILD). SFTPC, ABCA3, and NKX2-1 are the three genetic forms of this condition. The differences in clinical presentations and prognostic outcomes across these genotypes are not well understood, warranting comparative analysis.

Methods: We conducted a retrospective cohort study of 22 children with genetically confirmed surfactant dysfunction disorders (11 SFTPC, 5 ABCA3, 6 NKX2-1). Comprehensive evaluations included clinical features, high-resolution computed tomography (HRCT), serum Krebs von den Lungen-6 antigen (KL-6) levels, autoantibody profiles, immune function assessments, bronchoalveolar lavage fluid analysis, echocardiography, pathology, genetic testing, treatment regimens, and outcomes.

Results: The median age at onset was 0.7 years, with the earliest onset in the NKX2-1 group (0.4 years) and the latest in the ABCA3 group (1.7 years). At presentation, the SFTPC group had the lowest respiratory symptom scores, followed by the ABCA3 group, while the NKX2-1 group showed the highest scores (P = 0.034). Pulmonary hypertension prevalence varied significantly among groups (P = 0.005), being highest in the NKX2-1 group (66.7%) and absent in the SFTPC group. KL-6 levels were lowest in the SFTPC group (1302 U/mL), intermediate in the ABCA3 group (4780 U/mL), and highest in the NKX2-1 group (6106.5 U/mL) (P = 0.064). Positive autoantibodies were detected in 27.3% of cases, and diffuse alveolar hemorrhage (DAH) occurred in 13.6%. At the last follow-up, the NKX2-1 group had significantly higher HRCT scores (P = 0.030) and KL-6 levels (P = 0.024) compared to the SFTPC group. The SFTPC group showed significant improvements in symptom scores (median 4 to 2, P = 0.001), HRCT scores (median 24 to 11, P = 0.001), and KL-6 levels (median 1302 U/mL to 620.5 U/mL, P = 0.008) after treatment. In contrast, the NKX2-1 group had worsening symptom scores (median 4.5 to 5.5, P = 0.031) and HRCT scores (median 17.5 to 30, P = 0.031). Among patients receiving combination therapy of corticosteroid and hydroxychloroquine, the SFTPC group had the lowest mortality rate (0%), while the NKX2-1 group had the highest (60%) (P = 0.041).

Conclusion: Patients in the SFTPC group were associated with milder phenotypes and better prognosis than patients in the NKX2-1 group in our cohort. A potential association between surfactant dysfunction disorders and autoimmune conditions, as well as DAH, may exist, warranting further investigation.

求助全文
通过发布文献求助,成功后即可免费获取论文全文。 去求助
来源期刊
CiteScore
6.10
自引率
13.90%
发文量
192
审稿时长
6-12 weeks
期刊介绍: Italian Journal of Pediatrics is an open access peer-reviewed journal that includes all aspects of pediatric medicine. The journal also covers health service and public health research that addresses primary care issues. The journal provides a high-quality forum for pediatricians and other healthcare professionals to report and discuss up-to-the-minute research and expert reviews in the field of pediatric medicine. The journal will continue to develop the range of articles published to enable this invaluable resource to stay at the forefront of the field. Italian Journal of Pediatrics, which commenced in 1975 as Rivista Italiana di Pediatria, provides a high-quality forum for pediatricians and other healthcare professionals to report and discuss up-to-the-minute research and expert reviews in the field of pediatric medicine. The journal will continue to develop the range of articles published to enable this invaluable resource to stay at the forefront of the field.
×
引用
GB/T 7714-2015
复制
MLA
复制
APA
复制
导出至
BibTeX EndNote RefMan NoteFirst NoteExpress
×
提示
您的信息不完整,为了账户安全,请先补充。
现在去补充
×
提示
您因"违规操作"
具体请查看互助需知
我知道了
×
提示
确定
请完成安全验证×
copy
已复制链接
快去分享给好友吧!
我知道了
右上角分享
点击右上角分享
0
联系我们:info@booksci.cn Book学术提供免费学术资源搜索服务,方便国内外学者检索中英文文献。致力于提供最便捷和优质的服务体验。 Copyright © 2023 布克学术 All rights reserved.
京ICP备2023020795号-1
ghs 京公网安备 11010802042870号
Book学术文献互助
Book学术文献互助群
群 号:604180095
Book学术官方微信