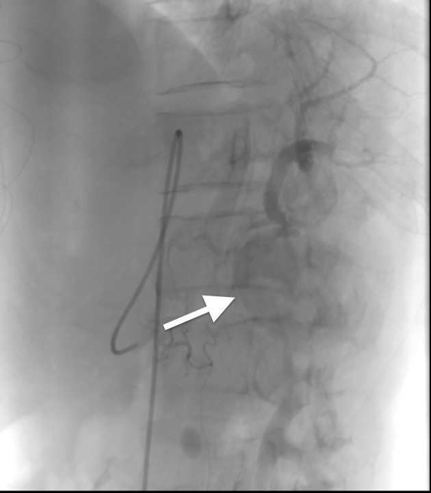
感染性心内膜炎患者脾梗死后迟发性巨大脾动脉瘤1例。

IF 0.7 Q3 MEDICINE, GENERAL & INTERNAL
International Medical Case Reports Journal Pub Date : 2025-08-23 eCollection Date: 2025-01-01 DOI:10.2147/IMCRJ.S541479
Zhaxi Yangzong, Xiying Gui, Qingping Wen, Hua Qian, Li Shi, Xinchao Liu
{"title":"感染性心内膜炎患者脾梗死后迟发性巨大脾动脉瘤1例。","authors":"Zhaxi Yangzong, Xiying Gui, Qingping Wen, Hua Qian, Li Shi, Xinchao Liu","doi":"10.2147/IMCRJ.S541479","DOIUrl":null,"url":null,"abstract":"<p><p>Infective endocarditis is a severe infectious disease that, in addition to cardiac complications such as heart failure and arrhythmias caused by valve damage, may also lead to extracardiac complications such as septic embolization, metastatic abscesses, and mycotic aneurysms. Here, we report a rare case of splenic infarction resulting from infective endocarditis, subsequently leading to the development of a splenic artery aneurysm three weeks post-surgery confirmed both by CTA and DSA. Following arterial embolization of the aneurysm, the patient eventually recovered completely.</p>","PeriodicalId":14337,"journal":{"name":"International Medical Case Reports Journal","volume":"18 ","pages":"1093-1097"},"PeriodicalIF":0.7000,"publicationDate":"2025-08-23","publicationTypes":"Journal Article","fieldsOfStudy":null,"isOpenAccess":false,"openAccessPdf":"https://www.ncbi.nlm.nih.gov/pmc/articles/PMC12382978/pdf/","citationCount":"0","resultStr":"{\"title\":\"Delayed Giant Splenic Artery Aneurysm Following Splenic Infarction in a Patient with Infective Endocarditis.\",\"authors\":\"Zhaxi Yangzong, Xiying Gui, Qingping Wen, Hua Qian, Li Shi, Xinchao Liu\",\"doi\":\"10.2147/IMCRJ.S541479\",\"DOIUrl\":null,\"url\":null,\"abstract\":\"<p><p>Infective endocarditis is a severe infectious disease that, in addition to cardiac complications such as heart failure and arrhythmias caused by valve damage, may also lead to extracardiac complications such as septic embolization, metastatic abscesses, and mycotic aneurysms. Here, we report a rare case of splenic infarction resulting from infective endocarditis, subsequently leading to the development of a splenic artery aneurysm three weeks post-surgery confirmed both by CTA and DSA. Following arterial embolization of the aneurysm, the patient eventually recovered completely.</p>\",\"PeriodicalId\":14337,\"journal\":{\"name\":\"International Medical Case Reports Journal\",\"volume\":\"18 \",\"pages\":\"1093-1097\"},\"PeriodicalIF\":0.7000,\"publicationDate\":\"2025-08-23\",\"publicationTypes\":\"Journal Article\",\"fieldsOfStudy\":null,\"isOpenAccess\":false,\"openAccessPdf\":\"https://www.ncbi.nlm.nih.gov/pmc/articles/PMC12382978/pdf/\",\"citationCount\":\"0\",\"resultStr\":null,\"platform\":\"Semanticscholar\",\"paperid\":null,\"PeriodicalName\":\"International Medical Case Reports Journal\",\"FirstCategoryId\":\"1085\",\"ListUrlMain\":\"https://doi.org/10.2147/IMCRJ.S541479\",\"RegionNum\":0,\"RegionCategory\":null,\"ArticlePicture\":[],\"TitleCN\":null,\"AbstractTextCN\":null,\"PMCID\":null,\"EPubDate\":\"2025/1/1 0:00:00\",\"PubModel\":\"eCollection\",\"JCR\":\"Q3\",\"JCRName\":\"MEDICINE, GENERAL & INTERNAL\",\"Score\":null,\"Total\":0}","platform":"Semanticscholar","paperid":null,"PeriodicalName":"International Medical Case Reports Journal","FirstCategoryId":"1085","ListUrlMain":"https://doi.org/10.2147/IMCRJ.S541479","RegionNum":0,"RegionCategory":null,"ArticlePicture":[],"TitleCN":null,"AbstractTextCN":null,"PMCID":null,"EPubDate":"2025/1/1 0:00:00","PubModel":"eCollection","JCR":"Q3","JCRName":"MEDICINE, GENERAL & INTERNAL","Score":null,"Total":0}
引用次数: 0

摘要

感染性心内膜炎是一种严重的感染性疾病,除了瓣膜损伤引起的心力衰竭和心律失常等心脏并发症外,还可能导致化脓症栓塞、转移性脓肿和真菌性动脉瘤等心外并发症。在此,我们报告一例罕见的由感染性心内膜炎引起的脾梗死,术后三周经CTA和DSA证实为脾动脉瘤。动脉瘤动脉栓塞后,患者最终完全康复。
本文章由计算机程序翻译,如有差异,请以英文原文为准。

Delayed Giant Splenic Artery Aneurysm Following Splenic Infarction in a Patient with Infective Endocarditis.

Delayed Giant Splenic Artery Aneurysm Following Splenic Infarction in a Patient with Infective Endocarditis.

Delayed Giant Splenic Artery Aneurysm Following Splenic Infarction in a Patient with Infective Endocarditis.

Infective endocarditis is a severe infectious disease that, in addition to cardiac complications such as heart failure and arrhythmias caused by valve damage, may also lead to extracardiac complications such as septic embolization, metastatic abscesses, and mycotic aneurysms. Here, we report a rare case of splenic infarction resulting from infective endocarditis, subsequently leading to the development of a splenic artery aneurysm three weeks post-surgery confirmed both by CTA and DSA. Following arterial embolization of the aneurysm, the patient eventually recovered completely.

求助全文
通过发布文献求助,成功后即可免费获取论文全文。 去求助
来源期刊
International Medical Case Reports Journal
International Medical Case Reports Journal MEDICINE, GENERAL & INTERNAL-
CiteScore
1.40
自引率
0.00%
发文量
135
审稿时长
16 weeks
期刊介绍: International Medical Case Reports Journal is an international, peer-reviewed, open access, online journal publishing original case reports from all medical specialties. Submissions should not normally exceed 3,000 words or 4 published pages including figures, diagrams and references. As of 1st April 2019, the International Medical Case Reports Journal will no longer consider meta-analyses for publication.
×
引用
GB/T 7714-2015
复制
MLA
复制
APA
复制
导出至
BibTeX EndNote RefMan NoteFirst NoteExpress
×
提示
您的信息不完整,为了账户安全,请先补充。
现在去补充
×
提示
您因"违规操作"
具体请查看互助需知
我知道了
×
提示
确定
请完成安全验证×
copy
已复制链接
快去分享给好友吧!
我知道了
右上角分享
点击右上角分享
0
联系我们:info@booksci.cn Book学术提供免费学术资源搜索服务,方便国内外学者检索中英文文献。致力于提供最便捷和优质的服务体验。 Copyright © 2023 布克学术 All rights reserved.
京ICP备2023020795号-1
ghs 京公网安备 11010802042870号
Book学术文献互助
Book学术文献互助群
群 号:604180095
Book学术官方微信