哥伦比亚白色念珠菌种复合体外阴阴道分离株HWP1基因序列多样性和抗真菌敏感性模式

IF 3.2 Q3 MICROBIOLOGY
International Journal of Microbiology Pub Date : 2025-08-21 eCollection Date: 2025-01-01 DOI:10.1155/ijm/8507361
Soraya Morales-López, Yeneiris Villero Wolf, Yulibeth Torres, Deyner Lechuga, Luis Caicedo, Guillermo García-Effron
{"title":"哥伦比亚白色念珠菌种复合体外阴阴道分离株HWP1基因序列多样性和抗真菌敏感性模式","authors":"Soraya Morales-López, Yeneiris Villero Wolf, Yulibeth Torres, Deyner Lechuga, Luis Caicedo, Guillermo García-Effron","doi":"10.1155/ijm/8507361","DOIUrl":null,"url":null,"abstract":"<p><p><b>Background:</b> <i>Candida albicans</i> complex species are the main cause of candidiasis. <b>Objectives:</b> The purpose of this study was to report the prevalence and genetic diversity of <i>C. albicans</i> complex using hyphal wall protein 1 (HWP1) gene size polymorphism, as well as the susceptibility patterns to fluconazole and voriconazole. <b>Methods:</b> A total of 170 yeast isolates were obtained from vulvovaginal samples, and phenotypic and proteomic identification was performed. <b>Results:</b> Most clinical isolates were <i>C. albicans</i> complex (<i>n</i> = 153) followed by <i>C. glabrata</i> (<i>n</i> = 13), <i>C. parapsilosis</i> complex (<i>n</i> = 2), and <i>Pichia kudriavzevii</i> (<i>n</i> = 2). Among <i>C. albicans</i> complexes, all isolates were <i>C. albicans sensu stricto</i> and 2.61% and 4.58% were resistant to fluconazole and voriconazole, respectively. <b>Conclusions:</b> The presence of different alleles was confirmed, heterozygosity was more common than homozygosity (71.03% vs. 28.97%), and some isolates showed a homozygosis pattern not previously described. Despite these genetic diversities, no specific genotype was linked to azole resistance.</p>","PeriodicalId":14098,"journal":{"name":"International Journal of Microbiology","volume":"2025 ","pages":"8507361"},"PeriodicalIF":3.2000,"publicationDate":"2025-08-21","publicationTypes":"Journal Article","fieldsOfStudy":null,"isOpenAccess":false,"openAccessPdf":"https://www.ncbi.nlm.nih.gov/pmc/articles/PMC12393925/pdf/","citationCount":"0","resultStr":"{\"title\":\"HWP1 Gene Sequence Diversity and Antifungal Susceptibility Patterns in Colombian Vulvovaginal Isolates of the <i>Candida albicans</i> Species Complex.\",\"authors\":\"Soraya Morales-López, Yeneiris Villero Wolf, Yulibeth Torres, Deyner Lechuga, Luis Caicedo, Guillermo García-Effron\",\"doi\":\"10.1155/ijm/8507361\",\"DOIUrl\":null,\"url\":null,\"abstract\":\"<p><p><b>Background:</b> <i>Candida albicans</i> complex species are the main cause of candidiasis. <b>Objectives:</b> The purpose of this study was to report the prevalence and genetic diversity of <i>C. albicans</i> complex using hyphal wall protein 1 (HWP1) gene size polymorphism, as well as the susceptibility patterns to fluconazole and voriconazole. <b>Methods:</b> A total of 170 yeast isolates were obtained from vulvovaginal samples, and phenotypic and proteomic identification was performed. <b>Results:</b> Most clinical isolates were <i>C. albicans</i> complex (<i>n</i> = 153) followed by <i>C. glabrata</i> (<i>n</i> = 13), <i>C. parapsilosis</i> complex (<i>n</i> = 2), and <i>Pichia kudriavzevii</i> (<i>n</i> = 2). Among <i>C. albicans</i> complexes, all isolates were <i>C. albicans sensu stricto</i> and 2.61% and 4.58% were resistant to fluconazole and voriconazole, respectively. <b>Conclusions:</b> The presence of different alleles was confirmed, heterozygosity was more common than homozygosity (71.03% vs. 28.97%), and some isolates showed a homozygosis pattern not previously described. Despite these genetic diversities, no specific genotype was linked to azole resistance.</p>\",\"PeriodicalId\":14098,\"journal\":{\"name\":\"International Journal of Microbiology\",\"volume\":\"2025 \",\"pages\":\"8507361\"},\"PeriodicalIF\":3.2000,\"publicationDate\":\"2025-08-21\",\"publicationTypes\":\"Journal Article\",\"fieldsOfStudy\":null,\"isOpenAccess\":false,\"openAccessPdf\":\"https://www.ncbi.nlm.nih.gov/pmc/articles/PMC12393925/pdf/\",\"citationCount\":\"0\",\"resultStr\":null,\"platform\":\"Semanticscholar\",\"paperid\":null,\"PeriodicalName\":\"International Journal of Microbiology\",\"FirstCategoryId\":\"1085\",\"ListUrlMain\":\"https://doi.org/10.1155/ijm/8507361\",\"RegionNum\":0,\"RegionCategory\":null,\"ArticlePicture\":[],\"TitleCN\":null,\"AbstractTextCN\":null,\"PMCID\":null,\"EPubDate\":\"2025/1/1 0:00:00\",\"PubModel\":\"eCollection\",\"JCR\":\"Q3\",\"JCRName\":\"MICROBIOLOGY\",\"Score\":null,\"Total\":0}","platform":"Semanticscholar","paperid":null,"PeriodicalName":"International Journal of Microbiology","FirstCategoryId":"1085","ListUrlMain":"https://doi.org/10.1155/ijm/8507361","RegionNum":0,"RegionCategory":null,"ArticlePicture":[],"TitleCN":null,"AbstractTextCN":null,"PMCID":null,"EPubDate":"2025/1/1 0:00:00","PubModel":"eCollection","JCR":"Q3","JCRName":"MICROBIOLOGY","Score":null,"Total":0}
引用次数: 0

摘要

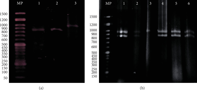
背景:白色念珠菌复合体是引起念珠菌病的主要原因。目的:利用菌丝壁蛋白1 (HWP1)基因大小多态性分析白色念珠菌复合体的流行程度和遗传多样性,以及对氟康唑和伏立康唑的易感性。方法:从外阴阴道标本中分离得到170株酵母菌,进行表型和蛋白质组学鉴定。结果:临床分离株以白色念珠菌复合体最多(153株),其次为光秃念珠菌复合体(13株)、旁裂念珠菌复合体(2株)和库德里亚夫氏毕赤酵母(2株)。在白色念珠菌复合体中,所有分离株均为严格感白念珠菌,对氟康唑和伏立康唑的耐药率分别为2.61%和4.58%。结论:证实了不同等位基因的存在,杂合性比纯合性更常见(71.03%比28.97%),部分分离株表现为未见报道的纯合模式。尽管有这些遗传多样性,但没有特定的基因型与唑抗性有关。
本文章由计算机程序翻译,如有差异,请以英文原文为准。

HWP1 Gene Sequence Diversity and Antifungal Susceptibility Patterns in Colombian Vulvovaginal Isolates of the <i>Candida albicans</i> Species Complex.

HWP1 Gene Sequence Diversity and Antifungal Susceptibility Patterns in Colombian Vulvovaginal Isolates of the <i>Candida albicans</i> Species Complex.

HWP1 Gene Sequence Diversity and Antifungal Susceptibility Patterns in Colombian Vulvovaginal Isolates of the Candida albicans Species Complex.

Background: Candida albicans complex species are the main cause of candidiasis. Objectives: The purpose of this study was to report the prevalence and genetic diversity of C. albicans complex using hyphal wall protein 1 (HWP1) gene size polymorphism, as well as the susceptibility patterns to fluconazole and voriconazole. Methods: A total of 170 yeast isolates were obtained from vulvovaginal samples, and phenotypic and proteomic identification was performed. Results: Most clinical isolates were C. albicans complex (n = 153) followed by C. glabrata (n = 13), C. parapsilosis complex (n = 2), and Pichia kudriavzevii (n = 2). Among C. albicans complexes, all isolates were C. albicans sensu stricto and 2.61% and 4.58% were resistant to fluconazole and voriconazole, respectively. Conclusions: The presence of different alleles was confirmed, heterozygosity was more common than homozygosity (71.03% vs. 28.97%), and some isolates showed a homozygosis pattern not previously described. Despite these genetic diversities, no specific genotype was linked to azole resistance.

求助全文
通过发布文献求助,成功后即可免费获取论文全文。 去求助
来源期刊
CiteScore
7.90
自引率
0.00%
发文量
57
审稿时长
13 weeks
期刊介绍: International Journal of Microbiology is a peer-reviewed, Open Access journal that publishes original research articles, review articles, and clinical studies on microorganisms and their interaction with hosts and the environment. The journal covers all microbes, including bacteria, fungi, viruses, archaea, and protozoa. Basic science will be considered, as well as medical and applied research.
×
引用
GB/T 7714-2015
复制
MLA
复制
APA
复制
导出至
BibTeX EndNote RefMan NoteFirst NoteExpress
×
提示
您的信息不完整,为了账户安全,请先补充。
现在去补充
×
提示
您因"违规操作"
具体请查看互助需知
我知道了
×
提示
确定
请完成安全验证×
copy
已复制链接
快去分享给好友吧!
我知道了
右上角分享
点击右上角分享
0
联系我们:info@booksci.cn Book学术提供免费学术资源搜索服务,方便国内外学者检索中英文文献。致力于提供最便捷和优质的服务体验。 Copyright © 2023 布克学术 All rights reserved.
京ICP备2023020795号-1
ghs 京公网安备 11010802042870号
Book学术文献互助
Book学术文献互助群
群 号:604180095
Book学术官方微信