日本某三级医院成人支原体住院病例

IF 2.9 3区 医学 Q2 INFECTIOUS DISEASES
Infection and Drug Resistance Pub Date : 2025-08-15 eCollection Date: 2025-01-01 DOI:10.2147/IDR.S541327
Masafumi Seki
{"title":"日本某三级医院成人支原体住院病例","authors":"Masafumi Seki","doi":"10.2147/IDR.S541327","DOIUrl":null,"url":null,"abstract":"<p><strong>Background: </strong>Mycoplasma infections have increased globally, including in Japan. Severe pneumonia due to <i>Mycoplasma pneumoniae</i> (<i>M. pneumoniae</i>) that is resistant to macrolides has been reported in the post-COVID-19 period, but its pathogenesis and detailed treatment regimens are still unclear.</p><p><strong>Case series: </strong>Four adult cases of <i>M. pneumoniae</i> pneumonia that required admission to the hospital in the 2024-2025 season are presented. Case 1: a 17-year-old male without a specific medical history who was admitted with pneumonia with a severe dry cough. <i>Mycoplasma. pneumoniae</i> genes were detected by multiplex PCR from his sputum. The patient's condition improved with minocycline and corticosteroids for 5 days. Case 2: a 88-year-old man with acute kidney injury who was admitted with severe respiratory failure. Mycoplasma antigen was detected in his pharyngeal swab. He received lascufloxacin drip infusion with corticosteroids for 10 days, and soon improved. Case 3: a 38-year-old woman with maxillary carcinoma and a history of aplastic anemia who was admitted with a severe cough. Mycoplasma antigen was detected in her pharyngeal swab. She received minocycline and corticosteroid drip infusion for 1 week, and finally improved. Case 4: a 74-year-old man with multiple systemic atrophies who was admitted with a severe cough and dyspnea. Mycoplasma antigen was detected from his pharyngeal swab and methicillin-susceptible <i>Staphylococcus aureus</i> (MSSA) was isolated from his sputum. The patient was diagnosed with co-infection with mycoplasma and MSSA. He was treated with sulbactam/ampicillin drip infusion and oral administration of minocycline for 2 weeks, and improved.</p><p><strong>Conclusion: </strong>All hospitalized adult patients with mycoplasma pneumonia were treated with antibiotics, such as minocycline and fluoroquinolone, along with corticosteroid co-administration, and all of them ultimately improved, although the chest X-ray findings varied. Antibiotics other than macrolides and corticosteroids may be an effective regimen for the treatment of severe mycoplasma pneumonia with potential macrolide resistance.</p>","PeriodicalId":13577,"journal":{"name":"Infection and Drug Resistance","volume":"18 ","pages":"4119-4124"},"PeriodicalIF":2.9000,"publicationDate":"2025-08-15","publicationTypes":"Journal Article","fieldsOfStudy":null,"isOpenAccess":false,"openAccessPdf":"https://www.ncbi.nlm.nih.gov/pmc/articles/PMC12363540/pdf/","citationCount":"0","resultStr":"{\"title\":\"Adult Hospitalized Mycoplasma Cases in a Tertiary Hospital in Japan.\",\"authors\":\"Masafumi Seki\",\"doi\":\"10.2147/IDR.S541327\",\"DOIUrl\":null,\"url\":null,\"abstract\":\"<p><strong>Background: </strong>Mycoplasma infections have increased globally, including in Japan. Severe pneumonia due to <i>Mycoplasma pneumoniae</i> (<i>M. pneumoniae</i>) that is resistant to macrolides has been reported in the post-COVID-19 period, but its pathogenesis and detailed treatment regimens are still unclear.</p><p><strong>Case series: </strong>Four adult cases of <i>M. pneumoniae</i> pneumonia that required admission to the hospital in the 2024-2025 season are presented. Case 1: a 17-year-old male without a specific medical history who was admitted with pneumonia with a severe dry cough. <i>Mycoplasma. pneumoniae</i> genes were detected by multiplex PCR from his sputum. The patient's condition improved with minocycline and corticosteroids for 5 days. Case 2: a 88-year-old man with acute kidney injury who was admitted with severe respiratory failure. Mycoplasma antigen was detected in his pharyngeal swab. He received lascufloxacin drip infusion with corticosteroids for 10 days, and soon improved. Case 3: a 38-year-old woman with maxillary carcinoma and a history of aplastic anemia who was admitted with a severe cough. Mycoplasma antigen was detected in her pharyngeal swab. She received minocycline and corticosteroid drip infusion for 1 week, and finally improved. Case 4: a 74-year-old man with multiple systemic atrophies who was admitted with a severe cough and dyspnea. Mycoplasma antigen was detected from his pharyngeal swab and methicillin-susceptible <i>Staphylococcus aureus</i> (MSSA) was isolated from his sputum. The patient was diagnosed with co-infection with mycoplasma and MSSA. He was treated with sulbactam/ampicillin drip infusion and oral administration of minocycline for 2 weeks, and improved.</p><p><strong>Conclusion: </strong>All hospitalized adult patients with mycoplasma pneumonia were treated with antibiotics, such as minocycline and fluoroquinolone, along with corticosteroid co-administration, and all of them ultimately improved, although the chest X-ray findings varied. Antibiotics other than macrolides and corticosteroids may be an effective regimen for the treatment of severe mycoplasma pneumonia with potential macrolide resistance.</p>\",\"PeriodicalId\":13577,\"journal\":{\"name\":\"Infection and Drug Resistance\",\"volume\":\"18 \",\"pages\":\"4119-4124\"},\"PeriodicalIF\":2.9000,\"publicationDate\":\"2025-08-15\",\"publicationTypes\":\"Journal Article\",\"fieldsOfStudy\":null,\"isOpenAccess\":false,\"openAccessPdf\":\"https://www.ncbi.nlm.nih.gov/pmc/articles/PMC12363540/pdf/\",\"citationCount\":\"0\",\"resultStr\":null,\"platform\":\"Semanticscholar\",\"paperid\":null,\"PeriodicalName\":\"Infection and Drug Resistance\",\"FirstCategoryId\":\"3\",\"ListUrlMain\":\"https://doi.org/10.2147/IDR.S541327\",\"RegionNum\":3,\"RegionCategory\":\"医学\",\"ArticlePicture\":[],\"TitleCN\":null,\"AbstractTextCN\":null,\"PMCID\":null,\"EPubDate\":\"2025/1/1 0:00:00\",\"PubModel\":\"eCollection\",\"JCR\":\"Q2\",\"JCRName\":\"INFECTIOUS DISEASES\",\"Score\":null,\"Total\":0}","platform":"Semanticscholar","paperid":null,"PeriodicalName":"Infection and Drug Resistance","FirstCategoryId":"3","ListUrlMain":"https://doi.org/10.2147/IDR.S541327","RegionNum":3,"RegionCategory":"医学","ArticlePicture":[],"TitleCN":null,"AbstractTextCN":null,"PMCID":null,"EPubDate":"2025/1/1 0:00:00","PubModel":"eCollection","JCR":"Q2","JCRName":"INFECTIOUS DISEASES","Score":null,"Total":0}
引用次数: 0

摘要

背景:支原体感染在全球范围内有所增加,包括在日本。在covid -19后时期,已报道了对大环内酯类药物耐药的肺炎支原体(肺炎支原体)引起的严重肺炎,但其发病机制和详细的治疗方案尚不清楚。病例系列:四例成人肺炎支原体肺炎需要入院在2024-2025年季节提出。病例1:17岁男性,无特殊病史,因肺炎伴严重干咳入院。支原体。痰液经多重PCR检测肺炎基因。米诺环素和皮质类固醇治疗5天,患者病情得到改善。病例2:一名88岁男性急性肾损伤患者因严重呼吸衰竭入院。咽拭子检出支原体抗原。滴注拉库沙星加皮质类固醇10天,病情很快好转。病例3:一名38岁女性,上颌癌伴再生障碍性贫血病史,因严重咳嗽入院。咽拭子检出支原体抗原。给予米诺环素和皮质类固醇滴注1周,病情好转。病例4:74岁男性多发性系统性萎缩,因严重咳嗽和呼吸困难入院。咽拭子检出支原体抗原,痰中检出甲氧西林敏感金黄色葡萄球菌(MSSA)。患者被诊断为支原体和MSSA合并感染。给予舒巴坦/氨苄西林滴注和米诺环素口服治疗2周,病情好转。结论:所有住院的成人支原体肺炎患者均经抗生素治疗,如米诺环素和氟喹诺酮,并联合皮质类固醇,最终均有所改善,尽管胸部x线表现各不相同。大环内酯类药物和皮质类固醇以外的抗生素可能是治疗具有大环内酯类药物潜在耐药性的严重支原体肺炎的有效方案。
本文章由计算机程序翻译,如有差异,请以英文原文为准。

Adult Hospitalized Mycoplasma Cases in a Tertiary Hospital in Japan.

Adult Hospitalized Mycoplasma Cases in a Tertiary Hospital in Japan.

Adult Hospitalized Mycoplasma Cases in a Tertiary Hospital in Japan.

Adult Hospitalized Mycoplasma Cases in a Tertiary Hospital in Japan.

Background: Mycoplasma infections have increased globally, including in Japan. Severe pneumonia due to Mycoplasma pneumoniae (M. pneumoniae) that is resistant to macrolides has been reported in the post-COVID-19 period, but its pathogenesis and detailed treatment regimens are still unclear.

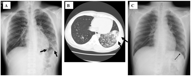
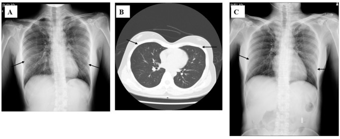
Case series: Four adult cases of M. pneumoniae pneumonia that required admission to the hospital in the 2024-2025 season are presented. Case 1: a 17-year-old male without a specific medical history who was admitted with pneumonia with a severe dry cough. Mycoplasma. pneumoniae genes were detected by multiplex PCR from his sputum. The patient's condition improved with minocycline and corticosteroids for 5 days. Case 2: a 88-year-old man with acute kidney injury who was admitted with severe respiratory failure. Mycoplasma antigen was detected in his pharyngeal swab. He received lascufloxacin drip infusion with corticosteroids for 10 days, and soon improved. Case 3: a 38-year-old woman with maxillary carcinoma and a history of aplastic anemia who was admitted with a severe cough. Mycoplasma antigen was detected in her pharyngeal swab. She received minocycline and corticosteroid drip infusion for 1 week, and finally improved. Case 4: a 74-year-old man with multiple systemic atrophies who was admitted with a severe cough and dyspnea. Mycoplasma antigen was detected from his pharyngeal swab and methicillin-susceptible Staphylococcus aureus (MSSA) was isolated from his sputum. The patient was diagnosed with co-infection with mycoplasma and MSSA. He was treated with sulbactam/ampicillin drip infusion and oral administration of minocycline for 2 weeks, and improved.

Conclusion: All hospitalized adult patients with mycoplasma pneumonia were treated with antibiotics, such as minocycline and fluoroquinolone, along with corticosteroid co-administration, and all of them ultimately improved, although the chest X-ray findings varied. Antibiotics other than macrolides and corticosteroids may be an effective regimen for the treatment of severe mycoplasma pneumonia with potential macrolide resistance.

求助全文
通过发布文献求助,成功后即可免费获取论文全文。 去求助
来源期刊
Infection and Drug Resistance
Infection and Drug Resistance Medicine-Pharmacology (medical)
CiteScore
5.60
自引率
7.70%
发文量
826
审稿时长
16 weeks
期刊介绍: About Journal Editors Peer Reviewers Articles Article Publishing Charges Aims and Scope Call For Papers ISSN: 1178-6973 Editor-in-Chief: Professor Suresh Antony An international, peer-reviewed, open access journal that focuses on the optimal treatment of infection (bacterial, fungal and viral) and the development and institution of preventative strategies to minimize the development and spread of resistance.
×
引用
GB/T 7714-2015
复制
MLA
复制
APA
复制
导出至
BibTeX EndNote RefMan NoteFirst NoteExpress
×
提示
您的信息不完整,为了账户安全,请先补充。
现在去补充
×
提示
您因"违规操作"
具体请查看互助需知
我知道了
×
提示
确定
请完成安全验证×
copy
已复制链接
快去分享给好友吧!
我知道了
右上角分享
点击右上角分享
0
联系我们:info@booksci.cn Book学术提供免费学术资源搜索服务,方便国内外学者检索中英文文献。致力于提供最便捷和优质的服务体验。 Copyright © 2023 布克学术 All rights reserved.
京ICP备2023020795号-1
ghs 京公网安备 11010802042870号
Book学术文献互助
Book学术文献互助群
群 号:604180095
Book学术官方微信