单管多重PCR检测人呼吸道感染微生物。

IF 2.4 Q2 INFECTIOUS DISEASES
Isabela L Lima, Adriana F Neves, Robson J Oliveira-Júnior, Lorrayne C M G Honório, Vitória O Arruda, Juliana A São Julião, Luiz Ricardo Goulart Filho, Vivian Alonso-Goulart
{"title":"单管多重PCR检测人呼吸道感染微生物。","authors":"Isabela L Lima, Adriana F Neves, Robson J Oliveira-Júnior, Lorrayne C M G Honório, Vitória O Arruda, Juliana A São Julião, Luiz Ricardo Goulart Filho, Vivian Alonso-Goulart","doi":"10.3390/idr17040093","DOIUrl":null,"url":null,"abstract":"<p><p><b>Background/Objectives:</b> Due to the significant overlap in symptoms between COVID-19 and other respiratory infections, a multiplex PCR-based platform was developed to simultaneously detect 22 respiratory pathogens. Target sequences were retrieved from the GenBank database and aligned using Clustal Omega 2.1 to identify conserved regions prioritized for primer design. Primers were designed using Primer Express<sup>®</sup> 3.0.1 and evaluated in Primer Explorer to ensure specificity and minimize secondary structures. A multiplex strategy organized primers into three groups, each labeled with distinct fluorophores (FAM, VIC, or NED), allowing for detection by conventional PCR or capillary electrophoresis (CE). <b>Methods:</b> After reverse transcription for RNA targets, amplification was performed in a single-tube reaction. A total of 340 clinical samples-nasopharyngeal and saliva swabs-were collected from patients, during the COVID-19 pandemic period. The automated analysis of electropherograms enabled precise pathogen identification. <b>Results:</b> Of the samples analyzed, 57.1% tested negative for all pathogens. SARS-CoV-2 was the most frequently detected pathogen (29%), followed by enterovirus (6.5%). Positive results were detected in both nasopharyngeal and saliva swabs, with SARS-CoV-2 predominating in saliva samples. <b>Conclusions:</b> This single-tube multiplex PCR-CE assay represents a cost-effective and robust approach for comprehensive respiratory pathogen detection. It enables rapid and simultaneous diagnosis, facilitating targeted treatment strategies and improved patient outcomes.</p>","PeriodicalId":13579,"journal":{"name":"Infectious Disease Reports","volume":"17 4","pages":""},"PeriodicalIF":2.4000,"publicationDate":"2025-08-04","publicationTypes":"Journal Article","fieldsOfStudy":null,"isOpenAccess":false,"openAccessPdf":"https://www.ncbi.nlm.nih.gov/pmc/articles/PMC12385970/pdf/","citationCount":"0","resultStr":"{\"title\":\"Detection of Microorganisms Causing Human Respiratory Infection Using One-Tube Multiplex PCR.\",\"authors\":\"Isabela L Lima, Adriana F Neves, Robson J Oliveira-Júnior, Lorrayne C M G Honório, Vitória O Arruda, Juliana A São Julião, Luiz Ricardo Goulart Filho, Vivian Alonso-Goulart\",\"doi\":\"10.3390/idr17040093\",\"DOIUrl\":null,\"url\":null,\"abstract\":\"<p><p><b>Background/Objectives:</b> Due to the significant overlap in symptoms between COVID-19 and other respiratory infections, a multiplex PCR-based platform was developed to simultaneously detect 22 respiratory pathogens. Target sequences were retrieved from the GenBank database and aligned using Clustal Omega 2.1 to identify conserved regions prioritized for primer design. Primers were designed using Primer Express<sup>®</sup> 3.0.1 and evaluated in Primer Explorer to ensure specificity and minimize secondary structures. A multiplex strategy organized primers into three groups, each labeled with distinct fluorophores (FAM, VIC, or NED), allowing for detection by conventional PCR or capillary electrophoresis (CE). <b>Methods:</b> After reverse transcription for RNA targets, amplification was performed in a single-tube reaction. A total of 340 clinical samples-nasopharyngeal and saliva swabs-were collected from patients, during the COVID-19 pandemic period. The automated analysis of electropherograms enabled precise pathogen identification. <b>Results:</b> Of the samples analyzed, 57.1% tested negative for all pathogens. SARS-CoV-2 was the most frequently detected pathogen (29%), followed by enterovirus (6.5%). Positive results were detected in both nasopharyngeal and saliva swabs, with SARS-CoV-2 predominating in saliva samples. <b>Conclusions:</b> This single-tube multiplex PCR-CE assay represents a cost-effective and robust approach for comprehensive respiratory pathogen detection. It enables rapid and simultaneous diagnosis, facilitating targeted treatment strategies and improved patient outcomes.</p>\",\"PeriodicalId\":13579,\"journal\":{\"name\":\"Infectious Disease Reports\",\"volume\":\"17 4\",\"pages\":\"\"},\"PeriodicalIF\":2.4000,\"publicationDate\":\"2025-08-04\",\"publicationTypes\":\"Journal Article\",\"fieldsOfStudy\":null,\"isOpenAccess\":false,\"openAccessPdf\":\"https://www.ncbi.nlm.nih.gov/pmc/articles/PMC12385970/pdf/\",\"citationCount\":\"0\",\"resultStr\":null,\"platform\":\"Semanticscholar\",\"paperid\":null,\"PeriodicalName\":\"Infectious Disease Reports\",\"FirstCategoryId\":\"1085\",\"ListUrlMain\":\"https://doi.org/10.3390/idr17040093\",\"RegionNum\":0,\"RegionCategory\":null,\"ArticlePicture\":[],\"TitleCN\":null,\"AbstractTextCN\":null,\"PMCID\":null,\"EPubDate\":\"\",\"PubModel\":\"\",\"JCR\":\"Q2\",\"JCRName\":\"INFECTIOUS DISEASES\",\"Score\":null,\"Total\":0}","platform":"Semanticscholar","paperid":null,"PeriodicalName":"Infectious Disease Reports","FirstCategoryId":"1085","ListUrlMain":"https://doi.org/10.3390/idr17040093","RegionNum":0,"RegionCategory":null,"ArticlePicture":[],"TitleCN":null,"AbstractTextCN":null,"PMCID":null,"EPubDate":"","PubModel":"","JCR":"Q2","JCRName":"INFECTIOUS DISEASES","Score":null,"Total":0}
引用次数: 0

摘要

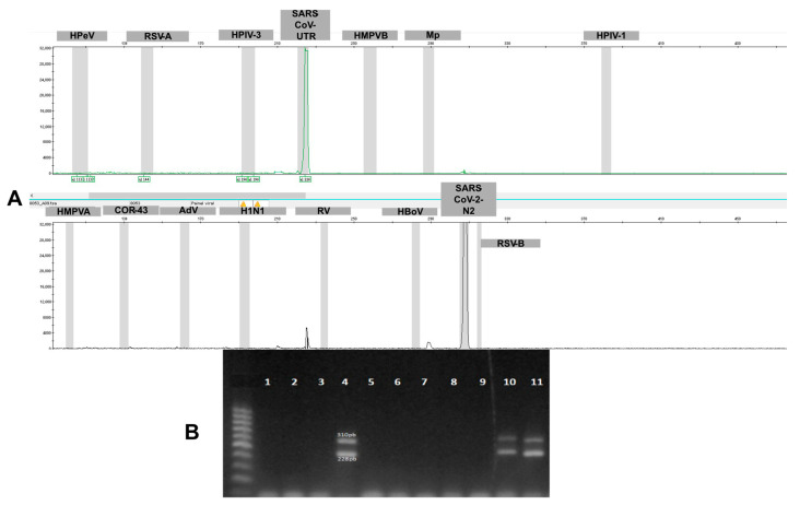
背景/目的:由于COVID-19与其他呼吸道感染的症状有明显的重叠,因此建立了一个基于多重pcr的平台,同时检测22种呼吸道病原体。从GenBank数据库中检索目标序列,并使用Clustal Omega 2.1进行比对,确定优先用于引物设计的保守区域。引物使用Primer Express®3.0.1设计,并在Primer Explorer中评估,以确保特异性和最小化二级结构。多重策略将引物分为三组,每组标记有不同的荧光团(FAM, VIC或NED),允许通过常规PCR或毛细管电泳(CE)进行检测。方法:RNA靶点逆转录后,单管反应扩增。在2019冠状病毒病大流行期间,共收集了340份临床样本(鼻咽和唾液拭子)。电泳图的自动分析使病原体的精确鉴定成为可能。结果:在所分析的样本中,所有病原体的检测结果为阴性的占57.1%。SARS-CoV-2是最常见的病原体(29%),其次是肠道病毒(6.5%)。鼻咽拭子和唾液拭子均呈阳性,唾液样本中以SARS-CoV-2为主。结论:单管多重PCR-CE检测是一种经济有效的呼吸道病原体综合检测方法。它可以实现快速和同步诊断,促进有针对性的治疗策略并改善患者的预后。
本文章由计算机程序翻译,如有差异,请以英文原文为准。

Detection of Microorganisms Causing Human Respiratory Infection Using One-Tube Multiplex PCR.

Detection of Microorganisms Causing Human Respiratory Infection Using One-Tube Multiplex PCR.

Detection of Microorganisms Causing Human Respiratory Infection Using One-Tube Multiplex PCR.

Detection of Microorganisms Causing Human Respiratory Infection Using One-Tube Multiplex PCR.

Background/Objectives: Due to the significant overlap in symptoms between COVID-19 and other respiratory infections, a multiplex PCR-based platform was developed to simultaneously detect 22 respiratory pathogens. Target sequences were retrieved from the GenBank database and aligned using Clustal Omega 2.1 to identify conserved regions prioritized for primer design. Primers were designed using Primer Express® 3.0.1 and evaluated in Primer Explorer to ensure specificity and minimize secondary structures. A multiplex strategy organized primers into three groups, each labeled with distinct fluorophores (FAM, VIC, or NED), allowing for detection by conventional PCR or capillary electrophoresis (CE). Methods: After reverse transcription for RNA targets, amplification was performed in a single-tube reaction. A total of 340 clinical samples-nasopharyngeal and saliva swabs-were collected from patients, during the COVID-19 pandemic period. The automated analysis of electropherograms enabled precise pathogen identification. Results: Of the samples analyzed, 57.1% tested negative for all pathogens. SARS-CoV-2 was the most frequently detected pathogen (29%), followed by enterovirus (6.5%). Positive results were detected in both nasopharyngeal and saliva swabs, with SARS-CoV-2 predominating in saliva samples. Conclusions: This single-tube multiplex PCR-CE assay represents a cost-effective and robust approach for comprehensive respiratory pathogen detection. It enables rapid and simultaneous diagnosis, facilitating targeted treatment strategies and improved patient outcomes.

求助全文
通过发布文献求助,成功后即可免费获取论文全文。 去求助
来源期刊
Infectious Disease Reports
Infectious Disease Reports INFECTIOUS DISEASES-
CiteScore
5.10
自引率
0.00%
发文量
82
审稿时长
11 weeks
×
引用
GB/T 7714-2015
复制
MLA
复制
APA
复制
导出至
BibTeX EndNote RefMan NoteFirst NoteExpress
×
提示
您的信息不完整,为了账户安全,请先补充。
现在去补充
×
提示
您因"违规操作"
具体请查看互助需知
我知道了
×
提示
确定
请完成安全验证×
copy
已复制链接
快去分享给好友吧!
我知道了
右上角分享
点击右上角分享
0
联系我们:info@booksci.cn Book学术提供免费学术资源搜索服务,方便国内外学者检索中英文文献。致力于提供最便捷和优质的服务体验。 Copyright © 2023 布克学术 All rights reserved.
京ICP备2023020795号-1
ghs 京公网安备 11010802042870号
Book学术文献互助
Book学术文献互助群
群 号:604180095
Book学术官方微信