庆大霉素/肝素和庆大霉素/柠檬酸锁液对金黄色葡萄球菌和铜绿假单胞菌的抑菌效果。

IF 2.4 Q2 INFECTIOUS DISEASES
Daniel Salas-Treviño, Arantxa N Rodríguez-Rodríguez, María T Ramírez-Elizondo, Magaly Padilla-Orozco, Edeer I Montoya-Hinojosa, Paola Bocanegra-Ibarias, Samantha Flores-Treviño, Adrián Camacho-Ortiz
{"title":"庆大霉素/肝素和庆大霉素/柠檬酸锁液对金黄色葡萄球菌和铜绿假单胞菌的抑菌效果。","authors":"Daniel Salas-Treviño, Arantxa N Rodríguez-Rodríguez, María T Ramírez-Elizondo, Magaly Padilla-Orozco, Edeer I Montoya-Hinojosa, Paola Bocanegra-Ibarias, Samantha Flores-Treviño, Adrián Camacho-Ortiz","doi":"10.3390/idr17040098","DOIUrl":null,"url":null,"abstract":"<p><p><b>Background/Objectives:</b> Hemodialysis catheter-related bloodstream infection (HD-CRBSIs) is a main cause of morbidity in hemodialysis. New preventive strategies have emerged, such as using lock solutions with antiseptic or antibiotic capacity. In this study, the antimicrobial effect was analyzed in vitro and with a catheter model of lock solutions of gentamicin (LSG), gentamicin/heparin (LSG/H), and gentamicin/citrate (LSG/C) in clinical and ATCC strains of <i>Pseudomonas aeruginosa</i> and <i>Staphylococcus aureus</i>. <b>Methods:</b> The formation, minimum inhibitory concentration, and minimum inhibitory concentration of the biofilm and minimum biofilm eradication concentration of the lock solutions were determined. Additionally, colony-forming unit assays were performed to evaluate the antimicrobial efficacy of the lock solutions in a hemodialysis catheter inoculation model. <b>Results:</b> The minimum inhibitory concentration (MIC) of planktonic cells of both <i>P. aeruginosa</i> and <i>S. aureus</i> for LSG/H and LSG/C was 4 µg/mL. In the minimum biofilm inhibitory concentration (MBIC) tests, the LSG/H was less effective than LSG/C, requiring higher concentrations for inhibition, contrary to the minimum biofilm eradication concentration (MBEC), where LSG/H was more effective. All lock solutions eradicated <i>P. aeruginosa</i> biofilms in the HD catheter model under standard conditions. Nevertheless, under modified conditions, the lock solutions were not as effective versus ATCC and clinical strains of <i>S. aureus</i>. <b>Conclusions:</b> Our analysis shows that the lock solutions studied managed to eradicate intraluminal mature <i>P. aeruginosa</i> in non-tunneled HD catheters under standard conditions. Biofilm inhibition and eradication were observed at low gentamicin concentrations, which could optimize the gentamicin concentration in lock solutions used in HD catheters.</p>","PeriodicalId":13579,"journal":{"name":"Infectious Disease Reports","volume":"17 4","pages":""},"PeriodicalIF":2.4000,"publicationDate":"2025-08-06","publicationTypes":"Journal Article","fieldsOfStudy":null,"isOpenAccess":false,"openAccessPdf":"https://www.ncbi.nlm.nih.gov/pmc/articles/PMC12386301/pdf/","citationCount":"0","resultStr":"{\"title\":\"Antimicrobial Effect of Gentamicin/Heparin and Gentamicin/Citrate Lock Solutions on <i>Staphylococcus aureus</i> and <i>Pseudomonas aeruginosa</i> Clinical Strains.\",\"authors\":\"Daniel Salas-Treviño, Arantxa N Rodríguez-Rodríguez, María T Ramírez-Elizondo, Magaly Padilla-Orozco, Edeer I Montoya-Hinojosa, Paola Bocanegra-Ibarias, Samantha Flores-Treviño, Adrián Camacho-Ortiz\",\"doi\":\"10.3390/idr17040098\",\"DOIUrl\":null,\"url\":null,\"abstract\":\"<p><p><b>Background/Objectives:</b> Hemodialysis catheter-related bloodstream infection (HD-CRBSIs) is a main cause of morbidity in hemodialysis. New preventive strategies have emerged, such as using lock solutions with antiseptic or antibiotic capacity. In this study, the antimicrobial effect was analyzed in vitro and with a catheter model of lock solutions of gentamicin (LSG), gentamicin/heparin (LSG/H), and gentamicin/citrate (LSG/C) in clinical and ATCC strains of <i>Pseudomonas aeruginosa</i> and <i>Staphylococcus aureus</i>. <b>Methods:</b> The formation, minimum inhibitory concentration, and minimum inhibitory concentration of the biofilm and minimum biofilm eradication concentration of the lock solutions were determined. Additionally, colony-forming unit assays were performed to evaluate the antimicrobial efficacy of the lock solutions in a hemodialysis catheter inoculation model. <b>Results:</b> The minimum inhibitory concentration (MIC) of planktonic cells of both <i>P. aeruginosa</i> and <i>S. aureus</i> for LSG/H and LSG/C was 4 µg/mL. In the minimum biofilm inhibitory concentration (MBIC) tests, the LSG/H was less effective than LSG/C, requiring higher concentrations for inhibition, contrary to the minimum biofilm eradication concentration (MBEC), where LSG/H was more effective. All lock solutions eradicated <i>P. aeruginosa</i> biofilms in the HD catheter model under standard conditions. Nevertheless, under modified conditions, the lock solutions were not as effective versus ATCC and clinical strains of <i>S. aureus</i>. <b>Conclusions:</b> Our analysis shows that the lock solutions studied managed to eradicate intraluminal mature <i>P. aeruginosa</i> in non-tunneled HD catheters under standard conditions. Biofilm inhibition and eradication were observed at low gentamicin concentrations, which could optimize the gentamicin concentration in lock solutions used in HD catheters.</p>\",\"PeriodicalId\":13579,\"journal\":{\"name\":\"Infectious Disease Reports\",\"volume\":\"17 4\",\"pages\":\"\"},\"PeriodicalIF\":2.4000,\"publicationDate\":\"2025-08-06\",\"publicationTypes\":\"Journal Article\",\"fieldsOfStudy\":null,\"isOpenAccess\":false,\"openAccessPdf\":\"https://www.ncbi.nlm.nih.gov/pmc/articles/PMC12386301/pdf/\",\"citationCount\":\"0\",\"resultStr\":null,\"platform\":\"Semanticscholar\",\"paperid\":null,\"PeriodicalName\":\"Infectious Disease Reports\",\"FirstCategoryId\":\"1085\",\"ListUrlMain\":\"https://doi.org/10.3390/idr17040098\",\"RegionNum\":0,\"RegionCategory\":null,\"ArticlePicture\":[],\"TitleCN\":null,\"AbstractTextCN\":null,\"PMCID\":null,\"EPubDate\":\"\",\"PubModel\":\"\",\"JCR\":\"Q2\",\"JCRName\":\"INFECTIOUS DISEASES\",\"Score\":null,\"Total\":0}","platform":"Semanticscholar","paperid":null,"PeriodicalName":"Infectious Disease Reports","FirstCategoryId":"1085","ListUrlMain":"https://doi.org/10.3390/idr17040098","RegionNum":0,"RegionCategory":null,"ArticlePicture":[],"TitleCN":null,"AbstractTextCN":null,"PMCID":null,"EPubDate":"","PubModel":"","JCR":"Q2","JCRName":"INFECTIOUS DISEASES","Score":null,"Total":0}
引用次数: 0

摘要

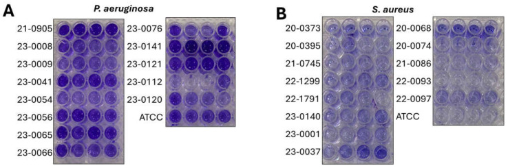
背景/目的:血透导管相关性血流感染(HD-CRBSIs)是血透患者发病的主要原因。新的预防策略已经出现,例如使用具有防腐剂或抗生素能力的锁溶液。本研究通过体外和导管模型分析庆大霉素(LSG)、庆大霉素/肝素(LSG/H)、庆大霉素/柠檬酸盐(LSG/C)溶液对临床和ATCC株铜绿假单胞菌和金黄色葡萄球菌的抑菌效果。方法:测定生物膜的形成、最低抑菌浓度、最低抑菌浓度和最低灭菌浓度。此外,在血液透析导管接种模型中,进行菌落形成单位测定以评估锁溶液的抗菌功效。结果:铜绿假单胞菌和金黄色葡萄球菌浮游细胞对LSG/H和LSG/C的最低抑制浓度(MIC)均为4µg/mL。在最小生物膜抑制浓度(MBIC)测试中,LSG/H的抑制效果不如LSG/C,需要更高的浓度才能抑制,而在最小生物膜根除浓度(MBEC)中,LSG/H更有效。在标准条件下,所有锁溶液都能根除HD导管模型中的铜绿假单胞菌生物膜。然而,在改良条件下,锁液对ATCC和金黄色葡萄球菌临床菌株的效果不佳。结论:我们的分析表明,在标准条件下,所研究的锁溶液能够根除非隧道HD导管的腔内成熟铜绿假单胞菌。在低庆大霉素浓度下观察到生物膜的抑制和根除,这可以优化HD导管锁液中庆大霉素的浓度。
本文章由计算机程序翻译,如有差异,请以英文原文为准。

Antimicrobial Effect of Gentamicin/Heparin and Gentamicin/Citrate Lock Solutions on <i>Staphylococcus aureus</i> and <i>Pseudomonas aeruginosa</i> Clinical Strains.

Antimicrobial Effect of Gentamicin/Heparin and Gentamicin/Citrate Lock Solutions on <i>Staphylococcus aureus</i> and <i>Pseudomonas aeruginosa</i> Clinical Strains.

Antimicrobial Effect of Gentamicin/Heparin and Gentamicin/Citrate Lock Solutions on <i>Staphylococcus aureus</i> and <i>Pseudomonas aeruginosa</i> Clinical Strains.

Antimicrobial Effect of Gentamicin/Heparin and Gentamicin/Citrate Lock Solutions on Staphylococcus aureus and Pseudomonas aeruginosa Clinical Strains.

Background/Objectives: Hemodialysis catheter-related bloodstream infection (HD-CRBSIs) is a main cause of morbidity in hemodialysis. New preventive strategies have emerged, such as using lock solutions with antiseptic or antibiotic capacity. In this study, the antimicrobial effect was analyzed in vitro and with a catheter model of lock solutions of gentamicin (LSG), gentamicin/heparin (LSG/H), and gentamicin/citrate (LSG/C) in clinical and ATCC strains of Pseudomonas aeruginosa and Staphylococcus aureus. Methods: The formation, minimum inhibitory concentration, and minimum inhibitory concentration of the biofilm and minimum biofilm eradication concentration of the lock solutions were determined. Additionally, colony-forming unit assays were performed to evaluate the antimicrobial efficacy of the lock solutions in a hemodialysis catheter inoculation model. Results: The minimum inhibitory concentration (MIC) of planktonic cells of both P. aeruginosa and S. aureus for LSG/H and LSG/C was 4 µg/mL. In the minimum biofilm inhibitory concentration (MBIC) tests, the LSG/H was less effective than LSG/C, requiring higher concentrations for inhibition, contrary to the minimum biofilm eradication concentration (MBEC), where LSG/H was more effective. All lock solutions eradicated P. aeruginosa biofilms in the HD catheter model under standard conditions. Nevertheless, under modified conditions, the lock solutions were not as effective versus ATCC and clinical strains of S. aureus. Conclusions: Our analysis shows that the lock solutions studied managed to eradicate intraluminal mature P. aeruginosa in non-tunneled HD catheters under standard conditions. Biofilm inhibition and eradication were observed at low gentamicin concentrations, which could optimize the gentamicin concentration in lock solutions used in HD catheters.

求助全文
通过发布文献求助,成功后即可免费获取论文全文。 去求助
来源期刊
Infectious Disease Reports
Infectious Disease Reports INFECTIOUS DISEASES-
CiteScore
5.10
自引率
0.00%
发文量
82
审稿时长
11 weeks
×
引用
GB/T 7714-2015
复制
MLA
复制
APA
复制
导出至
BibTeX EndNote RefMan NoteFirst NoteExpress
×
提示
您的信息不完整,为了账户安全,请先补充。
现在去补充
×
提示
您因"违规操作"
具体请查看互助需知
我知道了
×
提示
确定
请完成安全验证×
copy
已复制链接
快去分享给好友吧!
我知道了
右上角分享
点击右上角分享
0
联系我们:info@booksci.cn Book学术提供免费学术资源搜索服务,方便国内外学者检索中英文文献。致力于提供最便捷和优质的服务体验。 Copyright © 2023 布克学术 All rights reserved.
京ICP备2023020795号-1
ghs 京公网安备 11010802042870号
Book学术文献互助
Book学术文献互助群
群 号:604180095
Book学术官方微信