CT增强诊断小体积cT3a肾细胞癌的准确性及降期至pT1的预测因素分析

IF 1.8 4区 医学 Q3 MEDICINE, RESEARCH & EXPERIMENTAL
In vivo Pub Date : 2025-09-01 DOI:10.21873/invivo.14077
Kensuke Bekku, Kasumi Yoshinaga, Shota Inoue, Yosuke Mitsui, Tomoaki Yamanoi, Tatsushi Kawada, Yusuke Tominaga, Takuya Sadahira, Satoshi Katayama, Takehiro Iwata, Shingo Nishimura, Kohei Edamura, Tomoko Kobayashi, Motoo Araki
{"title":"CT增强诊断小体积cT3a肾细胞癌的准确性及降期至pT1的预测因素分析","authors":"Kensuke Bekku, Kasumi Yoshinaga, Shota Inoue, Yosuke Mitsui, Tomoaki Yamanoi, Tatsushi Kawada, Yusuke Tominaga, Takuya Sadahira, Satoshi Katayama, Takehiro Iwata, Shingo Nishimura, Kohei Edamura, Tomoko Kobayashi, Motoo Araki","doi":"10.21873/invivo.14077","DOIUrl":null,"url":null,"abstract":"<p><strong>Background/aim: </strong>This study assessed the accuracy of preoperative contrast-enhanced computed tomography (CECT) scans in staging small-sized, locally advanced (cT3a) renal cell carcinoma (RCC) and identified predictors of pathological downstaging following surgery.</p><p><strong>Patients and methods: </strong>Seventy-six patients who underwent radical nephrectomy for cT3aN0M0 RCC with tumors ≤7 cm were analyzed. Preoperative CECT evaluated features such as venous, peritumoral, or renal sinus fat, and urinary tract invasion, predictive values, and concordance index between radiological and pathological findings were calculated for these categories. The study also examined the impact of clinicopathologic factors on downstaging.</p><p><strong>Results: </strong>Of 76 patients with cT3 RCC, 37% were down-staged to pT1. Down-staged cases had a higher proportion of male patients and non-clear cell carcinoma (86% <i>vs.</i> 58%, 32% <i>vs.</i> 6%; <i>p</i>=0.02, <i>p</i>=0.007, respectively). Multiple cT3a factors were less common in down-staged cases (4% <i>vs.</i> 23%, <i>p</i>=0.04). Non-clear cell carcinoma was significantly associated with downstaging compared to clear cell carcinoma (75% <i>vs.</i> 30%, <i>p</i>=0.006). Multivariate analysis confirmed non-clear cell carcinoma as an independent predictor (odds ratio=8.2, <i>p</i>=0.01). For venous invasion, CECT sensitivity and positive predictive value were high (73.5% and 83.3%, respectively) and the degree of agreement was substantial (κ=0.62).</p><p><strong>Conclusion: </strong>The accuracy of preoperative CECT was acceptable for detecting venous invasion. The downstaging to pT1 occurred in 37% of cT3a RCC cases in the final pathology, with non-clear cell carcinoma being a significant predictor.</p>","PeriodicalId":13364,"journal":{"name":"In vivo","volume":"39 5","pages":"2787-2793"},"PeriodicalIF":1.8000,"publicationDate":"2025-09-01","publicationTypes":"Journal Article","fieldsOfStudy":null,"isOpenAccess":false,"openAccessPdf":"https://www.ncbi.nlm.nih.gov/pmc/articles/PMC12396049/pdf/","citationCount":"0","resultStr":"{\"title\":\"Accuracy of Contrast-enhanced CT in Diagnosing Small-sized cT3a Renal Cell Carcinoma and Analysis of Factors Predicting Downstaging to pT1.\",\"authors\":\"Kensuke Bekku, Kasumi Yoshinaga, Shota Inoue, Yosuke Mitsui, Tomoaki Yamanoi, Tatsushi Kawada, Yusuke Tominaga, Takuya Sadahira, Satoshi Katayama, Takehiro Iwata, Shingo Nishimura, Kohei Edamura, Tomoko Kobayashi, Motoo Araki\",\"doi\":\"10.21873/invivo.14077\",\"DOIUrl\":null,\"url\":null,\"abstract\":\"<p><strong>Background/aim: </strong>This study assessed the accuracy of preoperative contrast-enhanced computed tomography (CECT) scans in staging small-sized, locally advanced (cT3a) renal cell carcinoma (RCC) and identified predictors of pathological downstaging following surgery.</p><p><strong>Patients and methods: </strong>Seventy-six patients who underwent radical nephrectomy for cT3aN0M0 RCC with tumors ≤7 cm were analyzed. Preoperative CECT evaluated features such as venous, peritumoral, or renal sinus fat, and urinary tract invasion, predictive values, and concordance index between radiological and pathological findings were calculated for these categories. The study also examined the impact of clinicopathologic factors on downstaging.</p><p><strong>Results: </strong>Of 76 patients with cT3 RCC, 37% were down-staged to pT1. Down-staged cases had a higher proportion of male patients and non-clear cell carcinoma (86% <i>vs.</i> 58%, 32% <i>vs.</i> 6%; <i>p</i>=0.02, <i>p</i>=0.007, respectively). Multiple cT3a factors were less common in down-staged cases (4% <i>vs.</i> 23%, <i>p</i>=0.04). Non-clear cell carcinoma was significantly associated with downstaging compared to clear cell carcinoma (75% <i>vs.</i> 30%, <i>p</i>=0.006). Multivariate analysis confirmed non-clear cell carcinoma as an independent predictor (odds ratio=8.2, <i>p</i>=0.01). For venous invasion, CECT sensitivity and positive predictive value were high (73.5% and 83.3%, respectively) and the degree of agreement was substantial (κ=0.62).</p><p><strong>Conclusion: </strong>The accuracy of preoperative CECT was acceptable for detecting venous invasion. The downstaging to pT1 occurred in 37% of cT3a RCC cases in the final pathology, with non-clear cell carcinoma being a significant predictor.</p>\",\"PeriodicalId\":13364,\"journal\":{\"name\":\"In vivo\",\"volume\":\"39 5\",\"pages\":\"2787-2793\"},\"PeriodicalIF\":1.8000,\"publicationDate\":\"2025-09-01\",\"publicationTypes\":\"Journal Article\",\"fieldsOfStudy\":null,\"isOpenAccess\":false,\"openAccessPdf\":\"https://www.ncbi.nlm.nih.gov/pmc/articles/PMC12396049/pdf/\",\"citationCount\":\"0\",\"resultStr\":null,\"platform\":\"Semanticscholar\",\"paperid\":null,\"PeriodicalName\":\"In vivo\",\"FirstCategoryId\":\"3\",\"ListUrlMain\":\"https://doi.org/10.21873/invivo.14077\",\"RegionNum\":4,\"RegionCategory\":\"医学\",\"ArticlePicture\":[],\"TitleCN\":null,\"AbstractTextCN\":null,\"PMCID\":null,\"EPubDate\":\"\",\"PubModel\":\"\",\"JCR\":\"Q3\",\"JCRName\":\"MEDICINE, RESEARCH & EXPERIMENTAL\",\"Score\":null,\"Total\":0}","platform":"Semanticscholar","paperid":null,"PeriodicalName":"In vivo","FirstCategoryId":"3","ListUrlMain":"https://doi.org/10.21873/invivo.14077","RegionNum":4,"RegionCategory":"医学","ArticlePicture":[],"TitleCN":null,"AbstractTextCN":null,"PMCID":null,"EPubDate":"","PubModel":"","JCR":"Q3","JCRName":"MEDICINE, RESEARCH & EXPERIMENTAL","Score":null,"Total":0}
引用次数: 0

摘要

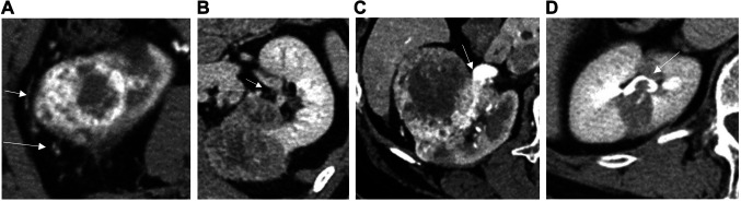
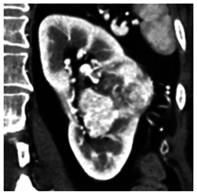
背景/目的:本研究评估了术前对比增强计算机断层扫描(CECT)在小尺寸、局部晚期(cT3a)肾细胞癌(RCC)分期中的准确性,并确定了手术后病理降分期的预测因素。患者和方法:分析76例肿瘤≤7 cm的cT3aN0M0 RCC行根治性肾切除术的患者。术前CECT评估诸如静脉、瘤周或肾窦脂肪、尿路侵犯等特征,并计算这些类别的预测值和影像学与病理结果之间的一致性指数。该研究还检查了临床病理因素对降低分期的影响。结果:76例cT3 RCC患者中,37%的患者降至pT1期。低分期病例中男性患者和非透明细胞癌的比例较高(86%对58%,32%对6%,p=0.02, p=0.007)。多个cT3a因素在分期较低的病例中较少见(4%对23%,p=0.04)。与透明细胞癌相比,非透明细胞癌与分期降低显著相关(75%比30%,p=0.006)。多因素分析证实非透明细胞癌为独立预测因子(优势比=8.2,p=0.01)。对于静脉侵犯,CECT的敏感性和阳性预测值较高(分别为73.5%和83.3%),一致性程度较高(κ=0.62)。结论:术前CECT检查静脉侵犯的准确性是可以接受的。在最终病理中,37%的cT3a RCC病例降至pT1,非透明细胞癌是一个重要的预测因子。
本文章由计算机程序翻译,如有差异,请以英文原文为准。

Accuracy of Contrast-enhanced CT in Diagnosing Small-sized cT3a Renal Cell Carcinoma and Analysis of Factors Predicting Downstaging to pT1.

Accuracy of Contrast-enhanced CT in Diagnosing Small-sized cT3a Renal Cell Carcinoma and Analysis of Factors Predicting Downstaging to pT1.

Accuracy of Contrast-enhanced CT in Diagnosing Small-sized cT3a Renal Cell Carcinoma and Analysis of Factors Predicting Downstaging to pT1.

Accuracy of Contrast-enhanced CT in Diagnosing Small-sized cT3a Renal Cell Carcinoma and Analysis of Factors Predicting Downstaging to pT1.

Background/aim: This study assessed the accuracy of preoperative contrast-enhanced computed tomography (CECT) scans in staging small-sized, locally advanced (cT3a) renal cell carcinoma (RCC) and identified predictors of pathological downstaging following surgery.

Patients and methods: Seventy-six patients who underwent radical nephrectomy for cT3aN0M0 RCC with tumors ≤7 cm were analyzed. Preoperative CECT evaluated features such as venous, peritumoral, or renal sinus fat, and urinary tract invasion, predictive values, and concordance index between radiological and pathological findings were calculated for these categories. The study also examined the impact of clinicopathologic factors on downstaging.

Results: Of 76 patients with cT3 RCC, 37% were down-staged to pT1. Down-staged cases had a higher proportion of male patients and non-clear cell carcinoma (86% vs. 58%, 32% vs. 6%; p=0.02, p=0.007, respectively). Multiple cT3a factors were less common in down-staged cases (4% vs. 23%, p=0.04). Non-clear cell carcinoma was significantly associated with downstaging compared to clear cell carcinoma (75% vs. 30%, p=0.006). Multivariate analysis confirmed non-clear cell carcinoma as an independent predictor (odds ratio=8.2, p=0.01). For venous invasion, CECT sensitivity and positive predictive value were high (73.5% and 83.3%, respectively) and the degree of agreement was substantial (κ=0.62).

Conclusion: The accuracy of preoperative CECT was acceptable for detecting venous invasion. The downstaging to pT1 occurred in 37% of cT3a RCC cases in the final pathology, with non-clear cell carcinoma being a significant predictor.

求助全文
通过发布文献求助,成功后即可免费获取论文全文。 去求助
来源期刊
In vivo
In vivo 医学-医学:研究与实验
CiteScore
4.20
自引率
4.30%
发文量
330
审稿时长
3-8 weeks
期刊介绍: IN VIVO is an international peer-reviewed journal designed to bring together original high quality works and reviews on experimental and clinical biomedical research within the frames of physiology, pathology and disease management. The topics of IN VIVO include: 1. Experimental development and application of new diagnostic and therapeutic procedures; 2. Pharmacological and toxicological evaluation of new drugs, drug combinations and drug delivery systems; 3. Clinical trials; 4. Development and characterization of models of biomedical research; 5. Cancer diagnosis and treatment; 6. Immunotherapy and vaccines; 7. Radiotherapy, Imaging; 8. Tissue engineering, Regenerative medicine; 9. Carcinogenesis.
×
引用
GB/T 7714-2015
复制
MLA
复制
APA
复制
导出至
BibTeX EndNote RefMan NoteFirst NoteExpress
×
提示
您的信息不完整,为了账户安全,请先补充。
现在去补充
×
提示
您因"违规操作"
具体请查看互助需知
我知道了
×
提示
确定
请完成安全验证×
copy
已复制链接
快去分享给好友吧!
我知道了
右上角分享
点击右上角分享
0
联系我们:info@booksci.cn Book学术提供免费学术资源搜索服务,方便国内外学者检索中英文文献。致力于提供最便捷和优质的服务体验。 Copyright © 2023 布克学术 All rights reserved.
京ICP备2023020795号-1
ghs 京公网安备 11010802042870号
Book学术文献互助
Book学术文献互助群
群 号:604180095
Book学术官方微信